Artículo original
Recepción: 25 Abril 2016
Aprobación: 17 Mayo 2016
Resumen:
Introducción . La enfermedad diverticular es una condición degenerativa usual del colon y motivo de consulta frecuente por dolor abdominal en los servicios de urgencias. Una de las complicaciones frecuentes de esta enfermedad es la perforación del divertículo, lo cual puede resultar en neumoperitoneo, una colección abdominal o una peritonitis localizada o generalizada que, en algunos casos, requiere drenaje de la colección o tratamiento quirúrgico.
Se presentan tres casos de pacientes con diverticulitis y neumoperitoneo, que fueron tratados en forma conservadora y tuvieron una evolución satisfactoria.
Objetivos . Los objetivos del estudio fueron determinar las características de los pacientes con diverticulitis y neumoperitoneo y evaluar su evolución con tratamiento médico.
Material y métodos . Se hizo una revisión retrospectiva de una base de datos. Se evaluó la incidencia de neumoperitoneo, las características demográficas y la evolución con el tratamiento médico instaurado, en pacientes con diverticulitis atendidos en la Fundación Clínica Shaio, durante el periodo comprendido entre octubre de 2014 y octubre de 2015.
Resultados . De 60 pacientes con diagnóstico de diverticulitis, en 3 se presentó neumoperitoneo, sin evidencia de colecciones o líquido libre abdominales. Estos tres pacientes fueron manejados conservadoramente con antibióticos, obteniéndose una mortalidad nula a corto plazo, sin necesidad de manejo quirúrgico en esta hospitalización.
Conclusión . La incidencia de diverticulitis asociada a neumoperitoneo sin colecciones abdominales o líquido libre, es poco frecuente en el servicio de urgencias. En pacientes seleccionados, se recomienda un tratamiento inicial conservador, con antibiótico y control sintomático, con lo cual se obtienen buenos resultados.
Palabras clave: divertículo del colon, diverticulitis, neumoperitoneo, terapia.
Abstract:
Introduction : Diverticular disease is an usual degenerative condition of the colon and frequent cause of consultation in the emergency departments because of abdominal pain. Perforation is a common complication and may result in pneumoperitoneum, an abdominal collection or peritonitis requiring drainage or surgical management. We report three patients with diverticulitis and pneumoperitoneum who received conservative treatment with adequate evolution.
Objective : The aims of this study were to determine the characteristics of the patients with diverticulitis and pneumoperitoneum, and to evaluate their clinical course under medical nonoperative treatmet.
Material and methods : Retrospective review of a prospectively set database. We evaluated the incidence of diverticulitis and pneumoperitoneum at the Shaio Clinic Foundation, Bogotá, Colombia, in the period October 2014 and October 2015, and additionaly described the outcomes with the medical management.
Results : Among 60 patients with the diagnosis of diverticulitis, three had pneumoperitoneum (incidence of 5%) with no evidence of abdominal collections or free fluid in the peritoneal cavity. The three patients were managed with conservative antibiotic treatment, ending without short term mortality and no need of surgical intervention during their hospital stay.
Conclusion : The incidence of diverticulitis and pneumoperitoneum without collections or free liquid is considerable. We believe that in select patients the conservative management should be the first line of treatment with a low rate of morbidity and mortality.
Keywords: diverticulum, colon, diverticulitis, pneumoperitoneum, therapy.
Introducción
La enfermedad diverticular es una condición degenerativa frecuente del colon: se presenta en 50 % de la población general después de los 60 años de edad. La inflamación de los divertículos, o diverticulitis, es un motivo de consulta habitual, la cual puede acompañarse de perforación 1, 2.
La perforación diverticular se evidencia en las imágenes diagnósticas con neumoperitoneo, líquido libre o colecciones abdominales, y puede requerir tratamiento quirúrgico 2, cuya tasa de morbilidad y mortalidad varía entre el 40 y el 44 % y entre el 4,4 y el 23,7 %, respectivamente 3.
El tratamiento de los pacientes con enfermedad diverticular y neumoperitoneo es controversial, dada la concepción de que el aire externo a la luz intestinal es indicativo de cirugía3,4.
Se presentan tres casos de pacientes con enfermedad diverticular y neumoperitoneo, que recibieron únicamente tratamiento médico y presentaron una adecuada evolución.
