Comunicaciones
TRYPSIN FROM JUMBO SQUID (Dosidicus gigas) HEPATOPANCREAS: PURIFICATION AND CHARACTERIZATION
TRIPSINA DEL HEPATOPANCREAS DE CALAMAR GIGANTE (Dosidicus Gigas): PURIFICACIÓN Y CARACTERIZACIÓN
TRIPSINA DO HEPATOPÂNCREAS DE LULA GIGANTE (Dosidicus gigas): PURIFICAÇÃO E CARACTERIZAÇÃO
TRYPSIN FROM JUMBO SQUID (Dosidicus gigas) HEPATOPANCREAS: PURIFICATION AND CHARACTERIZATION
Interciencia, vol. 42, no. 3, pp. 168-174, 2017
Asociación Interciencia
Received: 04 March 2015
Accepted: 14 February 2017
Abstract: Trypsin was purified from the hepatopancreas of Dosidicus gigas by fractionation with ammonium sulfate (30-70% saturation), gel filtration, affinity and ion exchange chromatography. The molecular weight of the trypsin obtained was ~23.5kDa according to sodium dodecyl sulfate-polyacrylamide gel electrophore-sis (SDS-PAGE) and, showed a single band in the zymogram. The enzyme exhibited maximal activity at pH 8.5 and 40.C, using BAPNA as substrate. It was effectively inhibited by phenyl methyl sulfonyl fluoride (PMSF) (98%), and Nα-p-Tosyl-L-lysine chloromethyl ketone (TLCK) (99%). Enzyme activity was affected by the following ions in decreasing order: Hg2+, Fe2+, Cu2+, Li1+, Mg2+, K1+, Mn2+, Ca2+. Trypsin activity decreased continuously as NaCl concentration increased from 0 to 30%. Km and kcat values were 0.085 ±1.45mM and 1.76 ±0.12s-1, respectively. The results suggest that the purified enzyme a potential agent to be used in biotechnological processes.
Keywords: Dosidicus gigas , Enzyme Purification, Hepatopancreas, Squid, Trypsin.
Resumen: Se logró purificar tripsina del hepatopancreas de Dosidi- cus gigas por fraccionación con sultafo de amonio (30-70% de saturación), cromatografía de filtración en gel, afinidad e intercambio iónico. El peso molecular de la tripsina fue de 23,5 kDa, según la electroforesis SDS-PAGE y mostró una sola banda en el zymograma. La enzima mostró máxima acti- vidad a pH 8,5 y 40ºC, usando BAPNA como sustrato. La ac- tividad de la enzima se afectó de manera efectiva por el metil fenil sulfonil fluoruro (PMSF) (98%) y por Nα-p-tosil-L-lisina clorometil cetona (TLCK) (99%). Además la actividad de la enzima fue afectada por los suguientes iones en orden decre- ciente: Hg2+, Fe2+, Cu2+, Li1+, Mg2+, K1+, Mn2+, Ca2+. Por otro lado la actividad de la enzima disminuyó de manera progresiva a medida que aumentó la concentración de NaCl de 0 a 30%. Los valores de Km y kcat fueron de 0,085 ± 1,45 mM y 1,76 ± 0,12s-1, respectivamente. Según los resultados obteni- dos se sugiere que la enzima presenta potencial de uso bio- tecnológico.
Resumo: Foi possível purificar tripsina do hepatopâncreas de Dosidicusgigas p or f racionamento c om s ulfato d e a mônio ( 30-70% de saturação), cromatografia de filtração em gel, afinidadee troca iônica. O peso molecular da tripsina foi de23.5 kDa, segundo a eletroforese SDS-PAGE e mostrou umasó faixa no zimograma. A enzima mostrou máxima atividadeem pH 8.5 e 40ºC, usando BApNA como substrato. A atividadeda enzima foi afetada de maneira efetiva por metil-fenil-sulfonil fluoreto (PMSF) (98%) e por Nα-p-tosil-L-lisina clorometil cetona (TLCK) (99%). Também a atividade da enzimafoi afetada pelos seguintes íons em ordem decrescente:Hg2+, Fe2+, Cu2+, Li1+, Mg2+, K1+, Mn2+, Ca2+. Por outro lado,a atividade da enzima diminuiu de maneira progressiva namedida em que aumentou a concentração de NaCl de 0 a30%. Os valores de Km e kcat f oram d e 0 .085 ± 1 .45 m M e1.76 ± 0.12 s-1, respectivamente. Segundo os resultados obtidos,sugere-se que a enzima apresenta potencial de uso biotecnológico.
Introduction
The marine environment contains the largest pool of diversified genetic material and, hence, represents an enormous potential source of enzymes. Among other enzymes, the possible applications of serine proteases in industry have been studied (Klomklao et al., 2005).
