Case report
Recurrent Ascites: Uroperitoneum as an Overlooked Etiology
Uroperitoneo como causa de ascitis recurrente. Una etiología que no debe ser olvidada
Recurrent Ascites: Uroperitoneum as an Overlooked Etiology
Revista colombiana de Gastroenterología, vol. 38, no. 2, pp. 211-216, 2023
Asociación Colombiana de Gastroenterología
Received: 22 June 2022
Accepted: 15 November 2022
Abstract: Ascites is a frequently encountered condition with diverse underlying causes. Among these, uroperitoneum is a rare etiology characterized by a non-specific clinical presentation, making it challenging to diagnose. A thorough approach and a high level of clinical suspicion are essential for accurate diagnosis. The measurement of creatinine levels in peritoneal fluid, serum, and the gradient between them plays a crucial role in achieving a correct diagnosis. In this case report, we present a patient with recurrent ascites and fluctuating elevation of azotemia, who was diagnosed with uroperitoneum through a meticulous diagnostic process. Following surgical intervention, the patient exhibited satisfactory clinical improvement without experiencing further recurrences.
Keywords: Ascites, acute kidney injury, uroperitoneum.
Resumen: La ascitis es una condición frecuente con una etiología variable; dentro de esta, el uroperitoneo es una causa infrecuente con un cuadro clínico inespecífico y de difícil diagnóstico que requiere una aproximación minuciosa y una alta sospecha clínica para un adecuado enfoque. Para su correcto diagnóstico, juega un papel fundamental la medición de creatinina en el líquido peritoneal, en el suero y su gradiente. Presentamos el caso de un paciente con ascitis recurrente y elevación fluctuante de azoados que fue diagnosticado con uroperitoneo luego de una aproximación juiciosa. La evolución fue apropiada luego de la intervención quirúrgica sin nuevas recurrencias.
Palabras clave: Ascitis, lesión renal aguda, uroperitoneo.
Introduction
Ascites is abnormal fluid accumulation in the peritoneal cavity1. In the Western world, cirrhosis is responsible for ascites in 80% of cases2; it is the most common complication of cirrhosis, occurring in up to 5%-10% of patients with cirrhosis each year3. Other etiologies include cancer (10%), heart failure (5%), and tuberculosis, among others4. Within this last group, uroperitoneum stands out, the incidence of which is unknown; there are only case reports and series in the literature. The leading cause of uroperitoneum is traumatic bladder rupture, which represents 96% of all cases. Another 3% is due to increased bladder volume in conditions with altered sensitivity, such as neurogenic and postpartum bladder with epidural anesthesia, and less than 1% is due to spontaneous rupture5. Additionally, a mortality rate of up to 47% has been documented, mainly due to septic shock if not diagnosed promptly5.
In the initial study of ascites, the analysis of the peritoneal fluid and the calculation of the serum ascites albumin gradient (SAAG)6 are essential. SAAG is calculated by subtracting the concentration of serum albumin and the peritoneal fluid; when greater than 1.1 g/dL, it allows the diagnosis of ascites secondary to portal hypertension with an accuracy of 97%, sensitivity of 93% and specificity of 47%7,8. However, sometimes it is impossible to establish a diagnosis with this initial approach, and the study must be deepened4,9. Other studies that should be performed on ascitic fluid based on clinical suspicion are total protein, cytochemical, cultures, amylase, pH, and adenosine deaminase, among others4. Therefore, it is sometimes necessary to determine the gradient between ascitic fluid creatinine and serum creatinine in case of suspicion of uroperitoneum, which supports this diagnosis if greater than 1.010-12 both in cirrhotic and non-cirrhotic patients since it has been shown that the electrolytes, urea, and creatinine values in the ascitic fluid are similar to those in the serum13,14. We present the case of a patient with uroperitoneum due to a defect in the bladder dome who presented with abdominal pain and recurrent tension ascites associated with acute renal pseudo-injury with a fluctuating elevation of nitrogen gases.
