Neuroimaging Through Clinical Cases
Co-occurrence of radiological signs of Marchiafava-Bignami disease and alcohol-related cerebellar degeneration
Co-ocorrência de sinais radiológicos da doença de Marchiafava-Bignami e da degeneração cerebelar relacionada ao álcool
Co-occurrence of radiological signs of Marchiafava-Bignami disease and alcohol-related cerebellar degeneration
Dementia & Neuropsychologia, vol. 19, e20240216, 2025
Academia Brasileira de Neurologia, Departamento de Neurologia Cognitiva e Envelhecimento
Received: 08 September 2024
Revised document received: 18 November 2024
Accepted: 28 November 2024
A 53-year-old man with a history of chronic alcohol consumption developed anterograde amnesia, accompanied by visual and auditory hallucinations and behavioral changes. Cognitive evaluation revealed mild impairment in the frontal battery and significant decline in episodic memory ( Table 1). On physical examination, the patient presented asymmetric cerebellar ataxia, more pronounced on the left side, along with global areflexia. External eye movements were preserved, and no nystagmus was observed.

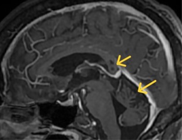
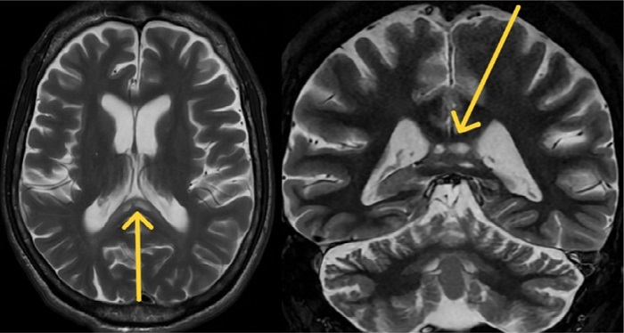
Brain magnetic resonance imaging (MRI) reveals global atrophy, predominantly affecting the cerebellar vermis, with three lesions exhibiting hypointensity on T1 and hyperintensity on T2 in the splenium of the corpus callosum ( Figures 1 and 2). No restriction in water diffusion or enhance with gadolinium was noted.


Marchiafava Bignami Disease (MBD) is a disorder associated with vitamin deficiency due to chronic alcohol abuse or malnutrition. It classically leads to signal changes in the corpus callosum, as seen on MRI, associated with neuropsychiatric symptoms 1. Despite its rarity, knowledge of its clinical and radiological aspects is crucial for early suspicion and accurate diagnosis, which can help prevent negative outcomes.
Some authors advocate classifying the clinical presentation into at least two distinct syndromes, based on the time of onset, severity of symptoms, as well as neuroimaging findings. In this sense, an acute, more severe form is characterized by faster progression and greater involvement of the level of consciousness, often associated with pyramidal symptoms, seizures, and eventually death. Chronic cases, such as the one described above, typically present with slower clinical onset, gait disturbances, dysarthria, interhemispheric disconnection, less pronounced involvement of awareness, and better prognosis 2, 3.
The typical presentation involves lesions with a cystic appearance or an edema/demyelinating substrate, generally located in the corpus callosum, which may also affect the deep white matter. The number and characteristics of the lesions may change with disease progression. Fewer lesions, restricted diffusion, and gadolinium enhancement typically indicate an acute process 2, 4, 5.
Chronic alcohol consumption has long been associated to structural damage to brain tissue, leading to a variety of neuroimaging patterns, with MBD being one of the many possible complications of this deleterious behavior. A classic feature in patients with chronic alcoholism is brain volume loss, particularly in the cerebellum and frontal lobe. In addition, involvement of the pontocerebellar fibers may lead to pontine atrophy. Less commonly, striatal degeneration may be observed in some subjects, and the combination of MBD and Wernicke encephalopathy has also been described. This supports the statement that, as in the case described above, other findings associated with alcohol abuse, such as cortical and cerebellar atrophy, may be present simultaneously 1, 6.
