Case report
Received: 12 July 2021
Accepted: 14 December 2021
DOI: https://doi.org/10.22516/25007440.805
Abstract:
A 25-year-old man diagnosed with a non-seminomatous germ cell tumor was admitted to the emergency department for diffuse abdominal pain associated with bloating and multiple emetic episodes. Due to the clinical suspicion of intestinal obstruction, a contrasted abdominal tomography was performed, showing an obstruction in the third duodenal portion resulting from extrinsic compression caused by multiple retroperitoneal conglomerates.
Surgical time was scheduled for a gastric bypass surgery where gastrojejunostomy was performed using conventional technique. On the fifth postoperative day, he presented clinical deterioration due to febrile episodes, abdominal pain, and tachycardia. A new abdominal tomography was performed, reporting an intra-abdominal collection of pus on the left flank of 12 x 12 x 5 cm secondary to the jejunal fistula process. Hence, percutaneous drainage management of the collection was performed by interventional radiology and drainage catheter placement. In addition, an EGD was performed to conduct a pyloric exclusion technique with an Ovesco (over-the-scope-clip) device for managing the jejunal fistula, which was technically successful.
A gastrointestinal tract X-ray was performed as a follow-up during the postoperative stage, showing no pyloric continuity with adequate patency of the gastrojejunostomy. In addition, a contrasted abdominal CT scan showed a decrease in the intra-abdominal collection without extravasation of the contrast medium.
This case outcome suggests the Ovesco device may be helpful in proximal GI fistulas cases, especially in patients with multiple comorbidities or poor general conditions who may benefit from minimally invasive procedures decreasing the risk of fatal outcomes.
Keywords: Ovesco clips, GI fistula, GI perforation, endoscopic closure.
Resumen:
Se reporta el caso de un hombre de 25 años con diagnóstico de tumor de células germinales no seminomatoso que ingresó a urgencias por cuadro clínico de dolor abdominal difuso asociado con distensión y múltiples episodios eméticos. Ante la sospecha clínica de obstrucción intestinal se realizó una tomografía abdominal contrastada que mostró una obstrucción en la tercera porción duodenal por compresión extrínseca ocasionada por múltiples conglomerados retroperitoneales.
Se decidió el tiempo quirúrgico para una derivación gastrointestinal en la que se realizó una gastroyeyunoanastomosis por técnica convencional; hacia el quinto día posoperatorio presentó un deterioro clínico dado por episodios febriles, dolor abdominal y taquicardia. Se realizó una nueva tomografía abdominal que reportó una colección intraabdominal en el flanco izquierdo de 12 x 12 x 5 cm secundaria a proceso fistuloso yeyunal, se realizó un manejo de la colección con drenaje percutáneo por radiología intervencionista y alojamiento de catéteres de drenaje, y se realizó una esofagogastroduodenoscopia con el fin de ejecutar una técnica de exclusión pilórica con dispositivo Ovesco (over-the-scope) como manejo de la fístula yeyunal, con la que se obtuvo éxito técnico.
Durante el posoperatorio se realizó como seguimiento una radiografía de vías digestivas que confirmó la no continuidad pilórica con adecuada permeabilidad de la gastroyeyunoanastomosis, y una tomografía abdominal contrastada que mostró una disminución de la colección intraabdominal sin extravasaciones del medio de contraste.
El desenlace favorable de este caso sugiere la utilidad del dispositivo Ovesco en casos de fístulas del tracto gastrointestinal proximal, sobre todo en aquellos pacientes con múltiples comorbilidades o mal estado general que se favorecen de procedimientos mínimamente invasivos que disminuyan el riesgo de desenlace fatal.
Palabras clave: Clips Ovesco, fístula gastrointestinal, perforación, cierre endoscópico.
Introduction
Ovesco (over-the-scope) clips, also known as bear-claw, are endoscopic clipping devices for endoscopic tissue approaches1, originally used for fistula and perforation closure of the upper gastrointestinal tract and later used for bleeding cases, submucosal tumor resections, and esophageal stent fixations2, thanks to its gripping, fixation, and easy application1,2. Given the small number of reports in the literature on its use in pyloric exclusion cases with this device, we share this patient’s case with duodenal obstruction due to extrinsic compression concerning a retroperitoneal conglomerate. This patient underwent gastrojejunostomy with derivative purpose. Subsequently, a jejunal fistulous process and intra-abdominal collection required percutaneous drainage, so pyloric exclusion was performed with the Ovesco device, resulting in a good evolution and closure of the fistulous process.
