Reporte de caso
Xantoma del hueso temporal. A propósito de un caso
Xanthoma of the temporal bone. A case report
Xantoma del hueso temporal. A propósito de un caso
Revista Médica Herediana, vol. 32, núm. 3, pp. 175-178, 2021
Universidad Peruana Cayetano Heredia

Recepción: 03 Abril 2021
Aprobación: 24 Junio 2021
Resumen: Se presenta el caso de una mujer de 53 años de edad, quien presentó por un año tinnitus de frecuencia mixta en el oído izquierdo y abruptamente desarrollo cuadro de sordera súbita ipsilateral. Recibió tratamiento con corticoides por vía oral, además de infiltraciones intratimpánicas. En las evaluaciones por imágenes de tomografía y resonancia magnética con contraste, se detecta tumoración sólida de bordes bien definidos a nivel de la unión entre la porción petrosa y escamosa del hueso temporal izquierdo. Para definir el diagnóstico se realizó exéresis de la lesión por mastoidectomía a demanda; el estudio anátomo-patológico reveló xantoma de hueso temporal. Debido a que el lugar de presentación es inusual se reporta el caso y se realiza una revisión del tema.
Palabras clave: Xantomatosis, células espumosas, histiocitosis de células no Langerhans.
Abstract: We present the case of a 53-year-old female patient who presented with one-year history of mixed frequency tinnitus of the left ear and sudden development of unilateral deafness. She received treatment with oral steroids plus intratympanic infiltrations. Imaging studies using CT-Scan and MRI disclosed a solid tumor of well-defined borders in the union of the petrosal and squamous portions of the left temporal bone. A mastoidectomy was performed, the anatomopathological studies revealed a xanthoma of the temporal bone. A literature review was performed.
Keywords: Xanthomatosis, foam cell, histiocytosis non-Langerhans-cell.
INTRODUCCIÓN
El Xantoma es una neoformación benigna que consiste en una acumulación de material lipídico en zonas de partes blandas como la piel, tendones y zona subdérmica (1). Histológicamente se observan células macrofágicas ricas de granulaciones de colesterol y triglicéridos además de presencia de fibroblastos (2,3).
Estos pacientes generalmente se asocian con trastornos hiperlipidémicos y diabetes (2). La presencia de estas lesiones en estructuras óseas es rarísima (3).
Se reporta este caso debido a la presentación poco común en el hueso temporal y se realiza una revisión bibliográfica del tema.
PRESENTACIÓN DEL CASO
Mujer de 53 años de edad, quien desde hace un año presenta tinnitus del oído izquierdo en forma intermitente. Dos días antes de la consulta presentó pérdida auditiva parcial.
Se evaluó a la paciente y no se encontró alteración significativa al examen; se realizó audiometría, que reveló una pérdida auditiva neurosensorial moderada en todas las frecuencias en el oído izquierdo, siendo normal el lado derecho. Se le diagnosticó sordera súbita recibiendo tratamiento inicial con corticoides vía oral. Al no presentar mejoría, se realizó, al séptimo día de la pérdida auditiva, infiltración transtimpánica con dexametasona 8mg en 2 ml con intervalo de 5 días, recuperándose la audición al 100%, después de 2 infiltraciones.
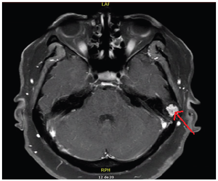
Como parte de su evaluación se pidió resonancia magnética nuclear con contraste de conducto auditivo interno (figura 1), encontrándose un nódulo sólido de bordes bien definidos entre la porción petrosa del hueso temporal izquierdo, sospechoso de un granuloma eosinofilico, metástasis u otros tumores.
Se solicitó evaluación por el médico internista quien pidió tomografía de tórax, abdomen y cuello, deshidrogenasa láctica, electrolitos séricos, hemograma completo, proteínas totales y fraccionadas, no encontrándose hallazgos significativos.
