Report of cases
Received: 26 September 2023
Accepted: 23 August 2024
DOI: https://doi.org/10.22516/25007440.1071
Abstract
Introduction: The radiological finding of gas dissecting the gastric wall is rare and is associated with two conditions: emphysematous gastritis, which involves infection by gas-producing bacteria and has a severe course with a mortality rate exceeding 50%, and gastric emphysema, which is predominantly caused by mechanical factors and has a more benign prognosis. In cases of gastric pneumatosis, early diagnosis and timely treatment are crucial to preventing complications.
Case Presentation: A 62-year-old male patient presented to the emergency department with abdominal pain, distension, and diarrhea. He was hemodynamically stable and showed no signs of peritoneal irritation. Computed tomography revealed gastric pneumatosis associated with pneumoperitoneum. The patient was managed conservatively with antibiotics and demonstrated a successful recovery, with complete resolution of symptoms and radiological findings.
Discussion: Various etiologies can cause gastric pneumatosis; however, when associated with pneumoperitoneum, the diagnostic suspicion leans toward emphysematous gastritis, a condition that typically follows a severe course and often necessitates surgical management. Nonetheless, cases managed conservatively with positive outcomes have been reported.
Conclusion: Early recognition of patients with emphysematous gastritis is critical to reducing complications such as gastric perforation or death. Historically, these patients warranted surgical intervention; however, recent case reports suggest that conservative management can be effective. There is no consensus on the standard approach for patients presenting with gastric pneumatosis.
Keywords: Gastritis, emphysema, gastroenteritis.
Resumen
Introducción: El hallazgo radiológico de gas que diseca la pared gástrica es infrecuente y se asocia a dos condiciones: gastritis enfisematosa, en relación con infección por bacterias productoras de gas que tiene un curso grave con una mortalidad mayor del 50%, y enfisema gástrico, producido por causas mecánicas en la mayoría de los casos y con desenlaces más benignos. Es por eso que, en casos de neumatosis gástrica, el diagnóstico temprano y el tratamiento oportuno previene complicaciones.
Presentación del caso: Se trata de un paciente masculino de 62 años que ingresó al servicio de urgencias con dolor abdominal, distensión y diarrea, hemodinámicamente estable y sin signos de irritación peritoneal. El hallazgo de neumatosis gástrica asociado a neumoporta se visualizó en una tomografía axial computarizada. El paciente fue sometido a manejo médico conservador con antibiótico y evolucionó de manera exitosa con mejoría completa de los síntomas y resolución imagenológica de los hallazgos.
Discusión: Varias etiologías pueden causar neumatosis gástrica; sin embargo, cuando esta se asocia a neumoporta, la sospecha diagnóstica se inclina hacia la gastritis enfisematosa, una patología en la mayoría de los casos de curso grave y con requerimiento de manejo quirúrgico. Se han descrito casos sometidos a manejo conservador con resultados exitosos.
Conclusión: El reconocimiento temprano de los pacientes con gastritis enfisematosa es fundamental para reducir complicaciones tales como perforación gástrica o muerte. Históricamente, estos pacientes justificaban una intervención quirúrgica, aunque recientemente hay informes de casos que favorecen el manejo conservador. No está consensuado el abordaje estándar para los pacientes que se presentan con neumatosis gástrica.
Palabras clave: Gastritis, enfisema, gastroenteritis.
Introduction
The management of patients presenting to the emergency department with abdominal pain requires a thorough clinical evaluation to rule out surgical causes, as a wide range of medical emergencies can lead to complications when a precise diagnosis is overlooked.
Pneumatosis, defined as the presence of gas within the walls of a hollow organ, is an imaging finding generally associated with local inflammatory, ischemic, or infectious changes. Clinical discernment is crucial in determining the diagnosis and assessing the need for surgical intervention. Specifically, gastric pneumatosis has two etiologies described in the literature: gastric emphysema and emphysematous gastritis1,2. Gastric emphysema results from the dissection of air into the gastric wall following mucosal injury, usually of mechanical origin, with reported cases following gastroscopy, vomiting or aerophagia, gastric outlet obstruction, or even in association with pneumothorax and pneumomediastinum in some cases3. Emphysematous gastritis, on the other hand, typically presents as a rare manifestation of infectious gastritis due to the invasion of the gastric mucosa by gas-producing microorganisms and is most often associated with the visualization of air in the portal venous system. The most frequently isolated microorganisms include Streptococcus spp., Escherichia coli, Enterobacter spp., Pseudomonas aeruginosa, and Clostridium perfringens, with isolated reports also describing mucormycosis4,5.
Both entities present a variable clinical spectrum, ranging from non-specific symptoms, such as epigastric pain and nausea with or without vomiting, to acute abdomen, systemic inflammatory response syndrome, sepsis, and, in some cases, death6. Elevated lactate and creatinine levels are associated with increased mortality. Furthermore, when either condition manifests as an acute abdomen, mortality rates range from 50% to 80% despite surgical treatment. For this reason, early diagnosis and timely treatment are warranted to prevent complications and reduce mortality7,8.
