Reporte de caso
Anemia ferropénica refractaria como presentación temprana de gastritis autoinmune en un adolescente
Refractory iron deficiency anemia as an early manifestation of autoimmune gastritis in a teenager
Anemia ferropénica refractaria como presentación temprana de gastritis autoinmune en un adolescente
Revista colombiana de Gastroenterología, vol. 37, núm. 2, pp. 220-224, 2022
Asociación Colombiana de Gastroenterología
Recepción: 19 Abril 2021
Aprobación: 24 Agosto 2021
Resumen: La gastritis autoinmune es una enfermedad subdiagnosticada en la población pediátrica. Lo anterior se debe a la ausencia de signos y síntomas específicos y manifestaciones clínicas tardías. Recientemente se ha identificado la anemia ferropénica como una manifestación hematológica precoz, lo que permite un enfoque diagnóstico temprano. Se presenta el caso de un adolescente colombiano, sin antecedentes de autoinmunidad, con ferropenia refractaria, en el que se realizaron estudios de extensión y se documentaron biopsias y serología compatible con gastritis autoinmune, con requerimiento de hierro parenteral en su evolución. Esta patología es subdiagnosticada en nuestro medio, ya que el diagnóstico temprano requiere un alto índice de sospecha, lo que permite la prevención de las complicaciones asociadas.
Palabras clave: Gastritis autoinmune, anemia ferropénica, células parietales, glándulas oxínticas, células enterocromafines, anemia perniciosa, niños, adolescentes.
Abstract: Autoimmune gastritis is an underdiagnosed disease in the pediatric population due to the absence of specific signs and symptoms and late clinical manifestations. Iron deficiency anemia has recently been identified as an early hematological manifestation, allowing an early diagnostic approach. We present the case of a Colombian teenager, with no history of autoimmunity, with refractory iron deficiency. He underwent extension studies; biopsies and serology compatible with autoimmune gastritis were documented, requiring parenteral iron in its evolution. This pathology is underdiagnosed in our context since early diagnosis requires a high index of suspicion to prevent associated complications.
Keywords: Autoimmune gastritis, iron deficiency anemia, parietal cells, oxyntic glands, enterochromaffin cells, pernicious anemia, children, teenagers.
Caso clínico
Paciente masculino de 16 años, procedente de Boyacá, con historia de un episodio sincopal asociado con emesis y hallazgo incidental de anemia ferropénica, con hipocromía y microcitosis sin causa clara, manejada inicialmente con hierro fólico polimaltosado y ácido fólico. Dentro de sus controles con hematología pediátrica se documenta refractariedad al tratamiento, por lo que se redirecciona a gastroenterología, donde se realizó una primera endoscopia de las vías digestivas altas. Las biopsias iniciales mostraron, a nivel del antro, una gastritis crónica no atrófica de patrón folicular con actividad leve, asociada a infección por Helicobacter pylori, por lo que se le indicó manejo tetraconjugado por 14 días.
Tras la erradicación de la infección, se inició la administración de sulfato ferroso de 300 mg y ácido ascórbico de 500 mg dos veces al día para el manejo de la ferropenia; el paciente asistió nuevamente a control por la persistencia de somnolencia y fatiga significativas. Sus paraclínicos (Tabla 1) mostraron la corrección de los volúmenes, pero una persistencia de ferropenia pese a recibir un aporte adecuado.

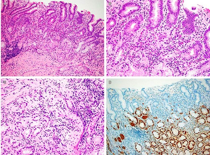
Se realiza una nueva esofagogastroduodenoscopia con biopsia de mucosa corporal, antral y esófago en la que se encuentra una gastritis crónica atrófica con extensa metaplasia pseudopilórica (antralización) y actividad moderada en la mucosa corporal (oxíntica), asociada con hiperplasia lineal y nodular de células neuroendocrinas (enterocromafines); esto último resaltado con el estudio de inmunohistoquímica para cromogranina (Figura 1). Mientras que en la mucosa antral se observó una gastritis crónica no atrófica leve, con agregados linfoides residuales, sin actividad inflamatoria aguda y sin evidencia de bacilos con morfología de Helicobacter pylori. Los hallazgos de una gastritis crónica atrófica restringida a la mucosa oxíntica, con hiperplasia de células neuroendocrinas (enterocromafines) son sugestivos de una gastritis autoinmune. Adicionalmente, a nivel esofágico, se documentó infección compatible con Candida sp. En consecuencia, a los hallazgos histológicos se completó el perfil autoinmune, se ajustó el manejo médico y finalmente se hizo el diagnóstico de gastritis autoinmune dada la presencia de anticuerpos anticélulas parietales positivos.

En los controles posteriores fue necesaria la reposición con hierro endovenoso en una ocasión. Actualmente, el paciente se encuentra sin requerimiento de manejo médico. La última esofagogastroduodenoscopia de control (Figura 2) evidenció la presencia de gastritis eritematosa corporoantral, cuyas biopsias mostraron una disminución en la marcación de gastrina, lo que corresponde al diagnóstico ya conocido, con paraclínicos dentro de límites normales.

