Reporte de caso
Quiste de Thornwaldt. A propósito de un caso
Thornwaldt Cyst. A Case Report
Quiste de Thornwaldt. A propósito de un caso
Revista Médica Herediana, vol. 32, núm. 3, pp. 171-174, 2021
Universidad Peruana Cayetano Heredia

Recepción: 20 Abril 2021
Aprobación: 17 Junio 2021
Resumen: Se presenta el caso de una mujer de 49 años, que acudió al servicio de otorrinolaringología con tiempo de enfermedad de tres meses presentando dolor y rigidez cervical, además de inestabilidad. Al ser evaluada, en la resonancia magnética de fosa posterior con contraste, se observó una lesión nodular en nasofaringe compatible con quiste de Thornwaldt. La endoscopia nasal evidenció una lesión compatible con dicho diagnóstico. Se decidió tratamiento quirúrgico, realizándose marsupialización bajo abordaje endoscópico transnasal. En el postoperatorio, la paciente refirió mejoría del dolor y de la rigidez cervical, pero persistió la inestabilidad. Por tratarse de una patología infrecuente y cuya forma de presentación es poco común se reporta el caso y se realiza una revisión del tema.
Palabras clave: Quistes, cirugía endoscópica por orificios naturales, enfermedades naturales.
Abstract: We present the case of a 49-year-old female patient attending the otorhinolaryngology service with a 3-month history of pain and neck rigidity plus instability. A contrast MRI of the posterior fossa revealed a nodular lesion in the nasopharynx compatible with a Thornwaldt cyst. A nasal endoscopy confirmed the diagnosis. Excision of the cyst under trans nasal endoscopy was performed. Instability persisted but neck pain and neck rigidity improved. We carried-out a literature review.
Keywords: Cyst, natural orifice endoscopic surgery, nasopharyngeal.
INTRODUCCIÓN
El quiste de Thornwaldt es una lesión benigna que se produce entre los restos de la notocorda y el endodermo faríngeo (1,2,3), ubicándose en la línea media de la pared nasofaríngea por encima del borde superior del musculo constrictor superior y entre los músculos largo de la cabeza a los lados, sin afectar al tejido óseo circundante (2,4,5). El quiste de Thornwaldt puede aparecer espontáneamente o de forma secundaria por acción traumática, post adenoidectomía, infecciones, y erosiones por cuerpos extraños (3,4,5,6).
El quiste de Thornwaldt tiene una incidencia de 3% a 7% en la población general, y se observa en 0,2% en las imágenes de resonancia magnética (3,5).
Se reporta este caso debido a la poca publicación existente, además de presentar molestias de dolor y contractura cervical, manifestaciones poco comunes. Se realiza una revisión bibliográfica respecto al tema.
PRESENTACIÓN DEL CASO
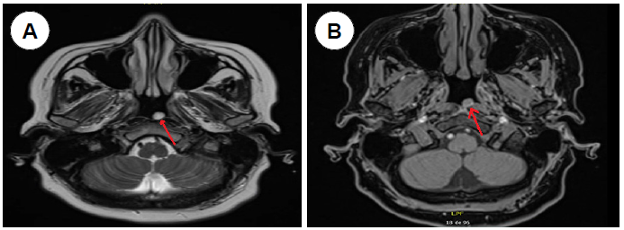
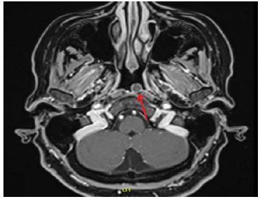
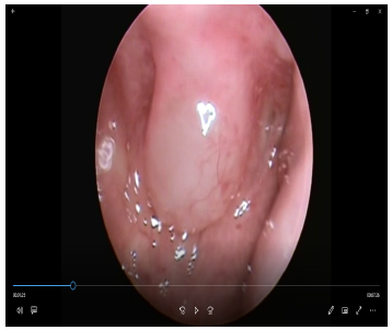
Mujer de 48 años de edad, con historia de tres meses de inestabilidad, en especial al realizar movimientos, y concomitantemente dolor y rigidez cervical. El examen clínico otorrinolaringológico fue normal, la audiometría mostró normoacusia y los exámenes vestibulares normales. Se solicitó resonancia magnética de fosa posterior con contraste encontrándose una lesión nodular en la nasofaringe de 0,7 cm de diámetro en T1 y T2, (figura 1A y B) que no varió con el contraste no afectando a estructuras óseas, sugerente de quiste de Thornwaldt (figura 2). Se realizó endoscopia nasal observándose una lesión regular lisa, de aspecto quístico en la nasofaringe (figura 3). Se decidió realizar marsupialización del quiste bajo abordaje endoscópico transnasal, se retiró los bordes y se cauterizó con electrocauterio, sin mayor complicación; el informe anatomopatológico descartó lesiones malignas informando solo tejido inflamatorio. El caso fue catalogado como quiste de Thornwaldt. La paciente presentó mejoría de dolor y rigidez cervical, aunque la inestabilidad se mantiene.