Case report
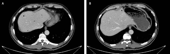
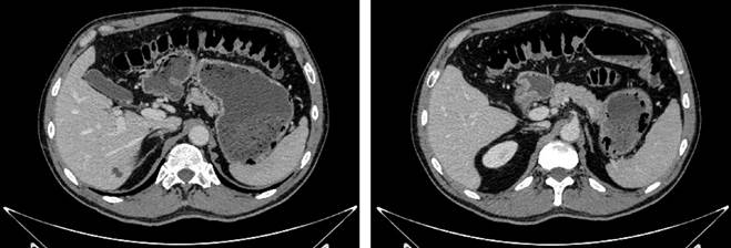
We present the case of a 62-year-old male patient who arrived at the emergency department with a three-day history of abdominal pain and distension, multiple episodes of diarrhea without gastrointestinal bleeding, nausea, vomiting, and fever. The patient attributed these symptoms to the consumption of spoiled meat. Upon admission, his vital signs were within normal limits. Physical examination revealed abdominal distension and tenderness on palpation, but there were no signs of peritoneal irritation. Analgesia was administered, and laboratory tests were performed, showing normal leukocyte levels (8,700), mild neutrophilia (85%), elevated C-reactive protein (4.9), normal renal function, and adequate electrolytes and acid-base status. Due to persistent pain, an abdominal and pelvic computed tomography (CT) scan was ordered. The axial CT scan revealed gas bubbles, predominantly in the region corresponding to the hepatic dome and the left hepatic lobe, suggestive of portal venous gas (Figure 1). There was also liquid and gaseous distension of the gastric chamber, with air dissecting the gastric wall, particularly at the fundus and along the greater curvature (Figure 2), findings consistent with gastric wall pneumatosis and non-specific thickening of the gastric walls at the antropyloric region.


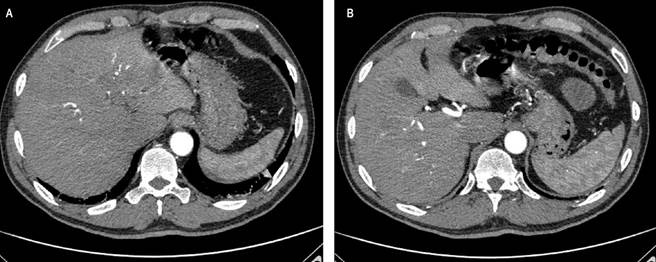
An upper digestive endoscopy (UDE) was performed to rule out any lesions that could explain the pneumatosis findings. The only abnormality identified was mucosal pallor of the gastric body, antrum, and duodenum, with erosions but no ulcers, consistent with signs of mild ischemia (Figure 3). Based on these findings, a CT angiography was conducted, which ruled out vascular ischemic involvement of the esophagus, stomach, duodenum, or intestines and confirmed vascular patency of the arterial and venous axes (Figure 4). Additionally, the resolution of the portal venous gas and improvement in the gastric pneumatosis were observed.


The patient’s clinical course was favorable following conservative management with empirical antibiotic therapy. He received piperacillin/tazobactam upon admission, and after ruling out ischemic involvement, oral intake was reintroduced. The patient tolerated oral feeding well, with evidence of normal intestinal transit. He was subsequently discharged to complete a seven-day outpatient antibiotic course with cephalexin and metronidazole. At the two-week follow-up, the patient showed complete resolution of symptoms.
Discussion
The imaging finding of portal venous gas in conjunction with gastric pneumatosis raises suspicion for mesenteric ischemia or intestinal necrosis as a consequence of advanced stages of obstruction, necrotizing enterocolitis, Crohn’s disease, ulcerative colitis, or caustic ingestion. For this reason, urgent surgical management is justified when clinical suspicion points toward one of these etiologies.
In this case, the etiology of gastric pneumatosis appears to be emphysematous gastritis, as the onset of symptoms was associated with the ingestion of spoiled food, and there was no preceding mechanical trigger that could explain the dissection of air into the gastric walls. Thus, the successful outcome of this patient following conservative medical treatment is particularly noteworthy.
When emphysematous gastritis is associated with ischemia of the gastric walls, the risk of necrosis or perforation increases, thereby warranting surgical exploration to assess visceral viability, ensure adequate vascular flow, and perform segmental resections if necessary8,9. The decision to immediately restore gastrointestinal continuity or to perform damage control procedures depends on the patient’s clinical, hemodynamic, and metabolic status.
Reports in the literature describe patients undergoing emergency gastrectomy without altering the fatal outcome, possibly due to the systemic damage and surgical morbidity involved. Risk factors associated with emphysematous gastritis have been identified, including diabetes, chronic obstructive pulmonary disease (COPD), renal failure, immunosuppression, prolonged steroid use, and alcohol abuse-none of which were documented in this patient.
