Presentación de caso
Isquemia mesentérica crónica en una anciana con demencia: un reto diagnóstico
Chronic mesenteric ischemia in an elderly woman with dementia: a diagnostic challenge
Isquemia mesentérica crónica en una anciana con demencia: un reto diagnóstico
Revista Colombiana de Cirugía, vol. 32, núm. 3, pp. 229-235, 2017
Asociación Colombiana de Cirugía

Recepción: 31 Mayo 2016
Aprobación: 23 Noviembre 2016
Resumen:
El dolor abdominal es una causa frecuente de consulta al servicio de urgencias y la población anciana no es ajena a esta situación. En este grupo de pacientes, la dificultad en el enfoque diagnóstico radica en sus características particulares, como múltiples enfermedades concomitantes, medicación múltiple, deterioro cognitivo y cuidadores con pobre información, situaciones que favorecen múltiples consultas que llevan a diagnósticos erróneos y tardíos. Una de las causas de dolor abdominal en los ancianos son las catástrofes vasculares, como la angina mesentérica, enfermedad poco frecuente y con gran mortalidad, dado que su diagnóstico y su tratamiento son tardíos por la presentación atípica en esta población. Se reporta el caso de una paciente con antecedentes de demencia vascular, que consultó por dolor abdominal crónico y a quien se le diagnosticó angina mesentérica crónica.
Palabras clave: anciano, salud del anciano, demencia vascular, dolor abdominal, isquemia mesentérica, oclusión vascular mesentérica.
Abstract: Abdominal pain is a common cause of visit to the emergency room and the elderly population is prone to present this situation. In this group of patients the difficulty lies in its particular features, like multiple comorbidities and multiple medications, cognitive impairment and poorly informed caregivers, a situations that favors multiple consultations leading to inaccurate and delayed diagnoses. A cause of abdominal pain in the elderly includes vascular catastrophes, such as mesenteric angina, an infrequent disease associated high mortality because diagnosis and treatment are delayed by virtue of the atypical presentation in this population. We report the case of an elderly female with history of vascular dementia who consulted for chronic abdominal pain that was diagnosed as chronic mesenteric angina.
Keywords: Aged, health of the elderly, dementia, vascular, abdominal pain, mesenteric ischemia, mesenteric vascular occlusion.
Introducción
La expectativa de vida en países como Colombia cada vez se aproxima más a la de los países desarrollados, aunque probablemente el perfil de salud sea diferente, debido a factores demográficos; estos países son más vulnerables, así mejoren sus condiciones socioeconómicas 1,2. En las últimas décadas, se ha disminuido la prevalencia de las enfermedades infecciosas y ha aumentado la de las enfermedades crónicas, con mayor morbilidad y mortalidad 3,4. De esta manera, en los servicios de urgencias se atienden cada vez más pacientes ancianos y se observa una mayor frecuencia de procedimientos quirúrgicos en esta población.
Un motivo frecuente de consulta en el servicio de urgencias es el dolor abdominal en el anciano 5; sus causas son similares a las de la población general e incluyen colelitiasis, apendicitis, pancreatitis, enfermedad acidopéptica y obstrucción intestinal 6. Entre las causas de dolor abdominal, se encuentra la isquemia mesentérica, condición poco frecuente y cuya presentación clínica es inespecífica, lo cual dificulta el diagnóstico y coloca en riesgo la vida de los pacientes, aun bajo el cuidado de profesionales de la salud con experiencia. Entre las variables que hacen complejo determinar su etiología en este grupo de pacientes, se encuentran los cambios fisiológicos, las dificultades en el interrogatorio por el deterioro cognoscitivo, la ausencia de un cuidador, la percepción alterada del dolor y la múltiple medicación, entre otras 7.
