Report of cases
Received: 10 September 2023
Accepted: 19 February 2024
DOI: https://doi.org/10.22516/25007440.1138
Abstract
Introduction: Wilson’s disease (WD) is an autosomal recessive disorder that can affect individuals of any age. Neurological involvement is reported in 30%-40% of patients, with dysarthria, ataxia, and dystonia being the primary manifestations. The presence of Kayser-Fleischer (KF) rings is observed in 77.2%-85.2% of cases. Chelation therapy demonstrates a paradoxical response in up to 50% of patients. We report a case of severe neurological presentation without KF rings, exhibiting a paradoxical response to chelation therapy.
Case Presentation: A 23-year-old man with no prior medical history presented with a six-month history of symptoms consistent with vasovagal syncope episodes, followed by ataxia, muscle weakness, dysphagia, sialorrhea, and dysarthria. His condition progressively worsened due to sepsis of pulmonary origin secondary to an aspiration event. Investigations revealed low ceruloplasmin levels, elevated urinary copper, imaging findings consistent with thalamic and lenticular involvement, liver biopsy showing autoimmune hepatitis-like changes and features resembling non-alcoholic fatty liver disease (NAFLD), absence of KF rings, and a paradoxical response to chelation therapy. The disease course was marked by severe dystonia progression and a fatal outcome.
Conclusions: WD is a condition with significant morbidity and a variable clinical spectrum. Isolated neurological involvement without KF rings is uncommon, and outcomes depend on early initiation of copper chelation therapy. However, paradoxical worsening of symptoms due to treatment, as observed in this case, poses an additional challenge.
Keywords: Wilson’s disease, dystonia, penicillamine, copper.
Resumen
Introducción: La enfermedad de Wilson (EW) es un trastorno autosómico recesivo que afecta a personas de cualquier edad. Se describe compromiso neurológico en el 30%-40% de pacientes, sus principales manifestaciones son la disartria, ataxia y distonía, y su relación con los anillos de Kayser-Fleischer (KF) está en el 77,2%-85,2%. El tratamiento quelante tiene una respuesta paradójica al tratamiento hasta en el 50%. Se presenta un caso con manifestación neurológica grave, en el que no se evidenciaron anillos de KF con respuesta paradójica al tratamiento quelante.
Presentación del caso: Hombre de 23 años sin antecedentes con un cuadro de 6 meses compatibles con episodios sincopales vasovagales y posterior ataxia, debilidad muscular, disfagia, sialorrea y disartria, con un deterioro progresivo por sepsis de origen pulmonar secundario a un episodio de broncoaspiración. Se documentó ceruloplasmina baja, cobre urinario elevado, hallazgos imagenológicos de compromiso talámico y lenticulares, biopsia con hepatitis autoinmune like y cambios similares a enfermedad del hígado graso no alcohólico (EHGNA) sin anillos de KF con respuesta paradójica al manejo quelante, progresión de la distonía grave y desenlace fatal.
Conclusiones: La EW es una enfermedad con alta carga de morbilidad, con un espectro clínico variable. El compromiso neurológico aislado sin anillos de KF es inusual, sus desenlaces dependen del inicio temprano del quelante de cobre, teniendo en cuenta que implica también un riesgo de deterioro de los síntomas ante una respuesta paradójica al tratamiento, como se observó en el caso.
Palabras clave: Enfermedad de Wilson, distonía, penicilamina, cobre.
Introduction
Wilson’s disease (WD) is a rare condition with increasing prevalence1,2. It lacks a genotype-phenotype correlation and exhibits a wide spectrum of manifestations, affecting individuals aged 3 to 55 years. Neurological involvement is observed in 30% to 40% of cases and is associated with the presence of Kayser-Fleischer (KF) rings in 77.8% to 85.2% of cases3, with similar findings reported in Colombian series (approximately 72.7%)4. Imaging findings in patients with neurological involvement are often non-specific, with the panda sign being the only late-stage pathognomonic finding5. Treatment primarily involves chelators, though the efficacy of combined therapy (chelators and zinc) remains debated due to high risks of side effects and paradoxical responses3. For severe neurological involvement, liver transplantation is still under discussion6. This report presents a clinical case of WD with less than one year of neurological manifestations, no chronic imaging findings, progression to severe dystonia, absence of KF rings, and a fatal outcome.