Case presentation
A 68-year-old man with a history of prostate carcinoma underwent a radical prostatectomy in 2016. As a complication of this procedure, there was a lesion in the right distal ureter that required ureterovesical reimplantation. Since 2019, he has had three hospitalizations for recurrent ascites that required evacuating paracentesis on several occasions. The ascitic fluid study showed a SAAG greater than 1.1 mg/dL during these hospitalizations, suggesting portal hypertension. The most common etiologies of ascites, including chronic liver disease, heart failure, malignancy, tuberculosis, autoimmunity, and thrombosis, were ruled out. Given the diagnostic uncertainty and imaging findings of particulate fluid with inflammatory characteristics, diagnostic laparoscopy was performed twice with a biopsy of the peritoneum and omentum, which revealed mature adipose tissue with chronic inflammatory infiltrate and reactive mesothelial cells with no evidence of neoplasia. In addition, the serum creatinine value was variable, mg/dL at times and, after permanent bladder catheterization, 0.8 mg/dL without any signs of obstructive compromise of the urinary tract on renal ultrasound.
He was admitted to our institution due to a fourth episode of ascites and abdominal pain. On admission, he had a blood pressure of 126/88 mm Hg, a heart rate of 100 beats per minute (bpm), and was afebrile. Physical examination revealed a distended but soft abdomen, a positive ascitic wave, mild pain in the hypogastrium, and no masses, hepatomegaly, or splenomegaly.
The diagnostic process began again; liver disease and thrombosis of the splanchnic axis were ruled out. Diagnostic and therapeutic paracentesis was performed, draining 3,600 mL of sallow fluid. SAAG was greater than 1.1 mg/dL. Proteins in the ascitic fluid were 1.58 g/dL, although particulate ascitic fluid was striking in the abdominal ultrasound, suggestive of infectious or inflammatory involvement. Microbiological cultures were negative, and other paraclinical tests were requested, as described in Table 1.

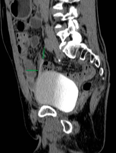
Due to the recurrence of the symptoms, chronicity, absence of etiology after a detailed study, and taking into account the patient’s surgical history, less frequent etiologies were considered a possibility of uroperitoneum. Creatinine was measured in the peritoneal fluid, the result of which was 7.44 mg/dL, and the gradient between fluid and serum was 5.74, which further increased the suspicion. Due to the uncertainty in the face of acute kidney injury and suspicion of urinary fistula, the nephrology service requested a voiding cystography with dynamic films, finding a bladder dome defect with active contrast extravasation into the peritoneal cavity, which confirmed the presence of uroperitoneum and explained the elevation of nitrogenous gases that simulated acute renal injury (Figure 1). To better characterize the genitourinary tract lesion and surgical planning, a urotomography was performed (Figure 2) with evidence of a defect in the bladder dome of 7.8 mm towards the right side in its anterior portion, with evidence of extraluminization of the contrast medium as a sign of rupture. After this characterization, he was scheduled for laparotomy with cystorrhaphy, performed at another institution.


Discussion
Uroperitoneum or urinary ascites is a rare entity defined as the presence of urine in the peritoneal cavity. It may be due to trauma, spontaneous rupture of the bladder, or perforation10. Moreover, it has been iatrogenically described as secondary to surgical procedures such as gastrointestinal15, urological16,17, gynecological18, and obstetric19 surgeries with an incidence of 0.11%20. The main risk factors identified for iatrogenic bladder injury are advanced age, recent chemotherapy or radiotherapy, and smoking20. It has also been associated with neurological conditions such as tabes dorsalis and multiple sclerosis21,22. There are reports in the literature related to radiotherapy and pelvic nerve fibrosis leading to the neurogenic bladder23 and ureterovesical lesions resulting from lithiasis, tumors, and inflammation24. Spontaneous bladder rupture may be due to continuous irrigation, postpartum, and alcoholic intoxication12,24,25. There are three types of bladder rupture: extraperitoneal, the most frequent manifestation, in approximately 80% of cases; intraperitoneal, in up to 15%-20%; and combined26.
The clinical manifestations of urinary peritonitis are not specific since sterile urine can be tolerated for several days and manifest through diffuse symptoms such as abdominal pain, dysuria, frequency, and urgency. There may also be oliguria or anuria and, in severe cases, peritonitis and septic shock if infected urine is present27.
Pseudorenal failure is defined as elevated serum creatinine, which mimics acute kidney injury, often of unknown etiology, after excluding traditional causes28. The uroperitoneum is characterized by increased serum creatinine due to the reabsorption of urinary creatinine mediated by the peritoneal membrane. In turn, chronic intra-abdominal urine leakage increases the abnormal reabsorption of toxic metabolites; thus, consideration should be given to this entity in the presence of acute kidney injury together with ascites or peritonitis, and electrolyte disturbances such as hyponatremia, hyperkalemia, and metabolic acidosis10,27,29. Calculating the gradient between creatinine in ascitic fluid and serum creatinine is instrumental, which gives a higher value to the diagnostic assumption if greater than 110-12, as happened in the case of our patient, whose result was 5.74.