Case report
A 25-year-old man with a nonseminomatous germ cell tumor diagnosis. He was admitted to the emergency room for intestinal obstruction due to diffuse abdominal pain associated with abdominal distension and multiple emetic episodes. A contrast abdominal tomography showed an obstruction of the third duodenal portion by extrinsic compression secondary to multiple retroperitoneal conglomerates (Figure 1).

The patient was taken for open gastric bypass surgery with intraoperative findings of a large multilobulated solid retroperitoneal mass of 25 x 20 cm that displaced the duodenum and pushed the jejunal loops down, the loop conglomerates to the right hypochondrium, involving the duodenum and the first jejunal loops, generating a mechanical obstruction by adhesions. In addition, the jejunal loop was 40 cm from the Treitz angle, infiltrated by a tumor with partial obstruction, so a laterolateral isoperistaltic gastrojejunostomy was performed with a 200 cm food loop measured from the ileocecal valve, and adhesions of involved jejunal loops release.
By the fifth postoperative day, there was clinical deterioration due to febrile episodes, abdominal pain, and tachycardia, so a new abdominal tomography was performed, reporting an intra-abdominal collection in the left flank of 12 x 12 x 5 cm secondary to the jejunal fistulous process (Figure 2).

Percutaneous drainage of the collection was performed by interventional radiology and drainage catheter placement, in which 150 mL of purulent and intestinal contents were obtained, thus, controlling the infectious process and optimizing the patient’s clinical condition. Based on the intraoperative findings and the laterolateral gastrojejunostomy, 3 days after the percutaneous drainage, the patient underwent endoscopic treatment of the proximal jejunal fistula through pyloric exclusion to reduce intraluminal content flow through the affected loop, concomitantly with multimodal pharmacological management with proton pump inhibitor (PPI), opioid, antidiarrheal, and parenteral nutrition. Given the patient’s comorbidities and trying to find the least invasive procedure, the Ovesco device was used to perform the pyloric exclusion, considering an appropriate functionality of the gastrojejunostomy, which was technically successful (Figure 3).

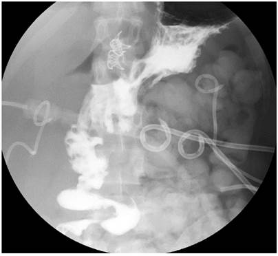
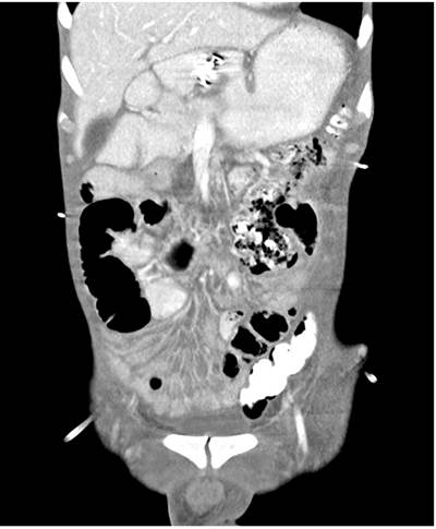
On the fifth day after the endoscopic procedure, an imaging follow-up of the digestive tract confirmed no pyloric continuity with adequate patency of the gastrojejunostomy. A contrasted abdominal tomography showed a decrease in the intra-abdominal collection without contrast medium extravasation (Figures 4 and 5).


Given the patient’s good clinical evolution, control of the infectious focus, and intestinal leakage evidenced through imaging, oral administration was started on the sixth postoperative day with adequate tolerance. Therefore discharge was advised on the tenth day of hospital stay. After 15 days, an outpatient follow-up was performed. The patient reported that he continued showing good oral tolerance and appropriate bowel transit, with no episodes of fever during his homestay.
Endoscopic technique
In the endoscopy room, under anesthesiologist-assisted sedation, easy passage through the cricopharyngeus muscle was performed. Lumen, caliber, and normal mucosa were observed up to the distal third, and the cardia was passable at 38 cm.
The stomach was explored up to the pylorus, where an abundant gastric mucous lake and permeable gastrojejunostomy on the anterior wall were observed, the pylorus was identified, and using a suction technique, the edges of the pylorus were tackled with an Ovesco 12/6 GC clip. A permeable angle was observed during the examination, so the second Ovesco 12/6 GC clip was placed, occluding the pylorus in its entirety as part of the indicated pyloric exclusion.
