Artículo de Investigación e Innovación
Recepción: 22 Mayo 2017
Aprobación: 18 Septiembre 2017
DOI: https://doi.org/10.18273/revsal.v49n4-2017001
RESUMEN
Introducción: Tradicionalmente, Rhodnius prolixus ha sido considerado el principal vector, mientras que Triatoma maculata resulta ser un vector secundario de Trypanosoma cruzi en el medio rural venezolano. En este trabajo se provee información de interés acerca de los componentes bioquímicos y del sistema inmune, humoral y celular, de la hemolinfa de R. prolixus y T. maculata alimentados sobre gallina y rata.
Metodología: los insectos provenían de una colonia del laboratorio, mantenida a una temperatura de 27-29ºC, 50% de humedad relativa y ocho horas luz/día. Se analizó la hemolinfa de adultos alimentados sobre gallina y rata. Se observaron los hemocitos mediante microscopía óptica y electrónica de transmisión.
Resultados: los parámetros bioquímicos de glucosa, lípidos y proteínas fueron afectados de forma distinta en R. prolixus y T. maculata según la fuente alimenticia. T. maculata presentó mayores niveles de actividad lítica de lisozima. Se observaron cuatro poblaciones de hemocitos (prohemocitos, plasmatocitos, granulocitos y oenocitos), cuyas características y medidas están acorde a lo reportado por otros autores sobre la subfamilia Triatominae. T. maculata presentó mayor número de prohemocitos y oenocitos que R. prolixus.
Conclusiones: En su hemolinfa, R. prolixus y T. maculata son afectados distintamente en los componentes bioquímicos (glucosa, lípidos y proteínas) e inmunes, tanto humorales (lizosima) como celulares (prohemocitos, oenocitos), según sean alimentados sobre gallina y rata. Esto pone de manifiesto de la alimentación sobre uno de los componentes de la competencia vectorial, como lo es el sistema inmune propio de la hemolinfa de los insectos.
Palabras clave: Triatominae, alimentación, hemolinfa, hemocitos, sistema inmune, enfermedad de Chagas..
ABSTRACT
Introduction: Traditionally, Rhodnius prolixus has been considered the main vector, while Triatoma maculata remains to be a secondary vector of Trypanosoma cruzi in the Venezuelan rural habitat. In this work, interesting information about the biochemical and immune (humoral and cellular) aspects of the hemolymph of R. prolixus and T. maculate, feeding on hen and rat, are presented.
Methodology: Hemolymph was extracted from adult insects, maintained at 2729 °C with 50% of relative humidity and 8/16 (Light/Dark) hours, and fed on hen and rat. Hemocytes were observed by optical and transmission electron microscopy.
Results: Biochemical parameters (glucose, lipids and proteins) varied in both species according to the food source. T. maculata presented higher levels of lysozyme lytic activity. Four hemocytes populations were observed by optical and transmission electron microscopy (prohemocytes, plasmocytes, granulocytes and oenocytes), exhibiting characteristics and measurements in accordance with previous literature related to the Triatominae subfamily. T maculata presented more prohemocytes and oenocytes than R. prolixus.
Conclusions: On their hemolymph, R. prolixus and T. maculata are distinctly affected in their biochemical (glucose, lipids and proteins) and immune components, both humoral (lysozyme) and cellular (prohemocytes, oenocytes), depending on whether they were fed on hens or rats. Our results show that the food source affects the immune system of triatomines, and subsequently, their vectorial capacity may be compromised as well.
Keywords: Triatominae, feeding, hemolymph, hemocytes, immune system, Chagas disease.
INTRODUCCIÓN
En Venezuela las especies de triatominos que han sido considerados epidemiológicamente más importantes son: Rhodnius prolixus, Rhodnius robustus, Triatoma maculata y Panstrongylus geniculatus, aunque en distintos grados de importancia vectorial1,2,3,4. Tradicionalmente R. prolixus ha sido considerado el principal vector de Trypanosoma cruzi en el medio rural venezolano y norte de Suramérica5. La alimentación de R. prolixus depende del ambiente en el cual se encuentre, pero se adapta fácilmente a diferentes fuentes sanguíneas, en hábitats domiciliarios se alimenta principalmente de humanos, de allí su alta capacidad vectorial, mientras que en hábitats silvestres se alimenta de zarigüellas, roedores, aves, entre otros5. Farfán, et al.6 encontraron que las principales fuentes de alimentación de R. prolixus capturados en domicilio son sangre de ave, humano, cerdo y cabra. Estos autores también reportaron insectos en el domicilio alimentados con sangre de animales silvestres, lo que señala la capacidad de movilidad que tienen los insectos silvestres hasta el domicilio.
T. maculata se ha encontrado en Venezuela, Guyana, Brasil y Colombia7. En Venezuela T. maculata ha sido considerado tradicionalmente como un vector secundario del agente etiológico de la enfermedad de Chagas, ya que aunque se le ha encontrado infectado naturalmente por T. cruzi, se considera que está adaptado a hábitats peridomiciliarios y silvestres, siendo una especie principalmente ornitófaga, asociada con gallinas y palomas que raramente se alimenta del hombre2,8. Sin embargo recientemente ha estado emergiendo un nuevo escenario epidemiológico de esta especie en Venezuela9,10,11,12,13,14 y países vecinos como Brasil15,16) y Colombia17,18 ya que ha sido encontrada domiciliada y en medios urbanos, lo cual impone la necesidad de revisar el carácter secundario en su capacidad de transmitir al agente etiológico de la enfermedad de Chagas. Pese a que todas las especies de triatominos son potencialmente vectores de T. cruzi5, la capacidad vectorial está sujeta a múltiples factores entre los que se encuentran por ejemplo la composición faunística local disponible al insecto, la competencia de transmisión del parásito a mamíferos domésticos, sinantrópicos y silvestres, la tasa de contacto hospedador-vector o la adaptación a diferentes fuentes sanguíneas. Un aspecto de dicha adaptación compromete al sistema inmune del insecto según se alimente de una u otra fuente sanguínea.
