Case report
Received: 14 February 2022
Accepted: 09 March 2022
DOI: https://doi.org/10.22516/25007440.884
Abstract: Interleukin 17 (IL-17) inhibitors are approved for treating psoriasis, psoriatic arthropathy, and ankylosing spondylitis. IL-17 is involved in the pathogenesis of inflammatory bowel disease (IBD); however, paradoxical events have been reported using selective IL-17 inhibitors such as secukinumab, whose pathophysiological mechanisms have not been fully clarified. Although the incidence of IBD in this group of patients is low, the risk could be reduced by carefully assessing risk factors such as family history, gastrointestinal symptoms, and fecal calprotectin before starting treatment.
Keywords: Secukinumab, ulcerative colitis, ankylosing spondylitis.
Resumen: Los inhibidores de interleucina 17 (IL-17) se encuentran aprobados para el tratamiento de psoriasis, artropatía psoriásica y espondilitis anquilosante. La IL-17 se encuentra involucrada en la patogenia de la enfermedad inflamatoria intestinal (EII); sin embargo, hasta la fecha se han reportado eventos paradójicos con el uso inhibidores selectivos de IL-17 como el secukinumab, cuyos mecanismos fisiopatológicos no han sido del todo aclarados. Aunque la incidencia de EII en este grupo de pacientes es baja, el riesgo podría disminuirse mediante una evaluación cuidadosa de factores de riesgo tales como historia familiar, síntomas gastrointestinales y la realización de calprotectina fecal previo al inicio del tratamiento.
Palabras clave: Secukinumab, colitis ulcerativa, espondilitis anquilosante.
Introduction
Interleukin 17 (IL-17) is a proinflammatory cytokine that has been linked to the pathogenesis of inflammatory bowel disease (IBD).1 Selective inhibitors of IL-17, such as secukinumab (a monoclonal antibody approved for treating psoriasis, psoriatic arthropathy, and ankylosing spondylitis [AS]), have been paradoxically associated with exacerbations or the development of IBD. This seems to be due to the protective effect of IL-17 against inflammation by inhibiting the Th1 response and maintaining the epithelial barrier of enterocytes, thus preserving intestinal homeostasis.2
Presentation of the case
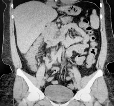
A 43-year-old female patient with a medical history of ankylosing spondylitis (AS) since the age of 20, fibromyalgia, arterial hypertension, hypothyroidism, and latent tuberculosis treated in 2019 presented to the hospital with symptoms of diffuse abdominal pain and multiple bloody diarrheal stools (more than fifteen times a day) for a week. The patient had been treated with etanercept, adalimumab, abatacept, and since 2017, with secukinumab. On admission, the patient was tachycardic, dehydrated, afebrile, and had lower abdominal pain without signs of peritoneal irritation. Laboratory tests showed no alterations in blood count, and an ultrasound and tomographic study revealed wall thickening of the right colon with mucous enhancement, multiple mesenteric lymphadenopathies, and some free fluid at the bottom of the sac (Figure 1). Colonoscopy showed edema, erythema, mucosal friability, loss of vascular pattern, and ulcerations covered by fibrin from the rectum to the cecum, which are consistent with extensive ulcerative colitis (Figure 2 ).


Based on the patient’s symptoms and endoscopic findings, a diagnosis of severe ulcerative colitis was made, and treatment with intravenous corticosteroids, oral 5-aminosalicylic acid (5-ASA in granules), and enemas was initiated. The pathology report indicated that the patient had inflammatory bowel disease suggestive of severe ulcerative colitis without dysplasia or metaplasia. The patient’s infectious profile showed only positive results for CMV IgG, normal liver function, and a fecal calprotectin level above 1000 ng/mL. Fortunately, the patient responded well to treatment and experienced a resolution of her symptoms. As a result, the corticosteroid treatment was gradually discontinued, and the patient was switched to tofacitinib in consultation with the rheumatology team.
Discussion
Secukinumab is a human monoclonal antibody that specifically blocks interleukin 17A (IL-17A),3 an inflammatory regulation molecule linked to the development of autoimmune diseases such as ankylosing spondylitis (AS), psoriatic arthritis (PA), and psoriasis. Additionally, murine studies suggest a role for IL-17A in maintaining gastrointestinal homeostasis and tissue repair by stimulating mucin production, which strengthens the bond between claudin and occluding proteins5 and maintains intestinal barrier integrity.4 Although spondyloarthropathies such as AS and PA (treated with secukinumab) share overlapping characteristics with inflammatory bowel disease (IBD), their immune mechanism is not well understood. It is noteworthy that at least 50% of patients with AS or PA exhibit histological changes of inflammation in colon samples, and approximately 7% may develop Crohn’s disease or ulcerative colitis,6 which suggests that they have a threefold higher risk of developing IBD compared to the general population.7,8
Blocking IL-17A, which is used as a treatment for AS, may lead to a possible deterioration of the intestinal epithelial barrier, which could initiate or worsen the phenotypes of IBD, such as ulcerative colitis or Crohn’s disease.3
It has been reported that up to 7.8% of patients receiving secukinumab may present gastrointestinal symptoms associated with its administration.9 However, most of them do not develop objective evidence of IBD or require treatment discontinuation. The incidence of new cases of IBD following secukinumab administration has been reported between 0.2% and 0.7%.7,10,11
Studies have reported that up to 7.8% of patients treated with secukinumab may experience gastrointestinal symptoms related to its use.9 However, the majority of these cases do not result in the development of clear evidence of IBD or require treatment discontinuation. The incidence of new-onset IBD following secukinumab treatment has been estimated to range from 0.2% to 0.7%.7,10,11
While the incidence of IBD in patients treated with secukinumab is low, it is still recommended to carefully investigate the patient’s family history of IBD or gastrointestinal symptoms before starting treatment.7 Patients should be informed of the possibility of developing gastrointestinal adverse events. As some may present subclinical IBD, fecal calprotectin is suggested, and patients with normal values may be considered for treatment, although close monitoring for the appearance of gastrointestinal symptoms is essential. Those with elevated values should be evaluated to rule out an IBD diagnosis. For patients with active IBD, treatment initiation is contraindicated. For patients with a known diagnosis of IBD in the quiescent phase, other therapeutic options should be considered.12 Currently, there are no known reported cases of secukinumab-induced or exacerbated IBD in Colombia.