Una de las variables asociadas que dificulta el diagnóstico del dolor abdominal en el anciano es la demencia. Esta se denomina, según los criterios diagnósticos propuestos en el DSM-5, como trastorno neurocognitivo mayor y se define como la presencia de un declive cognitivo sustancial desde un nivel previo de mayor desempeño en uno o más de los dominios cognitivos; estos déficits cognitivos son suficientes para interferir con la independencia, no ocurren exclusivamente en el contexto de un delirio, ni tampoco son atribuibles de forma primaria a la presencia de otros trastornos mentales 8. Se estima que la demencia tiene una prevalencia del 10 % en ancianos residentes en la comunidad; sin embargo, muchos médicos desconocen este antecedente patológico y fallan en no documentarlo, ya que tanto pacientes como familiares no lo comunican al personal médico 9,10.
Entre las causas poco frecuentes de dolor abdominal, se encuentra la enfermedad vascular abdominal, la cual se subdivide en tres formas clínicas: isquemia mesentérica aguda, isquemia mesentérica crónica y colitis isquémica.
En la isquemia mesentérica aguda se produce una interrupción abrupta del flujo sanguíneo y la oxigenación en un territorio definido. Es un trastorno poco común, presente en 1 de cada 1.000 ingresos hospitalarios de pacientes entre los 60 y los 70 años de edad, con múltiples enfermedades concomitantes, como aleteo auricular (flutter), fibrilación auricular, enfermedad coronaria e insuficiencia cardiaca 11. Sus principales causas son embolia arterial (50-60 %), trombosis arterial (25-30 %), isquemia mesentérica no oclusiva (20-25 %) y trombosis mesentérica venosa (10 %) 2.
La isquemia mesentérica crónica se caracteriza por episodios transitorios y recurrentes de bajo flujo sanguíneo intestinal, en los cuales hay incapacidad para mantener el incremento requerido ante mayores demandas; se presenta en pacientes con factores de riesgo cardiovascular, como hipertensión arterial sistémica, diabetes o tabaquismo 2,12. Su incidencia se estima en 1 por cada 100.000 ingresos hospitalarios y menos del 2 % de todas las admisiones por causas gastrointestinales. Es más frecuente en mujeres entre los 40 y los 90 años de edad. Su principal causa es la enfermedad ateroesclerótica (90 %) 13. Los síntomas son inespecíficos en 78 % de los casos. Cursa con dolor abdominal posprandial, sitofobia y pérdida de peso; esto hace que el diagnóstico se oriente a otras probabilidades, por lo cual se requiere una alta sospecha diagnóstica 14.
Para el diagnóstico de esta enfermedad no se cuenta con una prueba de referencia disponible; la bioquímica sanguínea puede mostrar amilasemia, deshidrogenasa láctica, creatinina fosfocinasa, transaminasas todas elevadas, hemoconcentración, leucocitosis, acidosis láctica e hipercalemia, pese a esto todas son inespecíficas 2,15. Los estudios de imágenes, como las radiografías simples y con bario de abdomen, no tienen buena especificidad ni sensibilidad 15. La angiotomografía con multidetector debería ser el estudio inicial, dada su sensibilidad y especificidad que superan el 90 %, sin embargo, no siempre están disponibles 2.
Por lo anterior, entre las posibilidades diagnósticas del dolor abdominal en el paciente anciano, se debe considerar la enfermedad vascular abdominal 15. Se presenta el caso de una anciana con enfermedad aterosclerótica, dolor abdominal y demencia, en quien se diagnosticó isquemia mesentérica crónica.
Presentación del caso
Se trata de una mujer de 79 años de edad, con antecedentes médicos de enfermedad cerebrovascular isquémica, fibrilación auricular permanente, hipertensión arterial sistémica, tabaquismo pesado y demencia vascular, en tratamiento con enalapril, diltiazem, dabigatrán, atorvastatina y sertralina. Consultó al servicio de urgencias con un cuadro clínico de dos años de evolución de dolor abdominal posprandial en el hipocondrio derecho y, últimamente, sitofobia y pérdida de peso no intencionada de seis kilogramos, aproximadamente. Dos días antes de la consulta, se exacerbó el dolor abdominal y se acompañó de emesis biliosa, sin fiebre, diarrea ni distensión abdominal.