La respuesta inmune de los insectos se puede clasificar en humoral y celular. Los mecanismos de defensa humoral incluyen producción de moléculas antimicrobianas tal como la lisozima, el sistema profenoloxidasa (proPO), entre otros, mientras que los mecanismos de defensa celular se refieren a la respuesta inmune mediada por los hemocitos, tal como fagocitosis, nodulación y encapsulación19. Los estudios sobre la hemolinfa de los triatominos incluyen el análisis de proteínas, lípidos, lipoproteínas, carbohidratos y hemocitos.
La mayor parte de los estudios de los componentes hemolinfáticos en triatominos se basan en el estudio de sus hemocitos. Wigglesworth20,21 identificó seis tipos de hemocitos en R. prolixus y Jones22 logró en esta misma especie identificar los mismos tipos de hemocitos, también analizó su variación cuantitativa en relación a la ecdisis y la alimentación. Lai-Fook23,24 mediante análisis ultraestructural identificó cinco tipos de hemocitos en R. prolixus. Barracco, et al.25 mediante microscopía óptica identificaron cinco tipos de hemocitos en Panstrongylus megistus. Posteriormente Barracco, et al.26 mediante microscopía electrónica identificaron en esta misma especie los cinco tipos de hemocitos descritos anteriormente (prohemocitos, plasmatocitos, granulocitos, oenocitos y adipohemocitos) además un nuevo tipo de hemocito que llamaron coagulocito. Azambuja, et al.27 identificaron siete tipos de hemocitos en diferentes especies incluidas en diferentes géneros, pero no todas presentaban el mismo tipo de hemocitos. Hypsa, et al.28 estudiaron los hemocitos de T. infestans de acuerdo a su morfología, ultraestructura y su capacidad de unión a lectinas, encontrando dos poblaciones de hemocitos en la hemolinfa. Mello, et al.29 estudiaron los cambios en algunos componentes de la hemolinfa de R. prolixus infectados con T. cruzi y T. rangeli, encontrando altos niveles de lisozima y un incremento en el conteo de hemocitos.
Por otra parte, Canavoso, et al.30 estudiaron los componentes hemolinfáticos en tres géneros de Triatominae, encontraron similitud en el contenido total de proteínas, y lo atribuyeron a que los insectos fueron criados bajo parámetros estandarizados y todos alimentados sobre gallina. Canavoso, et al.31 estudiaron también los cambios en los componentes hemolinfáticos de Dipetalogaster maximus post-alimentación con una misma fuente sanguínea. Reyes-Lugo, et al.32, compararon el perfil electroforético de la hemolinfa de Panstrongylus geniculatus de diferentes regiones de Venezuela, encontrando una alta homogeneidad en la composición hemolinfática de las distintas poblaciones.
De acuerdo con nuestra revisión bibliográfica, la influencia de la fuente de alimentación en el sistema inmune, humoral y celular de los triatominos no es conocida. Por ello, este trabajo tuvo como objetivo evaluar la influencia que tiene la fuente alimenticia sobre los componentes de la hemolinfa, tanto bioquímicos como del sistema inmune humoral y celular en dos especies de triatominos, R. prolixus y T. maculata.
METODOLOGÍA
Insectos
Los triatominos provenían de la colonia del Laboratorio de Entomología “Herman Lent” de la Facultad de Ciencias (ULA-Mérida,Venezuela), los cuales se mantuvieron a una temperatura de 27-29ºC, 50% de humedad relativa aproximadamente y 8 horas luz/16 horas oscuridad. La colonia de R. prolixus ha sido mantenida por aproximadamente 40 años en condiciones de laboratorio siendo alimentada sobre gallina. La colonia de T. maculata fue establecida más recientemente, teniendo dos años en el laboratorio siendo alimentada sobre gallina. Se analizaron insectos adultos, machos y hembras (no vírgenes), de las especies: R. prolixus y T. maculata. Cuando los insectos mudaron al estadio adulto fueron mantenidos 10 días en ayuno, luego se conformaron dos grupos por especie, un grupo fue alimentado con gallina y el otro con rata (Bio:Wistar) durante aproximadamente un hora, esto se realizó cada 15 días por un mes, para un total de tres alimentaciones. Finalmente los triatominos fueron mantenidos en ayuno durante 7-10 días hasta la extracción de la hemolinfa.
Extracción de la hemolinfa
Para la obtención de hemolinfa se realizó el corte de una pata de cada insecto, entre la coxa y el trocánter. Para la determinación de glucosa, proteínas y lípidos la hemolinfa se colectó en capilares, luego se tomó la muestra con una pipeta y se realizó la determinación correspondiente. Para la descripción de hemocitos por microscopia electrónica, la hemolinfa fue colectada directamente en tubos eppendorf conteniendo tampón cacodilato 0,2M, pH 6,8 para su posterior procesamiento. Para el estudio de los hemocitos por microscopía óptica, gotas de hemolinfa fueron colectadas sobre portaobjetos, se realizó un frotis y luego del secado se colorearon con Giemsa. En cada ensayo se usaron cinco (5) insectos de cada sexo y grupo correspondiente.
Determinación de Parámetros Bioquímicos
-Glucosa
Se usó un método químico-enzimático mediante un kit de diagnóstico de glucosa-Trinder33 (BioScience Medical, Madrid España).
