Reporte de caso
Reporte de un caso inusual de presentación sincrónica de vólvulo cecal y de sigmoide
Unusual Case Report of Synchronous Caecal and Sigmoid Volvulus
Reporte de un caso inusual de presentación sincrónica de vólvulo cecal y de sigmoide
Revista colombiana de Gastroenterología, vol. 37, núm. 1, pp. 103-107, 2022
Asociación Colombiana de Gastroenterología
Recepción: 19 Enero 2021
Aprobación: 09 Febrero 2021
Resumen: En el espectro de los pacientes con obstrucción intestinal, el vólvulo es una de las etiologías menos frecuentes, siendo esta del 5 % al 15 %. La presentación sincrónica de dos segmentos colónicos volvulados en el mismo paciente se considera una entidad rara, con pocos casos reportados en la literatura. El presente caso de vólvulo sincrónico del ciego y del sigmoide documenta uno de ellos, en un paciente que se llevó a colectomía subtotal con ileostomía. Aunque el diagnóstico preoperatorio de esta entidad es poco frecuente, se debe tener en cuenta a la hora de encontrarse estos hallazgos intraquirúrgicos para el manejo tanto intraoperatorio, con resección y anastomosis o resección y estoma, como posoperatorios, lo que tiene un impacto importante en la mortalidad, si se manejan los pacientes con cubrimiento antibiótico de amplio espectro, dada la translocación bacteriana y septicemias con los que cursan estos pacientes.
Palabras clave: Vólvulo intestinal, sepsis, cirugía general.
Abstract: In the spectrum of patients with intestinal obstruction, volvulus is one of the least frequent etiologies (5-15 %). Synchronous volvulus of two colonic segments in a patient is regarded as rare, with few cases reported in the literature. The present report of synchronous cecal and sigmoid volvulus documents one of them: a patient who underwent subtotal colectomy and formation of ileostomy. Although the preoperative diagnosis of this entity is rare, it should be considered in these intraoperative findings for both intraoperative management, with resection and anastomosis or resection and stoma, and postoperative management. It has a significant impact on mortality if patients are treated with broad-spectrum antibiotic coverage, given the bacterial translocation and sepsis that they experience.
Keywords: Intestinal volvulus, sepsis, general surgery.
Introducción
Los vólvulos intestinales se consideran la causa de obstrucción intestinal en 5 %-15 % de los casos1, aunque se cree que su incidencia aumenta en Oriente Medio, Asia y áfrica2, en el área geográfica que se considera el cinturón del vólvulo1. En nuestro medio no es frecuente. La presentación de vólvulos sincrónicos o simultáneos se considera una entidad rara3, con pocos casos reportados en la literatura. El presente reporte de caso presenta un paciente con vólvulo sincrónico del ciego y del colon sigmoide, siendo este en la actualidad uno de los pocos casos reportados en la literatura mundial.
Reporte de caso
Paciente masculino de 48 años, quien consulta al servicio de urgencias traído por su hermana. El paciente cuenta con déficit cognoscitivo, sin embargo, su acudiente reporta 7 días de empeoramiento de distensión abdominal, asociado con hiporexia, deposiciones presentes de consistencia normal el día previo, sin fiebre y sin aparente dolor a su ingreso. Como antecedente refieren incontinencia fecal sin estudios previos.
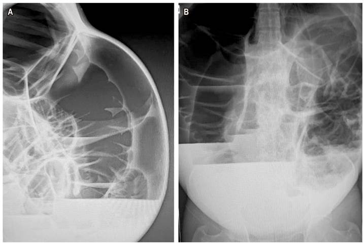
Al ingreso, paciente afebril, hidratado, taquicárdico, con abdomen francamente distendido, timpánico, con ruidos peristálticos presentes con disminución de tono y frecuencia, no presenta dolor. Tacto del recto con ampolla rectal vacía y esfínter anal hipotónico. Se realizan radiografías de abdomen (Figura 1). Se considera franca distensión de asas, que condicionan un colon crítico, por lo cual se indica intervención quirúrgica de urgencia.

En la sala de cirugía se encuentra paciente con distensión abdominal severa, a pesar de descompresión con sonda nasogástrica (Figura 2 ). Se realiza laparotomía xifopúbica. Al ingresar a la cavidad se encuentran dos vólvulos: uno del ciego y otro del colon sigmoide, los cuales se devolvulan con control del pedículo vascular (Figura 3A-C ). Se encuentra una distensión que condiciona un colon crítico, por lo cual se decide realizar una colectomía subtotal más ileostomía (Figura 3D ).


El paciente es extubado y trasladado al piso, con evolución clínica esperada. Durante el posoperatorio inmediato se transfunde con 2 unidades de glóbulos rojos empaquetados. Al segundo día tiene un adecuado tránsito intestinal. Se decide el retiro de la sonda nasogástrica e inicio de una dieta líquida. El día 4 posoperatorio se recibe un llamado de enfermería dado que el paciente presenta episodios eméticos de contenido fecaloide, con sangrado abundante por ileostomía. Se encuentra al paciente taquicárdico, con gran distensión abdominal y dolor a la palpación generalizada, por lo cual se lleva de urgencia a salas de cirugía.
Durante el segundo procedimiento quirúrgico se encuentra al paciente con hemoperitoneo, sin sangrado activo aparente ni causa del mismo, gran dilatación de asas delgadas, sin zona de transición, la ileostomía permeable no isquémica se deja con empaquetamiento. Luego de 2 días se lleva a un nuevo procedimiento quirúrgico, con evidencia de líquido peritoneal turbio, con membranas fibrinopurulentas en asas intestinales delgadas. Se decide el cierre de la pared; sin embargo, el paciente se encuentra con requerimiento de soporte vasopresor y ventilatorio invasivo, sin posibilidad de extubación, por lo cual se traslada a la unidad de cuidados intensivos.
