Reporte de caso

Recepción: 22 Mayo 2020
Aprobación: 23 Marzo 2021
DOI: https://doi.org/10.20453/rmh.v32i2.3986
Abstract: Medullary thyroid carcinoma (MTC) is a relatively rare neuroendocrine tumor that originates in the parafollicular C cells of the thyroid gland. It is characterized by the synthesis and secretion of calcitonin. Usually, serum calcitonin is used as part of the diagnosis and follow-up of these patients. Few cases of MTC with negative calcitonin have been reported worldwide, whose diagnosis is a clinical challenge.
Keywords: Thyroid cancer, neuroendocrine tumors, calcitonin.
Resumen: El carcinoma medular de tiroides (MTC) es un tumor neuroendocrino relativamente raro que se origina en las células C para foliculares de la glándula tiroides. Se caracteriza por la síntesis y secreción de calcitonina. Por lo general, la calcitonina sérica se utiliza como parte del diagnóstico y seguimiento de estos pacientes. Se han notificado pocos casos de MTC con calcitonina negativa en todo el mundo, cuyo diagnóstico es un desafío clínico.
Palabras clave: Neoplasias de la tiroides, carcinoma neuroendocrino, calcitonina.
INTRODUCTION
Neuroendocrine tumors (NET) of thyroid commonly originate from cells derived from the neural crest in the thyroid parafollicular cells or derived from C cells neuroendocrine tissue rise medullary thyroid carcinoma (MTC). This neoplasm is characterized by the elevated calcitonin production, and the concentration levels of this hormone is correlated with the diagnosis (1). Calcitonin is also used as immunohistochemically marker for cytological diagnosis and histopathological MTC (2). However, there are few reports of neuroendocrine thyroid tumors morphologically identical to medullary carcinoma but without calcitonin production (1,3,4). These tumors are rare, so their etiology and clinical presentation remain unknown (1,5). In this context, we report the case of a 49-year old man with the diagnosis of calcitonin negative neuroendocrine thyroid carcinoma.
CASE REPORT
A 49-years old man, referred a 1-year disease time characterized by progressive dysphonia, intolerance liquids and mild dyspnea, he had diagnostic work at another institution with right vocal cord biopsy which reported poorly differentiated neuroendocrine carcinoma. At the physical examination of the head and neck, an enlarged right thyroid lobe of hard consistency was palpated, no cervical adenopathy was found. The nasal fibroscopy showed right vocal cord paralysis and a tumor that partially infiltrates the mucosa of the right subglottic region.
The neck CT scan showed a heterogeneous solid tumor measuring 3.6 x 3 x 3.8 cm dependent on the right thyroid lobe; it infiltrated the larynx at the level of the subglottic region and enveloped the first tracheal ring. It was associated with multiple adenopathy in the right cervical region. The thorax CT scan showed multiple metastatic nodules in both pulmonary fields.
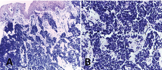
The reviewed pathology slides reported neuroendocrine differentiation of a thyroid carcinoma with the following immunohistochemistry markers: TTF1 (+), Synaptophysin (+), Panqueratin (+), Calcitonin (-), Chromogranin (-), CD20 (-), CD3 (-), CD5 (-), CD23 (-), CD10 (-), Cyclin D1 (-), S-100 (-), Ki 67 (90%) (Figure 1 and figure 2).
In addition, fine needle aspiration cytology of the right thyroid lobe reported a thyroid carcinoma, Bethesda VI, TTF1 (+), Calcitonin (-). Laboratory tests reported CEA: 38.8 ng/ml (Range: 0 to 2.5 µg/l) and serum calcitonin: 6.05 pg/ml (Range < 10 pg/ ml). The patient was diagnosed with locally advanced disease with regional and distant metastasis, therefore a tracheostomy was performed and the patient received systemic therapy. Currently the patient is in his sixth course of Cisplatin and Etoposide, uneventful.
DISCUSSION
Medullary thyroid cancer (MTC) represents 3% to 5% of malignant neoplasms of the thyroid. Calcitonin is a 32-amino acid glycoprotein; high levels of it are found in patients with MTC so its measurement remains the most accurate tool to diagnose and follow up this disease with a global sensitivity of 100%. However, during the last decades several cases of calcitonin negative thyroid medullary carcinoma were reported (6).