-Proteínas totales
Las proteínas totales se determinaron de acuerdo al método de Biuret34 usando un kit de diagnóstico Cromatest-Linear Chemicals, Montgat-España)
-Lípidos totales
Los lípidos totales se determinaron mediante un método químico usando un kit de diagnóstico por el método colorimétrico de sulfo-fosfo vainillina35 (AlfaQuim, Buenos Aires, Argentina).
Determinación de parámetros celulares
- Caracterización y conteo diferencial de hemocitos
Microscopía de contraste de fases. Mediante un microscopio de contraste de fases Zeiss Axiostar (España) se realizó la identificación de los tipos de hemocitos de acuerdo a las clasificaciones realizadas por Gupta36 y Barracco, et al.25. Se midió el largo y ancho de cada célula y su respectivo núcleo, en al menos cinco células de cada tipo, de acuerdo a la especie, sexo y dieta.
Microscopía electrónica de transmisión. Gotas de hemolinfa se colectaron directamente en tubos eppendorf, para ser fijadas con mezcla 3:3 (formaldehído al 3% + glutaraldehído al 3% diluidos en tampón cacodilato 0,2M, pH 6,8)37, durante 30 minutos a 4ºC. Posteriormente, se centrifugó durante 10 minutos a 3000 rpm y el pellet se colocó nuevamente en la mezcla fijadora, durante un mínimo de tres horas. Transcurrido este tiempo, el pellet se lavó tres veces por 10 minutos cada vez en tampón cacodilato. Luego se realizó la post-fijación durante seis horas en tetraóxido de osmio al 1%. Al final, las muestras se lavaron en tampón cacodilato y se inició la deshidratación con alcohol etílico en concentraciones ascendentes y con óxido de propileno, de acuerdo a los siguientes tiempos de deshidratación: alcohol 30% 20 minutos, 50% 20 minutos, 80% 30 minutos, 100% 30 minutos, alcohol 100% + óxido de propileno 30 minutos, óxido de propileno 30 minutos. Finalmente los pellet fueron infiltrados con las siguientes concentraciones de óxido de propileno/resina: 4:1 por 30 minutos, 3:2 por 30 minutos, 2:3 por 1 hora, 1:4 1 hora, para finalmente ser incluidas las muestras en resina epoxídica. Se hicieron cortes de 90 nm de espesor, los cuales fueron contrastados con acetato de uranilo y citrato de plomo38,39. Las observaciones fueron realizadas a través de un microscopio electrónico de transmisión Hitachi H-7000 (Estados Unidos de América).
Microscopía óptica. Realizando un corte de la pata de cada insecto se extrajeron gotas de hemolinfa, cada gota fue extendida sobre un portaobjeto, se dejó secar durante diez minutos y se coloreó de la siguiente forma: coloración con Giemsa 30-40 minutos (1 gota de concentrado por mililitro de agua destilada) y se lavó con agua destilada, posteriormente las láminas portaobjetos se cubrieron con agua destilada + 1% de carbonato de litio durante cinco minutos y se lavó con agua destilada, luego se cubrieron durante cinco minutos con agua destilada + 0,1% ácido clorhídrico y se lavaron con agua destilada. Finalmente, las muestras se dejaron secar y se examinaron al microscopio para la caracterización de los distintos tipos de hemocitos, evaluando la forma y tamaño de las células, forma y posición de cromatina, aspecto y tamaño del núcleo, presencia de pseudópodos, apariencia del citoplasma, presencia de gránulos citoplasmáticos, de acuerdo a las clasificaciones propuestas por Gupta36, Barracco, et al.24 y Azambuja, et al.26.
Conteo diferencial de hemocitos. Se usaron cinco láminas teñidas con Giemsa para cada especie, según sexo y dieta. Se contaron 100 células sobre cada muestra y se calculó el porcentaje de cada tipo de hemocito. Los diferentes tipos de hemocitos se identificaron utilizando las clasificaciones propuestas por Gupta34, Barracco, et al.25 y Azambuja, et al.27.
Determinación de Parámetros humorales
Actividad lítica: Se prepararon lisoplatos embebiendo Micrococcus lysodeikticus liofilizado e hidratado (0,32g/L en buffer sodio-acetato 40mm, pH 5,8 con 0,34M de NaCl) en una matriz de agarosa de bajo punto de fusión al 2% (Sigma, USA), previamente preparada disolviendo agarosa con agua MiliQ (0,4g/L) a 70ºC. Se homogeneizó la muestra por agitación y luego se vertió en placas de Petri. Una vez ocurrida la solidificación de la matriz se perforaron pozos en el gel utilizando un sacabocados acoplado a un sistema de vacío. En cada pozo (lisoplato) se colocaron 10μl de hemolinfa de cada especie de acuerdo al sexo y a la dieta. Se usaron lisoplatos con cinco replicados de cada grupo y como control positivo se usó lisozima de huevo de gallina. Esta técnica permitió realizar una estimación de la actividad lítica midiendo el diámetro de los halos que rodean la muestra debido a la lisis de la bacteria embebida en agarosa40.
Análisis estadístico. Se analizaron datos de cinco muestras de cada sexo y grupo correspondiente (Especie/ fuente alimenticia). Se evaluó la homocedasticidad de los grupos a comparar mediante una prueba de Levene, en caso de existir se procedió a aplicar una prueba t de Student para comparaciones entre sexos o un Análisis de Varianza (ANOVA) para comparaciones entre grupos (Especie-Alimentación) y en caso de ser significativo el ANOVA se aplicó la prueba a posteriori de Tukey. Cuando se encontró heterocesdasticidad se aplicó una prueba de Kruskal-Wallis para realizar las comparaciones. Se consideró como pruebas significativas aquellas con un p < 0,05. El programa utilizado fue el STATISTICA v6.
