Case report
Recurrence in Patients with Epiploic Appendagitis: A Case Report
Recurrencia en pacientes con apendagitis epiploica: un reporte de caso
Recurrence in Patients with Epiploic Appendagitis: A Case Report
Revista colombiana de Gastroenterología, vol. 38, no. 1, pp. 94-99, 2023
Asociación Colombiana de Gastroenterología
Received: 12 April 2022
Accepted: 14 June 2022
Abstract: Epiploic appendagitis is a rare cause of acute abdominal pain. Management is self-limiting; however, some require surgical intervention. This case describes a 41-year-old female patient admitted to the emergency service for a clinical picture of an acute abdomen. On physical examination, the abdomen was soft, depressible, and painful on palpation in the left upper quadrant. A computerized axial tomography (CT) was requested, which revealed a hypodense oval image with a hyperdense center compatible with epiploic appendagitis. The patient received conservative therapy and was then discharged. Seven months later, the patient returned for an acute abdominal condition; complementary tests were negative, and she was treated again with conservative therapy. For 12 months, the patient has not relapsed. This case describes the recurrences in this rare pathology and the treatment that should be evaluated to avoid these relapses.
Keywords: Abdominal pain, recurrence, case reports (DeCS/BIREME).
Resumen: La apendagitis epiploica es una causa infrecuente de dolor abdominal agudo. El manejo es autolimitado; sin embargo, algunos necesitan intervención quirúrgica. Este caso describe a una paciente mujer de 41 años que ingresó al servicio de emergencia por un cuadro clínico de abdomen agudo. En el examen físico presentó un abdomen blando, depresible y doloroso a la palpación en el cuadrante superior izquierdo. Se solicitó una tomografía axial computarizada (TAC) en la que se evidenció una imagen hipodensa ovalada con un centro hiperdenso compatible con apendagitis epiploica. La paciente recibió terapia conservadora y luego se le indicó el alta médica. Siete meses después la paciente acudió nuevamente por un cuadro abdominal agudo, los exámenes complementarios resultan negativos y fue tratada nuevamente con terapia conservadora. Por un período de 12 meses la paciente no ha vuelto a presentar otra recaída. Este caso describe las recurrencias que existen en esta patología poco común y el tratamiento que se debería evaluar para evitar estas recaídas.
Palabras clave: Dolor abdominal, recurrencia, informes de casos (DeCS/BIREME).
Introduction
The epiploic appendages are anatomical structures that arise from peritoneal extensions. From 50 and 100 epiploic appendages originate in two rows (anterior and posterior) parallel to the external surface of the three longitudinal muscle bands of the large intestine.1 As Sand et al. state, the epiploic appendix was first described in 1543 by Vesalius. However, it did not have clinical significance until 1853, when Virchow suggested that the detachment of the epiploic appendages could be the source of intraperitoneal bodies.2 The term epiploic appendagitis (EA) was first described by Lynn in 1956, while the radiological features were defined by Danielson in 1986.3-5 Epiploic appendagitis is a rare cause of acute abdominal pain and misdiagnosis resulting from inflammation, torsion, or infarction of the vascular pedicle of an epiploic appendix.6 It appears as acute abdominal pain, which may be accompanied by fever, nausea, and vomiting, among others. The incidence of EA is 8.8 per million people7 and is misdiagnosed in medical practice due to the lack of pathognomonic clinical features.8 Treatment is usually self-limiting in most cases; however, this pathology can sometimes recidivate.
Case report
This is a 41-year-old female patient who first went to the emergency service on October 14, 2020, after two days of intense pain in the left hemiabdomen of colic type and intensity 8/10 that did not expand to another area. In addition, twelve hours earlier, she reported nausea and general malaise. As part of her history, she manifested having had a transverse segmental cesarean section. At admission, the patient was awake, with vital signs within normal values (blood pressure [BP]: 120/70 mm Hg, respiratory rate [RF]: 20 breaths per minute [rpm], heart rate [HR]: 78 beats per minute [bpm], oxygen saturation [SatO2]: 96% and afebrile). A physical examination of the digestive system revealed a soft, depressible abdomen with diminished hydro-air sounds and palpation pain in the hypochondrium and left flank. Laboratory tests revealed mild anemia (hemoglobin 9.3 g/dL).