The demand for enzymes with specific properties is large, and various enzymes sources are currently being investigated. It has been reported that proteases of marine sources exhibit high catalytic activity (Shahidi et al., 2001). Jumbo squid is an important f ishery in Mexico, usually sold as frozen or cooked-frozen gutted mantle (Luna-Raya et al., 2006), after the hepatopancreas is removed, as it represents a source of contamination. This organ could be, however, a good source of enzymes. Jumbo squid hepatopancreas constitutes 2-8% of the body weight and contains 18-20% crude protein (Ezquerra- Brauer et al., 2002). Extracts of hepatopancreas from the short finned squid, Illex illecebrosus, have been experimentally used in a number of food processing applications, including the preparation of capelin fish sauce; salted, fermented squid mantle; squid tenderization and cheddar cheese ripening (Lee et al., 1982). Fish sauce, with squid hepatopancreas as a fermentation aid, has been commercially produced in Canada for more than 10 years (Raksakulthai and Haard, 1999).
Included in the five classes of proteinases catalyzing the hydrolysis of peptide bonds, serine endoproteinases are divided into two superfamilies that evolved independently a similar catalytic mechanism. The trypsin superfamily includes trypsins and chymotrypsins, which are ubiquitous in animals (Hu and Leger, 2014). One of the most important fish and aquatic invertebrate viscera digestive enzyme is trypsin (EC 3.4.21.4) because they take part in a number of physiological processes, playing a major and well under- stood key role in hydrolyzing food protein (Diaz-Mendoza et al., 2005; Delcroix et al., 2006). This enzyme cleaves the peptide bond on the carboxyl side of arginine and lysine, has endopeptidase activity and a molecular weight ranging from 22 to 28k Da (Whitaker, 1994). The first studies of proteinases, mainly trypsin and chymotrypsin in vertebrate species, were carried out during the first part of the 20th century, describing kinetic properties, isolation and some molecular characteristics (Muhlia-Almazán et al., 2008). Trypsin has been isolated and characterized thoroughly based on their physical-chemical and enzymatic properties from several aquatic species, such as Siniperca chuatsi (Lu et al., 2008), Balistes capriscus (Jellouli et al., 2009), Sepia officinalis (Balti et al., 2009), Lutjanus vitta (Khantaphant and Benjakul, 2010), Diapterus rhombeus (Silva et al., 2011), Salaria basilisca (Ktari et al., 2012) and Pterygoplichthys disjunctivus (Villalba-Villalba et al., 2013). However, most studies have been done in fishes, with very scarce information on trypsin from cephalopods. The aim of this study was to purify and characterize trypsin from the jumbo squid (Dosidicus gigas) hepatopancreas, thus generating basic information about this by-product.
Materials and Methods
Jumbo squid samples
Jumbo squid specimens were captured in the Gulf of California (27º55’N, 110º54’O). Immediately after capture, specimens were store in an ice bed system and transported to the seafood laboratory, Universidad de Sonora in Hermosillo, Mexico. The time from capture to the dissection process was under 12h.
Preparation of crude enzyme extract
At the laboratory, thawed jumbo squid specimens were dissected, their hepatopancreas removed, immediately frozen and kept -80ºC until further analysis. Hepatopancreas (100g) were homogenized with 200ml of 50m M Tris-HCl buffer, pH 7.5, and 0.5M NaCl at 20,000×g for 2min, and then centrifuged at 18,000×g for 30min at 2-4ºC. After centrifugation, most lipids (upper layer) were removed manually and the supernatant was filtered through gauze to further remove them. Finally, the supernatant (enzyme extract, without lipids) was frozen and kept at -80ºC until further analysis (Heu et al., 1995).
Enzyme purification
Crude extract was fractionated with ammonium sulfate at 30 and 70% saturation, according to Whitaker (1994). Each time sample was centrifuged at 20,000×g for 20min at 4ºC. The precipitate was dissolved in 20ml of 50m M Tris-HCl buffer, pH 7.5 (buffer A), loaded into a 1.6 x 120cm G-75 Sephadex gel filtration chromatography column (Amersham Pharmacia Biotech), eluted at 0.3ml/min and equilibrated with buffer A, collecting 3ml fractions. Then, fractions with trypsin-like were pooled and loaded into a 1.1 x 15cm Benzamidine-Sepharose 4 Fast Flow column (Amersham Pharmacia Biotech) equilibrated with the same buffer. The retained fractions were eluted by changing the mobile phase pH from 7.5 to 3.0, using a 50mM Gly-HCl, pH 3.0, buffer (after elution, 200ml Tris-HCl 1M, pH 9.0, were added to each tube). Fractions eluted with trypsin-like activity were combined, dialyzed against 6l of 20m M Tris-HCl, pH 7.5 (buffer B), and pooled for further analysis. For analyses such as optimal pH and temperature (and their respective stabilities), inhibitors and NaCl effect, purified trypsin was used.
Protein concentration determination
Protein concentration in peaks that showed absorbance at 280nm during protein purification was determined according to Bradford (1976) using bovine serum albumin as standard.