Uroperitoneum is a difficult diagnosis, especially without a history of trauma or urologic instrumentation. Its form of manifestation is variable. It can occur as an acute abdomen with high associated mortality rates or as oliguric pseudo-acute kidney injury accompanied by azotemia, hyponatremia, hyperkalemia, metabolic acidosis, and increased nitrogen levels in the peritoneal fluid. Renal function usually improves when performing paracentesis or indwelling bladder catheterization10,27,30-32.
Voiding cystography is the gold standard for diagnosing bladder rupture, with a sensitivity and specificity of 95% and 100%, respectively33. However, with the availability of new techniques, CT cystography has a performance comparable to voiding cystography, especially if injuries to other organs must be ruled out, which is common in traumatic bladder ruptures in multiple trauma patients33,34.
Sam Kant et al.10 described the case of a 74-year-old man with a history of ischemic heart disease and radical prostatectomy, who ten days after the procedure, presented with oliguric acute kidney injury, ascites, hyponatremia, hyperkalemia, elevated serum urea, and creatinine in the peritoneal fluid. Therefore, they suspected that the source of the abdominal fluid was a urinary focus, like the case described, except for the initial hydroelectrolytic disorder.
Ajape AA et al.35 reported the case of a 62-year-old man with a history of prostatic hyperplasia who consulted for symptoms of abdominal pain, distension, and anuria of five days’ evolution. His abdomen was distended and painful in the hypogastrium. Rectal examination revealed an enlarged prostate and abdominal ultrasound showed free fluid. All of this gave rise to the suspicion of a spontaneous bladder rupture confirmed by a voiding cystography. This case had a manifestation similar to the one we reported: pain, abdominal distension, and confirmation of the uroperitoneum with voiding cystography.
Bourgeois S et al.26 informed the case of a 64-year-old woman with a history of transitional cell carcinoma of the bladder with subsequent laparoscopic nephroureterectomy. She was admitted due to acute colicky abdominal pain, abdominal distension, tender abdomen on palpation, and signs of peritonitis. From the paraclinical tests, a serum creatinine of 4.23 mg/dL and urea of 99.9 mg/dL stood out, with no hydroelectrolytic disorder. A simple tomography showed hypodensity compatible with the free intraperitoneal fluid, suggesting ascites. A prerenal acute kidney injury was suspected, and intravenous fluids were started without a subsequent drop in creatinine until bladder catheterization was performed. A diagnostic laparoscopy was performed, and biopsies were taken from the bladder due to its history of previous neoplasia, which was negative for malignancy. Then, when analyzing the ascitic fluid, elevated creatinine, and urea levels were found (although they were not described), thus confirming the uroperitoneum. This picture is similar to the one we report regarding clinical manifestations, the diagnostic process, the elevation of nitrogen compounds in the peritoneal fluid for the diagnostic approach, and the improvement in renal function after the bladder catheter insertion.
Furthermore, Gonzalo L et al.32 detailed the case of a patient with a history of hypothyroidism and two deliveries, one of them with forceps and bladder rupture, who developed a picture of pain in the hypogastrium and accumulation of peritoneal fluid. A blood urea nitrogen (BUN) of 36 mg/dL and creatinine of 2.16 mg/dL stand out among the initial laboratory parameters. Subsequently, a non-inflammatory peritoneal fluid and a SAAG greater than 1.1 g/dL without liver disease were studied, for which a cystoscopy was performed, finding a vesicoperitoneal fistula, compatible with uroperitoneum, a complex diagnosis as in the case of our patient. Unlike this case, our patient’s symptoms had a larvate and recurrent manifestation, with higher elevations of nitrogen gases.
It should be noted that the different series share the presence of hyperkalemia, increased BUN and creatinine, and improvement of nitrogen levels with permanent bladder catheterization, in addition to increased creatinine and BUN in the peritoneal fluid.
In the present case, the chronicity, the chronological order of the symptoms, their recurrence, the fluctuation in serum creatinine, and the sensible diagnostic approach adopted by our institution added to the history of radical prostatectomy allowed us to suspect a uroperitoneum first with subsequent imaging confirmation. Finally, the patient underwent urology surgery with repair of the bladder defect and has not had recurrences of the clinical picture.