This overlap with other, sometimes nonspecific, radiological findings, may hinder the suspicious of MBD and highlights the importance of considering alternative diagnosis. Wernicke encephalopathy usually presents with involvement of the medial thalamic nuclei, hypothalamus, mamillary bodies, and periaqueductal grey matter. Pontine and extrapontine myelinolysis can also be differentiated by the involvement of the central pons, basal ganglia, thalami, lateral geniculate body, cerebellum, and cerebral cortex. Ischemic stroke, contusion, multiple sclerosis, lymphoma, and other diseases with preference for the deep white matters and corpus callosum may mimic MBD syndrome, but usually can be differentiated by the asymmetrical appearance of their lesions, once symmetry is an key feature for this condition 7, 8.
The cornerstone of treatment is supplementation of complex B vitamins, especially thiamine, as well as cessation of alcohol consumption along with rehabilitation therapy. The use of high-dose corticosteroids in acute patients has been reported as a safe strategy with positive outcomes 2, 5, 9, 10.
In the clinical case described, the patient was hospitalized and started on intravenous thiamine replacement, medications for alcohol withdrawal syndrome, as well as treatments to manage symptoms of depression/anxiety. In subsequent follow-up visits, the decision was made to refer him for joint follow-up with outpatient psychiatric care, while continuing surveillance with periodic exams and vitamin replacement, despite only slight improvement in neurological symptoms.
REFERENCES
Sato Y, Tabira T, Tateishi J. Marchiafava-Bignami disease, striatal degeneration, and other neurological complications of chronic alcoholism in a Japanese. Acta Neuropathol. 1981;53(1):15-20. https://doi.org/10.1007/BF00697179
Parmanand TH. Marchiafava-Bignami disease in chronic alcoholic patient. Radiol Case Rep. 2016;11(3):234-7. https://doi.org/10.1016/j.radcr.2016.05.015
Heinrich A, Runge U, Khaw AV. Clinicoradiologic subtypes of Marchiafava-Bignami disease. J Neurol. 2004;251(9):1050-9. https://doi.org/10.1007/s00415-004-0566-1
Hillbom M, Saloheimo P, Fujioka S, Wszolek ZK, Juvela S, Leone MA. Diagnosis and management of Marchiafava-Bignami disease: a review of CT/MRI confirmed cases. J Neurol Neurosurg Psychiatry. 2014;85(2):168-73. https://doi.org/10.1136/jnnp-2013-305979
Carrilho PEM, Santos MBM, Piasecki L, Jorge AC. Doença de Marchiafava-Bignami: uma rara entidade com prognóstico sombrio. Rev Bras Ter Intensiva. 2013;25(1):68-72. https://doi.org/10.1590/S0103-507X2013000100013
Karoly HC, Kirk-Provencher KT, Schacht JP, Gowin JL. Alcohol and brain structure across the lifespan: a systematic review of large-scale neuroimaging studies. Addict Biol. 2024;29(9):e13439. https://doi.org/10.1111/adb.13439
Xiaoyu D, Chaobo B, Nao J. Clinical and radiological features of Marchiafava-Bignami disease. Medicine (Baltimore). 2018;97(5):e9626. https://doi.org/10.1097/MD.0000000000009626
Johkura K, Naito M, Naka T. Cortical involvement in Marchiafava-Bignami disease. AJNR Am J Neuroradiol. 2005;26(3):670-3. PMID: 15760886.
Shen YY, Chen-Guang Z, Han N, Liang XM, Deng YQ. Clinical and neuroradiological features of 15 patients diagnosed with Marchiafava-Bignami disease. Chin Med J (Engl). 2019;132(15):1887-9. https://doi.org/10.1097/CM9.0000000000000334
Zhang YL, Ran C, Xu C, Li W. Clinico-radiologic subtypes and therapeutic observation of acute Marchiafava-Bignami disease. Sci Rep. 2023;13(1):18516. https://doi.org/10.1038/s41598-023-45431-6
Notes
Author notes
Correspondence: Rodrigo Alencar e Silva; Email: alencar-rodrigo@hotmail.com.
Conflict of interest declaration