SDS-PAGE and zymography
Sodium dodecyl sulfate-polyacrylamide gel electrophoresis (SDS-PAGE) was carried according to the method of Laemmli (1970) using 4% stacking gel and 14% separating gel. For protein band analysis, a volume of enzyme extract was mixed with two volumes of sample buffer (125m M Tris-HCl, pH 6.8, 4% SDS, 20% glycerol, 10% β-mercaptoethanol, 0.004% bromophenol blue), heated at 95ºC for 4min, cooled immediately and loaded into the gel. After electrophoresis, gels were stained with 0.25% Coomasie brilliant blue R-250 (CBB) in 40% methanol, 10% acetic acid or silver staining, depending on the purification process (protein concentration). Bovine serum albumin (66kDa), ovoalbumin (45kDa), glyceraldehyde 3-phosphate dehydrogenase (36kDa), carbonic anhydrase (29kDa), trypsinogen (24kDa), trypsin inhibitor (20kDa) and lactoalbumin (14.2kDa) were used as molecular weight markers.
Zymograms were performed according to the procedure of Laemmli (1970) except that samples were not heated and no reducing agents were added. After electrophoresis, the gel was soaked for 30min in 1.25% casein in 50mM Tris-HCl, pH 8.0, at 4ºC. Then, the gel was immersed in the same solution at 37ºC for 60min, soaked in trichloroacetic acid for 30min to stop the reaction, washed in distilled water, fixed and stained with 0.05% Coomasie Blue solution, and finally destained with 40% methanol and 10% acetic acid. Native-PAGE was performed according to the procedure of Laemmli (1970) except that samples were not heated and no SDS and reducing agents were added.
Amidase activity
Trypsin amidase activity was evaluated according to Erlanger et al. (1961) using 10ml of enzyme extract combined with 990ml N-benzoyl-DL-arginine p-nitroanilide (BAPNA) solution (1mM BAPNA dissolved in 50mM Tris-HCl, pH 7.5 buffer) at 25ºC. Production of pnitroaniline was measured by monitoring the increment in absorbance at 410nm (A410) every 30s for 10min. BAPNA hydrolysis units (U) were calculated as U= A410/ min´1000´ 1/8,800´mg enzyme, where 8,800M·cm-1 is the p-nitroaniline molar extinction coefficient at 410 nm.
Trypsin esterase activity
Esterase activity was evaluated according to Hummel (1959) using 1mM of N-α-p-tosyl-Larginine methyl ester hydrochloride (TAME; 50mM Tris- HCl, pH 8.0 buffer) as substrate. Briefly, 10ml of enzyme solution was mixed with 990ml TAME at 25ºC. Production of p-tosyl-arginine was measured by monitoring the increment in absorbance at 247nm (A247) every 30sec for 10min. TAME units (U) were calculated as U=A247/min× 1000×1/540×mg enzyme, where 540 M·cm-1 is the p-tosyl-arginine molar extinction coefficient at 247nm.
Optimum pH and temperatura
The effect of pH on trypsinactivity was evaluated using a universal buffer from pH 4 to11 at 25ºC for 15min (Stauffer,1989). In order to study theeffect of temperature on enzymeactivity, the extract wasincubated at 20, 25, 30, 35, 40,50, 55, 60, 65 and 70ºC for15min in 50mM Tris-HCl bufferunder optimal pH.
pH and thermal stability
The effect of pH and temperature on enzyme stability was evaluated by measuring the residual activity after incubation at various pH (from 4 to 11) for 60min at 25ºC using universal buffers (Stauffer, 1989). Enzyme solution temperature stability was evaluated by incubation at various temperatures (25, 35, 45, 55 and 65ºC) for 60min.
Effect of inhibitors
In order to elucidate the effect of inhibitors on trypsin activity, a series of inhibitors were evaluated at different concentrations. Phenylmethyl- sulfonyl f luoride (PMSF; 100mM in 2-propanol), Nα-p- Tosyl-L-lysine chloromethyl ke- tone (TLCK; 10mM in dimethyl sulfoxide, DMSO), benzamidine (10mM in DMSO), soy- bean trypsin inhibitor (1g·l-1 in distilled water), N-tosyl-L- phenylalanine chloromethyl ketone (TPCK; 5mM in methanol), ethylenediamine tetra-acetic acid (EDTA; 10mM in dis- tilled water) and pepstatin A (1mM in DMSO) were used for the analysis. A mixture of 50ml inhibitor solution and 50ml enzyme extract was incubated for 60min at 25ºC; then 950ml of substrate solution (1m M BAPNA in 50m M Tris·HCl buffer, pH 7.5) was added and residual activity was measured. Control tests were performed in absence of inhibitors.
