Artículo original
Manejo no operatorio de las heridas abdominales por arma de fuego basado en la tomografía computadorizada
Non-operative management of abdominal gunshot wounds based on computed tomography
Manejo no operatorio de las heridas abdominales por arma de fuego basado en la tomografía computadorizada
Revista Colombiana de Cirugía, vol. 33, núm. 1, pp. 62-70, 2018
Asociación Colombiana de Cirugía
Recepción: 23 Agosto 2017
Aprobación: 22 Septiembre 2017
Resumen
Objetivo: . Determinar la utilidad de la tomografía computadorizada (TC) en la selección para manejo no operatorio de pacientes con heridas abdominales por arma de fuego.
Materiales y métodos: . Se llevó a cabo un estudio observacional con la información de 62 pacientes mayores de 15 años con heridas por arma de fuego sin indicación de cirugía emergente, a quienes se les practicó TC de abdomen con triple contraste.
Resultados:
. Se analizaron 276 pacientes con heridas por arma de fuego; a su ingreso, 214 se sometieron a cirugía urgente y a 62 se les practicó TC. De estos 62, en 14 estuvo indicada la cirugía por la TC, de los cuales, 12 tuvieron lesiones que requerían manejo quirúrgico y en dos la laparotomía no fue terapéutica. En los restantes 48 pacientes, la TC indicó manejo no operatorio. No obstante, en 2 de estos, se practicaron laparotomías tempranas, las cuales fueron terapéuticas. Los otros 46 pacientes recibieron manejo no operatorio: 43 fueron dados de alta sin complicaciones y 3 fueron sometidos posteriormente a laparotomía que resultó no terapéutica. Se presentó una tasa global de intervenciones no terapéuticas de 10,1 % y manejo no operatorio exitoso en 69,3 %. La sensibilidad de de la TC fue de 85,7 % (IC95% 63,8-100 %), la especificidad de 95,8 % (IC95% 89,1% -100%), el valor predictivo positivo de 85,7% (IC95% 63,8%-100%), valor predictivo negativo de 95,8% (IC95% 89,1%-100%); la razón de verisimilitud de un resultado positivo (Likelihood Ratio, LR+) fue de 21,5 y el de un resultado negativo (LR-) fue de 0,15.
Conclusión: . La TC es segura y confiable para predecir si los pacientes con heridas abdominales por arma de fuego son candidatos a manejo no operatorio.
Palabras clave: traumatismos abdominales+ heridas penetrantes+ heridas por arma de fuego+ tomografía+ laparotomía..
Abstract
Objective: : To determine the usefulness of computed tomography (CT) in the selection of patients with abdominal gunshot wounds for nonoperative management.
Materials and methods: : An observational study was carried out by reviewing the clinical records of 62 patients older than 15 years with abdominal gunshot wounds without indication for emergent surgery who underwent abdominal CT with triple contrast.
Results:
: We analyzed the records of 276 patients with abdominal gunshot wounds, of which 214 underwent emergent surgery and 62 underwent CT. CT indicated surgery in 14 patients, 12 were therapeutic laparotomies and in two cases laparotomy was not therapeutic. In the remaining 48 patients, CT indicated non-operative management. However, in two of these therapeutic early laparotomies were performed; three of the 46 patients who underwent non-operative management had to be submitted to subsequent surgery, but at laparotomy no visceral lesion was found. An overall rate of 10.1% of non-therapeutic laparotomies was encountered and successful non-operative management was registered in 69.3%. The sensitivity of CT was 85.7% (95% CI: 63.8% -100%), specificity 95.8% (95% CI: 89.1% -100%), positive predictive value 85.7 % (95% CI: 63.8% -100%), negative predictive value 95.8% (95% CI: 89.1% -100%), LR + 21.5 and LR- 0.15
Conclusion: : Abdominal CT is a safe and useful method for the selection of patients with abdominal gunshot wounds for non-operative management.
Keywords: Abdominal injuries, wounds, penetrating, wounds, gunshot, tomography, laparotomy..
Introducción
Las heridas abdominales por proyectil de arma de fuego son un hecho frecuente en los servicios de urgencias y son responsables del 90 % de la mortalidad por heridas abdominales; además, ocasionan una morbilidad considerable 1.