RESULTADOS
Parámetros bioquímicos
En la Tabla 1 se muestran los valores de concentración de glucosa (mg/dl) según la especie, sexo y dieta. La alimentación sobre rata afecta distintamente los niveles de glucosa en ambas especies de triatominos. No se encontraron diferencias estadísticamente significativas entre los sexos de acuerdo a la especie y alimentación (p>0,05). No se encontraron diferencias estadísticamente significativas (p>0,05) en las concentraciones de glucosa en hemolinfa al comparar ambas dietas tanto en R. prolixus como en T. maculata, así como tampoco en ambas especies de triatominos alimentadas sobre gallina. Sin embargo, sí se encontraron diferencias estadísticamente significativas (p=0,0069) al comprar R. prolixus y T. maculata alimentados sobre rata.

En relación a la concentración de proteínas, Tabla 2, no se encontraron diferencias estadísticamente significativas entre sexos de acuerdo a la especie y dieta (p>0,05). Por otro lado, al comparar la concentración de proteínas en hemolinfa entre especies y dieta, esta mostró ser estadísticamente diferente sólo cuando T. maculata era alimentada sobre gallina versus rata (p=0,0332).

En cuanto a los lípidos, Tabla 3, no se encontraron diferencias estadísticamente significativas al realizar comparaciones entre sexos de acuerdo a la especie y dieta (p>0,05). La alimentación sobre gallina o rata afecta distintamente el contenido de lípidos en la hemolinfa de ambas especies de triatominos, encontrándose diferencias estadísticamente significativas al comparar R. prolixus alimentados sobre gallina o rata (p=0,002895), T. maculata alimentados sobre gallina o rata (p=0,000219) y las dos especies alimentadas sobre gallina (p=0,000167).

Parámetros celulares
- Descripción de hemocitos. Se identificaron tanto en R. prolixus como en T. maculata cuatro poblaciones de hemocitos mediante microscopía electrónica de transmisión, contraste de fases y fotónica. No se observaron diferencias en los tipos celulares en relación a la dieta en ninguna de las especies analizadas.
- Prohemocitos. Son células estables, poco frecuentes, presentaron un tamaño pequeño, forma esférica u ovalada, generalmente con un núcleo redondeado que ocupa casi todo el volumen celular, en algunos casos en proceso de mitosis y pueden presentar pequeños pseudópodos. La variación del tamaño celular se puede observar en la Tabla 4. El núcleo es grande, localizado en el centro de alrededor del núcleo, es homogéneo y en algunos casos se observaron gránulos y/o vacuolas. Se pudo observar por microscopía electrónica de transmisión que contienen una baja concentración de organelas intracelulares, entre las que destacan mitocondrias, retículo endoplásmico rugoso, polirribosomas, lisosomas y vacuolas, Figura 1.


Oenocitos. Son células muy poco frecuentes, redondeadas, ovaladas o alargadas, con núcleo central o excéntrico y citoplasma homogéneo con mayor electrodensidad que los otros hemocitos descritos. La variación del tamaño celular y nuclear se muestra en la Tabla 5. No se encontraron pseudópodos durante la observación de estas células al microscopio de contraste de fases. En el citoplasma se observaron vacuolas con diferentes contenidos, posibles liposomas y retículo endoplásmico rugoso, Figura 2.


Plasmatocitos. Fueron las células más frecuentes en la hemolinfa de las dos especies analizadas. Son células muy polimórficas, pudiendo ser esféricas, ovaladas, elongadas, irregulares y con prolongaciones citoplasmáticas. Son de tamaño variable tal como se muestra en la Tabla 6. Por microscopía de contraste de fases y en muestras coloreadas se pudo observar la presencia de gránulos y vacuolas en su citoplasma. Por microscopía electrónica de transmisión en el citoplasma se observó retículo endoplásmico rugoso, vacuolas citoplásmicas de diferentes tamaños, granulaciones, pseudópodos e invaginaciones pinocíticas, Figura 3. Además, se pudo observar la presencia de endosimbiontes en el interior de plasmatocitos de T. maculata, Figura 4.

Granulocitos. Junto con los plasmatocitos fueron las células más abundantes en las dos especies de triatominos examinadas, juntos representan el 80-90% de los hemocitos presentes en la hemolinfa. Presentan formas variables, pudiendo ser redondeados, ovalados o irregulares, en algunas ocasiones con presencia de prolongaciones citoplásmicas, el núcleo puede ser redondeado u ovalado y encontrarse en el centro o en la periferia de la célula, en algunas ocasiones se observó el nucléolo. Al ser observadas en fresco, luego de 10 minutos algunos granulocitos comienzan a degenerarse expulsando sus gránulos, Figura 5, de igual forma al ser coloreadas estás células pueden expulsar sus gránulos, pudiendo ser confundidas con plasmatocitos. La variación del tamaño se puede observar en la Tabla 7. Los granulocitos observados en ambas especies presentaron de moderadas a abundantes granulaciones de diferentes tamaños y electrodensidades, algunos gránulos parecen contener un arreglo de microtúbulos. Por microscopía electrónica de transmisión se observaron retículo endoplásmico rugoso, aparato de Golgi, vacuolas y pseudópodos. Son células con aparente actividad endocítica y exocítica. Además, se pudo observar en un granulocito la internalización de un aparente plasmatocito, resaltando la capacidad fagocítica de estas células, Figuras 5 y 6.




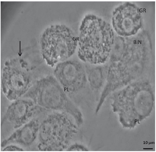
Además de las cuatro poblaciones de hemocitos, también se pudo observar en pocas ocasiones otro tipo de hemocito reportado en la literatura como adipohemocito, Figura 7A, el cual se caracteriza por tener abundantes gotas de lípidos que ocupan la mayor parte del citoplasma. También se observaron en las muestras analizadas células similares a granulocitos, pero con un mayor tamaño, células binucleadas, Figura 7B y 7C y agregaciones celulares, Figura 8.