Material y métodos
Se hizo una revisión retrospectiva de una base de datos. Se revisaron las historias clínicas y la imaginología de 60 pacientes que ingresaron al Servicio de Urgencias de la Fundación Clínica Shaio con diagnóstico de diverticulitis, en el periodo comprendido entre octubre del 2014 y octubre del 2015. El diagnóstico de diverticulitis se hizo con la tomografía computarizada (TC) abdominal con contraste, practicada en la misma institución en todos los pacientes.
Se evaluó la frecuencia de presentación de neumoperitoneo, sin colecciones ni líquido libre abdominal, y su evolución con el tratamiento médico.
El tratamiento médico consistió en la administración de líquidos intravenosos, de analgésicos y de antibióticos intravenosos, mínimo durante cinco días; se utilizó ciprofloxacina más metronidazol o ampicilina sulbactam más metronidazol.
Se evaluaron las características demográficas y la evolución clínica, teniendo en cuenta la mejoría de la sintomatología, la estancia hospitalaria, la aparición de complicaciones, la necesidad de cirugía y la mortalidad durante la misma hospitalización.
Resultados
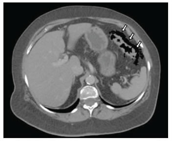
De los 60 pacientes que ingresaron con diagnóstico de diverticulitis, 3 (5 %) presentaron neumoperitoneo sin ningún otro hallazgo radiológico asociado (figura 1). Los tres eran del sexo femenino, con una media de edad de 67 años (rango: 61 a 72), y presentaban dolor abdominal progresivo en el hemiabdomen izquierdo que había aparecido tres a cinco días antes de consultar al servicio de urgencias,

En el examen físico se encontró dolor abdominal en la misma localización sin signos de irritación peritoneal, asociado a taquicardia y solo una de ellas presentaba fiebre y leucocitosis.
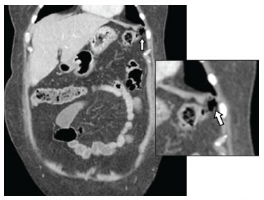
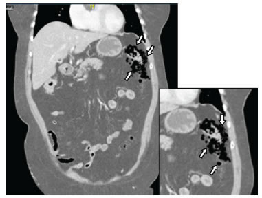
En las tres pacientes, la TC abdominal con contraste mostró el neumoperitoneo pericólico o localizado a menos de 5 cm del asa inflamada sin aire distante (figuras 2 y 3); dos presentaron divertículos en el ángulo esplénico, colon descendente y sigmoide, y una en el colon sigmoide únicamente.

La diverticulitis en las tres pacientes fue de grado Ia por la presencia de inflamación pericólica y la clasificación de Hinchey modificada por Wasvary, y grave por la presencia de aire externo a la luz intestinal en la TC y la clasificación de Ambrosetti (tabla 1) 5.

El tratamiento antibiótico se administró por vía intravenosa con dos esquemas diferentes: en una paciente, ciprofloxacina más metronidazol durante cinco días, y en las otras dos, ampicilina sulbactam más metronidazol durante seis días. No se presentaron complicaciones y la estancia hospitalaria fue de cinco días en una de las pacientes y de seis en las otras dos. A las tres se les dio salida estando asintomáticas y completaron un ciclo de 10 días con el mismo esquema por vía oral.

Discusión
La enfermedad diverticular es una enfermedad degenerativa del colon, frecuente en adultos y directamente proporcional a la edad. Entre sus complicaciones, el neumoperitoneo genera preocupación por su asociación con la necesidad de un procedimiento quirúrgico.
Su presentación clínica usual es la de un paciente mayor de 60 años con dolor abdominal de intensidad variable, generalmente en el cuadrante inferior izquierdo, asociado a anorexia, estreñimiento, náuseas, diarrea e, inclusive, disuria; además, temperatura mayor de 39 ºC, aunque en ocasiones se puede presentar sin fiebre6, 7. Las tres pacientes presentadas eran mayores de 60 años, con cuadro clínico de dolor abdominal localizado en el hemiabdomen izquierdo, sin signos de irritación peritoneal ni abdomen agudo y con estabilidad hemodinámica, lo que permitió practicar estudios complementarios y descartar la cirugía de urgencias. Como método diagnóstico se utilizó la TC abdominal con contraste, con la cual se obtienen buena sensibilidad y especificidad 8,9,10.
En este estudio, se sostiene que el tratamiento no quirúrgico es efectivo y seguro en pacientes con enfermedad diverticular y neumoperitoneo.