Antes de la década de los ochenta, la laparotomía exploratoria era indispensable en el tratamiento estándar de las heridas abdominales por arma de fuego; sin embargo, el gran número de laparotomías innecesarias -hasta del 38 %- hizo replantear esta conducta. En 1960, Shaftan sugirió manejarlas en forma selectiva; no obstante, esta propuesta se empezó a adoptar en los protocolos de atención solo después de la primera década del presente siglo, tras una serie de publicaciones que apoyaron el manejo selectivo operatorio de las heridas abdominales penetrantes con base en la tomografía computadorizada (TC), por sus buenos resultados 2,3,4,5,6.
Actualmente, las heridas abdominales por arma de fuego en pacientes estables y sin signos de irritación peritoneal, son susceptibles de manejo no operatorio, pues puede tratarse de lesiones no penetrantes, tangenciales o que no requieren tratamiento quirúrgico, como laceraciones menores de órganos sólidos o desgarros de mesenterio, cuya intervención puede resultar en laparotomías negativas. Aproximadamente, el 30 % de estas heridas de localización anterior y el 67% de aquellas de localización posterior pueden ser de manejo no operatorio, lo que se traduce en la disminución de la morbimortalidad asociada y de los costos para el sistema de salud 3,4,7,8,9,10,11.
El objetivo de este estudio fue calcular las características operativas de la TC en la selección de pacientes con heridas abdominales por arma de fuego susceptibles de tratamiento no operatorio.
Materiales y métodos
Se llevó a cabo un estudio observacional con la información recopilada de modo prospectivo sobre pacientes mayores de 15 años con heridas por arma de fuego admitidos en el servicio de urgencias del Hospital Universitario San Vicente Fundación (HUSVF) de Medellín, entre el 1º de enero de 2011 y el 31 de diciembre de 2015.
Los criterios de inclusión fueron los pacientes sin indicación de cirugía urgente, a quienes se les practicó TC de abdomen; los criterios de exclusión fueron los pacientes sometidos a cirugía urgente sin TC previa.
Para la búsqueda de pacientes se incluyeron los códigos de la Clasificación Internacional de Enfermedades en su décima edición (CIE 10) relacionados con trauma de abdomen y órganos abdominales, y se filtraron los relacionados con heridas abdominales por arma de fuego. Se revisaron de forma sistemática y consecutiva las historias clínicas y los reportes de la tomografía de los 62 pacientes incluidos.
El protocolo utilizado en el Hospital para la práctica de la TC consiste en el uso de un tomógrafo helicoidal (General Electric Light Speed™ de 64 canales) con cortes de 5 mm, reconstrucción de 1,25 mm, pitch de 1:375, rotación del caballete (gantry) a 0,5 s; administración de 100 ml de medio de contraste yodado por vía venosa a los 60 segundos y una velocidad de inyección de 4 ml por segundo; administración de 1.000 ml de medio de contraste hidrosoluble por vía oral y rectal por medio de una sonda de Foley una hora antes del estudio. Según la trayectoria del proyectil, el radiólogo decidió si se requerían cortes tardíos con el fin de evaluar también el sistema urinario.
Todos los estudios fueron interpretados por un radiólogo de la institución que evaluó la trayectoria del proyectil, la penetración al peritoneo, el líquido libre o localizado, el aire en la cavidad peritoneal, y las lesiones del mesenterio, de los órganos sólidos y de las vísceras huecas, las vasculares y las del sistema urinario.
Se hacía diagnóstico de penetración peritoneal, si se observaba el proyectil o sus fragmentos en la cavidad peritoneal; de extravasación activa del medio de contraste intravenoso, cuando se encontraba una colección focal de líquido con atenuación similar a la de las estructuras vasculares; de lesión de víscera hueca, por extravasación del medio de contraste oral o engrosamiento focal de más de 5 mm de la pared intestinal; y de lesión mesentérica, si se evidenciaba aumento de la atenuación mesentérica o signos de hematoma. La laceración de órganos sólidos se diagnosticaba por la observación de una línea focal con baja atenuación o hipodensa, asociada a pérdida de la continuidad del parénquima. La decisión de intervenir quirúrgicamente la tomaba el cirujano a cargo, con base en los hallazgos clínicos y la lectura del radiólogo.
La laparotomía se consideraba terapéutica, si se encontraban lesiones viscerales, vasculares o ambas que requirieran reparación y, no terapéutica, si no se encontraban lesiones intrabdominales o si las lesiones no requerían reparación.