En el examen físico, se encontró una paciente confusa, desorientada en tiempo, hidratada, no ictérica y sin dificultad respiratoria. Los signos vitales fueron: tensión arterial, 130/80 mmHg; frecuencia cardiaca, 82 por minuto; frecuencia respiratoria, 18 por minuto, y temperatura, 36,5 °C. Los ruidos cardiacos eran arrítmicos; el abdomen no estaba distendido, había dolor a la palpación en el epigastrio y el hipocondrio derecho; el signo de Murphy era negativo; no había signos de irritación peritoneal, y los pulsos distales estaban presentes en los miembros inferiores.
Los resultados iniciales de los exámenes de laboratorio fueron normales, con excepción de la hemoglobina (11,9 g/dl).
En la valoración por cirugía general, no se encontró abdomen agudo; en la ecografía de hígado y vías biliares se encontró un hígado graso, sin colelitiasis, barro biliar ni dilatación del colédoco, y en la endoscopia de vías digestivas se documentó una gastropatía antrocorporal no erosiva y atrófica.
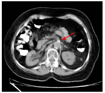
Fue hospitalizada en el servicio de geriatría; en la tomografía computarizada (TC) con contraste de abdomen se observó esteatosis hepática difusa, enfermedad arterioesclerótica aórtica grave y diverticulosis leve no complicada en el colon (figura 1). En el aortograma se documentó estenosis del 70 % de la arteria mesentérica superior y de la arteria renal derecha, del 30 % del tronco celiaco, del 40 % de la arteria mesentérica superior y del 90 % de la arteria iliaca común izquierda (figura 2).


Por el riesgo de trombosis mesentérica e isquemia intestinal grave, la paciente se sometió a una angioplastia periférica de la arteria mesentérica superior con colocación de una endoprótesis (stent), procedimiento se que llevó a cabo sin complicaciones (figura 3).

La evolución fue satisfactoria; al día siguiente no presentaba dolor posprandial, náuseas ni vómito, y se había resuelto la sitofobia. En conjunto con el Servicio de Hemodinamia, se decidió darla de alta con tratamiento antiplaquetario dual y sin dabigatrán, por el alto riesgo de sangrado; tenía total tolerancia a la vía oral.
Discusión
El dolor abdominal es una causa frecuente de consulta en el servicio de urgencias, con aproximadamente, el 10 % de los ingresos. De los pacientes ancianos que consultan a este servicio, el 50 % son hospitalizados y del 30 al 40 % requieren cirugía, por lo tanto, representan un alto costo para los servicios de salud 16,17.
La isquemia mesentérica ocurre cuando el flujo sanguíneo del tubo digestivo es inadecuado para suplir las necesidades metabólicas 2. Está representada por dos formas clínicas fundamentales, la isquemia mesentérica aguda y la isquemia mesentérica crónica 2,15. La forma aguda tiene una incidencia de 1 por cada 1.000 ingresos hospitalarios; la forma crónica tiene una incidencia de 1 por cada 100.000 ingresos y corresponde a menos de 2 % de todas las admisiones por causas gastrointestinales 11,13, es decir, es una enfermedad poco común.
Para hacer el diagnóstico de la isquemia mesentérica, es necesario un enfoque inicial del dolor abdominal, el cual debe clasificarse como agudo o crónico 18. En el presente caso, era un dolor crónico, cuya etiología usualmente es funcional; sin embargo, hubo signos de alarma que podrían no presentarse con trastornos funcionales, como la edad de presentación, la pérdida de peso y la sitofobia; de ahí, la necesidad de buscar causas orgánicas, especialmente, porque la sintomatología obligó a la consulta de urgencias. Los síntomas descritos, además de las manifestaciones semiológicas poco características y el antecedente de demencia, resultaron ser un reto diagnóstico 5,7.
Para caracterizar el dolor abdominal agudo, se han establecido cuatro categorías: obstructivo, inflamatorio, asociado a otras enfermedades o causado por catástrofes vasculares 5.
