Artículo de revisión
Duplicaciones de las vías digestivas
Duplications of digestive tract
Duplicaciones de las vías digestivas
Revista Colombiana de Cirugía, vol. 33, núm. 2, pp. 198-205, 2018
Asociación Colombiana de Cirugía
Recepción: 28 Julio 2017
Aprobación: 26 Enero 2018
Resumen:
Las duplicaciones de las vías digestivas son anomalías congénitas infrecuentes, que se pueden localizar en cualquier parte del tubo digestivo, y son más comunes en los hombres. Hasta en un tercio de los pacientes, se acompañan de otras anomalías congénitas. Se han postulado tres teorías para explicar la causa de las duplicaciones: la de la recanalización de la luz intestinal, la del accidente vascular intrauterino y la de la unión o “hermanamiento” incompleta. Se clasifican en duplicaciones quísticas, cuando se comunican con la luz intestinal normal, y en duplicaciones tubulares, cuando no lo hacen; según algunas series, las primeras corresponden de 70 a 75 % de los casos informados y, las segundas, del 25 al 30 %. Poseen tres características esenciales, que son: estar unidas a cualquier segmento del tubo digestivo y con una irrigación sanguínea común; tener una capa muscular, y poseer un revestimiento epitelial que, generalmente, corresponde a la mucosa del mismo trayecto. Los síntomas más comunes son dolor abdominal inespecífico, náuseas, vómitos, hemorragia gastrointestinal, invaginación, obstrucción, ictericia y pancreatitis. El diagnóstico se basa, especialmente, en estudios imagenológicos, desde la radiografía simple hasta la resonancia magnética, siendo de gran importancia la ecografía prenatal. El tratamiento quirúrgico es la principal opción terapéutica, en la cual se usa cada vez más la vía laparoscópica.
Palabras clave: tracto gastrointestinal, duodeno, intestino delgado, quiste congénito, diagnóstico.
Abstract:
Alimentary tract duplications are rare congenital lesions that can occur anywhere in the gastrointestinal tract. Three hypotheses about their etiology had been proposed, The luminal recanalization theory, the intrauterine vascular accident theory, and the abortive twinning theory. According to some series, three quarters of gastrointestinal duplications are cystic with no communication to the adjacent alimentary tract, while the remaining are tubular and may communicate with the intestinal lumen. They have three essential characteristics: they are attached to any segment of the gastrointestinal tract and with the same blood supply, having a muscular layer and possessing an epithelial lining that corresponds generally to the mucosa of the same path. The most common symptoms are nonspecific abdominal pain, nausea, vomiting, gastrointestinal hemorrhage, invagination, obstruction, jaundice and pancreatitis. The diagnosis is based mainly on imaging studies, ranging from simple radiography to nuclear resonance, with prenatal ultrasound being of great importance. Surgical treatment is the main therapeutic option, being increasingly used the laparoscopic route.
Key words: gastrointestinal tract, duodenum, intestine, small, congenital cyst, diagnosis.
Revisión de tema
Generalidades
El primer informe conocido de casos de duplicación intestinal es atribuido a Calder en 1733 1. En 1884, Reginald Fitz introdujo el término “duplicación intestinal” para describir y explicar las anomalías quísticas congénitas del tubo digestivo. En 1937, Ladd recomendó el nombre de duplicaciones de las vías digestivas (duplications of the alimentary tract) 2.
Las duplicaciones del tubo digestivo son lesiones congénitas raras, que ocurren antes de la semana 12 de gestación y que pueden presentarse desde la boca hasta el ano. Según diversos informes, pueden ocurrir en 1 de 100.000 y hasta en 1 de 4.500 nacidos vivos, siendo el sexo masculino el más comúnmente afectado (60 a 80 %). Aproximadamente, un tercio de los pacientes tienen diversas anomalías congénitas asociadas 3,4.
Son estructuras tubulares unidas a cualquier segmento del tubo digestivo y con una misma irrigación sanguínea. Poseen una capa de músculo y un revestimiento epitelial que, generalmente, corresponde a la mucosa del mismo trayecto, aunque hasta en 35 % de los casos puede haber tejido ectópico, del cual el más común es la mucosa gástrica, seguida del tejido pancreático 5.
Aunque usualmente se diagnostica en recién nacidos y lactantes, también se puede hacer en adultos, pues con frecuencia permanecen asintomáticos. Las manifestaciones clínicas dependen de varios factores, como la localización, el tamaño, o la comunicación con la luz normal. La presencia de mucosa gástrica en su luz, que puede ocurrir hasta en 50 % de los quistes de duplicación, con el consiguiente riesgo de ulceración y perforación. Pueden presentarse como invaginación, obstrucción intestinal, dolor abdominal, pancreatitis o sangrado intestinal 4,6.