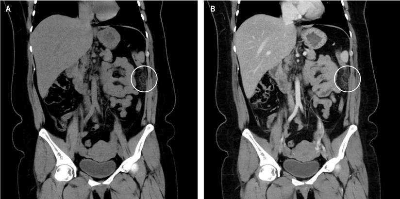
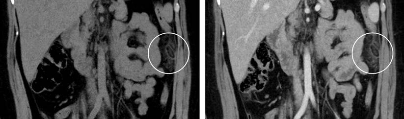
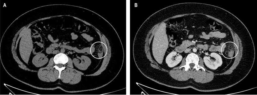
The patient underwent an abdominopelvic computed tomography (CT) with contrast material, which evidenced that the liver, pancreas, spleen, and intestinal loops did not have any significant alteration, the stomach was partially distended with preserved walls and with a hypodense image of the oval fat density of 25 mm x 16 mm that contacts the anterior border of the descending colon, which contains inside a hyperdense image (the sign of the central point) compatible with EA (Figures 1, 2 and 3). She started her medical treatment for pain with diclofenac 75 mg intramuscularly every twelve hours, paracetamol 500 mg orally in only one dose, metronidazole 500 mg orally every eight hours, and simethicone (gaseovet) 15 drops every eight hours. She was indicated to have a soft low-fat diet. The patient was discharged after two days on the following medications: paracetamol 500 mg (10 tablets), tramadol 50 mg (4 tablets), metronidazole 500 mg (9 tablets), and metoclopramide 10 mg (9 tablets).



Seven months later, the patient went to the emergency department again due to a clinical picture of acute abdomen. Her examinations showed an elevation of leukocytes and neutrophilia. Meanwhile, all other laboratory tests were within normal limits. Abdominopelvic CT showed inflammation of the epiploic appendages in the left colonic framework. She underwent symptomatic treatment with diclofenac 75 mg intramuscularly every 12 hours and paracetamol 500 mg orally once a day.
Discussion
Anatomically, the epiploic appendix is a formation resulting from the duplication of the visceral peritoneum that surrounds the colon and covers a variable amount of pedunculated fat attached by a more or less narrow base to the external surface of the colonic wall. Most appendages are 1 to 2 cm thick and 2 to 5 cm long.6 Inflammation of the epiploic appendix is known as epiploic appendagitis, which occurs due to a twisting of the epiploic appendages that leads to ischemia that subsequently becomes necrosis.9 It is often a misdiagnosed disease that must be present within the differential diagnosis of an acute abdomen, which commonly resembles acute appendicitis, diverticulitis, pelvic inflammatory disease, and ectopic pregnancy, among others.9,10
EA commonly begins with pain in the lower left quadrant (40%-60%), pain in the right lower quadrant (40%-50%), and pain in other locations, including the upper right and left quadrants (1.5%-10%).11 An increase in white blood cells can hardly be found, so the possibility of laboratory aid, including their symptomatological nonspecificity, is dismissed, leading physicians to an incorrect diagnosis. Therefore, the chosen study is CT, and only 2.5% are diagnosed with the symptoms before surgery since normal epiploic appendages are not evident on CT but can be detected when inflamed or delineated by ascites.12 Key features in CT include an ovoid lesion of fat density, also known as the hyperattenuating ring sign, mild thickening of the intestinal wall, and a central focus of high attenuation within the fat lesion that in recent studies has been described as the central point sign.12
EA is usually self-limited following conservative therapy. However, some cases need surgical management. Reports mention that some discharged patients have relapses, forcing them to go to the emergency room again.13 Therefore, we conducted a systematic search in PubMed, Scopus, Scielo, CINAHL, BVS LILACS, Google Scholar, and articles related to the topic in English and Spanish, with the search terms “Epiploic appendagitis” and “Recurrence” or “Relapse”, and we found eleven articles that met the terms of “recaída” and “relapso” in Spanish within the full text, whose characteristics are detailed in Table 1. Only seven patients out of 278 had a recurrence, which means 2.6% relapses. We consider it a small percentage. Relapses are not as common in these patients. However, there are currently minimally invasive techniques, such as laparoscopic surgery, which could help when there is a failure in conservative therapy, or an emergency intervention is needed. In that case, laparoscopic surgery shows better results.14,15

Conclusions
Relapses in patients with EA are uncommon. However, more studies are needed to evaluate this outcome in this condition. On the one hand, patients are treated conservatively with analgesics, but there are reports of cases treated surgically that would prevent a recurrence. For this, it is also necessary to evaluate the efficacy of new surgical therapies to resolve this pathology. On the other hand, it is fundamental to keep this pathology in mind within the differential profile of the acute abdomen due to its similarity to various diseases.
