Report of cases
Received: 13 February 2023
Accepted: 13 April 2023
DOI: https://doi.org/10.22516/25007440.1025
Abstract: The anterior approach to cervical spine surgery can cause esophageal injuries; however, it is an infrequent complication with a 0.02-0.25% prevalence. It usually appears in two high-risk areas: Killian’s dehiscence and the thyrohyoid membrane. Delayed esophageal perforations typically occur due to chronic friction and usually have a benign course. Most cases of late migration occur in the first 18 months of the surgical procedure, and the clinical manifestation varies between asymptomatic patients in the case of delayed perforations and patients with dysphagia, subcutaneous emphysema, and sepsis in the case of acute perforations.
Keywords: Esophageal perforation, spine, cervical.
Resumen: El abordaje quirúrgico de la columna cervical por vía anterior puede generar lesiones esofágicas; sin embargo, es una complicación muy infrecuente con una prevalencia que varía entre el 0,02% y el 0,25%. Suelen presentarse en dos zonas de mayor riesgo: el triángulo de Killian y la membrana tirohioidea. Las perforaciones esofágicas tardías usualmente se presentan debido a fricción crónica y suelen tener un curso benigno. La mayoría de los casos de migración tardía se presentan en los primeros 18 meses del procedimiento quirúrgico y la presentación clínica varía entre pacientes asintomáticos en caso de perforaciones tardías y pacientes con disfagia, enfisema subcutáneo y sepsis en caso de perforaciones agudas.
Palabras clave: Perforación esofágica, columna, cervical.
Introduction
The anterior approach for cervical spine surgery has been in practice since the 1950s, serving various purposes such as spine stabilization in cases of spinal tumors, trauma, and osteomyelitis. The proximity of the cervical spine to the esophagus, coupled with the requirement to mobilize the esophagus, increases the risk of esophageal injury during these surgical interventions. Nevertheless, such complications are exceedingly rare, with prevalence rates reported between 0.02% and 0.25%1,2.
Case presentation
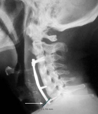
We report the case of a 60-year-old male with no significant comorbid conditions. The patient had a history of cervical trauma from a road traffic accident 12 years prior, which necessitated a C4-C5-C6 corpectomy and anterior cervical fixation using prosthetic material. Subsequently, the patient developed cervical myelopathy and symptomatic spinal stenosis. He sought medical advice for persistent dysphagia, weight loss, and dysphonia over six months. Neurosurgical evaluation led to the performance of a cervical spine radiograph, which revealed anterior displacement of the C7 fixation screw (Figure 1).

An esophagogastroduodenoscopy was conducted, revealing a piece of osteosynthesis material (screw) lodged in the upper third of the esophagus at the cricopharyngeal level. This foreign object was successfully removed using a foreign body forceps (Figures 2 and 3). The patient’s clinical progression was favorable, marked by the resolution of dysphagia, and no additional procedures or interventions were required.


Discussion
Acute esophageal perforations associated with the anterior surgical approach to the cervical spine predominantly occur in two anatomically distinct zones of heightened risk, where excessive manipulation or retraction often plays a contributory role3,4. The initial risk zone is identified as Killian’s triangle, which is delineated by the juncture of the lower boundary of the pharyngeal constrictor muscle and the cricopharyngeal muscle; typically located at the level of C5-C6 or slightly more caudally. This area is notably vulnerable because the posterior mucosa of the esophagus lacks muscular protection, leaving only the slender buccopharyngeal fascia to separate the esophagus from the retrosternal space5. The second heightened risk area is situated laterally at the level of the thyrohyoid membrane1.
Despite the rarity of esophageal perforation following cervical spine surgical procedures, with a notably low incidence, it represents a complication with significant morbidity and mortality implications, even when identified intraoperatively; mortality rates reported stand at 20%, escalating further with delayed diagnosis and treatment2. Late esophageal perforations generally result from chronic friction leading to subsequent ischemia and necrosis2; the migration of screws tends to follow a benign trajectory, potentially even remaining asymptomatic due to their small diameter. This gradual process allows for the spontaneous repair of the induced defect6. It is not uncommon for screws to be uneventfully expelled through the gastrointestinal tract7. The majority of late migration cases are reported within the first 18 months following surgery8,9; yet, there have been instances noted several years post-operation6. Clinical manifestations range from asymptomatic presentations in delayed perforations to symptoms of dysphagia, subcutaneous emphysema, and sepsis in acute cases10.
The therapeutic arsenal for managing transmural esophageal defects via endoscopy includes the use of clips, esophageal stents, and negative pressure systems11. Esophageal stents, in particular, are favored for their established efficacy and safety, boasting success rates exceeding 80%12; their application in cervical perforations, however, is limited due to discomfort caused by the proximal end of the device protruding into the pharynx, often resulting in intolerance by the patient.
Negative pressure therapy emerges as a relatively novel approach that encourages granulation tissue formation, facilitating the obliteration of the cavity and the defect’s closure13,14. This method can be implemented as either a standalone treatment or in conjunction with radiological or surgical interventions15. Retrospective studies have highlighted its high success rate (89.4%)11 and the minimal complications associated with its application16. Similar to esophageal stents, the effectiveness of negative pressure therapy in proximal perforations may be limited by challenges in creating an airtight seal and maintaining a contained negative pressure environment. Consequently, the chosen treatment strategy should be tailored to the perforation’s clinical presentation and anatomical location, ranging from conservative or endoscopic management to surgical intervention for debridement and primary defect closure1,17.