Effect of metal ions
Samples (30µl) of the purified enzyme were pre-incubated with 70µl of various metal ion solutions ( KCl, LiCl, CaCl2, MnCl2, MgCl2, CuSO4, FeSO4 and HgSO4 at 5m M) for 60min at 25ºC. Thereafter, 900 ml of substrate solution (1mM BAPNA in 50mM Tris HCl buffer, pH 8.0) was added and the residual activity measured (Souza et al., 2007; Ktari et al., 2012). Control tests were performed in absence of metal ions.
Effect of NaCl on enzyme activity
Trypsin activity was assayed in the presence of NaCl at varying final concentrations (0, 5, 10, 15, 20, 25 and 30% w/v). Residual activity was determined at 25ºC at pH 7.5 using 1mM TAME as a substrate. The activity of the enzyme in the absence of NaCl was taken as a control.
Kinetic parameters
The Michaelis-Menten constant (Km) and catalysis constant (kcat) were evaluated. The initial velocity of the enzymatic reaction was evaluated at 25ºC by varying BAPNA substrate concentration (0.01, 0.05, 0.1, 0.25, 0.5, 0.75 and 1.0mM).
Km and Vmax were calculated from Lineweaver-Burk plots (Lineweaver and Burk, 1934). The value of the turnover number or kcat was calculated from kcatxVmax/[E], where [E] is the active enzyme concentration (Copeland, 2000).

Results
Trypsin purification
Results on purification steps of trypsin from jumbo squid (Dosidicus gigas) hepatopancreas are summarized in Table I. As observed, trypsin was purified 59.77 fold, achieving a 63.66% yield. Gel filtration chromatography (G-75 Sephadex) separated the high molecular weight protein group, with low trypsin specific activity, from the low molecular weight protein group showing higher trypsin specific activity. Fractions with high trypsin activity were combined for affinity chromatography (Benzamidine-Sepharose). This last chromatography detected protein in fractions 4 to 10, but with no trypsin specific activity (Figure 1a); however, fractions 40 to 48 showed high trypsin specific activity and were combined for ionic exchange chromatography (DEAE-Sepharose) (Figure 1b). Washing (equilibration) buffer conditions (fractions 1 to 77) showed scarce protein (fractions 4 to 11) with no enzymatic activity detected. The NaCl linear gradient, applied after fraction 73, eluted most of the protein with trypsin activity (fractions 78 to 81).
SDS-PAGE and zymography
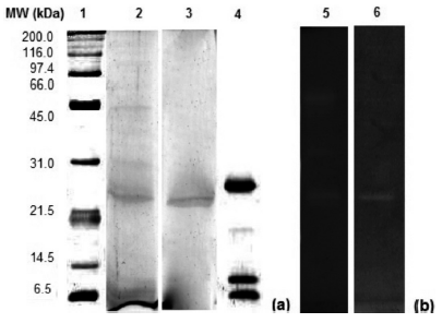
Purified trypsin showed a single band on both SDS and zymography (Figure 2a, b) suggesting their high purity and showing only one dominant isoform of trypsin in Dosidicus gigas hepatopancreas. Trypsins have been reported to have molecular masses between 20 and 30kDa in mammals and aquatic species. The purified trypsin enzyme from Dosidicus gigas showed a molecular weight of 23.5kDa, similar to several fish trypsin such as rainbow trout (25.7kDa; Kristjasson, 1991), common carp (28kDa; Cao et al., 2000), Monterey sardine (Sardinops sagax caerulea; 25kDa; Castillo-Yañez et al., 2005), Atlantic bonito (Sarda sarda; 29kDa; Klomklao et al., 2007), walleye pollock (24kDa; Kishimura et al., 2008), sardinelle (Sardinella aurita; 28.8kDa; Khaled et al., 2011) and zebra blenny (Salaria basilisca; 27kDa; Ktari et al., 2012).


Optimum pH and pH stability
Optimum pH for Dosidicus gigas trypsin activity was 8.5 (Figure 3), although high activity was observed throughout the pH range of 6.5 to 11. The op- timum pH falls in the range for alkaline aquatic species digestive proteases such as Monterey sardine (Sardinops sagax caerulea; pH 8.0; Castillo-Yañez et al., 2005), mandarin f ish (Siniperca chuatsi; pH 8.5; Lu et al., 2008), silver mojarra (Diapterus rhombeus; pH 8.5; Silva et al., 2011), hybrid cat- fish (Clarias macrocephalus ´ Clarias gariepinus; pH 8.0; Klomklao et al., 2011). A considerable loss of activity, al- though still some of it remained, was observed from pH from 5.5 to 4.0, with 36 to 13% of activity. Trypsin stability at different pH remained remarkable high over a broad pH range, from 7.0 to 11.0, maintaining more than 80% of activity; however, the enzyme was unstable at lower pH (4.5 and 4.0). Similar results were found by (Klomklao et al., 2006; Khishimura et al., 2008; Lu et al., 2008; Jellouli et al., 2009) for tongol tuna (Thunnus tonggol ), walleye pollock (Theragra chalcogramma), mandarin fish (Siniperca chuatsi), and grey triggerfish (Balistes capriscus), respectively.