En esta paciente, el examen físico y algunos datos clínicos no orientaban a una obstrucción, pues no había distensión abdominal, hernias ni cirugías previas, y la radiografía de abdomen no mostraba niveles hidroaéreos. La segunda categoría, la inflamatoria, incluye una amplia variedad de causas, como colelitiasis, apendicitis, pancreatitis, enfermedad acidopéptica y diverticulitis 5,6,7, las cuales se presentan con dolor abdominal y emesis; no obstante, en este caso nunca hubo signos de irritación peritoneal. Además, la evolución clínica y los estudios imagenológicos, endoscópicos y de laboratorio no sugerían estas condiciones, y no hubo ningún signo clínico o paraclínico de reacción inflamatoria sistémica.
En la tercera categoría, el dolor se presenta con condiciones médicas como crisis diabéticas, neumonía o insuficiencia cardiaca, y el diagnóstico tardío de la isquemia mesentérica empobrece el pronóstico 15. También, es muy importante tener presentes la enfermedad coronaria y las enfermedades pulmonares; no obstante, en este caso, el electrocardiograma solo reveló fibrilación auricular, la radiografía de tórax fue normal y no había antecedentes de diabetes mellitus.
Tras el ejercicio diagnóstico y sin identificar una causa clara de su motivo de consulta, finalmente, se llegó a la última categoría del dolor abdominal, la relacionada con catástrofes vasculares. Fue importante revalorar los datos obtenidos de la paciente, buscar más información con los familiares y reevaluar los exámenes paraclínicos solicitados. En la TC de abdomen se reportó gran extensión de placas ateromatosas en la aorta abdominal y en la arteria mesentérica, por lo tanto, era posible una enfermedad vascular intestinal: la isquemia aguda o la crónica.
En 40 a 50 % de los casos, la etiología de la isquemia mesentérica aguda es la embolia arterial, la cual tiende a localizarse en la arteria mesentérica superior por su nacimiento oblicuo; la segunda causa (25-30 %) es la trombosis arterial, también originada en la mesentérica superior. La diferencia entre estas dos causas radica en su presentación clínica, pues la trombosis arterial puede manifestarse con un pródromo, cursar inicialmente como una isquemia mesentérica crónica, y luego, al igual que la isquemia mesentérica aguda 2,19, con dolor abrupto desproporcionado para los hallazgos al examen físico.
Esto no correspondía con la presentación clínica del presente caso. No obstante, diferenciar clínicamente entre la isquemia mesentérica aguda y la crónica, suele ser difícil, y el retraso en el diagnóstico conlleva un peor pronóstico, puesto que es una verdadera catástrofe abdominal con una mortalidad superior al 50 % y es la más frecuente de las emergencias vasculares (95 %) 2.
Por otra parte, la evolución de la paciente y los hallazgos imagenológicos no indicaban una isquemia mesentérica aguda; no presentó deterioro hemodinámico, signos de sepsis ni elevación de los reactantes de fase aguda 2,14,15. No obstante, debía considerarse el diagnóstico de isquemia mesentérica aguda, por ser mayor de 50 años, tener historia de fibrilación auricular y otros factores cardiovasculares de riesgo 2.
La presentación clínica sugirió un proceso crónico y de circulación colateral 15,19. Al compararla con la forma aguda, en la isquemia mesentérica crónica el 70 % de los pacientes son de sexo femenino, y son síntomas frecuentes el dolor abdominal, el dolor posprandial y la pérdida de peso, lo que concuerda con las manifestaciones de esta paciente 14,20.
En casos de isquemia mesentérica aguda, se sabe que el diagnóstico temprano es muy importante para el pronóstico y no existe una prueba diagnóstica estándar. Como en el presente caso no había una indicación para laparotomía de urgencia, el siguiente paso fue practicar una angiografía mesentérica por la sospecha de isquemia mesentérica crónica, sustentada en el cuadro clínico, los factores de riesgo y los resultados de los estudios; este estudio ayuda a diferenciar entre embolia y trombosis en casos de isquemia mesentérica aguda, mejorando la supervivencia 2,20.