- Conteo diferencial de hemocitos. Los resultados del conteo diferencial de hemocitos se muestran en la Tabla 8. No se encontraron diferencias estadísticamente significativas al comparar R. prolixus alimentados sobre rata o gallina en ningún tipo de hemocito, mientras que si se encontraron diferencias significativas al comparar el número de oenocitos de T. maculata alimentados sobre gallina o rata (p=0,043944). Se encontraron diferencias estadísticamente significativas entre prohemocitos (p=0,019496) y oenocitos (p=0,020820) de T. maculata y R. prolixus.



DISCUSIÓN
Aunque todas las especies de triatominos son potencialmente transmisoras de T. cruzi, no todas son igualmente competentes vectorialmente, debido a que no han desarrollado las mismas adaptaciones. El sistema inmune, tanto de la hemolinfa como el que reside en el intestino, cumplen funciones (protección ante patógenos) que constituyen adaptaciones de las que dependen algunos de los componentes de la competencia vectorial. Por ejemplo, el estrés de la reproducción podría disminuir la inmunocompetencia y causar que el insecto sea más susceptible a enfermedades, lo cual puede causar la muerte o podría originar que el organismo sea más vulnerable debido a que ello incide en su sistema de defensa41,42. Ryan43 señaló que algunos componentes hemolinfáticos pueden relacionarse con la reproducción, tal es el caso de los lípidos, los cuales están involucrados en procesos como la reproducción y la embriogénesis.
En una revisión reciente se destaca que es escasa la información acerca de la respuesta inmune de los triatominos a patógenos, tanto en términos cualitativos de la descripción de la maquinaria de defensa de estos insectos ante sus agentes patógenos, o cuantitativos, al conocerse apenas información en no más de 10 especies44 de las aproximadamente 148 especies de triatominos descritas45,46. Aunque son abundantes los estudios sobre cómo afecta la fuente de alimentación sobre parámetros biodemográficos en triatominos, como lo muestran Rabinovich, et al.47 en una revisión extensa sobre los patrones ecológicos y las fuentes de alimentación, no se ha reportado información acerca de cómo inciden las fuentes de alimentación sobre el sistema inmune, pese a ser éste un componente importante de la competencia vectorial.
En el presente trabajo estamos aportando información de interés en este sentido, al evaluar componentes bioquímicos y del sistema inmune, humoral y celular, de la hemolinfa de R. prolixus y T. maculata alimentando sobre gallina y rata, sobre la base del muy documentado carácter eurifágico de la primera y la adaptación ornitofágica de la segunda. Nuestros resultados sugieren que ambas especies de triatominos fueron afectadas distintamente en cuanto a los parámetros bioquímicos glucosa, lípidos y proteínas según son alimentadas sobre gallina o rata, lo cual da cuenta de las diferencias de sus preferencias alimentarias al ser R. prolixus eurifágica y T. maculata estenofágica por estar más especializada en el comportamiento ornitofágico. Al comparar nuestros resultados con los de Canavoso, et al.30, estos autores encontraron niveles tanto de glucosa como de lípidos superiores en varios órdenes de magnitud, mientras que, en cuanto a los niveles de proteínas, estos autores encontraron niveles aunque menores, similares en cuanto al orden de magnitud. La explicación de tales diferencias y similitudes se ve limitada debido a que Canavoso, et al.30 calcularon los niveles de estos parámetros como el promedio de lo encontrado sólo en machos y en varias especies de Triatoma, la muestra analizada fue el sobrenadante de un extracto total del cuerpo del insecto, que aunque rico en hemolinfa contiene restos de otras partes del cuerpo, y condiciones fisiológicas como el ayuno no controladas, distinto a las condiciones experimentales de nuestro trabajo donde se analizaron sexos separados, se analizó estrictamente la hemolinfa obtenida por disección de la coxa y el trocánter y se estandarizaron las condiciones de ayuno y alimentación de los insectos.
Hasta ahora no ha habido unanimidad de opinión ni criterios de clasificación de las células que componen el sistema inmune celular de la hemolinfa de los triatominos. Wigglesworth20 en 1933 describió cuatro tipos de hemocitos y en 195521 hizo una reclasificación en el que incluyó dos nuevos tipos de hemocito. De igual forma, Jones22, Azambuja, et al.27 y Barracco, et al.25,26 estudiaron los hemocitos en varias especies de triatominos, reportando y describiendo entre cinco y siete poblaciones de hemocitos en la hemolinfa de estos insectos. En el presente trabajo se reportan cuatro poblaciones de hemocitos observadas por microscopía electrónica de transmisión, contraste de fases y óptica, que corresponden a prohemocitos, plasmatocitos, granulocitos y oenocitos, cuyas características y medidas están acorde a lo reportado por los autores antes mencionados para la subfamilia Triatominae. Los prohemocitos fueron las únicas células observadas en proceso de mitosis, lo cual podría apoyar la teoría de Gupta48 sobre el papel de célula madre de los prohemocitos. Las características reportadas en este trabajo coinciden con las reportadas en los prohemocitos de Dactylopius coccus(49, Phenacoccus citri y Phenacoccus manihoti(50. En relación a los granulocitos y plasmatocitos, estos presentaron características similares a las reportadas en Rhodnius prolixus, R. robustus, R. neglectus, Triatoma infestans, Panstrongylus megistus y Dipetalogaster maximus reportadas por Azambuja, et al.27. Hypsa, et al.28 también reportaron la presencia de endosimbiontes en hemocitos de T. infestans. Además, en pocas ocasiones se observó en muestras de hemolinfa fresca, células que asemejan a los adipohemocitos descritos por Jones22, y similar a los resultados reportados por Azambuja, et al.27, quienes encontraron sólo en pocas ocasiones este tipo de hemocito en la hemolinfa de R. prolixus y T. infestans.