Discusión
La gastritis autoinmune es una enfermedad subdiagnosticada en todo el mundo, especialmente en la infancia. Por un lado, debido a su naturaleza asintomática1,2; por otro, al tratamiento precoz que se les da a las alteraciones hematológicas una vez se identifican, sin antes indagar su diagnóstico etiológico3.
Actualmente, la gastritis autoinmune representa cerca del 10 % de los casos de gastritis en la población adulta1. Sin embargo, estas estimaciones no son claras en la población pediátrica, en la que la edad promedio de diagnóstico son los 12,3 años, siendo la anemia ferropénica refractaria la presentación más común2, como en nuestro caso.
La gastritis autoinmune es una enfermedad crónica inflamatoria que afecta selectivamente al cuerpo y al fondo gástrico, con la particularidad de preservar el antro4. Se caracteriza por la existencia de anticuerpos contra la bomba de protones H/K ATPasa y, en una menor proporción, contra el factor intrínseco1,2. La gastritis autoinmune es conocida por causar anemia perniciosa en adultos mayores, con la presentación clásica de anemia megaloblástica y deficiencia de cianocobalamina. Sin embargo, estudios recientes han relacionado a la anemia ferropénica con esta entidad en estadios mucho más tempranos, incluso en la población pediátrica1,2.
Actualmente, se desconoce la etiopatogenia de la gastritis autoinmune. Se cree que es resultado de la interacción de factores genéticos, hormonales y ambientales con defectos aún no definidos de la respuesta inmune3,5; sin embargo, estudios recientes hablan de la activación inadecuada de las células T reguladoras1. Por otro lado, se ha revisado la asociación que existe entre la gastritis autoinmune y la infección por Helicobacter pylori, y se encontró la existencia de mimetismo molecular entre los antígenos de la bacteria y los receptores de la bomba de protones localizados en las células parietales4. Algunos estudios han demostrado la estimulación de las células T contra las células parietales tras la infección, adjudicando un papel de esta en la patogénesis de la gastritis autoinmune3.
A nivel funcional, la afectación de las células parietales, productoras de factor intrínseco, es responsable de la malabsorción de cianocobalamina y el subsecuente desarrollo de anemia megaloblástica. Del mismo modo, puede haber anticuerpos específicos contra el factor intrínseco desencadenando las mismas manifestaciones clínicas4.
Adicionalmente, se compromete la secreción de ácido clorhídrico3 con una subsecuente elevación del pH gástrico, lo que afecta la solubilización y reducción del hierro, procesos que precisan de un ambiente ácido para ser efectivos y que al fallar facilitan el desarrollo de ferropenia4,6. Del mismo modo, un ambiente alcalino favorece la colonización del estómago por diferentes microorganismos, como sucedió en el caso presentado, lo que perpetúa una respuesta inflamatoria local3. En respuesta a la aclorhidria, hay una respuesta hipersecretora de gastrina, la cual favorece el desarrollo de hiperplasia de células enterocromafines y tumores neuroendocrinos3,4.
En cuanto a las manifestaciones clínicas de la enfermedad, la gastritis autoinmune suele ser silenciosa hasta alcanzar un grado significativo de atrofia glandular, y luego se puede presentar con debilidad, palidez y otros síntomas inespecíficos secundarios a la anemia4,5 como en nuestro paciente, quien inició con episodios de síncope. La edad de presentación suele ser variable y se correlaciona con las manifestaciones hematológicas7. Los pacientes jóvenes suelen presentar anemia ferropénica refractaria al tratamiento, mientras que los adultos mayores manifiestan síntomas relacionados con anemia megaloblástica secundaria al consumo crónico de las reservas de cianocobalamina1-4,6.
El diagnóstico se hace con base en la presencia de anticuerpos contra las células parietales, factor intrínseco o contra la H/K ATPasa3,4. Una serología positiva no solo apoya el diagnóstico, sino también informa sobre el compromiso hematológico y el grado de atrofia4. Actualmente, en el mundo existen diferentes paneles gastrointestinales que permiten la identificación de atrofia fúndica, estos incluyen biomarcadores como: niveles de pepsinógeno I y II, la razón entre estos dos y los niveles de gastrina4,5.
Por otro lado, es importante realizar estudios endoscópicos en los cuales se puede visualizar una gastritis focal a nivel del cuerpo, además de una pérdida de los pliegues anatómicos característicos de esta región y presencia de pseudopólipos1,3,7. Para realizar un diagnóstico histopatológico adecuado se debe contar con una muestra representativa teniendo en cuenta la localización topográfica por la naturaleza focal de la gastritis autoinmune y la necesidad de distinguir infección por Helicobacter pylori1-3.