El paciente evoluciona en muy malas condiciones generales, con soporte vasopresor en dosis altas, oligoanúrico. Presenta disfunción multiorgánica asociada con cuadro séptico, el cual no responde a manejo médico ni antibiótico y fallece.
Discusión
El término vólvulo se deriva del latín volveré “girar sobre su propio eje”1. Se describió por primera vez en el papiro de Ebers en 1550 AC, con una descripción del curso natural del vólvulo con torsión espontánea y reducción o pudrimiento intestinal1. La presentación de cada vólvulo se considera una entidad independiente3. Son más comunes en el colon sigmoide (75 %) y el ciego (15 %-22 %)4, sin embargo, se cuenta con reportes de vólvulos del colon transverso (3 %) y del ángulo esplénico (2 %)4.
El doble vólvulo colónico se ha considerado una entidad rara3. En la literatura se registra esta presentación como vólvulos sincrónicos, vólvulos compuestos, vólvulos simultáneos o doble vólvulo. Su primer caso se documentó por Singh y colaboradores en 19855, y se cuenta con reportes por Theuer y colaboradores (1991)6, Moore y colaboradores (1992)3, Kellil y colaboradores (2017)7) e Islam y colaboradores (2016)4.
Los vólvulos se presentan con mayor prevalencia en el Oriente Medio, Asia y África2,3, en relación con lo que se denomina en la literatura como el cinturón del vólvulo1, lo cual se asocia con una dieta rica en fibra. Adicionalmente, se consideran otros factores de riesgo, como un mesenterio largo y móvil, sigmoide redundante y distensión crónica intestinal2. Asimismo, existen factores de riesgo individualizados para cada una de sus presentaciones, siendo el vólvulo sigmoide el relacionado con una dieta rica en fibra, cirugía abdominal previa, enfermedades psiquiátricas, enfermedad de Chagas, Parkinson, colitis isquémica y megacolon3. Adicionalmente, se encuentra que afecta frecuentemente a la población de tercera edad en hogares geriátricos y pacientes con patologías neurológicas3.
La sintomatología se da por dolor abdominal (100 %), distensión abdominal (94 %-100 %), náuseas y vómito (87 %-100 %) y signo de rebote (69 %)2. Sin embargo, no es una entidad que se diagnostique fácilmente de forma prequirúrgica, con tan solo 20 % de los pacientes diagnosticados2.
El manejo oportuno es fundamental en estos pacientes, pues el compromiso de la circulación sanguínea lleva a una progresión rápida de necrosis de los segmentos volvulados (75 %-79 %), lo que puede tornarse potencialmente mortal3. Se considera que estos pacientes deben recibir una reanimación de líquidos agresiva, antibióticos de amplio espectro y manejo quirúrgico definitivo4,6. De acuerdo con los hallazgos intraoperatorios y las condiciones del paciente se decide si este se beneficia de resección y anastomosis o se debe realizar una ostomía terminal y anastomosis diferida2,3.
Las complicaciones en estos pacientes se asocian con peritonitis, sepsis y deshidratación, dados los terceros espacios que se generan2. La mortalidad, si bien se describe desde el 15 %, puede llegar a ser tan alta como del 73 % de los casos, asociado con choque séptico, que se genera con la translocación bacteriana y la manipulación del colon intraoperatorio2.
Conclusión
La presentación sincrónica de los vólvulos intestinales es una entidad poco frecuente en pacientes con obstrucción intestinal. En la mayoría de los casos es un diagnóstico intraoperatorio de un paciente que se ha llevado a un procedimiento por un abdomen quirúrgico. El manejo de estos pacientes se debe individualizar por las condiciones en las cuales se encuentren los pacientes; sin embargo, se debe tener en cuenta el compromiso séptico y el cubrimiento antibiótico de amplio espectro que deben recibir en el posoperatorio, asociado con un seguimiento estricto clínico y paraclínico.
Referencias
Kulaylat AS, Stewart DB. Management of colonic volvulus. En: Docimo Jr S, Pauli EM (editores). Clinical Algorithms in General Surgery. Springer; 2019. p. 221-3. https://doi.org/10.1007/978-3-319-98497-1_58
Rivera-Nava JC. Simultaneous volvulus of the ileum and sigmoid colon. Rev Gastroenterol Mex. 2015;80(1):115-6. https://doi.org/10.1016/j.rgmxen.2015.02.003
Moore JH, Cintron JR, Duarte B, Espinosa G, Abcarian H. Synchronous cecal and sigmoid volvulus. Dis Colon Rectum. 1992;35(8):803-5. https://doi.org/10.1007/BF02050333
Islam S, Hosein D, Bheem V, Dan D. Synchronous volvulus of the sigmoid colon and caecum, a very rare cause of large bowel obstruction. BMJ Case Rep. 2016;2016:bcr2016217116. https://doi.org/10.1136/bcr-2016-217116
Singh G, Gupta SK, Gupta S. Simultaneous occurrence of sigmoid and cecal volvulus. Dis Colon Rectum. 1985;28(2):115-6. https://doi.org/10.1007/BF02552660
Theuer C, Cheadle WG. Volvulus of the colon. Am Surg. 1991;57(3):145-50.
Kellil T, Rebai W, Rhaiem R, Daghfous A, Makni A, Ksantini R, et al. Simultaneous cecal and sigmoid volvulus: A rare cause of intestinal obstruction. J Clin Case Reports. 2017;7(4):1000950. https://doi.org/10.4172/2165-7920.1000950
Notas
Notas de autor
*Correspondencia: Laura Niño-Torres. lauraninotorres@gmail.com