Our patient presented with gastrointestinal symptoms, and CT imaging showed air in the gastric wall and portal venous system, prompting suspicion of intestinal ischemia. However, due to hemodynamic stability and the absence of peritoneal signs, endoscopy was performed to assess the mucosa, revealing only superficial ischemia without transmural involvement. Consequently, conservative management with antibiotics was chosen.
Upon reviewing the literature, there have been reports of patients who underwent surgical intervention despite showing no intraoperative abnormalities, despite signs and symptoms suggestive of intestinal ischemia and perforation, as described by Pastor-Sifuentes and colleagues10,11. However, successful conservative treatment with bowel rest and parenteral nutrition has also been documented, as in the case reported by Arezzo and colleagues1. In light of this, surgery should be reserved for patients who fail to respond to conservative management, those with transmural gastric ischemia, signs of peritoneal irritation, perforation, or extensive visceral involvement. This case illustrates the successful management of an emphysematous gastritis patient who remained stable throughout the course of the disease with medical treatment with antibiotics12.
Conclusion
Emphysematous gastritis and gastric emphysema are two conditions with variable clinical outcomes. Early recognition of emphysematous gastritis, typically diagnosed via computed tomography revealing gastric pneumatosis and portal venous gas, is crucial to reducing complications such as gastric perforation or death. Historically, these patients warranted surgical intervention; however, there have been reports of negative surgical findings despite symptoms of an acute abdomen, as well as successful outcomes with conservative management involving bowel rest or antibiotic therapy.
It is important to note that there is no standardized approach for patients presenting with gastric pneumatosis, and further studies are needed to appropriately determine which patients can be managed medically and which require surgical intervention.
Referencias
Arezzo A, Famiglietti F, Garabello D, Morino M. Complete resolution of emphysematous gastritis after conservative management. Clin Gastroenterol Hepatol. 2011;9(4):e30. https://doi.org/10.1016/j.cgh.2010.10.024
Moosvi AR, Saravolatz LD, Wong DH, Simms SM. Emphysematous gastritis: case report and review. Rev Infect Dis. 1990;12(5):848-55. https://doi.org/10.1093/clinids/12.5.848
Barbour JR, Stokes JP, Uflacker A, Saunders SB, Morgan KA. Spontaneous gastric pneumatosis causing abdominal pain. Am Surg. 2010;76(2):220-2. https://doi.org/10.1177/000313481007600222
Domínguez Jiménez JL, Puente Gutiérrez JJ, Marín Moreno MA, Bernal Blanco E, Gallardo Camacho JI, Uceda Vañó A. Neumatosis gástrica y gas en el sistema venoso portal secundario a una úlcera péptica. Gastroenterol Hepatol. 2008;31(8):494-6. https://doi.org/10.1157/13127091
Belda González I, Soliva Martínez D, Castro García A, Cantero Ayllon MJ, de Miguel Ibañez R. Gastric neumatosis: When not to operate. Cir Esp (Engl Ed). 2018;96(2):122-124. https://doi.org/10.1016/j.ciresp.2017.04.007
Huang CT, Liao WY. Emphysematous gastritis: a deadly infectious disease. Scand J Infect Dis. 2009;41(4):317-9. https://doi.org/10.1080/00365540902744774
Kim T, Kim HU, Song HJ. A case of gastric emphysema in anorexia nervosa presenting as acute gastric distension. Korean J Gastroenterol. 2012;60(5):315-9. https://doi.org/10.4166/kjg.2012.60.5.315
Matsushima K, Won EJ, Tangel MR, Enomoto LM, Avella DM, Soybel DI. Emphysematous gastritis and gastric emphysema: similar radiographic findings, distinct clinical entities. World J Surg. 2015;39(4):1008-17. https://doi.org/10.1007/s00268-014-2882-7
Ocepek A, Skok P, Virag M, Kamenik B, Horvat M. Emphysematous gastritis -- case report and review of the literature. Z Gastroenterol. 2004;42(8):735-8. https://doi.org/10.1055/s-2004-813238
Shipman PJ, Drury P. Emphysematous gastritis: case report and literature review. Australas Radiol. 2001;45(1):64-6. https://doi.org/10.1046/j.1440-1673.2001.00878.x
Pastor-Sifuentes FU, Moctezuma-Velázquez P, Aguilar-Frasco J. Gastric pneumatosis: The spectrum of the disease. Revista de Gastroenterología de México (English Edition). 2019;85(2):219-20. https://doi.org/10.1016/j.rgmxen.2019.05.003
Tan EC, Jager GJ, Bleeker WA, Van Goor H. Portal venous air in an adult patient with obstructive small bowel volvulus. Dig Surg. 2002;19(5):400-2. https://doi.org/10.1159/000065819
Notes
Author notes
*Correspondence: Sandra López-Tamayo. sandra.lopezt@udea.edu.co
Conflict of interest declaration