El conteo diferencial de hemocitos mostró que los plasmatocitos (35-50%) son las células más abundantes en la hemolinfa de R. prolixus y T. maculata, alimentados sobre gallina o rata, seguido por granulocitos (3045%), prohemocitos (8-20%) y oenocitos (2-12%). Se encontraron diferencias estadísticamente significativas en relación con el número de prohemocitos y oenocitos al comparar las dos especies, siendo mayor en el caso de T. maculata. Considerando que la cantidad de lisozima también fue mayor en la hemolinfa de T. maculata, es posible que el sistema de defensa de esta especie se encuentre más activado, pudiendo esto estar relacionado con la presencia de endosimbiontes en los hemocitos de esta especie. Los mayores niveles de lisozima en T. maculata respecto a R. prolixus, quizá se deba a que al tratarse esta última de una colonia de más de 40 años en condiciones de laboratorio, esta especie haya perdido adaptaciones de defensa a patógenos, distinto al caso de la colonia de T. maculata, la cual es de reciente colonización y aún podría mantener dichas adaptaciones. Azambuja, et al.(51, reportaron actividad inducible de lisozima en la hemolinfa de R. prolixus al ser inoculado en el hemocele con M. lysodeikticus. Mello, et al.52, encontraron que la actividad de la lisozima en hemolinfa de R. prolixus era inducible por la infección tanto por T. cruzi como por Trypanosoma rangeli, lo que apoya la hipótesis antes mencionada de que la mayor actividad encontrada en el presente trabajo en T. maculata se deba a que se trata de insectos de reciente colonización en condiciones de laboratorio, y, aún mantiene esta adaptación de defensa ante agentes extraños.
En resumen, la fuente alimenticia afectó de manera distinta los componentes bioquímicos de R. prolixus y T. maculata. Además, se reporta la presencia de lisozima en la hemolinfa de estas dos especies, siendo mayor la actividad lítica en T. maculata. Las poblaciones de hemocitos encontradas fueron similares en las dos especies. Con este trabajo se aporta información sobre la descripción de las células del sistema inmune de los Triatominos, siendo reportadas las características de los hemocitos por primera vez para T. maculata.
AGRADECIMIENTOS
CDCHTA-ULA a través del proyecto C-1932-15-03-A
A los siguientes Centros de Investigación de la Universidad de Los Andes: Centro de Microscopía Electrónica “Ernesto Palacios Prü”, Laboratorio de Investigaciones Parasitológicas “José Francisco Torrealba”, Laboratorio de Enzimología de Parásitos y Laboratorio de Bioquímica Adaptativa.
REFERENCIAS
1. Pifano F. La epidemiología de la enfermedad de Chagas en Venezuela. Arch Venez Med Trop Parasitol Med. 1973; 5: 171-184.
2. Tonn R, Otero M, Mora E, Espinola H, Carcavallo R. Aspectos biológicos, ecológicos y distribución geográfica de Triatoma maculata (Erichson 1948), (Hemiptera: Reduviidae), en Venezuela. Bol Dir Malariol Saneam Amb. 1978; 18: 16-24.
3. Feliciangeli MD, Dujardin JP, Bastrenta B, Mazzarri M, Villegas J, Flores M, et al. Is Rhodnius robustus (Hemiptera: Reduviidae) responsible for Chagas disease transmission in Western Venezuela?. Trop Med Int Health. 2002; 17: 280-287.
4. Rojas M, Várquez P, Villarreal M, Velandia C, Vergara L, Morán Y, et al. Estudio seroepidemiológico y entomológico sobre la enfermedad de Chagas en un área infestada por Triatoma maculata (Erichson 1848) en el centro-occidente de Venezuela. Cad Saude Publ. 2008; 24: 2323-2333. DOI:10.1590/S0102-311X2008001000013.
5. Lent H, Wygodzinsky P. Revision of the Triatominae (Hemiptera, Reduviidae) and their significance as vectors of Chagas' disease. Bull Am Museum Nat Hist. 1979; 163: 123-520.
6. Farfán AE, Gutierrez R, Angulo VM. ELISA para la identificación de los patrones alimentarios de Triatominae en Colombia. Rev. Salud Pública. 2007; 9: 602-608. DOI:10.1590/S0124-00642007000400013.
7. Carcavallo RU, Curto de Casas SI, Sherlock IA, Galíndez Girón I, Jurberg J, Galvao C, et al. Geographic distribution and alti-latitudinal dispersion. En: Carcavallo R.U., Galindez Girón I., Jurberg J., Lent, H. (Eds.), Atlas of Chagas Disease Vectors in the Americas, Vol. II. Fiocruz, Rio de Janeiro, Brazil. 1999; 747-792.
8. Soto A, Rodríguez C, Bonfante-Cabarca R, Aldana E. Morfometría geométrica de Triatoma maculata (Erichson, 1848) de ambientes doméstico y peridoméstico, estado Lara, Venezuela. Bol Dir Malariol San Amb. 2007; 47: 231-235.
9. García-Alzate R, Lozano-Arias D, Reyes-Lugo RM, Morocoima A, Herrera L, Mendoza-León A. Triatoma maculata, the vector of Trypanosoma cruzi, in Venezuela. Phenotypic and genotypic variability as potential indicator of vector displacement into the domestic habitat. Front Public Health. 2014; 2: 1-9. DOI:10.3389/fpubh.2014.00170.