Conclusions
Although the incidence of IBD in patients treated with IL-17 inhibitors is low, it is important to note that a significant percentage of patients receiving this group of medications may develop gastrointestinal adverse events that require monitoring and follow-up.
Performing a thorough evaluation of family history, previous symptoms, and fecal calprotectin levels before starting treatment is a proposed strategy to reduce the risk of developing IBD or worsening existing symptoms.
Acknowledgments:
Thanks to Dr. Lázaro Arango Molano, coordinator of the Clinical Surgical Gastroenterology program of Universidad de Caldas and Association of Surgeons - Oncologists of the West, the institution where the patient was treated.
Referencias
Kobayashi T, Okamoto S, Hisamatsu T, Kamada N, Chinen H, Saito R, et al. IL23 differentially regulates the Th1/Th17 balance in ulcerative colitis and Crohn’s disease. Gut. 2008;57(12):1682-9. https://doi.org/10.1136/gut.2007.135053
Abraham C, Dulai PS, Vermeire S, Sandborn WJ. Lessons Learned From Trials Targeting Cytokine Pathways in Patients With Inflammatory Bowel Diseases. Gastroenterology. 2017;152(2):374-388.e4. https://doi.org/10.1053/j.gastro.2016.10.018
Wang J, Bhatia A, Cleveland NK, Gupta N, Dalal S, Rubin DT, et al. Rapid Onset of Inflammatory Bowel Disease after Receiving Secukinumab Infusion. ACG Case Reports J. 2018;5(1):e56. https://doi.org/10.14309/crj.2018.56
Whibley N, Gaffen SL. Gut-busters-IL-17 Ain’t Afraid Of No IL-23 HHS Public Access. Immunity. 2015;43(4):620-2. https://doi.org/10.1016/j.immuni.2015.10.001
Eichele DD, Kharbanda KK. Dextran sodium sulfate colitis murine model: An indispensable tool for advancing our understanding of inflammatory bowel diseases pathogenesis. World J Gastroenterol. 2017;23(33):6016-29. https://doi.org/10.3748/wjg.v23.i33.6016
Van Praet L, Van Den Bosch FE, Jacques P, Carron P, Jans L, Colman R, et al. Microscopic gut inflammation in axial spondyloarthritis: A multiparametric predictive model. Ann Rheum Dis. 2013;72(3):414-7. https://doi.org/10.1136/annrheumdis-2012-202135
Onac IA, Clarke BD, Tacu C, Lloyd M, Hajela V, Batty T, et al. Secukinumab as a potential trigger of inflammatory bowel disease in ankylosing spondylitis or psoriatic arthritis patients. Rheumatology (Oxford). 2021;60(11):5233-5238. https://doi.org/10.1093/rheumatology/keab193
Emond B, Ellis LA, Chakravarty SD, Ladouceur M, Lefebvre P. Real-world incidence of inflammatory bowel disease among patients with other chronic inflammatory diseases treated with interleukin-17a or phosphodiesterase 4 inhibitors. Curr Med Res Opin. 2019;35(10):1751-9. https://doi.org/10.1080/03007995.2019.1620713
Caron B, Jouzeau JY, Miossec P, Petitpain N, Gillet P, Netter P, et al. Gastroenterological safety of IL-17 inhibitors: a systematic literature review. Expert Opin Drug Saf. 2021;00(00):1-17. https://doi.org/10.1080/14740338.2021.1960981
Orrell KA, Murphrey M, Kelm RC, Lee HH, Pease DR, Laumann AE, et al. Inflammatory bowel disease events after exposure to interleukin 17 inhibitors secukinumab and ixekizumab: Postmarketing analysis from the RADAR (“Research on Adverse Drug events And Reports”) program. J Am Acad Dermatol. 2018;79(4):777-8. https://doi.org/10.1016/j.jaad.2018.06.024
Schreiber S, Colombel JF, Feagan BG, Reich K, Deodhar AA, McInnes IB, et al. Incidence rates of inflammatory bowel disease in patients with psoriasis, psoriatic arthritis and ankylosing spondylitis treated with secukinumab: A retrospective analysis of pooled data from 21 clinical trials. Ann Rheum Dis. 2019;78(4):473-9. https://doi.org/10.1136/annrheumdis-2018-214273
Fauny M, Moulin D, D’Amico F, Netter P, Petitpain N, Arnone D, et al. Paradoxical gastrointestinal effects of interleukin-17 blockers. Ann Rheum Dis. 2020;79(9):1132-8. https://doi.org/10.1136/annrheumdis-2020-217927
Citation:
Author notes
*Correspondence: Ileana Rocío Bautista-Parada. ibautista4@gmail.com