Los casos se consideraron: verdaderos positivos, si la tomografía demostraba lesiones que se confirmaban o reparaban en la exploración quirúrgica; falsos positivos, si se practicaba la laparotomía exploratoria por los hallazgos tomográficos y resultaba no ser terapéutica; verdaderos negativos, si la tomografía no demostraba lesiones y el paciente recibía manejo no operatorio y era dado de alta sin complicaciones; falsos negativos, si la tomografía no demostraba lesiones que indicaran una cirugía, pero el paciente debía ser sometido a laparotomía exploratoria y se encontraban lesiones que requerían reparación.
Los pacientes con manejo no operatorio se revisaron por consulta externa, mediante llamada telefónica o ambas, hasta 15 días después del trauma.
Análisis estadístico
Recolectada la información, se introdujo en una base de datos de Excel® de Microsoft Office 2013. Con el software SPSS®, versión 22, se hizo un análisis descriptivo de las variables, tablas y gráficos de los resultados obtenidos. Para las variables continuas, se utilizaron medidas de resumen y, para las variables cualitativas, se utilizaron frecuencias absolutas y relativas. Las características operativas se calcularon con el software Epidat 3.
Resultados
En este estudio se incluyeron 62 pacientes, de un total de 276 con heridas abdominales por arma de fuego. Del total, 214 se sometieron a cirugía urgente inmediatamente después del ingreso y a los 62 incluidos se les practicó inicialmente una TC: a 59, porque no tenían indicación de cirugía urgente y, a los 3 restantes, porque la evaluación del abdomen no fue confiable por la presencia de lesiones extraabdominales asociadas graves.
La edad mínima de los pacientes fue de 15 años y la máxima de 79 años, con una media de 27. El 91,3 % de los pacientes eran de sexo masculino. Durante la evaluación inicial, la media de la presión arterial sistólica fue de 106 mm Hg (desviación estándar, DE=27) y el 70 % tenía mediciones entre 60 y 120 mm Hg. El 56 % presentó frecuencias cardiacas entre 80 y 100 latidos por minuto y, el 41 %, de más de 101, y la media de la frecuencia cardiaca fue 99 latidos por minuto. La media de la puntuación de la escala de coma Glasgow fue 13 (DE=3; rango: 3 a 15).
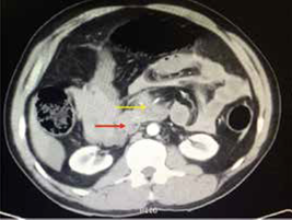
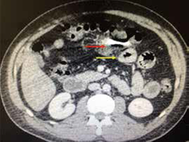
En la figura 1 se esquematiza la conducta tomada en los 62 pacientes a quienes se les practicó TC. En 14 pacientes, se indicó la cirugía por los hallazgos de la tomografía: en 5, las lesiones estaban localizadas en la cara anterior del abdomen, en 4, en la zona toracoabdominal izquierda, en 2, en la cara posterior del abdomen, en 2, en el flanco izquierdo, y en 1, en la pelvis. Los hallazgos tomográficos que sugerían lesión en este grupo de 14 pacientes fueron, en orden de frecuencia, trauma de órgano solido con sangrado activo (28,5 %), perforación del tubo digestivo (28,6 %), ruptura del diafragma (7,1 %) y trauma vascular (7,1 %) (figuras 2 y 3). Los hallazgos tomográficos y quirúrgicos en ellos se muestran en la tabla 1.




En este mismo grupo de 14 pacientes operados, 12 tuvieron lesiones que requerían manejo quirúrgico; en dos (el 4 y el 8), la laparotomía no fue terapéutica (figuras 4 y 5); en tres, el abdomen no se pudo evaluar, aunque había estabilidad hemodinámica, por lo cual se les practicó TC; el número 1 tenía politrauma, llegó intubado y sedado a la institución, al igual que el número 12; el número 2 tenía trauma raquimedular asociado.