References
Suresh Kumar VC, Mani KK, Alwakkaa H, Shina J. Epiploic Appendagitis: An Often Misdiagnosed Cause of Acute Abdomen. Case Rep Gastroenterol. 2019;13(3):364-8. https://doi.org/10.1159/000502683
Sand M, Gelos M, Bechara FG, Sand D, Wiese TH, Steinstraesser L, et al. Epiploic appendagitis - Clinical characteristics of an uncommon surgical diagnosis. BMC Surgery. 2007;7. https://doi.org/10.1186/1471-2482-7-11
Danielson K, Chernin MM, Amberg JR, Goff S, Durham JR. Epiploic Appendicitis: CT Characteristics. J Comput Assist Tomogr. 1986;10(1):142-3. https://doi.org/10.1097/00004728-198601000-00032
Ozdemir S, Gulpinar K, Leventoglu S, Uslu HY, Turkoz E, Ozcay N, et al. Torsion of the primary epiploic appendagitis: a case series and review of the literature. Am J Surg. 2010;199(4):453-8. https://doi.org/10.1016/j.amjsurg.2009.02.004
Dockerty L, Lynn T, Waugh J. A clinicopathologic study of the epiploic appendages. Surg Gynecol Obstet. 1956;103(4):423-33.
Schnedl WJ, Krause R, Tafeit E, Tillich M, Lipp RW, Wallner-Liebmann SJ. Insights into epiploic appendagitis. Nature Reviews Gastroenterology and Hepatology. 2011;8(1):45-9. https://doi.org/10.1038/nrgastro.2010.189
de Brito P, Gomez MA, Besson M, Scotto B, Huten N, Alison D. Fréquence et épidémiologiedescriptive de l’appendicite épiploïque primitive par l’exploration tomodensitométrique des douleurs abdominales de l’adulte. J Radiol. 2008;89(2):235-43. https://doi.org/10.1016/s0221-0363(08)70399-8
Suresh Kumar VC, Mani KK, Alwakkaa H, Shina J. Epiploic Appendagitis: An Often Misdiagnosed Cause of Acute Abdomen. Case Rep Gastroenterol. 2019;13(3):364-8. https://doi.org/10.1159/000502683
Giannis D, Matenoglou E, Sidiropoulou MS, Papalampros A, Schmitz R, Felekouras E, et al. Epiploic appendagitis: pathogenesis, clinical findings and imaging clues of a misdiagnosed mimicker. Annals of Translational Medicine. 2019;7(24):814. https://doi.org/10.21037/atm.2019.12.74
Singh AK, Gervais DA, Hahn PF, Sagar P, Mueller PR, Novelline RA. Acute epiploic appendagitis and its mimics. Radiographics. 2005;25(6):1521-34. https://doi.org/10.1148/rg.256055030
Choi YU, Choi PW, Park YH, Kim JI, Heo TG, Park JH, et al. Clinical Characteristics of Primary Epiploic Appendagitis. J Korean Soc Coloproctol. 2011;27(3):114-21. https://doi.org/10.3393/jksc.2011.27.3.114
Giambelluca D, Cannella R, Caruana G, Salvaggio L, Grassedonio E, Galia M, et al. CT imaging findings of epiploic appendagitis: an unusual cause of abdominal pain. Insights into Imaging. 2019;10(1):26. https://doi.org/10.1186/s13244-019-0715-9
Lorente C, B. Hearne C, Taboada J. Recurrent epiploic appendagitis mimicking appendicitis and cholecystitis. Proc (Bayl Univ Med Cent). 2017;30(1):44-6. https://doi.org/10.1080/08998280.2017.11929522
Vázquez-Frias JA, Castañeda P, Valencia S, Cueto J. Laparoscopic Diagnosis and Treatment of an Acute Epiploic Appendagitis with Torsion and Necrosis Causing an Acute Abdomen. JSLS. 2000;4(3):247-50.
