Reporte de caso
Trombosis esplácnica como presentación de neoplasia mieloproliferativa latente asociada con síndrome de plaqueta pegajosa
Splanchnic vein thrombosis as a manifestation of latent myeloproliferative neoplasm associated with sticky platelet syndrome
Trombosis esplácnica como presentación de neoplasia mieloproliferativa latente asociada con síndrome de plaqueta pegajosa
Revista colombiana de Gastroenterología, vol. 37, núm. 2, pp. 237-241, 2022
Asociación Colombiana de Gastroenterología
Recepción: 12 Mayo 2021
Aprobación: 26 Julio 2021
Resumen: La trombosis venosa de sitios inusuales como la esplácnica continúa siendo un reto no solo diagnóstico sino también terapéutico para el clínico debido a su forma de presentación y las patologías asociadas. La neoplasia mieloproliferativa latente JAK2 (cinasa de Janus 2) positiva asociada con síndrome de plaqueta pegajosa es inusual. Se presenta un caso clínico de una paciente de 38 años de edad que debutó con dolor abdominal de inicio súbito que sugirió un posible origen vascular. Se diagnosticó trombosis esplácnica en relación con neoplasia mieloproliferativa latente por la identificación de la mutación de la JAK2V617F y síndrome de plaqueta pegajosa mediante agregometría plaquetaria. Se administró de manera off-label anticoagulación con rivaroxabán 20 mg/día. Durante su seguimiento ambulatorio no ha presentado nuevos episodios trombóticos.
Palabras clave (DeCS): Trombosis, trombofilia, neoplasia, anticoagulantes, enfermedades hematológicas.
Abstract: Vein thrombosis of unusual sites such as the splanchnic region continues to be not only a diagnostic but also a therapeutic challenge for the clinician due to its manifestation and associated pathologies. Latent JAK2 (Janus kinase 2) positive myeloproliferative neoplasm associated with sticky platelet syndrome is unusual. We present a clinical case of a 38-year-old female patient who presented with sudden onset abdominal pain of a possible vascular origin. Splanchnic thrombosis was diagnosed in latent myeloproliferative neoplasm by identifying the JAK2V617F mutation and sticky platelet syndrome via platelet aggregometry. Off-label anticoagulation with rivaroxaban 20 mg/day was administered. During her outpatient follow-up, she did not suffer any new thrombotic episodes.
Keywords (MeCS): Thrombosis, thrombophilia, neoplasm, anticoagulants, hematological diseases.
Introducción
La enfermedad tromboembólica venosa se ha posicionado como una condición de interés en salud pública, dada la alta morbimortalidad que conlleva, más aún la relacionada con sitios inusuales que suponen un reto tanto diagnóstico como terapéutico1. En este orden de ideas, es importante precisar que la trombosis esplácnica hace referencia a la ubicada en la vena porta, mesentérica, esplénica o en el flujo venoso hepático; generalmente son poco comunes y ocurren en el contexto de trombofilias hereditarias (21 %), trastornos infecciosos, inflamatorios, neoplasias o cirrosis hepática; tiene manifestaciones que son inespecíficas, y el dolor abdominal es el síntoma más común (50 %), seguido de hemorragia gastrointestinal y ascitis2,3.
Las trombofilias se han relacionado frecuentemente con la enfermedad tromboembólica venosa. Estas se pueden clasificar en primarias cuando tiene un carácter hereditario, como en el caso del síndrome de plaqueta pegajosa, y secundarias si se asocian con un factor de riesgo adquirido como la mutación de la cinasa de Janus 2 (JAK2)4, que se documenta hasta en el 32,7 % de los pacientes con trombosis venosa esplácnica3.
Clásicamente, este tipo de mutación se ha relacionado con neoplasias mieloproliferativas (NMP) de cromosoma filadelfia negativo tales como policitemia vera (96 %), trombocitosis esencial (55 %) y mielofibrosis primaria (65 %)5. La condición latente de este tipo de neoplasias se refiere a la sola identificación de la mutación JAK2 sin alteraciones periféricas como citopenias y con niveles de eritropoyetina normales. Es necesario reconocerla ya que cada vez toma mayor importancia dado el espectro clínico que dará lugar a la evolución natural de la enfermedad6.