La presente revisión incluyó 60 pacientes y se encontró una incidencia de 5 % de neumoperitoneo, sin colecciones líquidas ni abscesos, diagnosticado por TC. Las tres pacientes con neumoperitoneo recibieron tratamiento médico con antibióticos, tuvieron una adecuada evolución y al egreso estaban asintomáticas. Nuestros resultados se correlacionan con los encontrados por Sallinen, et al., quienes reportaron una tasa de éxito del 86 % en pacientes con características similares, con una mortalidad de 0 % 4. Dharmarajan, et al., informaron tratamientos no quirúrgicos en 124 pacientes de 131, con tasas de éxito de más del 90 %, evitando la necesidad de cirugía urgente y la probable creación de un estoma 11; Saikh y Krukowski informaron sobre 232 pacientes admitidos con diverticulitis aguda, con una tasa de éxito del 95 % sin tratamiento quirúrgico 12.
La estancia hospitalaria de estas tres pacientes fue de 5,7 días, menor a la reportada por Costi, et al., que fue de 7,7 días probablemente por la inclusión de pacientes con presencia de líquido libre y colecciones intrabdominales asociados al neumoperitoneo 3, 11.
Conclusiones
Aunque reconocemos que el presente estudio cuenta con limitaciones como el pequeño tamaño de la muestra y que es un estudio retrospectivo, consideramos que el tratamiento médico con antibióticos en casos de diverticulitis con neumoperitoneo, sin colecciones ni líquido libre en el abdomen y sin signos de abdomen quirúrgico, puede ser una opción razonable.
Se requieren más estudios en nuestro medio para determinar la seguridad de esta alternativa terapéutica.
Referencias
1. Tãnase I, Pãun S, Stoica B, Negoi I, Gaspar B, Beuran M. Epidemiology of the diverticular disease - systematic review of the literature. Chirurgia (Bucur). 2015;110:9-14.
2. Morris CR, Harvey IM, Stebbings WSL, Hart AR. Incidence of perforated diverticulitis and risk factors for death in a UK population. Br J Surg. 2008;95:876-81.
3. Costi R, Cauchy F, Le Bian A, Honart J, Creuze N, Smadja C. Challenging a classic myth: Pneumoperitoneum associated with acute diverticulitis is not an indication for open or laparoscopic emergency surgery in hemodynamically stable patients. A 10-year experience with a nonoperative treatment. Surg Endosc. 2012;26:2061-71.
4. Sallinen VJ, Mentula PJ, Leppäniemi AK. Nonoperative management of perforated diverticulitis with extraluminal air is safe and effective in selected patients. Dis Colon Rectum. 2014; 57:875-81.
5. Klarenbeek BR, de Korte N, van der Peet DL, Cuesta MA. Review of current classifications for diverticular disease and a translation into clinical practice. Int J Colorectal Dis. 2012;27:207-14.
6. Touzios JG, Dozois EJ. Diverticulosis and acute diverticulitis. Gastroenterol Clin North Am. 2016;38:513-25.
7. Wilkins T, Embry K, George R. Diagnosis and management of acute diverticulitis. Am Fam Physician. 2013;87:612-20.
8. Chintapalli KN, Chopra S, Ghiatas AA, Esola CC, Fields SF, Dodd GD 3rd. Diveriticulitis versus colon cancer: Differentiation with helical CT findings. Radiology. 1999; 210:429-35.
9. Chou YH, Chiou HJ, Tiu CM, Chen JD, Hsu CC, Lee CH, et al. Sonography of acute right side colonic diverticulitis. Am J Surg. 2001;181:122-7.
10. Martínez CE. Manejo de la enfermedad diverticular del colon: el papel de la cirugía. Rev Colomb Gastroenterol. 2010;25:362-6.
11. Dharmarajan S, Hunt SR, Birnbaum EH, Fleshman JW, Mutch MG. The efficacy of nonoperative management of acute complicated diverticulitis. Dis Colon Rectum. 2011;54:663-71.
12. Shaikh S, Krukowski ZH. Outcome of a conservative policy for managing acute sigmoid diverticulitis. Br J Surg (Internet). 2007 Jul (cited 2016 Aug 17);94(7):876-9.
Notas de autor
bborraez@hotmail.com
Información adicional
Citar como:
Apolinar AF, Arévalo C, Gómez DF, Borráez BA.Diverticulitis y neumoperitoneo: una condición no siempre quirúrgica. Rev Colomb Cir. 2016:31:165-9.
Correspondencia: Bernardo A. Borráez, MD,
Bogotá, D.C., Colombia.
bborraez@hotmail.com