Casos clínicos
Fascitis necrosante clostridial asociada a neoplasia colónica perforada: importancia de un diagnóstico precoz
Necrotizing fasciitis following colon neoplasm perforation: The clue of an early detection
Fascitis necrosante clostridial asociada a neoplasia colónica perforada: importancia de un diagnóstico precoz
Revista Chilena de Cirugia, vol. 69, núm. 2, 2017
Elsevier
Recepción: 12 Junio 2016
Aprobación: 05 Agosto 2016
Resumen
Introducción: La gangrena espontánea por Clostridium septicum es una entidad poco frecuente con una alta mortalidad que se asocia a pacientes neoplásicos y/o inmunodeprimidos.
Caso clínico: Presentamos un caso de gangrena clostridial en un paciente con neoplasia de colon ascendente perforada a retroperitoneo.
Discusión-conclusiones: Aunque es poco común deberemos pensar en una infección clostridial en pacientes sépticos y sospecha de neoplasia colónica. En ausencia de diagnóstico y tratamiento precoz, el pronóstico es fatal.
Palabras clave: Clostridium septicum+ Infección necrosante+ Neoplasia colon derecho.
Abstract
Introduction: Spontaneous gangrene due to Clostridium septicum is a low frequency pathology with a high mortality rate. It is related to neoplasic and/or immunodeficient patients.
Case report: We present the case of a patient who presented clostridial gangrene associated with a perforated colon neoplasm.
Discussion-conclusions: Although it is not very common it must supposed a clostridial infection in septic patients with colon neoplasm suspect. If diagnosis and treatment are delayed the prognostic of the patient is fatal.
Keywords: enENClostridium septicum, Soft tissues necrotic infection, Right colon neoplasm.
Introducción
La gangrena espontánea por Clostridium septicum es una entidad poco frecuente con una alta mortalidad que se asocia a pacientes neoplásicos y/o inmunodeprimidos. Presentamos un caso de gangrena clostridial en un paciente con neoplasia de colon ascendente perforada a retroperitoneo. En ausencia de diagnóstico y tratamiento precoz, el pronóstico es fatal.
Caso clínico
Varón de 76 años, diabético tipo 2 que acude a urgencias por astenia, anorexia, dolor abdominal, sensación distérmica y dolor referido a cadera izquierda. Presenta masa dolorosa a nivel de fosa iliaca derecha. Analítica de urgencias: hemoglobina 8,1 g/dl, hematocrito 24,7%, leucocitos 11,8 mil/mm3 (neutrófilos 88%), coagulación y gasometría sin alteraciones. Ecografía abdominal: engrosamiento mural de íleon terminal y cecal sugestivos de proceso neoplásico. El estudio radiológico de la cadera izquierda descarta la existencia de fractura.
El paciente ingresa para completar el estudio y valorar su evolución. A las 4 h del ingreso presenta pico febril de 39 °C. Se extraen hemocultivos y se pautan, de forma empírica, imipenem y antitérmico. Doce horas más tarde persiste la fiebre, aparecen parestesias y dolor intenso en miembro inferior izquierdo, acompañado de empastamiento, crepitación y lesiones eritemato-violáceas. Analítica de ese momento: pH 7,21, pO2 45, pCO2 37 mmHg, bicarbonato 14,8 mmol/l, hemoglobina 5,5 g/l, hematocrito 15,9%, leucocitos 1,1 mil/mm3 (neutrófilos 74%), TP 31,6/TTPA 89 s.
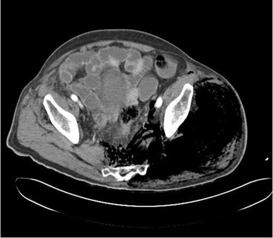
Se realiza TC abdominopélvico y de extremidades inferiores (fig. 1) que muestra: dilatación severa de asas intestinales con masa a nivel cecal, enfisema subcutáneo en glúteo izquierdo que progresa hasta la rodilla y gas a nivel de la vena cava inferior.

Se indica cirugía urgente, hallando neoplasia de ciego perforada a retroperitoneo y gangrena gaseosa de extremidad inferior izquierda que diseca planos musculares desde la rodilla izquierda hasta el retroperitoneo. Se realiza hemicolectomía derecha e ileostomía terminal, y en extremidad inferior izquierda desbridamiento de tejidos necróticos y fasciotomías (fig. 2). Se tomaron muestras para cultivos del líquido peritoneal y del tejido necrótico extirpado.

A pesar del tratamiento intensivo en UCI, 7 h más tarde el paciente fallece.