Existen dos opciones principales de tratamiento, la reperfusión endovascular y la quirúrgica. La cirugía ofrece mayor probabilidad de permeabilidad vascular a cinco años 20,21,22,23. Con el tratamiento endovascular, se reducen las complicaciones posquirúrgicas, la estancia hospitalaria, el costo, la invasión para el paciente y las complicaciones anestésicas 24,25.
Zacharias, et al., llevaron a cabo un estudio retrospectivo para identificar factores predictores de fracaso de la reperfusión quirúrgica o endovascular. En comparación con la cirugía, se encontró que, en los casos de tratamiento endovascular los pacientes eran más ancianos (73 Vs. 66 años; p=0,014) y había mayor tasa de lesiones cortas (≤2 cm) en el angiograma (23 Vs. 47 %; p=0,004), menor tasa de permeabilidad vascular a los tres años (91 Vs. 74 %; p=0,018), mayor supervivencia (95 Vs. 78 %; p=0,003), y estancia más corta en la unidad de cuidados intensivos (p<0,001); no hubo diferencia en la mortalidad entre ambos grupos (5,2 Vs. 11 %; p=0,165). Al analizar los casos de fracaso terapéutico, se encontró que, con el tratamiento endovascular, había mayor tasa de enfermedad aórtica oclusiva (86 Vs. 49 %, p=0,005), lesiones más largas (57 Vs. 12 %; p<0,001) y mayor mortalidad perioperatoria (15 Vs. 2 %; p=0,009) 24.
En otro estudio comparativo entre reperfusión quirúrgica y endovascular, la primera también brindó mayor calidad de vida ajustada por años (10,3 Vs. 9,56) y menor costo (USD $ 38.217 Vs. USD $ 39.942), en ancianos 25. No obstante, deben tenerse en cuenta las enfermedades concomitantes, pues en los análisis multivariados se ha demostrado que tener más de 80 años, diabetes mellitus, enfermedad renal crónica en estadio IV-V o dependencia de oxígeno, son factores independientes de la mortalidad (p<0,05); además, la diabetes y la enfermedad renal crónica son factores independientes para muerte relacionada con complicaciones mesentéricas 26.
Actualmente, existen múltiples estudios en los cuales se evalúan el tratamiento quirúrgico abierto y el endovascular 15,22,23,27,28,29,30. En un estudio en los Estados Unidos de 22.413 pacientes con isquemia mesentérica crónica sometidos a reperfusión, se encontró que con el tratamiento endovascular, la mediana de la estancia hospitalaria fue menor (5 Vs. 11 días; p<0,001) y, también, la morbilidad (20 Vs. 38 %; p<0,001); en el análisis multivariado, la mortalidad fue cinco veces mayor en el grupo de reperfusión abierta (odds ratio, OR=5,1) (IC95% 3,1-8,4; p=0,001) 23.
En una revisión sistemática de 43 estudios observacionales y retrospectivos sobre pacientes con isquemia mesentérica crónica sometidos a reperfusión endovascular o abierta, se encontró menor mortalidad a 30 días con el procedimiento endovascular (3,56 Vs. 7,23 %; p<0,001). No se observó diferencia en la mortalidad en los primeros cinco años después de la intervención, aunque con la reperfusión quirúrgica hubo mayor permeabilidad vascular a cinco años (80,9 Vs. 49,12 %; p>0,001) 22.
Con base en esta información, la edad y las enfermedades concomitantes en el presente caso, consideramos que el tratamiento endovascular era la mejor opción.
Conclusiones
El dolor abdominal es una causa frecuente de consulta en el servicio de urgencias y se convierte en un reto diagnóstico en los ancianos, grupo poblacional en crecimiento constante, cuyas condiciones fisiológicas y sociales son muy particulares, lo cual dificulta y retrasa el diagnóstico, y aumenta la probabilidad de complicaciones durante el tratamiento. Esta situación se torna más compleja en ancianos con demencia, pues las manifestaciones clínicas pueden ser atípicas y el deterioro cognoscitivo limita la anamnesis y el examen físico.