Etiología
Existen varias teorías que tratan de explicar la aparición de las duplicaciones; sin embargo, ninguna de ellas por sí sola puede explicar el compromiso que puede ocurrir a lo largo de todo el tubo digestivo.
Teoría de la recanalización de la luz intestinal. En la sexta semana de la vida intrauterina, la luz del tubo digestivo está revestida por células similares a las de las vías respiratorias, las cuales crecen ocluyendo la luz. Posteriormente, producen secreciones en el espacio intercelular que forman vacuolas que se unen para formar una nueva luz. Si algunas de estas vacuolas no se unen, pueden formar un quiste que se rodea de capas musculares, conformando los quistes de duplicación. Esta teoría solo explicaría las duplicaciones en aquellas porciones del tubo digestivo que pasan por una ‘etapa sólida’, incluidos el esófago, el intestino delgado y el colon 7,8.
Teoría del accidente vascular intrauterino. Sugiere que las duplicaciones gastrointestinales, así como las atresias del intestino delgado, se deben a un accidente vascular intrauterino durante el desarrollo fetal temprano 9.
Teoría de la unión incompleta. Postula la formación segmentaria o incompleta de la luz intestinal, lo cual explicaría las duplicaciones tubulares colorrectales o del intestino posterior que se asocian con malformaciones genitourinarias 10.
Clasificación
Dependiendo de su longitud, las duplicaciones del tubo digestivo pueden ser quísticas, es decir, sin comunicación con el intestino adyacente, o tubulares, que generalmente se comunican con la luz intestinal. Según algunas publicaciones, hasta el 75 % son de tipo quístico y, solo el 25 %, de tipo tubular 3,11.
De acuerdo con su localización, se pueden clasificar en: duplicaciones del intestino delgado (íleo y yeyuno), que es el tipo más usual (47 %), de colon (20 %), de esófago (17 %), de estómago (8 %), de duodeno (2 a 12 %) y de otras localizaciones (1 a 5 %). Estos valores porcentuales varían según los diversos autores 12,13,14,15.
Duplicaciones esofágicas. Son dos veces más frecuentes en hombres y, generalmente, por asociarse a anomalías vertebrales, como espina bífida posterior o mielomeningocele, se diagnostican en neonatos y lactantes. Se manifiestan por síntomas inespecíficos de dolor o malestar que, por lo general, se deben al efecto de masa. A medida que la lesión aumenta de tamaño, las manifestaciones clínicas pueden ser más específicas e incluir disfagia, tos, sibilancias, disnea, hemoptisis o infecciones respiratorias recurrentes. Hasta en 2 % de los casos, las duplicaciones pueden ser de extensión toraco-abdominal. Generalmente, el tratamiento es quirúrgico 16,17.
Duplicaciones gástricas. Generalmente, se localizan a lo largo de la curvatura mayor del estómago y son de tipo quístico, ocurren más frecuentemente en hombres y se manifiestan durante el primer año de vida por vómito, distensión abdominal, melenas o perforación. Una vez establecido el diagnóstico, se debe recurrir al tratamiento quirúrgico, el que a veces implica la gastrectomía parcial 18,19.
Duplicaciones duodenales. Comprometen, generalmente, la segunda y la tercera porción del duodeno, son de tipo quístico y representan entre el 2 y el 12 % de las duplicaciones intestinales. Pueden asociarse con otras anomalías, como divertículos gástricos, duplicaciones del colon y quistes neuroentéricos. Hasta en 50 % de los casos, están revestidos de mucosa gástrica y, en menor porcentaje, de epitelio intestinal, pancreático o respiratorio 13,20,21. En una revisión de 47 casos, se encontró que hasta en 29 % de los casos puede haber comunicación con los conductos pancreáticos o biliares; aproximadamente, el 40 % de los casos se descubre en la primera década de la vida, el 21,3 %, en la segunda década, y el 38,3 % restante se descubre después de los 20 años, porcentaje que disminuye con la edad 22.
Se pueden manifestar con síntomas vagos, como dolor abdominal, saciedad precoz, retardo del crecimiento, o con ictericia o pancreatitis, por lo que se debe hacer el diagnóstico diferencial con los quistes del colédoco. El tratamiento quirúrgico es el ideal, aunque a veces es técnicamente difícil debido a la proximidad con la ampolla de Vater y al riesgo de lesión del árbol biliar o del conducto pancreático. Una alternativa es la derivación intestinal 23,24.