In 1998, Schmid et al., used the term “Atypical thyroid medullary cancer” in thyroid tumors with negative calcitonin but showing positive neuroendocrine markers (7); being the negativity of calcitonin the atypical form of an MTC. In 2008, Wang et al., published another case of MTC with negative calcitonin (5); using this term, since the tumor cells were positive for CEA although minimally positive for calcitonin and negative for amyloid. In 2011, Chernyavsky et al., reported another case with calcitonin negative but showing neuron- specific enolase (NSE), synaptophysin and positive thyroglobulin (3); they used the term “Neuroendocrine Thyroid Negative Calcitonin Tumor (CNNET)”. In 2014, Nakazawa et al., used the term “Neuroendocrine carcinoma of thyroid derived from calcitonin-free C cells” in which the tumor cells were negative for calcitonin and positive for neuroendocrine markers, also to rule the diagnosis the peptide immunoreactivity related to the calcitonin gene (CGRP) was used (4,8).


Some theories tried to explain the physiopathology of calcitonin negative in MTC. For example, the dedifferentiation of tumor cells, genetic mutations in calcitonin gene-related peptide (CGRP), defects in the cellular machinery that synthesizes calcitonin, among others (6). Some authors suggest that the loss of the ability to produce calcitonin is due to the dedifferentiation of the tumor, so it could be an indicator of poor prognosis. This mechanism could explain the low serum levels of calcitonin despite the fact that the disease is in advanced stages (9). In support of this theory, Saad et al., described that weak calcitonin staining in immunohistochemistry (IHC) was associated with a worse prognosis (10). Guidelines of the American Thyroid Association on MTC mentioned that a poor calcitonin production could be related to the loss of differentiation, which poor prognosis (2,8). Also, low serum levels of calcitonin have been related to a more aggressive variant of MTC and the presence of early metastasis (5,11). Despite this, Frank-Raue et al, reported that the stage and clinical course of calcitonin negative MTC was not necessarily associated with a poor prognosis (12).
Some tumors showed less aggressive characteristics, such as low Ki-67 staining and RET mutations, but these patients had rapid progression and death. In addition, Saad et al, the weak IHC staining of calcitonin did not correlate with the aggressive histological grade of the tumor or with a worse prognosis (1,12,13).
Another theory that may explain calcitonin negative MTC is the production of precursor peptides and aberrant forms of calcitonin by some tumors, which consequently results in the inability to produce mature calcitonin (14). In the process of calcitonin production, different peptides are created, such as procalcitonin, immature calcitonin, and the byproducts of aminoprocalcitonin and CCP-1 (15). The calcitonin antibodies used by various laboratories for immunohistochemistry staining are polyclonal and can detect these peptides. In contrast, immunoradiometric assays use monoclonal antibodies to detect mature calcitonin. Therefore, differences in the specificity of the antibody may account for the discordance between serum levels and immunohistochemistry that is observed in some cases (16). A defect in the cellular secretory apparatus is another hypothesis that could explain the calcitonin negative MTC. This theory may also explain the low levels of other peptides such as chromogranin A and CEA (11).
Because MTC are neuroendocrine tumors, not only is calcitonin, but other immunohistochemistry markers such as neuron-specific enolase (NSE), synaptophysin, and chromogranin A could be used in the diagnosis. In this cases, pathologies such as paragangliomas, metastatic neuroendocrine tumors, hyalinizing trabecular tumors, primary carcinoma of small thyroid cells, among others must be included in the diagnostic workout (7,8).
The main treatment for patients with calcitonin negative MTC is surgery when the disease is localized. When the disease is metastatic disease, the treatment of choice is systemic therapy (3,4,7,8). The lack of marked elevation of calcitonin and other tumor markers, including CEA and chromogranin A, poses a difficulty with respect to surveillance of the disease (5,15).
There are several imaging techniques for the localization of disease recurrence such as computed tomography, magnetic resonance, selective venous catheterization and FDG-PET. Redding et al., followed their patient with serial CT scans of the thorax, pelvis and abdomen (17). Bockhorn et al., recommended cervical ultrasonography every 3 months during the first year as well as chest x-ray and abdominopelvic CT scan (18); in the case of doubtful findings in cervical ultrasonography should be verified with magnetic resonance, if the doubt persists, FDG-PET is recommended (5,13,17,18). Recent publications have compared the role of gallium-68-labelled somatostatin analogues (DOTATATE PET CT), it is an efficient imaging modality in MTC patients for localizing recurrent or metastatic disease. It can be used in patients with any level of increased calcitonin and CEA (19).
In conclusion, negative calcitonin medullary thyroid carcinoma is a rare disease, its etiology still debatable. Immunohistochemistry study is a very important tool, being indispensable specific markers to arrive at its diagnosis. The treatment and prognosis were heterogeneous among the reported cases.
REFERENCES
1. Kasajima A, Cameselle-Teijeiro J, Loidi L, et al. A calcitonin non-producing neuroendocrine tumor of the thyroid gland. Endocr Pathol. 2016; 27:325–331.