Optimum temperature and thermal stability
The optimum temperature for Dosidicus gigas trypsin activity under experimental conditions was 40ºC (Figure 4). The same result was obtained for anionic trypsin from grey triggerfish (Balistes capriscus; Jellouli et al., 2009) and mandarin fish (Siniperca chuatsi; Lu et al., 2008) while higher results were found for cod (Gadus ogac; 55ºC; Simpson and Haard, 1987), anchovy (Engraulis encrasicholus; Martínez et al., 1988), silver mojarra (Diapterus rhombeus; 55ºC; Silva et al., 2011), hybrid catfish (Clarias macrocephalus × Clarias gariepinus; 60ºC; Klomklao et al., 2011) and zebra blenny (Salaria basilisca; 70ºC; Ktari et al., 2012). The difference in optimal temperatures might be related to the aquatic species inhabiting environment.
The thermal stability profile (Figure 5) showed that Dosidicus gigas trypsin is highly stable at 25 and 35ºC, maintaining more than 80% of its activity; however, its activity decreases sharply at temperatures above 55ºC. The enzyme was inactivated after 15min of incubation at 65ºC. The thermostability profile shown by this enzyme is similar to that of other fish trypsins, like sardine (Sardinops sagax caerulea; Castillo-Yañez et al., 2005), bogue (Boops boops; Barkia et al., 2010) and zebra blenny (Salaria basilisca; Ktari et al., 2012).



Effect of inhibitors and metal ions
Proteases can be classified by their sensibility to various inhibitors (North, 1982). The effect of several proteinase inhibitors on Dosidicus gigas trypsin activity is summarized in Table II. The enzyme was 98% inhibited by PMSF, a serine-protease inhibitor. Trypsin activity was strongly inhibited by TLCK (83%) and benzamidine (85%), both specifics inhibitors of trypsin. EDTA (a metallo protease inactivator), TPCK (a chymotrypsin inhibitor) and pepstatin A (an aspartic proteases inhibitor) did not affect trypsin activity (<10% inhibition). These results confirm that the single band detected by SDS and zymogram corresponds to trypsin. Similar results were observed for trypsins from Monterrey sardine (Castillo-Yañez et al., 2005), Pacific cod (Gadus macrocephalus; Fuchise et al., 2009) and brownstripe red snapper (Lutjanus vitta; Khantaphant and Benjakul, 2010).
The effect of metal ions over enzyme activity is also shown in Table II. It can be observed that Ca2+ ion did not have an effect over proteolytic activity; however, the enzyme was slightly inactivated by Mn2+, K1+, Mg2+, Li1+ and Cu2+ ions, down to 94, 91, 82, 78 and 68% residual activity, respectively. On the other hand, Fe2+ and Hg2+ ions greatly affected trypsin activity, showing only 29 and 23% residual activity, respectively. Similar results were observed in a trypsin from Sardinella aurita (Khaled et al., 2011) and bogue (Boops boops; Barkia et al., 2010). It has been reported that Hg2+ ions bind to -SH groups on the enzymes, inhibiting their action (Klee, 1988).

Effect of NaCl on enzyme activity
The effect of NaCl on the activity of Dosidicus gigas trypsin showed a continuous decreased in activity with increasing NaCl concentration. However, it remained very active even at high salt concentrations, showing 87, 72, 61, 53, 44 and 32% residual activity at 5, 10, 15, 20, 25 and 30% of NaCl, respectively.
Kinetic studies
The kinetic constants, Km and kcat of purified Dosidicus gigas trypsin, hydrolyzing BAPNA at 25ºC, were determined using a Lineaweaver- Burk plot. The values of Km and kcat presented by the purified trypsin were 0.085mM and 1.76s-1, respectively. Km was similar to that reported for B. capriscus (0.07mM; Jellouli et al., 2009), sardinelle (Sardinella aurita; 0.125mM; Khaled et al., 2009), but lower than those from snapper (P. macracanthus; Hau and Bejakul, 2006) and brownstripe red snapper (Lutjanus vita; Khantaphant and Benjakul, 2010). The kcat value was similar to those found in trypsins from anchoveta, of 1.55s-1 and snapper, of 1.06s-1 (E. japonica; Heu et al., 1995 and P. macracanthus; Hau and Bejakul, 2006).
Discussion
Based on the behavior observed during DEAESepharose separation, it is concluded that the retained protein, with trypsin activity, is of anionic nature. It has been observed that trypsins from fish viscera have high ratios of acidic to basic amino acids. This characteristic is quite different from mammalian trypsins, which are of basic nature (Heu et al., 1995). Anionic trypsins are common in fish such as salmon (Oncorhynchus keta), sardine (Sardinops melanostica), anchovy (Engralius encrasicholus), sardine (Sardinops sagax caurulea) and pez diablo (Pterygoplichthys disjunctivus) (Martínez et al., 1988; Sekisaki et al., 2000; Castillo-Yañez et al., 2005; Villalba-Villalba et al., 2013). The differences in trypsin molecular mass may be due to genetic variation among species, but the possibility that these differences are caused by autolytic degradation should not be excluded (Lu et al., 2008).