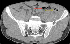
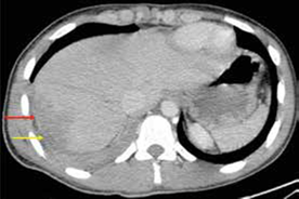
En 48 de los 62 pacientes se optó por un manejo no operatorio por los hallazgos de la TC. En dos de ellos, sometidos a cirugía temprana por criterio del cirujano, la laparotomía fue terapéutica: en uno, hubo trauma grado II en espejo en el intestino delgado que debió ser corregido y, en el otro, trauma grado II de recto intraperitoneal que debió ser corregido y se acompañó de colostomía. En este último paciente el protocolo de la TC fue incompleto por ausencia de medio de contraste rectal. Estos dos pacientes no presentaron complicaciones posquirúrgicas.
En este mismo grupo de 48 pacientes sin indicación quirúrgica inicial, otros tres debieron intervenirse quirúrgicamente después de un tiempo de observación clínica por presentar dolor no controlado. Dos de ellos presentaban heridas toracoabdominales derechas; en uno, los hallazgos quirúrgicos fueron trauma hepático de grado II, hemoperitoneo de 300 ml y lesión del hemidiafragma derecho y, en el otro, lesión del hemidiafragma derecho y trauma hepático de grado II, por lo cual sus intervenciones se consideran no terapéuticas (verdaderos negativos, figuras 6 y 7). El tercer paciente no presentaba lesiones viscerales. Ninguno de los tres sufrió complicaciones posquirúrgicas. Los restantes 43 pacientes fueron dados de alta sin complicaciones después del tratamiento no operatorio.


Del grupo inicial de 276 pacientes, se practicaron laparotomías no terapéuticas en 24 y laparoscopias con resultado negativo para indicación quirúrgica en 4. La tasa global de intervenciones no terapéuticas fue de 10,1 %. Se evitaron 43 laparotomías, lo que corresponde a 15,6 % del grupo inicial de 276 heridos. Del grupo seleccionado para manejo no operatorio según la TC, se logró un resultado exitoso en 69,3 % (43/62) y no hubo complicaciones ni reingresos.
Se analizaron las características operativas de la TC para determinar la necesidad de cirugía en los 62 pacientes sin indicación quirúrgica inicial y los resultados fueron los siguientes: sensibilidad de 85,7 % (IC95% 63,8-100), especificidad de 95,8 % (IC95% 89,1-100), valor predictivo positivo de 85,7 % (IC95% 63,8-100) y valor predictivo negativo de 95,8 % (IC95% 89,1-100). La razón de verosimilitud de un resultado positivo o (likelihood ratio, LR+) fue de 21,5 y la de un resultado negativo (LR-) fue de 0,15.
Las complicaciones de los 233 pacientes intervenidos quirúrgicamente por heridas abdominales por arma de fuego fueron: sangrado posquirúrgico en 14, todos los cuales requirieron intervención quirúrgica; evisceración en 5, de los cuales 4 requirieron cirugía; infección del sitio operatorio en órgano o espacio en 50, de los cuales 42 requirieron manejo quirúrgico y 8 manejo percutáneo.
Discusión
En Colombia, el trauma es la principal causa de muerte en menores de 40 años. En el 2011, se reportaron 16.554 homicidios, el 77 % por arma de fuego, y se presentó trauma de vísceras abdominales en 13 a 15 % de los casos fatales 12,13. Las heridas por arma de fuego son la principal causa a nivel mundial de heridas penetrantes abdominales (64 %), seguidas de las heridas por arma blanca (31 %). El órgano más lesionado es el hígado (40 %), seguido del intestino delgado (30 %), el diafragma (20 %) y el colon (15 %). En las heridas por arma de fuego, en particular las de alta energía, generalmente hay múltiples lesiones que comprometen el intestino delgado (50 %), el colon (40 %), el hígado (30 %) y las estructuras vasculares (25 %) 14,15.
Los pacientes con inestabilidad hemodinámica y que no mejoran con la reanimación inicial, deben someterse a laparotomía urgente, como también aquellos que presenten signos de irritación peritoneal, sangrado gastrointestinal, salida de contenido intestinal o biliar por la herida, evisceración, o con condiciones asociadas y abdomen no evaluable, como trauma craneoencefálico o raquimedular, intoxicaciones o alteraciones del estado de conciencia 7.