Aparte de las NMP, es importante en la trombosis de sitios inusuales considerar otras posibles etiologías como el síndrome de plaqueta pegajosa, una enfermedad autosómica dominante que se caracteriza por la agregación anormal de plaquetas; para su diagnóstico se debe realizar una agregometría plaquetaria con epinefrina y difosfato de adenosina (ADP), se exponen las plaquetas a bajas concentraciones de estas sustancias y se valora la respuesta comparada con parámetros de normalidad para la prueba7. Se ha asociado con eventos trombóticos arteriales (21 %) y venosos (13 %), generalmente recurrentes; su presentación se puede relacionar con cualquier estado de hipercoagulabilidad, la más frecuente es la mutación del factor V de Leiden8.
A continuación, se expone un caso de trombosis esplácnica como presentación inicial de NMP latente asociado con síndrome de plaqueta pegajosa.
Caso clínico
Se trata de una mujer de 38 años que ingresó al servicio de urgencias por un cuadro clínico de inicio súbito, caracterizado por dolor agudo de características nociceptivas viscerales, localizado inicialmente en el epigastrio con posterior generalización, irradiado a la región lumbar bilateral, con una intensidad 9/10 en la escala visual analógica (EVA) de dolor, no tenía atenuantes ni exacerbantes; asociado con sudoración, náuseas y vómito de contenido alimentario. Refería el primer episodio que presentaba para este tipo de sintomatología. No tenía antecedentes patológicos, familiares, ginecobstétricos ni farmacológicos relevantes y la revisión de síntomas por sistemas fue negativa. En el examen físico se encontró con presión arterial (PA): 100/50 mm Hg y frecuencia cardíaca (FC): 99 latidos por minuto (lpm), a nivel abdominal presentaba distensión y dolor difuso a la palpación predominante en el hemiabdomen superior, sin signos de irritación peritoneal.
Por las características del dolor de inicio súbito se consideró prudente descartar un origen vascular, por lo cual se realizó una tomografía abdominal contrastada que evidenció trombosis de la vena porta sin transformación cavernomatosa; se procedió a realizar una endoscopia de vía digestiva superior en la que se encontraron várices esofágicas grandes de 7 mm de diámetro, tortuosas desde los 27 cm hasta la línea Z, las cuales con la insuflación máxima ocupaban más de un tercio del lumen del esófago. Sobre la superficie de las várices se observaron manchas rojas cereza clasificadas como F3, al igual que se identificaron várices cardinales, y se procedió a ligar las várices esofágicas. Sin embargo, persistió con el dolor abdominal, se consideró la realización de laparoscopia en la que se halló líquido serohemorrágico y asa de yeyuno isquémica en un segmento de 20 cm a 5 cm del ligamento de Treitz, sin necrosis con ingurgitación venosa mesentérica y pulsos conservados.
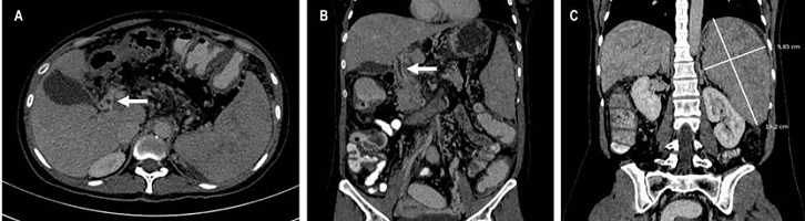
Se practicó la aspiración del contenido y no se consideró alguna conducta quirúrgica adicional; posteriormente, se decidió realizar una angiografía abdominal en la que se encontró una trombosis de la vena esplénica, mesentérica y vena porta intrahepática con circulación colateral y cortocircuito fisiológico esplenorrenal asociada con esplenomegalia y permeabilización de la vena gástrica izquierda (Figura 1). Se indicó anticoagulación con heparina de bajo peso molecular (HBPM) y bloqueante β no selectivo.

Dado que las principales causas de trombosis en estos sitios son las trombofilias, se realizaron estudios pertinentes (Tabla 1) en los cuales solo se identificó una mutación de la JAK2V617F y el hemograma mostró hallazgos relacionados con anemia leve; debido a lo anterior, se solicitaron niveles de eritropoyetina (EPO), que se encontraron dentro de los parámetros normales, por lo cual se consideró una NMP en forma latente.

Además, se realizó una agregometría plaquetaria, la cual evidenció hiperagregación a dos concentraciones tanto con ADP como epinefrina (Figura 2) y se clasificó como síndrome de plaqueta pegajosa (SPP) tipo 1. Una vez presentó mejoría clínica, se indicó la anticoagulación en modalidad off-label o no aprobado con rivaroxabán 20 mg/día.

