Reporte de caso
Drenaje de pseudoquiste pancreático gigante mediante cistogastrostomía endoscópica: reporte de caso
Giant pancreatic pseudocyst drainage by endoscopic cystogastrostomy: Case report
Drenaje de pseudoquiste pancreático gigante mediante cistogastrostomía endoscópica: reporte de caso
Revista colombiana de Gastroenterología, vol. 37, núm. 2, pp. 210-213, 2022
Asociación Colombiana de Gastroenterología
Recepción: 16 Marzo 2021
Aprobación: 12 Octubre 2021
Resumen
Introducción: el pseudoquiste pancreático es una de las complicaciones locales tardías de la pancreatitis aguda. Para el manejo del pseudoquiste pancreático gigante existen múltiples estrategias.
Objetivo: presentar el caso de una paciente con pseudoquiste pancreático gigante manejado mediante cistogastrostomía endoscópica.
Caso clínico: mujer de 41 años que desarrolló un pseudoquiste pancreático gigante como complicación de una pancreatitis aguda y se manejó mediante cistogastrostomía endoscópica sin guía ecoendoscópica, con una adecuada evolución.
Conclusiones: la cistogastrostomía endoscópica, con la ayuda o no de ecoendoscopia ni stent de aposición luminal (LAMS), es una opción terapéutica viable, segura, efectiva y económica para pacientes seleccionados con pseudoquiste pancreático gigante.
Palabras clave: Pseudoquiste pancreático+ cistogastrostomía+ endoscopia+ pancreatitis+ complicaciones.
Abstract
Introduction: The pancreatic pseudocyst is one of the late local complications of acute pancreatitis. For managing a giant pancreatic pseudocyst, there are multiple strategies.
Aim: To present the case of a patient with a giant pancreatic pseudocyst managed by endoscopic cystogastrostomy.
Clinical case: A 41-year-old woman developed a giant pancreatic pseudocyst as a complication of acute pancreatitis that was managed by endoscopic cystogastrostomy without endoscopic ultrasound guidance, with good evolution.
Conclusions: Endoscopic cystogastrostomy, with or without the help of ultrasound endoscopy or lumen-apposing metal stent (LAMS), is a viable, safe, effective, and economical therapeutic option for selected patients with a giant pancreatic pseudocyst.
Keywords: Pancreatic pseudocyst, cystogastrostomy, endoscopy, pancreatitis, complications.
Introducción
El pseudoquiste pancreático es una colección líquida con detritos, rodeado por fibras y tejido inflamatorio, carente de una cobertura epitelial. Este se puede encontrar parcial o totalmente dentro del parénquima pancreático1 y persiste por más de 6 semanas luego de iniciado el cuadro2. Surge como complicación de una pancreatitis aguda3 o crónica4, trauma5 u otros procesos que afecten el conducto pancreático6.
Los síntomas presentados suelen ser dolor abdominal, vómito, náuseas y pérdida de peso7. El diagnóstico se realiza mediante la ecografía transabdominal, la tomografía, la resonancia magnética o la ecoendoscopia, siendo este último el método de elección8.
El objetivo del manuscrito es presentar el caso de una mujer con pseudoquiste pancreático secundario a pancreatitis aguda de etiología no clara y su evolución ulterior a la cistogastrostomía endoscópica.
Caso clínico
Mujer de 41 años procedente del occidente de Boyacá, con cuadro de 1 mes de evolución de dolor abdominal epigástrico severo y vómito, exacerbado en los últimos 15 días. Sin antecedente de consumo de bebidas alcohólicas, consultó al hospital regional. La tomografía de abdomen mostró pseudoquiste pancreático de 88 x 74 x 68 mm. Dieron manejo analgésico y egreso; sin embargo, por persistencia del dolor reingresa, la tomografía de abdomen control reveló persistencia del pseudoquiste pancreático en contacto con la pared posterior de la curvatura menor del estómago, por lo cual se remite al tercer nivel de atención.
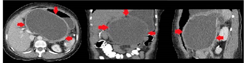
Al examen físico de ingreso en nuestra institución presenta abdomen distendido, dolor y masa palpable en el epigastrio, sin ictericia. Los paraclínicos mostraron hemograma sin leucocitosis, hiponatremia, hipocloremia e hipopotasemia leves, no acidemia metabólica, lactato levemente aumentado e hiperbilirrubinemia leve, a expensas de la directa con amilasemia leve. Se consideró una posible pancreatitis aguda. Ante esta situación se decidió realizar una tomografía computarizada de abdomen contrastado, que reportó pseudoquiste de 1460 mL de volumen aproximado, en contacto con la pared gástrica posterior (Figura 1).