DISCUSIÓN
El quiste de Thornwaldt fue descrito por el médico alemán Gutav Ludwing Thornwaldt en 1885; es una tumoración benigna poco común, afectando entre el 3 al 7% de la población en general, siendo más frecuente entre la segunda y tercera década de la vida. y es igual para ambos sexos (1,3).
En la mayor parte de casos son asintomáticos, cuando hay síntomas suelen manifestar obstrucción nasal, rinorrea posterior, sensación de algo en zona de faringe, hipoacusia, otalgia, halitosis, otitis media, disfunción de trompa de Eustaquio, incremento de cuadro asmático y laringitis crónica (1,2,7). Síntomas más raros reportados son, dolores cervicales, rigidez de cuello, mareo, vértigo, hiperqueratosis bucal, lesiones leucoplasias orales y gingivitis. (3,4,7,8,9).
El diagnostico está basado en la endoscopia nasal y en imágenes, en muchos casos se encuentra de forma casual. En la endoscopia nasal, se observa una lesión redonda, de superficie lisa, de aspecto quístico (5,7). La tomografía, así como la resonancia son de gran utilidad, pero para algunos autores la resonancia se considera como el gold estándar para el diagnóstico, ya que se puede apreciar la lesión, la misma que resalta con gran intensidad tanto en T1 y T2, por el contenido proteico y hemorragias que presenta el quiste aun sin contraste con gadolinio (4,6,9,10).
En el diagnóstico diferencial se debe considerar el quiste de hendidura braquial, quiste de bolsa de Rathke, meningocele, meningoencefalocele, angiofibroma nasofaríngeo, carcinoma nasofaríngeo, metástasis de cáncer de tiroides, retención de adenoides y de mucocele de seno esfenoidal (5,11). Los quistes de Thornwald, bolsa de Rathke y de retención adenoidea se encuentran cerca de la línea media comparado a las otras patologías (12).
El tratamiento depende la sintomatología, cuando es asintomático y fue hallado de forma casual, se recomienda observación. En caso de ser sintomático lo adecuado es el tratamiento quirúrgico bajo endoscopia sea por abordaje endonasal, transoral o combinado (1,2,13,14,15,16). La técnica frecuente es la marsupialización del quiste, con extracción de los bordes y cauterización de este, algunos emplean el láser y microdebridador para reducir sangrados, recurrencias y tiempos operatorios (6,13,14). Si se realiza solamente aspiración del contenido quístico es posible la recurrencia de la lesión (4,13).
La anatomo patología solo nos muestra tejido inflamatorio y nos descarta otros tipos de lesiones (9).
En conclusión, el quiste de Thornwaldt es una tumoración benigna, infrecuente; el tratamiento es quirúrgico en caso ser sintomático. La marsupialización bajo guía endoscópica nasal con cauterización de bordes, es de fácil acceso y sin mayores complicaciones como en nuestro caso. La manifestación de contractura y dolor cervical son raras, pero mejoran después del manejo quirúrgico.