10. González-Brítez N, Morocoima A, Martínez C, Carrasco HJ. Infección por Trypanosoma cruzi y polimorfismo del citocromo B del ADN mitocondrial en Triatoma maculata de Anzoátegui y Portuguesa, Venezuela. Bol Mal Salud Amb. 2010; 50: 85-93.
11. Berrizbeitia M, Concepción J, Carzola V, Rodríguez J, Cáceres A, Quiñones W. Seroprevalencia de la infección por Trypanosoma cruzi en Canis familiaris del estado Sucre, Venezuela. Biomédica. 2013; 33: 214-225. DOI:10.7705/biomedica.v33i2.7.
12. García-Jordán N, Berrizbeitia M, Concepción JL, Aldana E, Cáceres A, Quiñones W. Estudio entomológico de vectores transmisores de la infección por Trypanosoma cruzi en la población rural del estado Sucre, Venezuela. Biomédica. 2015; 35: 247-257. DOI: 10.7705/biomedica.v35i2.2390.
13. Reyes-Lugo M, Reyes-Contreras M, Salvi I, Gelves W, Avilán A, Llavaneras D, et al. The association of Triatoma maculata (Ericsson 1848) with the gecko Thecadactylus rapicauda (Houttuyn 1782) (Reptilia: Squamata: Gekkonidae): a strategy of domiciliation of the Chagas disease peridomestic vector in Venezuela?. Asian Pac J Trop Biomed. 2011; 1: 279284. DOI: 10.1016/S2221-1691(11)60043-9.
14. Morocoima A, Sotillo E, Salaverría C, Maniscalchi M, Pacheco F, Chique D. Domiciliación del vector peridomiciliario de la enfermedad de Chagas, Triatoma maculata (Erichson, 1848) en caserío rural del norte del estado Anzoátegui. Acta Cient Venezolana. 2005; 55: 215.
15. Luitgards-Moura J, Vargas A, Almeida C, MagnoEsperanca G, Agapito-Souza R, Folly-Ramos E, et al. A Triatoma maculata (Hemiptera, Reduviidae, Triatominae) population from Roraima, Amazon region, Brazil, has some bionomic characteristics of a potential Chagas disease vector. Rev Inst Med Trop São Paulo. 2005; 47: 131-137. DOI:10.1590/S0036-46652005000300003.
16. Ricardo-Silva A, Gonçalves Teresa CM, LuitgardsMoura JF, Lopes CM, Silva S, Bastos AQueiroz, et al. Triatoma maculata colonises urban domicilies in Boa Vista, Roraima, Brazil. Mem Inst Oswaldo Cruz. 2016; 111: 703-706. DOI:10.1590/007402760160026.
17. Corté LA, Suárez HA. Triatominos (Reduviidae: Triatominae) en un foco de enfermedad de Chagas en Talaigua Nuevo (Bolívar, Colombia). Rev Biomédica. 2005; 25: 568-574. DOI:10.7705/issn.0120-4157.
18. Cantillo-Barraza O, Garces E, Gomez-Palacio A, Cortes LA, Pereira A, Marcet PL, et al. Ecoepidemiological study of an endemic Chagas disease region in northern Colombia reveals the importance of Triatoma maculata (Hemiptera: Reduviidae), dogs, and Didelphis marsupialis in Trypanosoma cruzi maintenance. Parasit Vectors. 2015; 8: 482. DOI:10.1186/s13071-0151100-2.
19. Azambuja P, Mello CB, Feder D, Garcia ES. Influence of cellular and humoral Triatominae defense system on the development of Trypanosomatides. En: Carcavallo RU, Galíndez Girón I, Juberg J, Lent H (eds). Atlas of Chagas Disease Vectors in the Americas, Vol. II. Fiocruz, Rio de Janeiro, Brazil. 1998; 709-733.
20. Wigglesworth VB. The physiology of the cuticle and of ecdysis in, with special reference to the function of the oenocytes and of the dermal glands. Quart J Micr Sci. 1933; 76: 269-318. 21 Wigglesworth VB. The role of haemocytes in the growth and moulting of an insect (Hemiptera). J Exp Biol. 1955; 32: 649-663.
21. Wigglesworth VB. The role of haemocytes in the growth and moulting of an insect (Hemiptera). J Exp Biol. 1955; 32: 649-663.
22. Jones JC. The hemocytes of Rhodnius prolixus. Biol Bull Woods Hole. 1965; 129: 282-294.
23. Lai-Fook J. The fine structure of wound repair in an insect Rhodnius prolixus. J Morphol. 1968; 124: 7-78.
24. Lai- Fook J. Haemocytes in the repair of wouns in an insect Rhodnius prolixus. J Morphol. 1970; 130: 297-314.
25. Barracco MA, Oliveira R, Schlemper JR. The hemocytes of Panstrongylus megistus (Hemiptera: Reduviidae). Mem Inst Oswaldo Cruz. 1987; 82: 431-438. DOI:10.1590/S007402761987000300017.
26. Barracco MA, Loch C. Ultraestructural studies of the hemocytes of Panstrongylus megistus (Hemiptera: Reduviidae). Mem Inst Oswaldo Cruz. 1989; 84: 171-188. DOI:10.1590/S0074-02761989000200005.
27. Azambuja P, Garcia ES, Ratcliffe NA. Aspects of classification of hemipteran hemocytes from six triatomine species. Mem Inst Oswaldo Cruz. 1991; 86: 1-10. DOI:10.1590/S007402761991000100002.
28. Hypsa V, Grubhoffer L. Two hemocyte populations in Triatoma infestans: ultrastructural and lectin-binding characterization. Folia Parasitol. 1997; 44: 62-70.
29. Mello CB, Garcia ES, Ratcliffe NA, Azambuja P. Trypanosoma cruzi and Trypanosoma rangeli: interplay with hemolymph components of Rhodnius prolixus. J Invertebr Pathol. 1995; 65: 261-268.