El espectro histopatológico de la gastritis autoinmune es amplio y comprende cuatro fases, en ocasiones superpuestas. La primera fase incluye un infiltrado linfoplasmocitario en la lámina propia, el cual suele ser difuso y acentuado en la base de la mucosa. La segunda fase se caracteriza por la destrucción de las glándulas oxínticas con una consecuente metaplasia pseudopilórica (“antralización de la mucosa”), además del infiltrado linfoplasmocitario difuso en la lámina propia. La tercera fase comprende una destrucción progresiva de las glándulas oxínticas acompañada por una metaplasia intestinal o metaplasia pancreática acinar. La fase final corresponde a un reemplazo total de las glándulas oxínticas por un epitelio metaplásico y la ausencia de un componente inflamatorio prominente5.
Otro hallazgo característico de la gastritis autoinmune es la hiperplasia lineal y nodular de células enterocromafines en respuesta a la aclorhidria, lo cual puede llevar al desarrollo de tumores neuroendocrinos de tipo 15.
El seguimiento se debe realizar con los marcadores de atrofia, hemograma y tamizaje de enfermedades autoinmunes4. Lo anterior debe hacerse, ya que al igual que con otras enfermedades de esta índole, la preexistencia o el antecedente familiar se asocian con un mayor riesgo de padecer otras enfermedades autoinmunes, más comúnmente tiroiditis y diabetes mellitus tipo 11,3,4. En el caso presentado no había antecedentes familiares de autoinmunidad, y la evaluación contra otras enfermedades autoinmunes fue negativa.
El manejo de estos pacientes va dirigido al control de las manifestaciones hematológicas y la prevención de su progresión3. La corrección de la anemia ferropénica se hace mediante la suplementación del elemento según los requerimientos basales1,2, y, en el caso de refractariedad, definida como la falla en la respuesta al manejo con hierro oral, por lo menos durante dos meses6, se opta por la administración de hierro endovenoso con la finalidad de repletar sus depósitos6. En casos avanzados con anemia perniciosa, el manejo se centra en el control de las reservas de cianocobalamina2,3.
Hasta el momento no se tiene certeza sobre el pronóstico de estos pacientes. Los estudios demuestran una disminución de la progresión de la enfermedad mas no reversión de los cambios instaurados2. Adicionalmente, al tratarse de un proceso inflamatorio crónico que conlleva cambios del recubrimiento epitelial no se debe olvidar el riesgo de cáncer gástrico que tienen estos pacientes7. Se recomienda hacer un control endoscópico cada cinco años para vigilar la presencia de lesiones preneoplásicas y evaluar su progresión1,2.
Conclusión
La gastritis autoinmune debe ser reconocida como una enfermedad que se presenta en la población pediátrica. Si bien sus síntomas son inespecíficos, el hallazgo incidental de anemia ferropénica refractaria al tratamiento debe sugerir su diagnóstico. Una identificación temprana permite instaurar el tratamiento e implementar estrategias para prevenir su progresión. Por el momento, el tratamiento se centra en el control de la anemia carencial identificada, además del seguimiento endoscópico, para la detección temprana de lesiones preneoplásicas y malignidad de la región en la edad adulta.
Referencias
Gonçalves C, Oliveira M, Palha A, Ferrão A, Morais A, Lopes A. Autoimmune gastritis presenting as iron deficiency anemia in childhood. World J Gastroenterol. 2014;20(42):15780-86. https://doi.org/10.3748/wjg.v20.i42.15780
Saglietti C, Sciarra A, Abdelrahman K, Schneider V, Karpate A, Nydegger A, et al. Autoimmune Gastritis in the Pediatric Age: An Underestimated Condition Report of Two Cases and Review. Front Pediatr. 2018;6:123. https://doi.org/10.3389/fped.2018.00123
Neumann W, Coss E, Rugge M, Genta R. Autoimmune atrophic gastritis-pathogenesis, pathology and management. Nat Rev Gastroenterol Hepatol. 2013;10(9):529-41. https://doi.org/10.1038/nrgastro.2013.101
Toh B. Diagnosis and classification of autoimmune gastritis. Autoimmun Rev. 2014;13(4-5):459-62. https://doi.org/10.1016/j.autrev.2014.01.048
Coati I, Fassan M, Farinati F, Graham D, Genta R, Rugge M. Autoimmune gastritis: Pathologist’s viewpoint. World J Gastroenterol. 2015;21(42):12179-89. https://doi.org/10.3748/wjg.v21.i42.12179
Miguel N, Costa E, Santalha M, Lima R, Vizcaino J, Pereira F, et al. Refractory Iron-deficiency Anemia and Autoimmune Atrophic Gastritis in Pediatric Age Group. J Pediatr Hematol Oncol. 2014;36(2):134-39. https://doi.org/10.1007/s10354-016-0515-5
Kulnigg-Dabsch S. Autoimmune gastritis. WMW. 2016;166(13-14):424-30. https://doi.org/10.1007/s10354-016-0515-5
Notas
Notas de autor
*Correspondencia: José Fernando Vera-Chamorro. jfvera1@gmail.com