Referencias
Rudler M, Mallet M, Sultanik P, Bouzbib C, Thabut D. Optimal management of ascites. Liver Int. 2020;40(S1):128-35. https://doi.org/10.1111/liv.14361
Angeli P, Bernardi M, Villanueva C, Francoz C, Mookerjee RP, Trebicka J, et al. EASL Clinical Practice Guidelines for the management of patients with decompensated cirrhosis. J Hepatol. 2018;69(2):406-60. https://doi.org/10.1016/j.jhep.2018.03.024
Ginés P, Quintero E, Arroyo V, Terés J, Bruguera M, Rimola A, et al. Compensated cirrhosis: Natural history and prognostic factors. Hepatology. 1987;7(1):122-8. https://doi.org/10.1002/hep.1840070124
Tarn AC, Lapworth R. Biochemical analysis of ascitic (peritoneal) fluid: what should we measure? Ann Clin Biochem. 2010;47(5):397-407. https://doi.org/10.1258/acb.2010.010048
Simler MAZ, Desouky E, Zakharious F, Mandal AKJ, Missouris CG. A Syndrome of Apparent Renal Failure. Ann Emerg Med. 2020;76(2):191-3. https://doi.org/10.1016/j.annemergmed.2020.02.018
Aithal GP, Palaniyappan N, China L, Härmälä S, Macken L, Ryan JM, et al. Guidelines on the management of ascites in cirrhosis. Gut. 2021;70(1):9-29. https://doi.org/10.1136/gutjnl-2020-321790
Runyon BA. The Serum-Ascites Albumin Gradient Is Superior to the Exudate-Transudate Concept in the Differential Diagnosis of Ascites. Ann Intern Med. 1992;117(3):215. https://doi.org/10.7326/0003-4819-117-3-215
Rodríguez Vargas BO, Monge Salgado E, Montes Teves P, Salazar Ventura S, Guzmán Calderón E. Diagnostic of ascites due to portal hypertension: accuracy of the serum-ascites albumin gradient and protein analises in ascitic fluid. Rev Gastroenterol Peru. 2014;34(1):23-8.
Hou W, Sanyal AJ. Ascites: Diagnosis and Management. Medical Clinics of North America. 2009;93(4):801-17. https://doi.org/10.1016/j.mcna.2009.03.007
Kant S, Menez S, Hanouneh M, Fine DM. Close encounters of the peritoneal kind: case series and literature review of uroperitoneum. Lessons for the clinical nephrologist. J Nephrol. 2021;34(3):939-42. https://doi.org/10.1007/s40620-020-00867-1
Ridinger HA, Kavitt RT, Green JK. Urinary Ascites and Renal Failure from Unrecognized Bladder Rupture. Am J Med. 2012;125(9):e1-2. https://doi.org/10.1016/j.amjmed.2012.01.019
Charalampidis S, Petrides C, Charalampous C, Stavrou S. Hyponatremic Renal Pseudofailure and Massive Ascites Following Normal Vaginal Delivery: A Diagnostic and Therapeutic Challenge. Renal Failure. 2012;34(2):237-40. https://doi.org/10.3109/0886022X.2011.647206
Manahan K. Peritoneal fluid urea nitrogen and creatinine reference values. Obstetrics & Gynecology. 1999;93(5):780-2. https://doi.org/10.1016/S0029-7844(98)00516-X
Nguyen-Khac E, Thevenot T, Capron D, Dharancy S, Paupart T, Thabut D, et al. Are ascitic electrolytes usable in cirrhotic patients? Correlation of sodium, potassium, chloride, urea, and creatinine concentrations in ascitic fluid and blood. European J Int Med. 2008;19(8):613-8. https://doi.org/10.1016/j.ejim.2007.07.011
Martens P. Pseudorenal Failure Secondary to Reversed Intraperitoneal Autodialysis. Case Rep Nephrol. 2013;2013:1-3. https://doi.org/10.1155/2013/982391
Kim JH, Yang WJ. Delayed spontaneous perforation of urinary bladder with intraperitoneal seeding following radical transurethral resection of invasive urothelial cancer: a case report. BMC Res Notes. 2014;7(1):167. https://doi.org/10.1186/1756-0500-7-167
Pogatchnik B, Monti S, Lewis DH, Heinrich DA, Mannelli L. Intraperitoneal Urine Leak After Prostatectomy Confirmed by 99mTc-MAG3 Renogram. Clinical Nuclear Medicine. 2014;39(8):744-6. https://doi.org/10.1097/RLU.0000000000000442