2. Young-Kim G, Yun-Park C, Ho-Cho C, Sik-Park J, Dal-Jung E, Ju-Jeon E. A calcitonin-negative neuroendocrine tumor derived from follicular lesions of the thyroid. Endocrinol Metab. 2015; 30:221-225.
3. Chernyavsky S, Farghani S, Davidov T, et al. Calcitonin-negative neuroendocrine tumor of the thyroid: A distinct clinical entity. Thyroid. 2011; 21(2):193-6. doi: 10.1089/thy.2010.0299
4. Nakazawa T, Cameselle-Teijeiro, Vinagre J, et al. C-cell-derived calcitonin-free neuroendocrine carcinoma of the thyroid: The diagnostic importance of CGRP immunoreactivity. Int J Surg Pathol. 2014; 22(6):530-5.
5. Wang TS, Ocal IT, Sosa JA, Cox H, Roman S. Medullary thyroid carcinoma without marked elevation of calcitonin: a diagnostic and surveillance dilemma. Thyroid. 2008; 18(8):889-94.
6. Trimboli P, Giovanella L. Serum calcitonin negative medullary thyroid carcinoma: a systematic review of the literature. Clin Chem Lab Med. 2015; 53(10):1507-14.
7. Schmid KW, Ensinger C. “Atypical” medullary thyroid carcinoma with little or no calcitonin expression. Virchows Arch. 1998; 433:209-15.
8. Ismi O, Arpaci RB, Berkesoglu M, et al. Calcitonin-negative neuroendocrine tumor of thyroid gland mimicking anaplastic carcinoma: an unusual entity. Gland Surg. 2015; 4(4):344-9.
9. Busnardo B, Girelli ME, Simioni N, Nacamulli D, Busetto E. Nonparallel patterns of calcitonin and carcinoembryonic antigen levels in the follow-up of medullary thyroid carcinoma. Cancer. 1984; 53: 278–85.
10. Saad MF, Ordonez NG, Guido JJ, Samaan NA.The prognostic value of calcitonin immunostaining in medullary carcinoma of the thyroid. Clin Endocrinol Metab. 1984; 59:850–6.
11. Brutsaert F, Gersten J, Tassler B, Surks I. Medullary Thyroid Cancer with Undetectable Serum Calcitonin. J Clin Endocrinol Metab. 2015; (2):337-41. doi:10.1210/jc.2014-3095
12. Frank-Raue K, Machens A, Leidig-Bruckner G, S.et al. Prevalence and clinical spectrum of nonsecretory medullary thyroid carcinoma in a series of 839 patients with sporadic medullary thyroid carcinoma. Thyroid. 2013; 23(3):294-300. doi: 10.1089/thy.2012.0236
13. Samà MT, Giaccherino R, Gallo M, et al. Clinical challenges with calcitonin-negative medullary thyroid carcinoma. J Cancer Res Clin Oncol. 2016;142(9):2023-9.
14. Inzerillo A, Zaidi M, Huang C. Calcitonin: the other thyroid hormone. Thyroid. 2002; 12: 791–8.
15. Inzerillo AM, Zaidi M, Huang CL. Calcitonin: physiological actions and clinical applications. Journal of pediatric endocrinology, metabolism. JPEM. 2004; 17: 931–40.
16. Pacini F, Fugazzola L, Basolo F, Elisei R, Pinchera A. Expression of calcitonin gene-related peptide in medullary thyroid cancer. J Endocrinol Invest. 1992;15:539–42.
17. Redding AH, Levine SN, Fowler MR. Normal preoperative calcitonin levels do not always exclude medullary thyroid carcinoma in patients with large palpable thyroid masses. Thyroid. 2000; 10:919–922.
18. Bockhorn M, Frilling A, Rewerk S, et al. Lack of elevated serum carcinoembryonic antigen and calcitonin in medullary thyroid carcinoma. Thyroid.2004. 14:468–470.
19. Ozkan ZG, Kuyumcu S, Uzum AK, et al. Comparison of -Ga-DOTATATE PET-CT, ¹-F-FDG PET-CT and 99mTc-(V)DMSA scintigraphy in the detection of recurrent or metastatic medullary thyroid carcinoma. Nucl Med Commun. 2015; 36(3):242-50.
Notas de autor
Corresponding author: Jorge Luna-Abanto Address: Avenida Angamos Este 2520 Surquillo Lima, Perú. Phone: +1 201 650000 - E mail: Jorgelunaabanto@gmail.com
Declaración de intereses
Enlace alternativo
https://revistas.upch.edu.pe/index.php/RMH/article/view/3986/4540 (pdf)