Discusión
Se presenta el caso de una paciente adulta joven que tuvo como manifestación inicial dolor abdominal súbito, y este es uno de los síntomas que mayor confusión generan en un servicio de urgencias debido a los múltiples diagnósticos diferenciales que puede generar esta condición. La aparición súbita causa alarma por las posibles etiologías relacionadas, entre las que se destacan las perforaciones de víscera o alteraciones vasculares (ruptura o isquemia)9; dada la preservación de signos vitales y la ausencia de signos de irritación peritoneal, se consideró como primer estudio la realización de tomografía abdominal contrastada que evidenció trombosis en la vena porta y, posteriormente, por medio de angiotomografía se confirma la trombosis venosa esplácnica (sitio inusual de trombosis); además, se logran descartar otras causas como las ginecológicas. Es importante tener en cuenta que este es el síntoma más frecuente en este tipo de patología3.
En pacientes menores de 40 años y en presencia de trombosis esplácnica es esencial la búsqueda de trombofilias primarias tales como mutación del factor V de Leiden, protrombina, antitrombina III, deficiencias de proteína S y C, homocisteína, síndrome de plaquetas pegajosas y secundarias como síndrome antifosfolipídico y NMP crónicas con el fin de poder definir estrategias terapéuticas a largo plazo10. Igualmente, se deben descartar otras alteraciones tales como la HPN, la cual toma una relevancia importante ya que su identificación es un factor independiente para mortalidad11, lo cual se logró descartar mediante citometría de flujo de sangre periférica.
La paciente del caso clínico presentaba dos condiciones que aumentaban el riesgo de eventos trombóticos venosos como la mutación de la JAK2 en el contexto de una NMP latente y síndrome de plaquetas pegajosas4-8. Es importante destacar que su prevalencia es bastante rara, por lo cual este sería uno de los primeros casos reportados con esta asociación.
Con respecto al tratamiento de la trombosis esplácnica, este se fundamenta en la anticoagulación de manera precoz para mejorar la recanalización de los vasos y evitar complicaciones; sin embargo, el riesgo de sangrado es alto, sobre todo en pacientes con várices esofágicas5. En los últimos años se ha logrado demostrar la eficacia de rivaroxabán en la resolución de la trombosis (86 % frente a 45 % de la warfarina), mejoría de la recanalización tardía, sin recurrencia de los eventos trombóticos y sin episodios de sangrado frente a la warfarina12. Adicionalmente, en una cohorte prospectiva de la clínica Mayo, donde se evaluó la seguridad de los anticoagulantes orales de acción directa (DOAC), se incluyeron 63 pacientes con trombosis inusual, en su mayoría mujeres (63 %) y se evidenció no inferioridad en el riesgo de recurrencia de los eventos trombóticos y sangrados con los DOAC (rivaroxabán y apixabán) en comparación con las HBPM13. El tratamiento de primera línea para el síndrome de plaquetas pegajosas es el ácido acetilsalicílico14. En el presente caso, ante la evidencia de factores que incrementaran el riesgo de trombosis recurrente, se decidió iniciar anticoagulación indefinida como medida off-label o no aprobada con inhibidor directo del factor Xa (rivaroxabán 20 mg/día); sin embargo, debido al alto riesgo de sangrado de esta paciente por la presencia de várices esofágicas y por no contar con ensayos clínicos que evalúen la terapia dual junto al ácido acetilsalicílico, en este contexto no se consideró su empleo. Con este enfoque terapéutico, la paciente ha tenido un seguimiento ambulatorio por 15 meses y no ha presentado nuevos episodios trombóticos sintomáticos.
Conclusión
Durante la evaluación del dolor abdominal agudo de aparición súbita es importante la aplicación correcta de la semiología para identificar al paciente que requiere manejo médico o quirúrgico. En este contexto, es necesario descartar el origen vascular como factor causal. El uso adecuado de ayudas diagnósticas como la tomografía de abdomen contribuyen a excluir o confirmar posibles etiologías teniendo en cuenta el grupo etario y la presentación clínica. La trombosis venosa de sitios inusuales, como la esplácnica, es una entidad de baja prevalencia, lo cual implica un reto no solo diagnóstico sino terapéutico para el clínico debido a su forma de presentación y las patologías asociadas como las trombofilias tanto primarias (síndrome de plaquetas pegajosas) como secundarias (NMP latente). Todo lo anterior es relevante a la hora de instaurar un tratamiento de forma eficaz, en este caso la anticoagulación, mejorando el pronóstico y la calidad de vida del paciente.