Case description
The patient was a 23-year-old male with no prior medical history, normal neurodevelopment, good academic performance, and psychosocial functioning typical for his age. He reported no significant family medical history. Six months prior to his admission, he experienced a sudden two-minute loss of consciousness, with complete recovery, consistent with syncope. This event recurred four times in the following week, prompting multiple emergency department visits. Initial evaluations, including a positive tilt table test, supported a diagnosis of vasovagal syncope. Complementary studies, including echocardiography, carotid Doppler, non-contrast cranial CT, and 24-hour Holter monitoring, were normal.
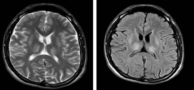
Two months before admission, the patient developed progressive lower limb weakness, gait disturbances with an increased base of support, and incoordination of gross and fine motor activities. He also exhibited bradylalia, which progressed to mild dysarthria, dysphagia for solids and liquids, and sialorrhea. Subsequently, he experienced a tonic posturing episode involving flexion of the upper limbs, extension of the lower limbs, and retrocollis lasting one minute, with preserved consciousness and no sphincter relaxation or tongue biting. A non-contrast brain MRI revealed thalamic and lenticular nucleus lesions, hypointense on T1 and hyperintense on T2 and fluid-attenuated inversion recovery (FLAIR) sequences, with no additional abnormalities (Figure 1). Two electroencephalograms, one 6-hour and another 12-hour, showed no ictal activity. During clinical evolution, the patient displayed impaired attention (dysexecutive symptoms), recurrent overvalued anxious thoughts, and a labile and anxious mood, with intact memory, preserved sleep, and appetite.

The patient exhibited progressive deterioration characterized by episodes of tremors in the extremities, abnormal limb and neck posture, which became increasingly frequent and prolonged, ultimately impairing ambulation and resulting in immobility. Laboratory tests revealed mild normocytic normochromic anemia, elevated creatine phosphokinase (CPK), impaired renal function consistent with KDIGO stage II without chronic findings, and hepatic profile abnormalities with elevated transaminases, predominantly aspartate aminotransferase (AST) (Table 1). A repeat cranial CT scan was normal, as was a lumbar puncture with opening pressure and cerebrospinal fluid analysis. A bronchial aspiration episode led to sepsis of pulmonary origin, necessitating orotracheal intubation and prolonged invasive mechanical ventilation. Antibiotic therapy included piperacillin-tazobactam followed by meropenem.

Extended studies for Wilson’s Disease (WD) revealed low ceruloplasmin, serum copper within normal limits, elevated urinary copper (766 μg/24 hours), and a liver biopsy performed due to persistent abnormal liver function tests. The biopsy showed moderate interface hepatitis, hepatocellular ballooning, and Mallory bodies (Figure 2). An ophthalmological evaluation found no evidence of Kayser-Fleischer (KF) rings, and imaging studies revealed no changes consistent with chronic liver disease. A Leipzig score of six points was calculated. Treatment included penicillamine at 15 mg/kg/day combined with zinc sulfate at 150 mg/day. Neurological deterioration occurred, marked by severe generalized dystonia predominantly affecting the oromandibular and cervical regions with pronounced retrocollis within three days of initiating chelation therapy (Figure 3). Intensive care unit (ICU) management involved cycles of neuromuscular relaxants combined with sedation using benzodiazepines (midazolam), baclofen, methadone, and gabapentin. Despite these interventions, clinical evolution was poor, leading to discussions with the family regarding the limitation of therapeutic efforts. The patient ultimately had a fatal outcome after four weeks of hospitalization.


This case documents WD presenting with severe neurological manifestations, secondary rhabdomyolysis, and the unique characteristic of absent ocular involvement, as no KF rings were detected. Additionally, the patient exhibited a paradoxical response to chelation therapy. This case adds to the literature with detailed observations and a review.