En este grupo etario, es recomendable caracterizar el dolor abdominal según su etiología (inflamatoria, obstructiva, médica o vascular) para descartar de manera secuencial sus diferentes causas. En condiciones poco frecuentes, como la isquemia mesentérica crónica, el reto diagnóstico es aún mayor, dado que los síntomas son inespecíficos y los estudios paraclínicos aportan poco. La historia clínica, el examen físico y el juicio clínico siguen siendo el pilar para un diagnóstico y un tratamiento acertados.
Se ha demostrado que la reperfusión endovascular produce mejores resultados a mediano plazo en morbilidad, mortalidad, complicaciones hospitalarias y calidad de vida, aunque a cinco años hay un mayor riesgo de requerir nuevas intervenciones; no obstante, se plantea como una buena opción, especialmente en ancianos frágiles.
Se requiere el concurso de un equipo multidisciplinario para brindar un tratamiento integral y bien orientado, especialmente en este grupo de pacientes.
Aunque en este informe solo se describe un caso, puede ayudar a generar hipótesis y discusiones para futuros estudios y para el manejo de pacientes con sintomatología similar. En Colombia, se desconoce el comportamiento epidemiológico de esta enfermedad y, a partir de reportes de casos, se podría avanzar en este aspecto.
Referencias
1. Palloni A, McEniry M. Aging and health status of elderly in Latin America and the Caribbean: Preliminary findings. J Cross Cult Gerontol. 2007;22:263-85.
2. Ozden N, Gurses B. Mesenteric ischemia in the elderly. Clin Geriatr Med. 2007;23:871-87.
3. Jin F, Chung F. Minimizing perioperative adverse events in the elderly. Br J Anaesth. 2001;87:608-24.
4. Cohen RR, Lagoo-Deenadayalan SA, Heflin MT, Sloane R, Eisen I, Thacker JM, et al. Exploring predictors of complication in older surgical patients: A deficit accumulation index and the Braden Scale. J Am Geriatr Soc. 2012;60:1609-15.
5. Ocampo-Chaparro JM, González-Hadad A. Acute abdomen in the elderly. Rev Colomb Cir. 2006;21:266-82.
6. Lyon C, Clark DC. Diagnosis of acute abdominal pain in older patients. Am Fam Physician. 2006;74:1537-44.
7. Laurell H, Hansson LE, Gunnarsson U. Acute abdominal pain among elderly patients. Gerontology. 2006;52:339-44.
8. López-Álvarez J, Agüera-Ortiz LF. Nuevos criterios diagnósticos de la demencia y la enfermedad de Alzheimer: una visión desde la psicogeriatría. Psicogeriatría. 2015;5:3-14.
9. Shah MN, Jones CM, Richardson TM, Conwell Y, Katz P, Schneider SM. Prevalence of depression and cognitive impairment in older adult emergency medical services patients. Prehosp Emerg Care. 2011;15:4-11.
10. Levine SK, Sachs GA, Jin L, Meltzer D. A prognostic model for 1-year mortality in older adults after hospital discharge. Am J Med. 2007;120:455-60.
11. Martin M, Wyers M. Mesenteric vascular disease: Acute ischemia. En: Cronenwett JL, editor. Rutherford's Vascular Surgery. Eighth edition. Philadelphia: Elsevier Inc.; 2014. p. 2398-413.
12. Park WM, Gloviczki P, Cherry KJ, Jr., Hallett JW, Jr., Bower TC, Panneton JM, et al. Contemporary management of acute mesenteric ischemia: Factors associated with survival. J Vasc Surg. 2002;35:445-52.