Trypsins generally belong to the alkaline proteinase group (Simpson and Haard, 1987); thus, under acid conditions the charge distribution and conformation were changed and the enzyme could not bind to substrate properly (Benjakul and Morrisey, 1997). The stability of enzymes at a particular pH may be related to its net charge at that pH; at low pH, the increment of positive charges on the enzyme destabilizes them, affecting its tertiary structure (Castillo-Yañez et al., 2006). Dosidicus gigas trypsin showed a high activity and stability at high alkaline pH conditions, as well as in slightly acid ones, which makes it a potential candidate for application in food processing operations or for its applications in detergents and food industry.
That the trypsin showed low thermostability could be related to a high proportion of charged residues and fewer polar hydrogen- bond forming residues as suggested by Benjakul and Morrisey, 1997. High activity of trypsin from Dosidicus gigas at low temperatures may be interesting for many biotechnological and food protein processing applications. Besides, this low thermostability can be advantageous, as these enzymes can be easy inactivated by using less heat treatment (Jiang et al., 2010).
The inhibitors employed are highly specific, possessing at their surface one or more peptide bonds made with the a-carboxylic side of arginine known as reactive sites. The reactive site specifically interacts with the active site of the cognate enzyme. Both natural and synthetic inhibitors inhibit trypsin. The extent of the inhibition (Ki= molar) for trypsin goes from millimolar to femtomolar, indicating that quite different affinities between them are possible (Zollner, 1993). In the present study, the pattern of inhibition observed inhibitors is characteristic of other trypsins, supporting the finding that he isolated enzymes is, indeed, a trypsin.
Loss of enzyme activity due to the denaturation of trypsin caused by the ‘salting out’ effect (Khaled et al., 2011) could be observed. Similar results were found in trypsin from bogue (Boops boops; Klee, 1998). Results show that tryspin from Dosidicus gigas may have potential to be used to accelerate hydrolysis of proteins under hypersaline conditions, such as in fermented products like fish sauce.
The catalytic efficiency (kcat/ Km) value of Dosidicus gigas trypsin (20.71s·mM-1), compared with that of bovine trypsin (3.1s·mM-1; Asgeirsson et al., 1989) revealed a higher catalytic efficiency (6.68 folds at 25ºC), which means that Dosidicus gigas trypsin is more prompt to attach to and hydrolyze the substrate than the bovine type.
Trypsins shows species-specific characteristics, since there are significant differences in feeding habits, ingested food composition and differences in the protein digestion process, according to the requirements of the species. These differences are adaptive responses to different life styles, environments and mostly, different survival abilities among species. However, trypsins share some general characteristics, mainly related to their catalytic features (Muhlia-Almazán et al., 2008).
Conclusions
This paper describes the characteristics of a serine protease obtained from Dosidicus gigas hepatopancreas. Based on the results, it can be concluded that the isolated and purified enzyme was trypsin, showing high activity at pH 6.5-11.0, 25-40ºC and 30% salt concentration. Therefore, the hepatopancreas of Dosidicus gigas can be an important source of trypsin, whose pH stability, activity under high salt concentration and thermal behaviour make it a potential agent to be used in biotechno- logical processes.
REFERENCES
Asgeirsson B, Fox J, Bjarnason J (1989) Purification and charac- terization of trypsin from the poikilotherm Gadus morhua. Eur. J. Biochem. 180: 85-94.
Balti R, Barkia A, Bougatef A, Ktari N, Nasri M (2009) A heat- stable trypsin from the hepa- topancreas of the cuttlefish (Sepia of officinalis): purifica- tion and characterization. Food Chem. 113: 146-154.
Barkia A, Bougatef A, Nasri R, Fetouti E, Balti R, Nasri M (2010) Trypsin from the viscera of bogue (Boops boops): isolation and characterization. Fish Physiol. Biochem. 35: 893-902.
Benjakul S, Morrissey M (1997) Protein hydrolysis from pacific whiting solid wastes. J. Agric. Food Chem. 45: 3423-3430.
Bradford M (1976) A rapid and sensitive method for the quantization of microgram quantities of protein utilizing the principle of dye binding. Anal. Biochem. 72: 248-254.
Cao M, Osatomi K, Susuki M, Hara K, Tachibana K, Ishihara T (2000) Purification and charac- terization of two anionic tryp- sins from the hepatopancreas of carp. Fisher. Sci. 66: 1172-1179.
Castillo-Yañez F, Pacheco-Aguilar R, Garcia Carreño, F, Toro M (2005) Isolation and characterization of trypsin from pylo- ric caeca of Monterey sardine Sardinops sagax caerulea. Comp. Biochem. Physiol. B 140: 91-98.