Discussion
Ovesco clips are made of a nickel and titanium alloy called nitinol, which belongs to the so-called shape memory alloy, so they have had a great variability of uses since their discovery by the U.S. Navy around the 1950s1,3).
The introduction of Ovesco devices for human use dates back to 2007, with approximately 10 case series published with about 79 patients treated for dehiscence of gastrointestinal anastomosis, fistulas, and gastrointestinal bleeding, and demonstrated up to 65% efficacy for fistula cases4.
The evolution regarding the use of these clips has been so important that, nowadays, they are not only part of the armament of the digestive tract and gastroenterology medical equipment for the closure of fistulas and perforations, but also the literature has described cases in which much more complex defects of the luminal gastrointestinal tract are treated, even during multimodal closure of defects of the abdominal wall. However, perhaps one of the most established uses today is controlling bleeding ulcers in difficult positions since its barrel-shaped design with a transparent lid can suction bleeding lesions. Furthermore, its advantages over other clips include a higher gripping force (8 to 9 Newtons) when released and a gripping capacity (defect closure, orifice closure, and edge facing) of up to 30 mm1,4,5.
This wide range of uses makes it important for endoscopists to understand the scenario for monitoring the pathology requiring treatment with Ovesco clips. Hence, we have decided to present this case of pyloric exclusion with this device, even though duodenal perforation -whether iatrogenic or traumatic, remains the main indication for performing a pyloric exclusion, similar to duodenal diverticulization and pancreatoduodenectomy according to the lesion degree6, particularly due to the good prognostic factors for the closure of the fistula in our case -a low output fistula and a previous gastrointestinal bypass (gastrojejunostomy), decreasing intestinal transit through the affected loop.
Conclusion
As reported in the literature, although clinical experience is limited, Ovesco is a safe and effective device for closing perforations, anastomotic leaks, and bleeding from the gastrointestinal tract; however, its therapeutic efficacy in chronic fistulas due to associated fibrosis is lower4,7. Further studies are needed to determine the safety and efficacy of Ovesco clips in all scenarios in which they can be used and establishing a management algorithm that includes treatment with the Ovesco clips is also required.
Referencias
Mönkemüller K, Martínez-Alcalá A, Schmidt AR, Kratt T. The Use of the Over the Scope Clips Beyond Its Standard Use: A Pictorial Description. Gastrointest Endosc Clin N Am. 2020;30(1):41-74. https://doi.org/10.1016/j.giec.2019.09.003
Mosquera-Klinger G, Torres-Rincón R, Jaime-Carvajal J. Endoscopic closure of gastrointestinal perforations and fistulas using the Ovesco Over-The-Scope Clip system at a tertiary care hospital center. Rev Gastroenterol Mex. 2019;84(2):263-6. https://doi.org/10.1016/j.rgmx.2018.10.004
Ribeiro-Parenti L, De Courville G, Daikha A, Arapis K, Chosidow D, Marmuse JP. Classification, surgical management and outcomes of patients with gastrogastric fistula after Roux-En-Y gastric bypass. Surg Obes Relat Dis. 2017;13(2):243-8. http://doi.org/10.1016/j.soard.2016.09.027
Mangiavillano B, Caruso A, Manta R, Di Mitri R, Arezzo A, Pagano N, et al. Over-the-scope clips in the treatment of gastrointestinal tract iatrogenic perforation: A multicenter retrospective study and a classification of gastrointestinal tract perforations. World J Gastrointest Surg. 2016;8(4):315. https://doi.org/10.4240/wjgs.v8.i4.315
Lee HL, Cho JY, Cho JH, Park JJ, Kim CG, Kim SH, et al. Efficacy of the over-the-scope clip system for treatment of gastrointestinal fistulas, leaks, and perforations: A Korean multi-center study. Clin Endosc. 2018;51(1):61-5. https://doi.org/10.5946/ce.2017.027
Schroeppel TJ, Saleem K, Sharpe JP, Magnotti LJ, Jordan AW, Fischer PE, et al. Penetrating duodenal trauma: A 19-year experience. J Trauma Acute Care Surg. 2016;80(3):461-5. https://doi.org/10.1097/TA.0000000000000934
Kobara H, Mori H, Nishiyama N, Fujihara S, Okano K, Suzuki Y, et al. Over-the-scope clip system: A review of 1517 cases over 9 years. J Gastroenterol Hepatol. 2019;34(1):22-30. https://doi.org/10.1111/jgh.14402
Notes
Author notes
*Correspondence: Ivette C. Jiménez-Lafourie. ivettejl97@gmail.com