Discussion
WD is an autosomal recessive disorder caused by mutations in the ATP7B gene on chromosome 13, with more than 700 mutations described. There is no established genotype-phenotype correlation, and epigenetic alterations play a significant role. The defect leads to impaired copper excretion, resulting in multi-organ damage due to tissue deposition3. Described in 1912 by Dr. Samuel Alexander Kinnier Wilson, its prevalence has increased to 30-142 cases per million1,2. Clinical manifestations are diverse, typically affecting adolescents or young adults, with an age range of 3 to 55 years. They include neurological involvement (30%-40%), hepatic involvement (30%-50%), psychiatric symptoms (30%-40%), and corneal KF rings3,7.
This case presents unique features warranting analysis in the context of current knowledge. Notably, the absence of KF rings in a patient with neurological manifestations and cerebral imaging findings, despite disease onset less than a year prior, is unusual. In the literature, neurological symptoms vary widely; they are often mild or intermittent for years but can progress rapidly to severe deterioration within months. Damage predominantly affects the basal ganglia, with early symptoms including dysgraphia and gait and balance disturbances1. Manifestations range from involuntary movements to severe dystonia, with dysarthria being the most common symptom (46%-97%), followed by ataxia (28%-75%), dystonia (38%-69%), parkinsonism (12%-58%), and dysphagia (50%), among others3. There is no genotype-phenotype correlation for neurological manifestations in WD3,8, and MRI findings do not consistently align with clinical presentation or treatment response3.
Some significant findings indicate that up to 83.3% of patients with neurological manifestations of Wilson’s Disease (WD) have documented hepatic involvement, with hepatic copper content measured by spectroscopy exceeding 250 μg/g of liver dry weight3. Although local data are limited, neurological involvement has been observed in 40% of WD patients, with parkinsonism (14%) and dystonia (11%) being the most common manifestations. Among patients with WD and documented neurological involvement, none had detectable copper deposits in liver biopsies, 72.7% exhibited Kayser-Fleischer (KF) rings, 81% had low ceruloplasmin levels, and elevated urinary copper was observed in only 54.5% of cases4.
What makes our patient’s case unusual is the absence of KF rings or sunflower cataracts. Neurological manifestations of WD without ocular involvement are rare in the literature. It has been reported that KF rings are present in 77.8%-85.2% of patients with neurological or psychiatric involvement7,9, in 36%-62% of patients with hepatic manifestations, and in 10%-30% of asymptomatic patients9. Local data show that only 40% of all newly diagnosed WD cases and 72.7% of cases with neurological involvement had KF rings identified by slit-lamp exam4. In this case, no ocular involvement was documented, but hepatic involvement was present. This initially necessitated the exclusion of other differential diagnoses due to the atypical presentation. Optical coherence tomography of the anterior segment could have been a useful alternative to rule out ocular involvement, given the slit-lamp’s sensitivity of approximately 50%9.
The diagnosis of WD also includes evidence of hepatopathy, and abdominal ultrasonography can aid in identifying the disease. Depending on the stage of WD, abdominal ultrasound may reveal hepatomegaly or signs of chronic liver disease10. Liver biopsy remains essential for quantifying hepatic copper, assessing the degree of inflammation and fibrosis, ruling out other diseases, and potentially evaluating treatment response11. Histological findings in WD include autoimmune-like hepatitis, fibrosis, fatty infiltration, cirrhosis, hepatocellular ballooning, and Mallory-Denk bodies, among others. However, these findings are non-specific. In analyzing hepatic copper, it is important to consider its heterogeneous deposition in the liver, varying by lobe in early stages and by nodule in cirrhosis. This variability can lead to negative staining results, making such tests less sensitive, and a negative result does not exclude the diagnosis. A more reliable test is the measurement of hepatic copper concentration, where levels <50 μg/g of liver dry weight are normal, and levels >250 μg/g indicate abnormal copper deposition3,12. In the presented case, there were no imaging findings indicative of cirrhosis, but moderate chronic hepatitis and autoimmune-like hepatitis were observed. These findings bear similarities to changes seen in nonalcoholic fatty liver disease (NAFLD).