Castillo-Yañez F, Pacheco-Aguilar R, Garcia- Carreño F, Toro M, Lopez M (2006) Purification and biochemical characterization of chymotrypsin from the viscera of Monterrey sardine (Sardinops sagax caerulea). Food Chem. 99: 252-259.
Copeland RA (2000) Enzymes: A Practical Introduction to Structure, Mechanism and Data Analysis. 2nd ed. Wiley. New York, USA. 416 pp.
Delcroix M, Sajid M, CaVrey CR, Lim K- C, Dvorak J, Hsieh I, Bahgat M, Dissous C, McKerrow JH (2006) A multienzyme net- work functions in intestinal protein digestion by a platyhelminth parasite. J. Biol. Chem. 284: 39316-39329.
Diaz-Mendoza M, Ortego F, García de Lacoba M, Magaña C, de la Poza M, Farinós GP, Castañera P, Hernández-Crespo P (2005) Diversity of t rypsins in the Mediterranean corn borer Sesamia nonagrioides (Lepidop- tera: Noctuidae), revealed by nucleic acid sequences and enzyme purification. Insect Biochem. Mol. Biol. 35: 1005-1020.
El Hadj Ali N, Hmidet N, Zouari- Fakhfakh N, Khaled HB, Nasri M (2010) Alkaline chymotrypsin from striped seabream (Lithog- nathus mormyrus) viscera: purification and characterization. J. Agr. Food Chem. 58: 9787-9792.
Erlanger BF, Kokowski N, Cohen W (1961) The preparation and properties of two new chromog- enic substrates of trypsin. Arch. Biochem. Biophys. 95: 271-278.
Ezquerra-Brauer JM, Haard NF, Ramirez-Olivas R, Olivas-Burrola H, Velazquez-Sanchez CJ (2002) Influence of harvest season on the proteolytic activity of hepato- pancreas and mantle tissues from jumbo squid (Dosidicus gigas). J Food Biochem. 26: 459-475.
Fuchise T, Kishimura H, Sekisaki H, Nonami Y, Kanno G, Klomklao S, Benjakul S, Chun B (2009) Purification and characteristics of cold-zone fish trypsin. Food Chem. 116: 611-616.
Hau PV, Benjakul S (2006) Purification and characterization of trypsin from pyloric caeca of bigeye snapper (Pricanthus macracanthus). J. Food Biochem. 30: 478-495.
Heu MS, Kim HR, Pyeun JH (1995) Comparison of trypsin and chymotrypsin from the viscera of anchovy (Engraulis japonica). Comp. Biochem. Physiol. 112B: 557-567.
Hu G, Leger RJ (2004) A phylogenomic approach to reconstructing the diversification of serine proteinases in fungi. J. Evol. Biol. 17: 1204-1214.
Humel BC (1959) A modified spec- trophotometric determination of chymotrypsin, t rypsin and thrombin. Can. J. Biochem. Physiol. 37: 1393-1399.
Jellouli K, Bougatef A, Daasi D, Balti R, Barkia A, Nasri M (2009) New alkaline trypsin from the intestine of grey triggerfish (Balistes capriscus) with high activity at low temperature: purification and characterization. Food Chem. 116: 644-650.
Jiang YK, Sun LC, Cai QF, Liu GM, Yoshida A, Osatomi K, Cao MJ (2010) Biochemical characterization of chymotrypsin from the hepatopancreas of Japanese sea bass (Lateolabrax japonicus). J. Agric. Food Chem. 58: 8069-8076.
Khaled HB, Jellouni K, Souissi N, Ghorbel S, Barkia A, Nasri M (2011) Purification and characte- rization of three trypsin isoforms from viscera of sardinelle (Sardinella aurita). Fish Physiol. Biochem. 37: 123-133.
Khantaphant S, Benjakul S (2010) Purification and characterization of trypsin from the pyloric cae- ca of brownstripe red snapper (Lutjanus vitta). Food Chem. 120: 658-664.
Kishimura H, Klomklao S, Benjakul S, Chun B (2008) Characteristics of trypsins from the pyloric ceca of walleye Pollock (Theragra chalcogramma). Food Chem 106: 194-199.
Klee CB (1988) Interaction of cal- modulin with Ca++ and target proteins. In Cohen P, Klee CB ( Eds.) Calmodulin. Vol 5. MolecularAspects Of Cellular Regulations, Elsevier, Amster- dam, Netherland. pp. 35-56.
Klomklao S, Benjakul S, Visessan- guan W, Simpson B, Kishimura H (2005) Partitioning and recovery of proteinase from tuna splean by aqueous two-phase systems. Proc. Biochem. 40: 3061-3067.
Klomklao S, Benjakul S, Visessanguan W, Kishimura H, Simpson B (2006) Purification and characterization of trypsin from the spleen of tongol tuna (Thunnus tanggol). J Agric Food Chem. 54: 5617-5622.