Conclusions
Esophageal perforation stands as a potential albeit rare complication of the anterior cervical spine approach. In cases with a surgical history that align with the clinical presentation, late perforation should be considered a possibility.
Referencias
Hershman SH, Kunkle WA, Kelly MP, Buchowski JM, Ray WZ, Bumpass DB, et al. Esophageal perforation following anterior cervical Spine surgery: Case report and review of the literature. Glob Spine J. 2017;7(1 Suppl):28S-36S. https://doi.org/10.1177/2192568216687535
Newhouse KE, Lindsey RW, Clark CR, Lieponis J, Murphy MJ. Esophageal perforation following anterior cervical spine surgery. Spine (Phila Pa 1976). 1989;14(10):1051-3. https://doi.org/10.1097/00007632-198910000-00004
Daniels AH, Riew KD, Yoo JU, Ching A, Birchard KR, Kranenburg AJ, et al. Adverse events associated with anterior cervical spine surgery. J Am Acad Orthop Surg. 2008;16(12):729-38. https://doi.org/10.5435/00124635-200812000-00005
Orlando ER, Caroli E, Ferrante L. Management of the cervical esophagus and hypofarinx perforations complicating anterior cervical spine surgery. Spine (Phila Pa 1976). 2003;28(15):E290-5. https://doi.org/10.1097/01.BRS.0000087093.89889.0A
Brinster CJ, Singhal S, Lee L, Marshall MB, Kaiser LR, Kucharczuk JC. Evolving options in the management of esophageal perforation. Ann Thorac Surg. 2004;77(4):1475-83. https://doi.org/10.1016/j.athoracsur.2003.08.037
Kim SJ, Ju CI, Kim DM, Kim SW. Delayed esophageal perforation after cervical spine plating. Korean J Spine. 2013;10(3):174-6. https://doi.org/10.14245/kjs.2013.10.3.174
Lee JS, Kang DH, Hwang SH, Han JW. Oral extrusion of screw after anterior cervical interbody fusion. J Korean Neurosurg Soc. 2008;44(4):259-61. https://doi.org/10.3340/jkns.2008.44.4.259
Leaver N, Colby A, Appleton N, Vimalachandran D. Oesophageal perforation caused by screw displacement 16 months following anterio cervical spine fixation. BMJ Case Rep. 2015;2015:bcr2014207738. https://doi.org/10.1136/bcr-2014-207738
Lee SH, Mesfin A, Daniel Riew K. Delayed esophageal perforation after anterior cervical fusion and retropharyngeal steroid use: A report of two cases. Spine J. 2015;15(10):e75-80. https://doi.org/10.1016/j.spinee.2015.06.058
Gaudinez RF, English GM, Gebhard JS, Brugman JL, Donaldson DH, Brown CW. Esophageal perforations after anterior cervical surgery. J Spinal Disord. 2000;13(1):77-84. https://doi.org/10.1097/00002517-200002000-00015
Khaitan PG, Famiglietti A, Watson TJ. The Etiology, Diagnosis, and Management of Esophageal Perforation. J Gastrointest Surg. 2022;26(12):2606-15. https://doi.org/10.1007/s11605-022-05454-2
Liang DH, Hwang E, Meisenbach LM, Kim MP, Chan EY, Khaitan PG. Clinical outcomes following self-expanding metal stent placement for esophageal salvage. J Thorac Cardiovasc Surg. 2017;154(3):1145-50. https://doi.org/10.1016/j.jtcvs.2017.03.051
Aziz M, Haghbin H, Sharma S, Weissman S, Saleem S, Lee-Smith W, et al. Safety and effectiveness of endoluminal vacuum-assisted closure for esophageal defects: Systematic review and meta-analysis. Endosc Int Open. 2021;09(09):E1371-80. https://doi.org/10.1055/a-1508-5947
Leeds SG, Mencio M, Ontiveros E, Ward MA. Endoluminal Vacuum Therapy: How I Do It. J Gastrointest Surg. 2019;23(5):1037-43. https://doi.org/10.1007/s11605-018-04082-z
Gutschow CA, Schlag C, Vetter D. Endoscopic vacuum therapy in the upper gastrointestinal tract: when and how to use it. Langenbeck’s Arch Surg. 2022;407(3):957-64. https://doi.org/10.1007/s00423-022-02436-5
Laukoetter MG, Mennigen R, Neumann PA, Dhayat S, Horst G, Palmes D, et al. Successful closure of defects in the upper gastrointestinal tract by endoscopic vacuum therapy (EVT): a prospective cohort study. Surg Endosc. 2017;31(6):2687-96. https://doi.org/10.1007/s00464-016-5265-3
Rueth N, Shaw D, Groth S, Stranberg S, D’Cunha J, Sembrano J, et al. Management of cervical esophageal injury after spinal surgery. Ann Thorac Surg. 2010;90(4):1128-33. https://doi.org/10.1016/j.athoracsur.2010.06.045
Notes
Author notes
*Correspondence: Ileana Rocío Bautista-Parada. ibautista4@hotmail.com