Los pacientes sin indicación de laparotomía urgente, son candidatos a manejo no operatorio, con un periodo mínimo de observación de 24 horas según los hallazgos tomográficos; el examen físico seriado es confiable para detectar lesiones intraabdominales que requieran manejo quirúrgico, especialmente, si lo practica personal entrenado en trauma o el mismo equipo quirúrgico 1,7,16,17.
El estudio ideal es la TC con multidetector y triple medio de contraste (venoso, oral y rectal). Permite evaluar la pared abdominal en busca de penetración al peritoneo y, en la cavidad peritoneal, buscar líquido libre o localizado, aire libre, lesión de órganos sólidos, lesión de vísceras huecas y lesiones del mesenterio. Si el paciente presenta lesiones toracoabdominales, este estudio debe incluir el tórax 6,9,15,17,18,19.
En un estudio retrospectivo, Ramírez, et al., incluyeron 306 pacientes estables hemodinámicamente y con heridas abdominales penetrantes, 73 % por arma de fuego; evaluaron la confiabilidad de la TC con contraste simple para predecir la necesidad de laparotomía exploratoria, y encontraron sensibilidad de 98 % y especificidad de 90 % 20.
En 2004, Múnera, et al., en un estudio prospectivo de 47 pacientes con heridas abdominales penetrantes por arma de fuego, obtuvieron una sensibilidad de 96 % y una especificidad de 95 % de la TC helicoidal con triple contraste para predecir la necesidad de laparotomía 21.
En otro estudio prospectivo de 200 pacientes con trauma penetrante en torso, publicado por Shanmuganathan, et al., en 2004, la TC helicoidal con triple contraste mostró una sensibilidad de 97 % y una especificidad de 98 % para diagnosticar penetración del peritoneo y lesión visceral 22.
En 2005, Velmahos, et al., publicaron un estudio prospectivo de 100 pacientes con heridas abdominales no tangenciales por arma de fuego, seleccionados para manejo no operatorio durante un periodo de 23 meses, a quienes se les practicó TC helicoidal con triple medio de contraste, y reportaron una sensibilidad de 90,5 % y una especificidad de 96 % 6.
En el presente trabajo, la sensibilidad de la TC con contraste fue de 85,7 % y la especificad de 95,8 %; la razón de verosimilitud positiva (LR+) fue de 21,5 y la negativa (LR-) fue de 0,15. Estas cifras son comparables con las de otros estudios y dan cuenta del buen rendimiento de la TC para seleccionar pacientes con heridas por arma de fuego para cirugía o manejo no operatorio.
En uno de los estudios clínicos con mayor número de pacientes, Velmahos, et al., incluyeron 1.856 pacientes con heridas por arma de fuego. Cerca del 47 % tenía lesiones clínicamente no significativas, y se estableció una diferencia de costos de USD$ 9’555.752 de los casos con manejo conservador, en comparación con aquellos sometidos a laparotomía exploratoria no terapéutica 8.
En 2011, Zafar, et al., hicieron una revisión retrospectiva del National Trauma Data Bank (2002-2008) del American College of Surgeons, y evaluaron los resultados del manejo no operatorio en pacientes con trauma abdominal penetrante. Se incluyeron, entre ellos, 12.707 pacientes con heridas por arma de fuego, 22,2 % de los cuales recibieron manejo no operatorio selectivo, con una tasa de fracaso de 20,8 %; se obtuvo una tasa de laparotomías no terapéuticas de 18,5 %, la cual disminuyó de 23,7 a 16,9 % durante el estudio. En el presente estudio, se evidenció una tasa global de intervenciones no terapéuticas de 10,1 %, muy por debajo de lo previamente reportado 23.
En la revisión sistemática de 2014 realizada por Lamb, et al., se incluyeron 22 estudios con 18.602 pacientes con heridas abdominales con arma de fuego, 32,2 % de los cuales recibieron un manejo inicial no operatorio. Concluyeron que el manejo selectivo no operatorio se puede hacer de forma segura y reduce las tasas de laparotomías negativas o no terapéuticas 24.