Se tomó una endoscopia de las vías digestivas altas y se encontró compresión de la pared posterior del estómago. Ante la imposibilidad de remisión a un centro con disponibilidad de ecoendoscopia, se decidió realizar el drenaje con cistogastrostomía endoscópica, la cual se efectuó al completar la octava semana.
Se incidió en la pared posterior del estómago a nivel del antro con salida de material necrótico y pancreático de aproximadamente 1500 mL. Se realizó dilatación de la cistogastrostomía con balón de hasta 18 mm de diámetro en salas de cirugía (Figura 2). En el mismo tiempo quirúrgico se tomó colangiografía endoscópica descartando coledocolitasis. Se realizó pancreatografía y se encontró una dilatación del conducto pancreático, sin disrupción, y se efectuó una papilotomía pancreática y biliar.

Al tercer día de la intervención primaria, la paciente tuvo signos de infección sistémica, fiebre (39,2), leucocitosis y procalcitonina positiva (31,3). En el reporte del cultivo del líquido del pseudoquiste hubo crecimiento de E. coli. Se administró piperacilina/tazobactam durante 8 días y se realizaron necrosectomías endoscópicas bajo sedación cada 24 a 48 horas (Figura 3).

Al tercer día de iniciado el manejo antibiótico se evidenció normalización de los reactantes de fase aguda y mejoría de las pruebas de función hepática. En total se realizaron 13 lavados a través de cistogastrostomía por vía endoscópica, y se consiguió una mejoría clínica y paraclínica, dándose de alta al día 45 de la estancia. Se realizó seguimiento durante 6 meses y se observó una adecuada evolución, sin dolor abdominal o recaídas, sin limitación funcional y ganancia de peso.
Discusión
La incidencia del pseudoquiste pancreático es baja (1 por cada 100 000 adultos por año), mientras que la prevalencia es de 6 % a 18,5 %. De acuerdo con la etiología, el pseudoquiste aparece en 20 % a 40 % de los casos de pancreatitis crónica, 70 % a 78 % se asocia con pancreatitis de etiología alcohólica, seguidos por pancreatitis crónica idiopática en 6 % a 16 % y pancreatitis crónica de etiología biliar en 6 % a 8 %9. De acuerdo con la clasificación de Atlanta10, el pseudoquiste pancreático gigante puede ocurrir después de una pancreatitis aguda y tiene un diámetro mayor de 10 cm11.
Hay pocas observaciones en la literatura sobre el manejo de pseudoquistes pancreáticos gigantes. Un estudio determinó que el tratamiento expectante se asocia con mayor morbimortalidad, comparado con los pseudoquistes pequeños, lo que sugiere que el drenaje externo temprano, antes del deterioro clínico, podría ser beneficioso12,13.
Como se describe en la literatura, en este caso, el tratamiento del pseudoquiste se realizó luego de la cuarta semana del inicio14. La elección del tratamiento de los pseudoquistes pancreáticos gigantes es controversial, incluye observación, drenaje endoscópico guiado o no por ecoendoscopia, drenaje percutáneo e intervenciones quirúrgicas15. Actualmente, el abordaje endoscópico es el preferido, ya que es menos invasivo. Tiene un éxito hasta del 95 %16, si se asocia con ecoendoscopia, menos complicaciones y más costo efectivo17, evita el drenaje externo (tasa de éxito del 98,3 %, con recurrencia del 2,5 %16) y tiene alta tasa de éxito a largo plazo. Sin embargo, la forma de drenaje, ya sea transmural o transpapilar, presenta aún divergencias, ya que al compararlas, no proporcionan un beneficio mayor en el resultado del tratamiento.
En las guías de la Sociedad de Gastroenterología Endoscópica de la India18 se menciona como método para drenaje el uso del catéter cola de cerdo; no obstante, en caso de pseudoquistes con contenido necrosado sugieren el manejo con stent metálico. El abordaje endoscópico mostró ventajas, la recuperación fue adecuada y sin complicaciones, a pesar de no contar con la ayuda de una ecoendoscopia, o LAMS, las cuales son las técnicas de elección para casos similares19.
Conclusión
La cistogastrostomía endoscópica guiada o no con ecoendoscopia y sin stent de aposición luminal es una opción terapéutica viable, segura, efectiva y económica para pacientes seleccionados con pseudoquiste pancreático gigante.
Referencias
Agalianos C, Passas I, Sideris I, Davides D, Dervenis C. Review of management options for pancreatic pseudocysts. Transl Gastroenterol Hepatol. 2018;3(3):18. https://doi.org/10.21037/tgh.2018.03.03
Gómez M, Otero W. Manejo del seudoquiste pancreático y la necrosis infectada. En: Aponte DM (editor). Tratado de pancreatología. Bogotá, Colombia: Editorial Panamericana Formas e Impresos. 2015. p. 107.