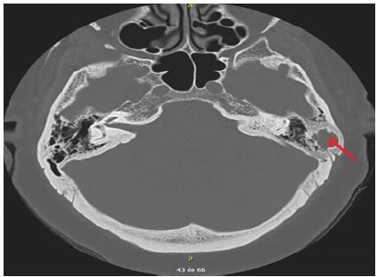
La tomografía de mastoides sin contraste (figura 2), mostró una lesión radiolúcida de bordes bien definidos a nivel de la unión entre la porción petrosa y escamosa del hueso temporal izquierdo sugerente de granuloma eosinofílico, siendo lesiones metastásicas y neoplásicas, posibilidades más alejadas.
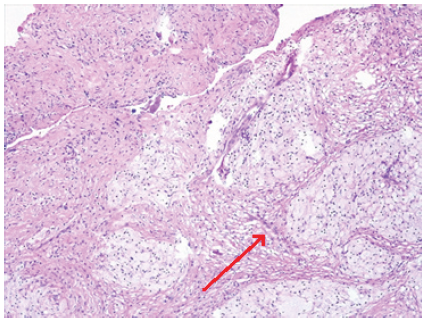
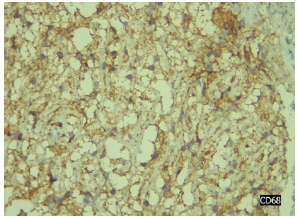
Se realizó mastoidectomía izquierda a demanda. El resultado del estudio anátomo patológico de la lesión (figura 3), que incluyó estudios inmunohistoquímicos, fue xantoma de hueso temporal, descartándose lesiones malignas e histiocitosis (figura 4).
Los estudios de laboratorio mostraron glucosa, valores de colesterol total y triglicéridos normales, colesterol LDL aumentado, refiriéndose al servicio de nutrición para sus controles.
Los estudios de imágenes como la tomografía y la resonancia magnética nos permiten ver la lesión y sus límites, pero no son definitivos, el examen definitivo es el anátomo-patológico de los tejidos obtenidos en el acto quirúrgico (9,13,14).
El diagnóstico diferencial incluye el quiste óseo simple, colesteatomas, granuloma colesterinico, histiocitosis de células de Langerhans, tumores epidermoides de hueso temporal y lesiones metastásicas (5,13).




DISCUSIÓN
El xantoma es una tumoración que afecta a tejidos mucocutáneos o tendones, es muy rara su presentación intraósea (4), cuando se da, afecta más huesos apendiculares o de esqueleto axial, que huesos del cráneo (5).
Las lesiones del cráneo generalmente afectan las regiones frontoorbitarias, la mandíbula y muy ocasionalmente el hueso temporal (4,5,6).
El xantoma intráoseo se presenta más en varones con una relación de 2 a 1 (5,6); se asocia a trastornos metabólicos como enfermedades hiperlipidemicas, diabetes mellitus e hipotiroidismo. La ausencia de alteraciones metabólicas es aún más rara (7,8,9,10,11).
El xantoma intraóseo se presenta a cualquier edad, pero es raro en niños (7).
La teoría es que se originan por algún trauma local o hemorragia (10,11), produciendo que los lípidos se filtren de los vasos a los tejidos, después son fagocitados por los macrófagos, acumulándose material lipídico en dichos macrófagos, produciéndose los llamados macrófagos espumosos. Después se presenta reacción inflamatoria alrededor originándose material fibrótico (11).
Pueden ser asintomáticos o causar molestias dependiendo de su ubicación. En el hueso temporal se puede reportar tinnitus, cefalea, otalgia, parálisis facial y pérdidas auditivas abruptas, aunque no se explica la forma como se produciría (12,13,14,15).
Respecto a nuestro caso, es muy rara su presentación, considerando que es de sexo femenino, ubicado en zona intraósea mastoidea y el encontrarlo en sordera súbita.
El tratamiento está basado en el manejo quirúrgico, y de las alteraciones metabólicas y lipídicas. Nosotros realizamos una mastoidectomía conservadora a demanda por la ubicación de la lesión, que es en nuestra opinión lo más adecuado, teniendo como resultado evolución favorable del paciente.