Teeluckdharry B, Gilmour D, Flowerdew G. Urinary Tract Injury at Benign Gynecologic Surgery and the Role of Cystoscopy: A Systematic Review and Meta-analysis. Obstetrics & Gynecology. 2015;126(6):1161-9. https://doi.org/10.1097/AOG.0000000000001096
Rajasekar D, Hall M. Urinary tract injuries during obstetric intervention. BJOG. 1997;104(6):731-4. https://doi.org/10.1111/j.1471-0528.1997.tb11986.x
Cohen AJ, Packiam VT, Nottingham CU, Pariser JJ, Faris SF, Bales GT. Iatrogenic Bladder Injury: National Analysis of 30-Day Outcomes. Urology. 2016;97:250-6. https://doi.org/10.1016/j.urology.2016.05.002
Harding AE, Scott J, Jefferson M. Bladder rupture in multiple sclerosis. BMJ. 1977;1(6056):270-270. https://doi.org/10.1136/bmj.1.6056.270
Bastable JRG, Jode LRD, Warren RP. Spontaneous rupture of the bladder. Brit J Urol. 1959;31(1):78-86. https://doi.org/10.1111/j.1464-410X.1959.tb09386.x
Fujikawa K, Yamamichi F, Nonomura M, Soeda A, Takeuchi H. Spontaneous Rupture of the Urinary Bladder Is Not a Rare Complication of Radiotherapy for Cervical Cancer: Report of Six Cases. Gynecologic Oncology. 1999;73(3):439-42. https://doi.org/10.1006/gyno.1999.5347
Lin ACM, Juang GD, Huang CH, Tso CY. An unusual cause of iatrogenic bladder rupture. Am J Emerg Med. 2006;24(4):512-4. https://doi.org/10.1016/j.ajem.2005.11.018
Sivakumar V, Sivaramakrishna G, Abirami K, Lakshmi A. Urinary ascites. Indian J Nephrol. 2012;22(2):143. https://doi.org/10.4103/0971-4065.97140
Bourgeois S, Decupere M, Devriendt D, Lesage K, Van Moerkercke W. A case of pseudorenal failure - spontaneous rupture of the urinary bladder. Acta Gastroenterol Belg. 2017;80(3):419-21.
Mischianu D, Bratu O, Ilie C, Madan V. Notes concerning the peritonitis of urinary aetiology. J Med Life. 2008;1(1):66-71.
Mark A, Meister M, Opara B, Chow R. Nontraumatic urinary bladder rupture presenting as renal pseudo-failure and ascites. Radiology Case Reports. 2017;12(2):304-7. https://doi.org/10.1016/j.radcr.2017.03.005
Goto S, Yamadori M, Igaki N, Kim JI, Fukagawa M. Pseudo-azotaemia due to intraperitoneal urine leakage: a report of two cases. NDT Plus. 2010;3(5):474-6. https://doi.org/10.1093/ndtplus/sfq107
Wang YC, Lin JD, Hung SC. A woman with ascites and oliguria. Clin Kidney J. 2013;6(5):545-6. https://doi.org/10.1093/ckj/sft103
Wystrychowski A, Nowicki M, Kokot F. Hyponatraemic renal pseudofailure--don’t forget the possibility of uroperitoneum. Nephrol Dial Transplant. 1996;11(12):2491-2. https://doi.org/10.1093/oxfordjournals.ndt.a027222
Eymin LG, Trucco BC, Andresen HM. Ascitis y falla renal: no olvidar el uroperitoneo. Rev Méd Chile. 2006;134(3):345-347. https://doi.org/10.4067/S0034-98872006000300012
Quagliano PV, Delair SM, Malhotra AK. Diagnosis of Blunt Bladder Injury: A Prospective Comparative Study of Computed Tomography Cystography and Conventional Retrograde Cystography. J Trauma. 2006;61(2):410-21. https://doi.org/10.1097/01.ta.0000229940.36556.bf
Fouladi DF, Shayesteh S, Fishman EK, Chu LC. Imaging of urinary bladder injury: the role of CT cystography. Emerg Radiol. 2020;27(1):87-95. https://doi.org/10.1007/s10140-019-01739-3
Ajape A, Abdulkadir A, Babata A, Adesiyun O. Spontaneous Intra-Peritoneal Urinary Bladder Rupture Complicating Benign Prostate Hyperplasia: Case Report. Ann Afr Surg. 2011;7(1):62-5. https://doi.org/10.4314/aas.v7i1.67034
Notes
Author notes
*Correspondence: Simón Hoyos-Patiño. simon23h@hotmail.com