Memiş A, Parildar M. Interventional radiological treatment in complications of pancreatitis. Eur J Radiol. 2002;43(3):219-28. https://doi.org/10.1016/s0720-048x(02)00157-2
Radojkovic M, Kovacevic P, Radojkovic D. Pancreatic pseudocyst with spontaneous cutaneous fistulization. Medicine (Baltimore). 2018;97(35):e12051. https://doi.org/10.1097/MD.0000000000012051
Aghdassi AA, Mayerle J, Kraft M, Sielenkämper AW, Heidecke CD, Lerch MM. Pancreatic pseudocysts - When and how to treat? HPB (Oxford). 2006;8(6):432-41. https://doi.org/10.1080/13651820600748012
Gómez-Zuleta M, Lúquez-Mindiola A, Ruíz-Morales O. Drenaje de pseudoquiste pancreático guiado por ecoendoscopia sin fluoroscopia: serie de casos. Rev Col Gastroenterol. 2017;32(2):160-5. http://dx.doi.org/10.22516/25007440.143
Zárate-Suárez L, Mendoza-Saavedra J, Tovar-Fierro G, Arenas-Pinzón M. Drenaje transgástrico de pseudoquiste pancreático en paciente pediátrico. Rev Col Gastroenterol. 2018;33(2):161-5. http://dx.doi.org/10.22516/25007440.147
Saluja SS, Srivastava S, Govind SH, Dahale A, Sharma BC, Mishra PK. Endoscopic cystogastrostomy versus surgical cystogastrostomy in the management of acute pancreatic pseudocysts. J Minim Access Surg. 2020;16(2):126-31. https://doi.org/10.4103/jmas.JMAS_109_18
Khanna AK, Tiwary SK, Kumar P. Pancreatic pseudocyst: Therapeutic dilemma. Int J Inflam. 2012;2012:279476. https://doi:10.1155/2012/279476
Bradley EL 3rd. A clinically based classification system for acute pancreatitis. Summary of the International Symposium on Acute Pancreatitis, Atlanta, Ga, September 11 through 13, 1992. Arch Surg. 1993 May;128(5):586-90. https://doi.org/10.1001/archsurg.1993.01420170122019
Udeshika WAE, Herath HMMTB, Dassanayake SUB, Pahalagamage SP, Kulatunga A. A case report of giant pancreatic pseudocyst following acute pancreatitis: Experience with endoscopic internal drainage. BMC Res Notes. 2018;11(1):262. https://doi.org/10.1186/s13104-018-3375-9
Behrman SW, Melvin WS, Ellison EC. Pancreatic pseudocysts following acute pancreatitis. Am J Surg. 1996;172(3):228-31. https://doi.org/10.1016/s0002-9610(96)00157-2
Oblizajek N, Takahashi N, Agayeva S, Bazerbachi F, Chandrasekhara V, Levy M, et al. Outcomes of early endoscopic intervention for pancreatic necrotic collections: A matched case-control study. Gastrointest Endosc. 2020;91(6):1303-9. https://doi.org/10.1016/j.gie.2020.01.017
Gurakar M, Faghih M, Singh VK. Endoscopic intervention in pancreatitis: Perspectives from a gastroenterologist. Abdom Radiol (NY). 2020;45(5):1308-15. https://doi.org/10.1007/s00261-019-02314-7
Braghetto-Miranda I, Jiménez-Yuri R, Korn O, Arellano L. Manejo quirúrgico de pseudoquiste pancreático gigante: caso clínico. Rev Cirugía. 2021;73(2):217-21. https://dx.doi.org/10.35687/s2452-454920210021010
Misra D, Sood T. Pancreatic pseudocyst. Treasure Island (FL): StatPearls Publishing. 2021.
Tan JH, Chin W, Shaikh AL, Zheng S. Pancreatic pseudocyst: Dilemma of its recent management (Review). Exp Ther Med. 2021;21(2):159. https://doi.org/10.3892/etm.2020.9590
Shah R, Basha J, Rana S, Jagannath S, Rai P, Dhar S, et al. Endoscopic management of pancreatic fluid collections: Guidelines of Society of Gastrointestinal Endoscopy of India and Indian EUS Club. J Digest Endosc. 2021;12(01):003-010. https://doi.org/ 10.1055/s-0041-1728956
Irisawa A, Miyoshi H, Itoi T, Ryozawa S, Kida M, Inui K. Recent innovations in therapeutic endoscopy for pancreatobiliary diseases. Dig Endosc. 2020;32(3):309-15. https://doi.org/10.1111/den.13473
Notas
Notas de autor
*Correspondencia: Clara Patricia Barreto-Noratto. clarapbarreton@gmail.com
Declaración de intereses