In magnetic resonance imaging (MRI), early abnormalities are often non-specific but can be valuable for diagnosing unexplained neurological or psychiatric symptoms. Findings may include alterations in the basal ganglia, thalami, pons, and white matter. Data show evidence of cerebral atrophy, bilateral symmetrical lesions in the caudate and putamen (characterized by concentric laminar increases in T2 signal intensity), and T2 signal hyperintensities in the substantia nigra (pars compacta), periaqueductal gray matter, pontine tegmentum, and thalamus. Additionally, T2 signal hyperintensities may be observed in the periaqueductal gray matter, substantia nigra, and around the red nuclei, which maintain their normal hypointensity. A late-stage hallmark, the panda sign, consists of T2 hyperintensity in the midbrain and has been considered pathognomonic. However, similar changes may be seen in chronic liver disease, which must be taken into account. It is clear that MRI is not useful for determining prognosis or monitoring neurological symptoms3,5. In the present case, the disease onset was less than 12 months, and hyperintensity in the basal ganglia was documented without evidence of the panda sign, suggesting a rapidly progressive course driven by neurological involvement.
Adverse effects at the initiation of therapy remain a major concern, particularly due to the risk of neurological deterioration after starting any of the three main medications. This occurs most frequently with penicillamine (13.8%), followed by trientine (8%) and zinc (4.3%)13. Neurological deterioration has been reported in up to 50% of patients initiating penicillamine, and as many as 30% of patients may discontinue therapy due to adverse events, making this drug one that requires special caution. Although most guidelines recommend starting treatment with penicillamine, recent data from a clinical trial (the Chelate trial) with 48 weeks of follow-up demonstrated that trientine tetrahydrochloride is not inferior to penicillamine and is comparable in terms of side effects14.
There is currently no clear evidence on whether combination therapy with chelators and zinc offers advantages over monotherapy, nor are there comparative data on its safety profile. The decision to initiate combination therapy is primarily based on clinical judgment and the mechanism of action rather than efficacy or safety3. Another therapy under evaluation is bis-choline tetrathiomolybdate (ALXN840), which acts by forming a tripartite complex with copper and albumin, followed by biliary excretion. Preclinical and phase III studies have shown that in ATPB7(-) mice, this therapy is not inferior to D-penicillamine or trientine in reducing hepatic copper levels. However, high doses have been associated with potential mitochondrial damage. Results from ongoing studies are still awaited15. Additionally, methanobactin therapy in animal studies has demonstrated strong copper-binding affinity and promising results in preventing copper-induced mitochondrial damage and improving histological outcomes. In terms of precision medicine, adeno-associated virus vectors encoding human ATP7B complementary DNA (cDNA) in hepatocytes of a WD mouse model have demonstrated effective ATP7B expression and reduction in hepatic copper levels. Shorter vectors have also shown long-term normalization of copper levels in mice. Furthermore, liver cell transplantation therapies have reduced fulminant hepatitis, decreased inflammation, and improved short-term survival8.
In this case, combination therapy with zinc and penicillamine was initiated, primarily based on clinical judgment regarding the disease’s progression and resource availability. However, neurological deterioration was subsequently documented, raising concerns about the optimal therapy for neurological forms of WD.
In the multidisciplinary management approach, the possibility of liver transplantation was considered based on very limited data, primarily from small cohorts in France and Italy. However, clinical outcomes remain unclear, and severe neurological involvement is still not an established indication for liver transplantation6.
Conclusion
WD is a disease with significant morbidity and a wide spectrum of clinical manifestations. Neurological presentations without KF rings are uncommon. The prognosis of neurological manifestations depends heavily on the early initiation of copper-chelating therapy, despite the risk of neurological deterioration associated with treatment initiation. Liver transplantation for severe neurological manifestations remains a controversial topic.