Anatomía patológica: adenocarcinoma ciego moderadamente diferenciado de alto grado de malignidad con invasión 6/21 ganglios (T3 N2 Mx).
Los hemocultivos y el cultivo del tejido necrótico fueron positivos para C. septicum sensible a imipenem. El cultivo del líquido peritoneal mostró 1-9 PMN/campo.
Discusión
Se define infección grave de partes blandas (IGPPB) a la infección profunda de la piel que se caracteriza por una rápida progresión y que afecta a tejido subcutáneo y fascia superficial sin rebasarla (fascitis) o interesa también a tejido muscular (miositis). Cuando existen datos histológicos de necrosis a dicho nivel se catalogan como necrosantes.
La infección muscular más frecuente en nuestro medio es la mionecrosis o gangrena gaseosa producida en el 80% de las ocasiones por C. septicum 1,2 . Este es un bacilo grampositivo, anaerobio comensal, parcialmente aerotolerante, formador de esporas, presente en el tracto gastrointestinal (ciego y área ileocecal) en el 2% de la población sana. La rápida proliferación y toxicidad sistémica que C. septicum causa está atribuida a la producción de 4 exotoxinas. La toxina alfa produce hemolisis intravascular, necrosis tisular extensa y aumento de la permeabilidad capilar 3 . La gangrena espontánea se asocia a pacientes con neoplasias digestivas o hematológicas en el 80% de los casos, así como a inmunodeficiencias 4 . Se postula que la disrupción de la barrera mucosa por ulceración tumoral permite una invasión hematógena de la bacteria, denominada mionecrosis metastásica o a distancia 5 . Esta disrupción de la mucosa también puede estar ocasionada por procedimientos quirúrgicos, endoscópicos, irradiación o enemas de bario. Una de las razones que se esgrime acerca de la asociación entre las infecciones clostridiales y los procesos neoplásicos es que estos generan un ambiente de hipoxia y acidosis a partir de la glicosis anaerobia tumoral, lo cual favorece la proliferación de esporas y la progresión de la infección 6 . En el caso presentado nos planteamos el diagnóstico diferencial en cuanto al mecanismo de diseminación de la infección entre los efectos sistémicos de la toxina alfa y la perforación del tumor a retroperitoneo. Por otro lado, estados de inmunosupresión como el presente en el paciente (diabetes mellitus, neoplasia…) facilitan la traslocación y progresión de la bacteria.
Las manifestaciones clínicas que se producen en una infección clostridial son muy llamativas, pero generalmente cuando aparecen la mortalidad ya es relevante, como en el caso presentado. Habitualmente llama la atención la existencia de un edema importante, bullas violáceas, presencia de gas en tejidos con crepitación, hemorragias cutáneas, anestesia y rápida progresión, además de un compromiso sistémico con inestabilidad cardiocirculatoria. El dolor intenso, desproporcionado, puede ser un signo precoz, que nos debe hacer sospechar una infección de este tipo. El diagnóstico de una mionecrosis espontánea por Clostridium es difícil 7 . No obstante, la tríada de dolor, taquicardia desproporcionada a la fiebre y crepitantes, y si además existe la sospecha diagnóstica de neoplasia ileocecal, se debe pensar en mionecrosis por Clostridium. Los signos clínicos tienen escasa utilidad en el diagnóstico temprano. Por este motivo, se han intentado elaborar modelos, utilizando parámetros clínicos y analíticos, para determinar de forma precoz la gravedad de las infecciones necrosantes de partes blandas (INPPB). El LRINEC utiliza un sistema de puntuación, basado en parámetros de laboratorio (leucocitos, electrolitos, velocidad de sedimentación globular y proteína C reactiva), estableciendo un punto de corte igual o superior a 6 para diferenciar las infecciones necrosantes 8 . En este mismo sentido, el incremento de los niveles séricos de las enzimas musculares, la hipocalcemia, la hiponatremia, la leucocitosis moderada o la trombocitopenia pueden orientar acerca de la existencia de una infección necrosante potencialmente letal, aunque su ausencia no garantiza una evolución benigna. Otros autores proponen medir mediante espectroscopia la saturación de oxígeno en los tejidos afectos. No obstante y dado que no existen parámetros claros para identificar la gravedad de una infección de partes blandas (IPPB), es fundamental realizar evaluaciones periódicas, incluso horarias, por parte del mismo facultativo para determinar la velocidad de la progresión de las lesiones.