Donohue SJ, Reinke CE, Evans SL, Jordan MM, Warren YE, Hetherington T, et al. Laparoscopy is associated with decreased all-cause mortality in patients undergoing emergency general surgery procedures in a regional health system. Surg Endosc. 2021; 36(6):3822-3832. https://doi.org/10.1007/s00464-021-08699-1
Choi YI, Woo HS, Chung JW, Shim YS, Kwon KA, Kim KO, et al. Primary epiploic appendagitis: Compared with diverticulitis and focused on obesity and recurrence. Intestinal Research. 2019;17(4):554-60.
Doğan AN, Çakıroğlu B, Akça AH, Aksoy SH, Akar T. Primary epiploic appendagitis: evaluation of computed tomography findings in the differential diagnosis of patients that presented with acute abdominal pain. Eur Rev Med Pharmacol Sci. 2022;26(1):59-63. https://doi.org/10.26355/eurrev_202201_27748.
García Marín A, Nofuentes Riera C, Mella Laborde M, Pérez López M, Pérez Bru S, Rubio Cerdido JM. Apendagitis epiploica, causa poco frecuente de dolor abdominal. Cirugía y Cirujanos. 2014;82(4):389-94.
Hasbahceci M, Erol C, Seker M. Epiploic appendagitis: Is there need for surgery to confirm diagnosis in spite of clinical and radiological findings? World J Surg. 2012;36(2):441-6. https://doi.org/10.1007/s00268-011-1382-2
Legome EL, Belton AL, Murray RE, Rao PM, Novelline RA. Epiploic appendagitis: the emergency department presentation. J Emerg Med. 2002;22(1):9-13. https://doi.org/10.1016/s0736-4679(01)00430-9
Mantoğlu B, Altıntoprak F, Akın E, Fırat N, Gönüllü E, Dikicier E. Does primer appendagitis epiploica require surgical intervention? Ulusal Travma ve Acil Cerrahi Dergisi. 2020;26(6):883-6. https://doi.org/10.14744/tjtes.2020.09693
Vázquez GM, Manzotti ME, Alessandrini G, Lemos S, Perret C, Catalano HN. Apendagitis epiploica primaria. Clínica y evolución de 73 casos. Medicina (Buenos Aires). 2014;74:448-50.
Yang L, Jia M, Han P. Primary epiploic appendagitis as an unusual cause of acute abdominal pain in a middle-aged male: A case report. Medicine (Baltimore). 2019;98(33):e16846. https://doi.org/10.1097/MD.0000000000016846
Yousaf A, Ahmad S, Ghaffar F, Sajid S, Ikram S. Bilateral Epiploic Appendagitis: A Rather Benign but Diagnostically Challenging Cause of Acute Abdominal Pain. Cureus. 2020;12(4):e7897. https://doi.org/10.7759/cureus.7897
Citation:
Author notes
*Correspondence: Mía Alejandra Gómez-Corrales. miaalejandragc@gmail.com
Conflict of interest declaration