Referencias
Sharma N, Das DD, Chawla PA. Exploring the potential of trientine tetrahydrochloride in the treatment of Wilson disease. Heal Sci Rev. 2023;6:100082. https://doi.org/10.1016/j.hsr.2023.100082
Vierling JM, Sussman NL. Wilson disease in adults: Clinical presentations, diagnosis, and medical management. En: Kerkar N, Roberts EA (editores). Clinical and Translational Perspectives on Wilson Disease. Elsevier; 2018. p. 165-177. https://doi.org/10.1016/B978-0-12-810532-0.00016-1
Schilsky ML, Roberts EA, Bronstein JM, Dhawan A, Hamilton JP, Rivard AM, et al. A Multidisciplinary Approach to the Diagnosis and Management of Wilson Disease: 2022 Practice Guidance on Wilson Disease from the American Association for the Study of Liver Diseases. Hepatology. 2022:1-49. https://doi.org/10.1002/hep.32801
Muñoz Maya OG, Vélez Hernández JE, Santos Sánchez OM, Marín Zuluaga JI, Restrepo Gutiérrez JC. Enfermedad de Wilson: experiencia de un centro de referencia en Colombia. Rev Colomb Gastroenterol. 2021;36(1):51-7. https://doi.org/10.22516/25007440.593
Sinha S, Taly AB, Ravishankar S, Prashanth LK, Venugopal KS, Arunodaya GR, et al. Wilson’s disease: cranial MRI observations and clinical correlation. Neuroradiology. 2006;48(9):613-21. https://doi.org/10.1007/s00234-006-0101-4
Ferrarese A, Morelli MC, Carrai P, Milana M, Angelico M, Perricone G, et al. Outcomes of Liver Transplant for Adults With Wilson’s Disease. Liver Transplant. 2020;26(4):507-16. https://doi.org/10.1002/lt.25714
European Association for Study of Liver. EASL Clinical Practice Guidelines: Wilson’s disease. J Hepatol. 2012;56(3):671-85. https://doi.org/10.1016/j.jhep.2011.11.007
Moini M, To U, Schilsky ML. Recent advances in Wilson disease. Transl Gastroenterol Hepatol. 2021;6:21. https://doi.org/10.21037/tgh-2020-02
Chevalier K, Mauget-Faÿsse M, Vasseur V, Azar G, Obadia MA, Poujois A. Eye Involvement in Wilson’s Disease: A Review of the Literature. J Clin Med. 2022;11(9):2528. https://doi.org/10.3390/jcm11092528
Członkowska A, Litwin T, Dusek P, Ferenci P, Lutsenko S, Medici V, et al. Wilson disease. Nat Rev Dis Prim. 2018;4(1):21. https://doi.org/10.1038/s41572-018-0018-3
Cope-Yokoyama S, Finegold MJ, Sturniolo GC, Kim K, Mescoli C, Rugge M, et al. Wilson disease: histopathological correlations with treatment on follow-up liver biopsies. World J Gastroenterol. 2010;16(12):1487-94. https://doi.org/10.3748/wjg.v16.i12.1487
Gerosa C, Fanni D, Congiu T, Piras M, Cau F, Moi M, et al. Liver pathology in Wilson’s disease: From copper overload to cirrhosis. J Inorg Biochem. 2019;193:106-11. https://doi.org/10.1016/j.jinorgbio.2019.01.008
Merle U, Schaefer M, Ferenci P, Stremmel W. Clinical presentation, diagnosis and long-term outcome of Wilson’s disease: a cohort study. Gut. 2007;56(1):115-20. https://doi.org/10.1136/gut.2005.087262
Schilsky ML, Czlonkowska A, Zuin M, Cassiman D, Twardowschy C, Poujois A, et al. Trientine tetrahydrochloride versus penicillamine for maintenance therapy in Wilson disease (CHELATE): a randomised, open-label, non-inferiority, phase 3 trial. Lancet Gastroenterol Hepatol. 2022;7(12):1092-102. https://doi.org/10.1016/S2468-1253(22)00270-9
Kim P, Zhang CC, Thoröe-Boveleth S, Buhl EM, Weiskirchen S, Stremmel W, et al. Analyzing the Therapeutic Efficacy of Bis-Choline-Tetrathiomolybdate in the Atp7b(-/-) Copper Overload Mouse Model. Biomedicines. 2021;9(12):1861. https://doi.org/10.3390/biomedicines9121861
Notes
Author notes
*Correspondence: Carlos Mauricio Martínez-Montalvo. carlitos220792@gmail.com
Conflict of interest declaration