La utilidad de las pruebas de imagen en los casos de gangrena es muy limitada, debido a la rápida evolución del cuadro 9 . La tomografía computarizada (TC) se utiliza en IPPB que puedan interesar a cavidades corporales como abdomen, pelvis o tórax por contigüidad y por su mayor disponibilidad y rapidez, por lo que puede utilizarse en pacientes inestables o con ventilación mecánica.
La toma de muestra debería obtenerse, siempre, en todo paciente con IPPB complicada. El gold standard es el cultivo de la lesión en el momento del desbridamiento quirúrgico, aunque la rentabilidad no es muy alta y la tasa de cultivo positivo es del 20-30%. Es característica en la evaluación microscópica de la biopsia la ausencia de células inflamatorias agudas en tejidos afectados y en el líquido de las bullas, así como alteración de la viabilidad, morfología y función de los PMN.
Una vez sospechada, la actuación tiene que ser precoz y agresiva. El tiempo juega en contra de la vida del paciente ya que apenas sobreviven el 35% de los afectados.
El tratamiento es fundamentalmente quirúrgico, asociado a antibioterapia de amplio espectro precoz y a altas dosis, además de reanimación agresiva y medidas de soporte vital. El retraso en el tratamiento quirúrgico se asocia en todos los estudios analizados con un aumento de la mortalidad. Tras la exploración inicial deben realizarse evaluaciones y reintervenciones periódicas diarias. Se debe instaurar además antibioterapia de amplio espectro de forma precoz que cubra microorganismos anaerobios, cocos grampositivos y bacilos gramnegativos.
Para evitar las elevadas tasas de mortalidad de estos pacientes y dado que el retraso diagnóstico-terapeútico es fatal 10 es necesario un alto índice de vigilancia y sospecha de gangrena gaseosa por C. septicum en pacientes con patología tumoral e inmunodeprimidos por su carácter oportunista.
Responsabilidades éticas
Protección de personas y animales
Los autores declaran que para esta investigación no se han realizado experimentos en seres humanos ni en animales.
Confidencialidad de los datos
Los autores declaran que han seguido los protocolos de su centro de trabajo sobre la publicación de datos de pacientes.
Derecho a la privacidad y consentimiento informado
Los autores han obtenido el consentimiento informado de los pacientes y/o sujetos referidos en el artículo. Este documento obra en poder del autor de correspondencia.
Financiación
No hay fuentes de financiación que declarar.
Conflicto intereses
Los autores declaran no tener conflictos de interés.
Bibliografía
Ustin J.S, Malangoni M.A. Necrotizing soft-tissue infections. Crit Care Med. 2011; 39:2156-62
Wall D.B, Klein S.R, Black S, de Virgilio C. A simple model to help distinguish necrotizing fasciitis from non necrotizing soft tissue infection. J Am Coll Surg. 2000; 191:227-31
Gagnière J, Raisch J, Veziant J, Barnich N, Bonnet R, Buc E, et al. Gut microbiota imbalance and colorectal cancer. World J Gastroenterol. 2016; 22:501-18
Anaya D.A, Dellinger E.P. Necrotizing soft-tissue infection: Diagnosis and management. Clin Infect Dis. 2007; 44:705
Carron P, Tagan D. Fulminant spontaneous Clostridium septicum gas gangrene. Ann Chir. 2003; 128:391-3
Stevens D.L, Bisno A.L, Chambers H.F, Dellinger E.P, Goldstein E.J, Gorbach S.L, et al. Practice guidelines for the diagnosis and management of skin and soft tissue infections: 2014 update by the Infectious Diseases Society of America. Clin Infect Dis. 2014; 59:e10-52
May A.K. Skin and soft tissue infections: The new surgical infection society guidelines. Surg Infect (Larchmt). 2011; 12:179-84
Wong C.H, Khin L.W, Heng K.S, Tan K.C, Low C.O. The LRINEC (Laboratory Risk Indicator for Necrotizing Fasciitis) score: A tool for distinguishing necrotizing fasciitis from other soft tissue infections. Crit Care Med. 2004; 32:1535-41
Arteta-Bulos R, Karim S.M. Images in clinical medicine. Nontraumatic Clostridium septicum myonecrosis. N Engl J Med. 2004; 351:e15
Wong C.H, Chang H.C, Pasupathy S, Khin L.W, Tan J.L, Low C.O. Necrotizing fasciitis: Clinical presentation, microbiology, and determinants of mortality. J Bone Joint Surg Am. 2003; 85-A:1454-60
Notas de autor
Autor para correspondencia. esti.egallego@hotmail.com