En 2016, Reed, et al., hicieron una revisión retrospectiva, sobre el manejo selectivo no operatorio en pacientes con heridas abdominales por arma de fuego con lesión de órgano sólido, entre 2003 y el 2014. Se incluyeron 127 pacientes, de los cuales el 50 % recibió este tipo de tratamiento (cuyo uso aumentó durante el tiempo de estudio de 31 % a 67 %), sin diferencia en los resultados con respecto a quienes fueron sometidos inicialmente a tratamiento quirúrgico. No obstante, con el manejo selectivo no operatorio, se observaron estancias hospitalarias más cortas, menor necesidad de transfusión de células rojas empaquetadas y menos complicaciones 25. Esto es similar a lo encontrado por Peponis, et al., en 2017, en una revisión retrospectiva multicéntrica de 1996 a 2015, sobre un total de 922 pacientes con este mismo tipo de heridas, de los cuales el 23 % recibió manejo selectivo no operatorio; de estos, solo el 8,4 % requirió laparotomía posteriormente 26.
La tasa de manejo no operatorio selectivo aumento a lo largo del tiempo, de 18% antes del 2010 a 27% en los años siguientes y concluyen que el manejo no operatorio selectivo ha sido establecido como un método aceptable de manejo en centros de trauma nivel I y II en New England.
En el presente estudio, el manejo no operatorio alcanzó una tasa de éxito de 69,3 % y de intervenciones no terapéuticas de 10,1 %, lo que puede representar un significativo ahorro en costos para el sistema de salud, sin incremento en la morbilidad.
Con respecto a las heridas toracoabdominales derechas por arma de fuego, en el estudio de Renz, et al., de 1994, que incluyó 12 pacientes sin indicación de cirugía, a todos se les practicó TC, ninguno requirió manejo quirúrgico y no se presentaron complicaciones 17. En el presente estudio, este tipo de heridas se presentaron en 18 % de los pacientes y, en dos, se practicaron laparotomías por decisión del cirujano a cargo, las cuales resultaron no terapéuticas.
Por otra parte, la mortalidad global fue de 9,7 %, lo que indica que este tipo de trauma continúa siendo una importante causa de mortalidad en la población joven.
La principal debilidad de este estudio es su carácter retrospectivo. No obstante, es un estudio innovador en el medio, se llevó a cabo en un centro de referencia de trauma donde es posible practicar TC rápidamente debido a la cercanía del tomógrafo a la sala de emergencias, y cuenta con un radiólogo disponible las 24 horas del día.
En conclusión, la TC es segura y precisa para predecir cuáles pacientes con heridas abdominales por arma de fuego son candidatos a manejo no operatorio.
Referencias
1. Butt MU, Zacharias N, Velmahos GC. Penetrating abdominal injuries: Management controversies. Scand J Trauma Resusc Emerg Med. 2009;17:19. https://doi.org/10.1186/1757-7241-17-19.
2. Shaftan GW. Indications for operation abdominal trauma. Am J Surg. 1960;99:657-64.
3. Chiu WC, Shanmuganathan K, Mirvis SE, Scalea TM. Determining the need for laparotomy in penetrating torso trauma: A prospective study using triple-contrast enhanced abdominopelvic computed tomography. J Trauma. 2001;51:860-9.
4. Soto JA, Morales C, Múnera F, Sanabria A, Guevara JM, Suárez T. Penetrating stab wounds to the abdomen: Use of serial US and contrast-enhanced CT in stable patients. Radiology. 2001;220:365-71.
5. McConnell DB, Trunkey DD. Nonoperative management of abdominal trauma. Surg Clin North Am. 1990;70:677-88.
6. Velmahos GC, Constantinou C, Tillou A, Brown CV, Salim A, Demetriades D. Abdominal computed tomographic scan for patients with gunshot wounds to the abdomen selected for nonoperative management. J Trauma. 2005;59:1155-61.
7. Como JJ, Bokhari F, Chiu WC, Duane TM, Holevar MR, Tandoh MA, et al. Practice management guidelines for selective nonoperative management of penetrating abdominal trauma. J Trauma. 2010;68:721-33. doi: 10.1097/TA.0b013e3181cf7d07.
8. Velmahos GC, Demetriades D, Toutouzas KG, Sarkisyan G, Chan LS, Ishak R, et al. Selective nonoperative management in 1,856 patients with abdominal gunshot wounds: Should routine laparotomy still be the standard of care? Ann Surg. 2001;234:395-403.
9. Castrillón G, Soto J. Multidetector computed tomography of penetrating abdominal trauma. Semin Roentgenol. 2012;47:371-6.