30. Canavoso LE, Rubiolo ER. Hemolymphatic components in vectors of Trypanosoma cruzi: Study in several species of the subfamily Triatominae (Hemiptera: Reduviidae). Rev Inst Med Trop. 1993; 35: 123-128. DOI:10.1590/S003646651993000200003.
31. Canavoso LE, Rubiolo ER. Metabolic postfeeding changes in fat body and hemolymph of Dipetalogaster maximus (Hemiptera: Reduviidae). Mem Inst Oswaldo Cruz. 1998; 93: 225-230. DOI:10.1590/S007402761998000200018.
32. Reyes-Lugo M, Girón ME, Kamiya H, Rodríguez Acosta A. A preliminary study of haemolymph from four Venezuelan populations of Panstrongylus geniculatus Latreille, 1811 (Hemiptera: Reduviidae) and its epidemiological significance. Rev Cubana Med. Trop. 2006; 58: 134-138.
33. Trinder P. Determination of glucose in blood using glucose oxidase with an alternative oxygen acceptor. Ann Clin Biochem 1969; 6: 24-27
34. Layne E. Spectrophotometric and turbidimetric methods for measuring proteins. Methods Enzymol. 1957; 10: 447-455.
35. Frings CS, Fendley TW, Dunn RT, Queen CA. Improved determination of total serum lipids by the sulfo-phospho-vanillin reaction. Clin Chem. 1972; 18: 673-674.
36. Gupta AP. Hemocyte types: their structures, synonymies, interrelationships, and taxonomic significance. In Insect Hemocytes, ed. A.P. Gupta, Cambridge: Cambridge University Press. 1979: 85-127.
37. Palacios-Prü E, Palacios L, Mendoza RV. Synaptogenetic mechanisms during chick cerebellar cortex development. J Submicrosc Cytol. 1981; 13: 145-167.
38. Reynolds ES. The use of lead citrate at high pH as an electron-opaque satín in electron microscopy. J Cell Biol. 1963; 17: 208-212.
39. Watson ML. Staining of tissue sections for electron microscopy with heavy metals. J Biophys Biochem Cytol. 1958; 4: 475-478.
40. Pacheco MA, Concepción JL, Rangel JD, Ruiz MC, Michelangeli F, Domínguez-Bello MG. Stomach lysozymes of the three-toed sloth (Bradypusvariegatus), an arboreal folivore from the Neotropics. Comp Bioch Physiol. 2007; 147: 808-819. DOI:10.1016/j.cbpa.2006.07.010.
41. Moreno J. Physiological mechanisms underlaying reproductive trade-off. Etologia. 1993; 3: 41-56.
42. Roff D. Life history evolution. Sinauer associates, Inc. USA. 2002; 132.
43. Ryan RO. Dynamics of insect lipophorin metabolism. J Lipids Res. 1990; 31: 1725-1739.
44. Flores-Villegas AL, Salazar-Schettino PM, Córdoba-Aguilar A, Gutiérrez-Cabrera AE, RojasWastavino GE, Bucio-Torres MI, et al. Immune defence mechanisms of triatomines against bacteria, viruses, fungi and parasites. Bulletin of Entomological Research. 2015; 105, 523-532.
45. Otálora-Luna F, Pérez-Sánchez AJ, Sandoval C, Aldana E. Evolution of hematophagous habit in Triatominae (Heteroptera: Reduviidae). Rev Chil Hist Nat. 2015; 88: 4.
46. Justi SA, Russo CAM, Mallet JR dos S, Obara MT, Galvão C. Molecular phylogeny of Triatomini (Hemiptera: Reduviidae: Triatominae). Parasit Vectors. 2014; 7: 149.
47. Rabinovich JE, Kitron UD, Obed Y, Yoshioka M, Gottdenker N, Chaves LF. Ecological patterns of blood-feeding by kissing-bugs (Hemiptera: Reduviidae: Triatominae). Mem Inst Oswaldo Cruz. 2011; 106: 479-494.
48. Gupta AP. Cellular elements in hemolymph. In: Kerkut, G.A., Gilbert, L.I. (Eds.), Comprehensive Insect Physiology, Biochemistry, and Pharmacology. Pergamon Press, Oxford. 1985: 401-451.
49. Caselín-Castro S, Llanderal-Cázares C, RamírezCruz A, Soto Hernández M, Méndez-Montiel JT. Caracterización morfológica de hemocitos de la hembra de Dactylopius coccus Costa (Hemiptera: Coccoidea: Dactylopiidae). Agrociencia. 2008; 42; 349-355.
50. Russo J, Allo MR, Nenon JP, Brehélin M. The hemocytes of the mealybugs Phenacoccus manihoti and Planococcus citri (Insecta: Homoptera) and their role in capsule formation. Can J Zool. 1994; 72(2): 252-258. DOI:10.1139/z94-034.
51. Azambuja P, Garcia ES. Characterization of inducible lysozyme activity in the hemolymph of Rhodnius prolixus. Braz J Med Biol Res. 1987; 20: 539-548.
52. Mello CB, Garcia ES, Ratcliffe NA, Azambuja P. Trypanosoma cruzi and Trypanosoma rangeli: interplay with hemolymph components of Rhodnius prolixus. J Invertebr Pathol. 1995; 65: 261-268.
Notas
Notas
Notas de autor
Correspondencia: Elis Aldana. Dirección: Departamento de Biología, Facultad de Ciencias, Núcleo La Hechicera, Av. Alberto Carnevalli, Universidad de Los Andes, Mérida 5101, República Bolivariana de Venezuela. Correo electrónico: elis.aldana@gmail.com. Teléfono (58) (274) 2401312.
Declaración de intereses