Klomklao S, Benjakul S, Visessanguan W, Kishimura H, Simpson B (2007) 29 kDa trypsin from the pyloric ceca of Atlantic bonito (Sarda sarda): recovery and characterization. J. Agric. Food Chem. 55: 4548-4553.
Klomklao S, Benjakul S, Kishimura H, Chaijan M (2011) 24 k Da trypsin: a predominant protease purified from the viscera of hybrid catfish (Clarias macrocephalus . Clarias gariepinus). Food Chem. 129: 739-746.
Kristjasson MM (1991) Purification and characterization of trypsin from the pyloric caeca of rain- bow trout (Oncorhynchus my- kiss). J. Agric. Food Chem. 39: 1738-1742.
Ktari N, Khaled H, Nasri R, Jellouli K, Ghorbel S, Nasri M (2012) Trypsin from zebra blenny (Salaria basilisca) viscera: Purification, characterization and potential application as a detergent additive. Food Chem. 130: 467-474.
Laemmli U (1970) Cleavage of structural proteins during as- sembly of the head bacterioph- ague T4. Nature 227: 680-685.
Lee YZ, Simpson BK, Haard NF (1982) Supplementation of squid fermentation with proteolytic enzymes. J. Food Biochem. 6: 127-134.
Leth-Larsen R, Asgeirsson B, Thorolfsson M, Norregaard- Madsen M, Hojrup P (1996) Structure of chymotrypsin vari- ant B from Atlantic cod, Gadus morhua. Biochim. Biophys. Acta 1297: 49-56.
Lineweaver H and Burk D (1934) The determination of enzyme dissociation constant. J. Am. Chem. Soc. 56: 658-666.
Lu B, Zhou L, Cai Q, Hara K, Maeda A, Su W, Cao M (2008) Purification and characterization of t rypsins from the pyloric caeca of mandarin f ish (Siniperca chuatsi). Food Chem. 110: 352-360.
Luna-Raya MC, Urciaga-García JL, Salinas-Zavala CA, Cisneros- Mata MA, Beltrán-Morales LF (2006) Diagnosis of giant squid consumption in Mexico and Sonora. Economy, Society and Territory VI: 535-5.
Martínez A, Olsen R, Serra J (1988) Purification and characteriza- tion of trypsin-like enzymes from the digestive tract of anchovy (Engraulis encrasicholus). Comp. Biochem. Physiol. B91: 677-684.
Muhlia-Almazán A, Sánchez-Paz A, García-Carreño FL (2008) Invertebrate trypsins: A review. J. Comp. Physiol. B178: 655-672.
North MJ (1982) Comparative bio- chemistry of the proteinases of eukaryotic microorganisms. Microbiol. Rev. 46: 308-430.
Raksakulthai R, Haard NF (1999) Purification and characteriza- tion of aminopeptidase fractions from squid (Illex illece- brosus) hepatopancreas. J. Food Biochem. 23: 123-144.
Sekisaki H, Itoh K, Murakami M, Toyota E, Tanizawa K (2000) Anionic t rypsin f rom Chum salmon: activity with p-amino- phenyl ester and comparison with bovine and Streptomyces griseus trypsins. Comp. Bio- chem. Physiol. B127: 337-346.
Shahidi F, Kamil YS (2001) Enzymes from fish and aquatic invertebrates and their applica-t ion in the food industry. Trends Food Sci. Technol. 12: 435-464.
Silva J, Espósito T, Marcuschi M, Ribeiro K, Cavalli R, Oliveira V, Bezerra R (2011) Purification and partial characterization of a t rypsin from the processing waste of the silver mojarra (Diapterus rhombeus). Food Chem. 129: 777-782.
Simpson B, Haard N (1987) Trypsin and trypsin-like enzymes from the stomach less cunner (Tauto- golabrus adspersus). Catalylic and other physical charac- teristics. J. Agric. Food Chem. 35: 652-656.
Souza A, Amaral I, Espíritu Santo A, Carvalho L, Bezerra R (2007) Trypsin-like enzyme from intestine and pyloric caeca of spotted goatfish (Pseudu-peneus maculatus). Food Chem. 100: 1429-1434.
Stauffer C (1989) Effect of pH on ac- tivity. In Stauffer C (Ed.) Enzyme Assays for Food Scientist. Van Nostrand Reinhold. New York, USA. pp. 63-117.
Villalba-Villalba AG, Ramírez- Suárez JC, Valenzuela-Soto EM, García-Sánchez G, Carvallo- Ruiz G, Pacheco-Aguilar R (2013) Trypsin from viscera of vermiculated sailfin catfish, Pterygoplichthys disjunctivus Weber, 1991: Its purification and characterization. Food Chem. 141: 940-945.
Whitaker J (1994) Principles of Enzymology for the Food Sciences. 2nd ed. Dekker. New York, USA. 648 pp.
Zollner H (1993) Handbook of Enzyme Inhibitors. VCH. Weinheim, Germany. 1065 pp.