En conclusión, debemos ante un cuadro de sordera súbita realizar estudios de imágenes, a pesar de la mejora auditiva con el tratamiento, para poder determinar diversas causas probadas o relacionadas. El xantoma intraóseo en hueso temporal es de manejo quirúrgico para poder diferenciarlos de lesiones malignas, siendo la mastoidectomía conservadora de elección, pero creemos que debería ser a demanda según la ubicación de la lesión.
REFERENCIAS BIBLIOGRÁFICAS
1. López L, Ramos-Garibay J, Petrocelli D, Manríquez A. Xantomas eruptivos como manifestación inicial de diabetes mellitus e hipertrigliceridemia severa. Rev Cent Dermatol Pascua. 2010; 19(1):15-18.
2. Yamada H, Kurata H, Nomura K, Utsunomiya K, Shimizu M, Isogai Y. Adult xanthogranulomatous intracranial lesion involving familial hypercholesterolemia. Jpn J Med. 1989; 28 (6):757-761.
3. Guerrouj H, Mouaden A, Benrais N. Xanthoma of bone: a case report. Case Reports in Endocrinology.2012; 2012:986952. Doi: 10.1155/2012/986952
4. Lojo-Ramírez J, García-Gómez FJ, Kaenb A, et al. 99mTc-HDP SPECT/MRI in isolated xanthoma of the temporal bone. Rev Esp Med Nucl Imagen Mol. 2015; 34(5):329–330.
5. Wang Z, Lin ZW, Huang LL, et al. Primary non-hyperlipidemia xanthoma of bone: a case report with review of the literature. Int J Clin Exp Med. 2014; 7(11):4503-4508.
6. Ortega MC, Jerez JM, Arévalo CM, Mohanna RC, Basualdo JC. Xantoma intraóseo pelviano: reporte de un caso y revisión de la literatura. Rev Argent Radiol. 2014; 78(3):161-167.
7. Morel D, Kelsch RD, Nolan PJ. Primary Xanthoma of the Mandible: Report of a Rare Case. Head and Neck Pathol. 2016; 10:245–251. DOI: 10.1007/ s12105-015-0643-z
8. Rawal YB, Chandra SR, Hall JM. Central Xanthoma of the Jaw Bones: A benign tumor. Head and Neck Pathol. 2017; 11:192–202.
9. Kuroiwa T, Ohta T, Tsutsumi A. Xanthoma of the temporal bone: case report. Neurosurgery. 2000; 46(4):996–999.
10. Jain S, Ng ZX, Mantoo S, Yang EW. Right Parietal Skull Xanthoma Characterized as a Metastatic Deposit. World Neurosurg. 2020; 140:56-59.
11. Muthusamy KA, Azmi K, Narayanan P, Rajagopalan R, Rahman NA, Waran V. Bilateral temporal bone xanthoma. J Neurosurg. 2008; 108(2):361-364.
12. Emery PJ, Gore M. An extensive solitary xanthoma of the temporal bone, associated with hyperlipoproteinaemia. J Laryngol Otol. 1982; 96:451- 457.
13. Han Y, Gao W, Liang P, Wang S, Chen Y, Qiu J. Clinical features of bilateral temporal bone xanthoma with LDLR gene mutation. Int. J Pediatr Otorhinolaryngol. 2015; 79:1148–1151.
14. Elwood ET, Shahwan, TG, Dajani N, Murray JD. Isolated Xanthoma of the Frontal Bone. J Craniofac Surg. 2005; 16(3):391-394.
15. Bonhomme GR, Loevner LA, Yen DM, Deems DA, Bigelow DC, Mirza N. Extensive Intracranial Xanthoma Associated with Type II Hyperlipidemia. Am J Neuroradiol. 2000; 21: 353-355.
Notas de autor
Correspondencia: Dr. Ray Salazar. Correo electrónico: ray@planet.com.pe
Declaración de intereses
Información adicional
Declaración de financiamiento: El reporte fue financiado en su integridad por los investigadores.
Contribución de autoría: RS; GB: Participaron en la recolección de datos del paciente, redacción del reporte, revisión bibliográfica y aprobación de la versión a ser publicada.
Enlace alternativo
https://revistas.upch.edu.pe/index.php/RMH/article/view/4061/4614 (pdf)