REFERENCIAS BIBLIOGRÁFICAS
1. Kulsange KL, Nagle S, Jagade, M, et al. Thornwaldt Cyst: Case Report. Int J Otorhinolaryngol Head Neck Surg. 2016; 5:203-207.
2. Yemail M, Barbón C, Marrugo O, Barbón J. Quiste de Thornwaldt. Reporte de un caso. Rev FASO. 2017; 24(1):69-72.
3. Kaur R, Kumar P. Unusual symptoms of Thornwaldt’s cyst: a case report. Int J Otorhinolaryngol Head Neck Surg. 2019; 5(6):1729-1731.
4. Baisakhiya N, Deshmukh P, Pawar V. Thornwaldt Cyst: A Cause of Neck Pain and Stiffness. Indian J Otolaryngol Head Neck Surg. 2011; 63 (Suppl 1): S147–148.
5. Ketenci I, Cihan MC, Doğan M, Akay E, Ünlü Y. A Giant Thornwaldt Cyst: Case Report. Erciyes Med J. 2014; 36 (4):170-173
6. Yuca K, Varsak YK. Thornwaldt’s Cyst. Eur J Gen Med 2012; 9(Suppl 1):S26-29
7. Alshuhayba Z, Alkhamisa H, Aldossaryb M, et al. Thornwaldt nasopharyngeal cyst: Case series and literature review. Int J Surg Case Rep. 2020; 76:166–169
8. Kumar RV, Korivipati NK, Krishna NR, Indira S, Krishnaiah R. Thornwaldt cyst –Our Experience. Sch J Med Case Rep. 2015; 3(1):13-15.
9. Rasoula AM, Ibrahimb N. Unusual dental symptoms in Thornwaldt cyst: a case report. Arch Orofac Sci. 2018; 13(1):36-40.
10. Eloy P, Watelet JB, Hatert AS, Bertrand B. Thornwaldt’s cyst and surgery with powered instrumentation. B-ENT, 2006; 2:135-139
11. Toufga Z, Fikri M. The Thornwaldt cyst. Case report. PAMJ - Clinical Medicine. 2019; 1:26. doi: 10.11604/pamj-cm.2019.1.26.20984
12. Lee JH. Huge Thornwaldt Cyst with Otitis Media with Effusion. Ear Nose Throat J. 2021 Sep; 100(5_ suppl):528S-530S. doi: 10.1177/0145561319890159.
13. Flis DW, Wein RO. Nasopharyngeal Branchial Cysts—Diagnosis and Management: A Case Series. J Neurol Surg B. 2013; 74(B1):50–53.
14. Jyotirmay H1, Arun kumar SJ, Preetam P, Manjunath D, Bijiraj VV. Recent Trends in the Management of Thornwaldts cyst: A Case Report. J Clin Diagn Res. 2014; 8(8):3-4.
15. Thomas MA, Mucciolo E, Tichauer J, Carvalho D, Storck D. Thornwaldt cyst - treatment with diode laser. Braz J Otorhinolaryngol. 2013; 79(5):644.
16. Hemmaoui B, Sahli M, Errami N, et al. Unusual Cause of Nasal Obstruction: Thornwaldt Cyst. Saudi J Med Pharm Sci. 2018; 4(5):628-630.Hered. 2021; 32:171-174
Notas de autor
Correspondencia: Dr. Ray Salazar. Correo electrónico: ray@planet.com.pe
Declaración de intereses
Información adicional
Declaración de financiamiento: El reporte fue financiado en su integridad por los investigadores.
Contribución de autoría: RS; LO: Participaron en la recolección de datos del paciente, redacción del reporte, revisión bibliográfica y aprobación de la versión a ser publicada.
Enlace alternativo
https://revistas.upch.edu.pe/index.php/RMH/article/view/4060/4613 (pdf)