Agradecimientos
Ninguno declarado por los autores.
Referencias
Konstantinides SV, Meyer G, Becattini C, Bueno H, Geersing GJ, Harjola VP, et al. 2019 ESC Guidelines for the diagnosis and management of acute pulmonary embolism developed in collaboration with the European Respiratory Society (ERS). Eur Heart J. 2020;41(4):543-603. https://doi.org/10.1093/eurheartj/ehz405
Salhotra A, Oo TH. JAK2 (V617F) Positive Latent Myeloproliferative Neoplasm Presenting with Splanchnic Vein Thrombosis. Indian J Hematol Blood Transfus. 2014;30(Suppl 1):4-8. https://doi.org/10.1007/s12288-012-0215-2
Valeriani E, Riva N, Di Nisio M, Ageno W. Splanchnic Vein Thrombosis: Current Perspectives. Vasc Health Risk Manag. 2019;15:449-461. https://doi.org/10.2147/VHRM.S197732
Shah D. Thrombophllia. En: Collier VU (editor). Board basics: An enhancement to MKSAP. 18.a edición. American College of Physicians; 2018. p. 217-219.
Tefferi A, Barbui T. Polycythemia vera and essential thrombocythemia: 2019 update on diagnosis, risk-stratification and management. Am J Hematol. 2019;94(1):133-143. https://doi.org/10.1002/ajh.25303
Goodyer M, Langabeer SE, Haslam K, Murphy K. The JAK2 V617F Allele Burden in Latent Myeloproliferative Neoplasms Presenting with Splanchnic Vein Thrombosis. Pathol Oncol Res. 2016;22(1):229-30. https://doi.org/10.1007/s12253-015-9994-8
Ocampo-Salgado C, Duque-Ramírez M, Serna-Posada M del M, Díaz-Martínez JC, Aristizábal-Aristizábal J. Trombosis venosa subclavia asociada a electrodo de marcapasos y síndrome de la plaqueta pegajosa. Rev Colomb Cardiol. 2018;25(2):154-61. https://doi.org/10.1016/j.rccar.2017.11.029
Velázquez-Sánchez-de-Cima S, Zamora-Ortiz G, Hernández-Reyes J, Vargas-Espinosa J, García-Chavez J, Rosales-Padrón J, et al. Primary thrombophilia in México X: a prospective study of the treatment of the sticky platelet syndrome. Clin Appl Thromb Hemost. 2015;21(1):91-5. https://doi.org/10.1177/1076029613501543
Ocampo chaparro JM GHA. Abdomen agudo en el anciano. Rev Colomb Cir. 2006;21(4):266-282.
Connors JM. Thrombophilia Testing and Venous Thrombosis. N Engl J Med. 2017;377(12):1177-1187. https://doi.org/10.1056/NEJMra1700365
Hill A, DeZern AE, Kinoshita T, Brodsky RA. Paroxysmal nocturnal haemoglobinuria. Nat Rev Dis Primers. 2017;3:17028. https://doi.org/10.1038/nrdp.2017.28
Hanafy AS, Abd-Elsalam S, Dawoud MM. Randomized controlled trial of rivaroxaban versus warfarin in the management of acute non-neoplastic portal vein thrombosis. Vascul Pharmacol. 2019;113:86-91. https://doi.org/10.1016/j.vph.2018.05.002
Janczak DT, Mimier MK, McBane RD, Kamath PS, Simmons BS, Bott-Kitslaar DM, et al. Rivaroxaban and Apixaban for Initial Treatment of Acute Venous Thromboembolism of Atypical Location. Mayo Clin Proc. 2018;93(1):40-47. https://doi.org/10.1016/j.mayocp.2017.10.007
Kubisz P, Holly P, Stasko J. Sticky Platelet Syndrome: 35 Years of Growing Evidence. Semin Thromb Hemost. 2019;45(1):61-68. https://doi.org/10.1055/s-0038-1676581
Notas
Notas de autor
*Correspondencia: José Mauricio Ocampo-Chaparro. jose.m.ocampo@correounivalle.edu.co
Declaración de intereses