10. Goodman CS, Hur JY, Adajar MA, Coulam CH. How well does CT predict the need for laparotomy in hemodynamically stable patients with penerating abdominal injury? A review and meta-analisis. Am J Radiology. 2009;193:432-7. doi: 10.2214/AJR.08.1927.
11. DuBose J, Inaba K, Teixeira PGR, Pepe A, Dunham MB, McKenney M. Selective non-operative management of solid organ injury following abdominal gunshot wounds. Injury. 2007;38:1084-90. DOI: https://doi.org/10.1016/j.injury.2007.02.030.
12. Henao CA. Trauma abdominal. En: Morales CH, editor. Trauma. Segunda edición. Medellín: Editorial Universidad de Antioquia; 2015. p. 462-71.
13. Mendoza C. Epidemiología del trauma. En: Morales CH, editor. Trauma. Segunda edición. Medellín: Editorial Universidad de Antioquia; 2015. p. 3-14.
14. Todd SR. Critical concepts in abdominal injury. Crit Care Clin. 2004;20:119-34.
15. Zeidenberg J, Durso AM, Caban K, Múnera F. Imaging of penetrating torso trauma. Semin Roentgenol. 2016;51:239-55.
16. Inaba K, Okoye OT, Rosenheck R, Melo N, Branco BC, Talving P, et al. Prospective evaluation of the role of computed tomography in the assessment of abdominal stab wounds. JAMA Surg. 2013;148:810-6.
17. Renz BM, Feliciano DV. Gunshot wounds to the right thoracoabdomen: A prospective study of nonoperative management. J Trauma. 1994;37:737-44.
18. Lozano JD, Múnera F, Stephan W, Soto JA, Menias CO, Caban KM. Penetrating wounds to the torso: Evaluation with triple- contrast multidetector CT 1 evaluation of projectile trajectory. Radiographics. 2013;33:341-59. doi: 10.1148/rg.332125006.
19. Biffl WL, Moore EE. Management guidelines for penetrating abdominal trauma. Curr Opin Crit Care. 2010;16:609-17. doi: 10.1097/MCC.0b013e32833f52d2.
20. Ramírez RM, Cureton EL, Ereso AQ, Kwan RO, Dozier KC, Sadjadi J, et al. Single-contrast computed tomography for the triage of patients with penetrating torso trauma. J Trauma. 2009;67:583-8.
21. Múnera F, Morales C, Soto JA, García HI, Suárez T, García V, et al. Gunshot wounds of abdomen: Evaluation of stable patients with triple-contrast helical CT. Radiology. 2004;231:399-405.
22. Shanmuganathan K, Mirvis SE, Chiu WC, Killeen KL, Hogan GJ, Scalea TM. Penetrating torso trauma: Triple contrast helical CT in peritoneal violation and organ injury - a prospective study in 200 patients. Radiology. 2004;231:775-84.
23. Zafar NS, Rushing A, Haut ER, Kisat MT, Villegas CV, Chi A, et al. Outcome of selective non-operative management of penetrating abdominal injuries from the North American National Trauma Database. Br J Surg. 2012;99:155-64. doi: 10.1002/bjs.7735.
24. Lamb CM, Garner JP. Selective non-operative management of civilian gunshot wounds to the abdomen: A systematic review of the evidence. Injury. 2014;45:659-66. doi: 10.1016/j.injury.2013.07.008.
25. Reed BL, Patel NJ, McDonald AA, Baughman WC, Claridge JA, Como JJ. Selective nonoperative management of abdominal gunshot wounds with isolated solid organ injury. Am J Surg. 2016;213:583-5. DOI: https://doi.org/10.1016/j.amjsurg.2016.11.027.
26. Peponis T, Kasotakis G, Yu J, Alouidor R, Burkott B, Maung AA, et al. Selective nonoperative management of abdominal gunshot wounds from heresy to adoption: A Multicenter study of the Research Consortium of New England Centers for Trauma (ReCoNECT). J Am Coll Surg. 2017;224:1036-45. doi: 10.1016/j.jamcollsurg.2016.12.055.
Notas
Notas
Notas de autor
aCorrespondencia: Carlos Hernando Morales, Hospital Universitario San Vicente Fundación, Calle 64 N° 51 D-154 Medellín, Colombia / Teléfonos: (572) 219-2460 y (300) 784-0916; fax: (571) 219-2460 / Correo electrónico: hernando.morales@udea.edu.co