13. Oderich G. Mesenteric vascular disease: Chronic ischemia. Cronenwett JL, editor. Rutherford's Vascular Surgery. Eighth edition. Philadelphia: Elsevier Inc.; 2014. p. 2373-97
14. Silva JA, White CJ. Ischemic bowel syndromes. Prim Care. 2013;40:153-67.
15. Cangemi JR, Picco MF. Intestinal ischemia in the elderly. Gastroenterol Clin North Am. 2009;38:527-40.
16. Singal BM, Hedges JR, Rousseau EW, Sanders AB, Berstein E, McNamara RM, et al. Geriatric patient emergency visits. Part I: Comparison of visits by geriatric and younger patients. Ann Emerg Med. 1992;21:802-7.
17. Strange GR, Chen EH, Sanders AB. Use of emergency departments by elderly patients: Projections from a multicenter data base. Ann Emerg Med. 1992;21:819-24.
18. Drossman DA, Li Z, Andruzzi E, Temple RD, Talley NJ, Thompson WG, et al. U.S. householder survey of functional gastrointestinal disorders. Prevalence, sociodemography, and health impact. Dig Dis Sci. 1993;38:1569-80.
19. Sise MJ. Acute mesenteric ischemia. Surg Clin North Am. 2014;94:165-81.
20. White CJ. Chronic mesenteric ischemia: Diagnosis and management. Prog Cardiovasc Dis. 2011;54:36-40.
21. Jiménez CE, Valencia Á, Correa JR. Surgical treatment of chronic mesenteric ischemia: Literature review and case presentation. Rev Colomb Cir. 2012;27:55-62.
22. Pecoraro F, Rancic Z, Lachat M, Mayer D, Amann-Vesti B, Pfammatter T, et al. Chronic mesenteric ischemia: Critical review and guidelines for management. Ann Vasc Surg. 2013;27:113-22.
23. Schermerhorn ML, Giles KA, Hamdan AD, Wyers MC, Pomposelli FB. Mesenteric revascularization: Management and outcomes in the United States, 1988-2006. J Vasc Surg. 2009;50:341-8.
24. Zacharias N, Eghbalieh SD, Chang BB, Kreienberg PB, Roddy SP, Taggert JB, et al. Chronic mesenteric ischemia outcome analysis and predictors of endovascular failure. J Vasc Surg. 2016;63:1582-7.
25. Hogendoorn W, Hunink MG, Schlosser FJ, Moll FL, Muhs BE, Sumpio BE. A comparison of open and endovascular revascularization for chronic mesenteric ischemia in a clinical decision model. J Vasc Surg. 2014;60:715-25.
26. Tallarita T, Oderich GS, Gloviczki P, Duncan AA, Kalra M, Cha S, et al. Patient survival after open and endovascular mesenteric revascularization for chronic mesenteric ischemia. J Vasc Surg. 2013;57:747-55.
27. Ke SR, Chiang FT. Endovascular therapy for a patient with chronic mesenteric ischemia. J Formos Med Assoc. 2010;109:315-9.
28. McGarry JG, McEvoy SH, Brophy DP. Endovascular recanalisation of an acute superior mesenteric artery occlusion. A case report and review of the literature. Ann Med Surg (Lond). 2015;4:76-9.
29. Vitin AA, Metzner JI. Anesthetic management of acute mesenteric ischemia in elderly patients. Anesthesiol Clin. 2009;27: 551-67.
30. Montoya-Durana A, Gil-Parada FL, Nieves PA, Hamdan N, Gómez G, Castro P, et al. Isquemia intestinal por estenosis de la arteria mesentérica superior. Tratamiento con angioplastia e implante de stent. Rev Col Gastroenterol. 2004;19:291-5.
Notas de autor
jmocampo2000@yahoo.com.ar
Información adicional
Correspondencia: José Mauricio Ocampo, MD, Cali, Colombia.
Correo electrónico: jmocampo2000@yahoo.com.ar
Citar como: Ocampo JM, Reyes-Ortiz CA, Rengifo A, Velasco MM. Isquemia mesentérica crónica en ancianos: un reto diagnóstico. Rev Colomb Cir. 2017;32:229-35