En un metaanálisis que incluyó 37 artículos, Chen, et al. 22, encontraron que 33 pacientes fueron sometidos a tratamiento quirúrgico (25 a resección, 6 a ‘marsupialización’ y 2 a pancreatoduodenectomía), 13 pacientes fueron tratados endoscópicamente (‘marsupialización’) y solo uno a observación. En la mayoría de los casos, se practicó cirugía abierta o minilaparotomía. No obstante, en los últimos años se han descrito casos intervenidos quirúrgicamente por vía laparoscópica 25.
Duplicaciones del intestino delgado. Corresponden a casi la mitad de las duplicaciones informadas, por lo que representan la localización más frecuente. Generalmente, comprometen el íleon y se localizan en el borde mesentérico, pueden ser de tipo quístico o tubular y hasta en una cuarta parte de los casos se encuentra mucosa gástrica ectópica. Se pueden manifestar por dolor, distensión abdominal, invaginación o vólvulos. El tratamiento ideal es la resección quirúrgica junto con el segmento adyacente, y la anastomosis término-terminal. En caso de segmentos largos cuya resección pueda causar síndrome de intestino corto, la resección está contraindicada y, en su lugar, se puede crear una comunicación de la luz de la duplicación con la luz del segmento adyacente 26,27.
Duplicaciones del colon y del recto. Pueden ser de dos tipos: duplicaciones quísticas del colon o duplicaciones tubulares colorrectales. Las duplicaciones quísticas del colon comprometen el ciego hasta en 40 % de los casos. En pocos casos, contienen mucosa gástrica ectópica y se pueden manifestar por dolor abdominal, estreñimiento, sensación de masa u obstrucción intestinal. Su tratamiento es quirúrgico. Las duplicaciones tubulares colorrectales se pueden localizar en el borde mesentérico o antimesentérico y, generalmente, se comunican con la luz del segmento adyacente; pueden asociarse con fístulas rectovaginales o rectourinarias, así como con duplicaciones genitales o anomalías vertebrales 28.
Otras duplicaciones. Menos frecuentemente, se han informado duplicaciones de la vesícula o las vías biliares y, solo como reportes de casos, duplicaciones de hipofaringe, píloro y apéndice 4,11,29,30,31,32.
Presentación clínica
Los síntomas más comunes son dolor abdominal inespecífico, náuseas y vómito; otros incluyen hemorragia gastrointestinal, invaginación, obstrucción, ictericia y pancreatitis. En los grupos de mayor edad, la duplicación se puede presentar como una masa palpable y dolorosa. A cualquier edad, las duplicaciones pueden ser asintomáticas y pasar inadvertidas 33,34,35.
Diagnóstico
Ultrasonografía. La ecografía prenatal, reportada por primera vez en 1980, ha ido ganando popularidad y, junto con la posnatal, puede utilizarse para diagnosticar quistes de duplicación torácicos y abdominales. En ella, se encuentra una masa con un borde hiperecoico interior que corresponde a la mucosa y la submucosa, rodeado por una capa hipoecoica que representa la muscular propia, hallazgo conocido como el signo de la ‘doble pared’ 36.
Ultrasonografía endoscópica. Se puede utilizar para diagnosticar quistes de duplicación del intestino anterior y del tórax. La pared del intestino y las capas murales se pueden ver como una capa mucosa ecogénica y una capa de músculo hipoecogénica, lo cual permite distinguir los quistes de duplicación de otras lesiones quísticas 37.
Radiografía simple. En la radiografía simple de tórax y la de abdomen, indicadas por síntomas de dolor u obstrucción, se pueden observar invaginación o vólvulo, así como grandes quistes torácicos 5.
Tomografía computadorizada. La de tórax y la de abdomen, preferiblemente con contraste oral y endovenoso, son útiles para establecer un diagnóstico de duplicación del tubo digestivo. Permiten entender mejor la anatomía antes de la cirugía y pueden evidenciar lesiones sincrónicas. Los quistes de duplicación suelen verse bien delimitados, redondos, llenos de líquido y uniloculares con una pared delgada. La nodularidad mural debe hacer sospechar malignidad 16,28,38.
Resonancia magnética. Puede ser necesaria si se presentan síntomas neurológicos (compresión de la médula espinal) o ante la evidencia de anomalías espinales óseas en la radiografía simple o en la tomografía. Los hallazgos son similares a los descritos en la tomografía computarizada. El componente quístico suele ser hipointenso en T1 e hiperintenso en T2. La presencia de hemorragia puede elevar la señal de la lesión en T1 15,28.
Otros estudios. La colangiopancreatografía endoscópica retrógrada o la colangioresonancia pueden requerirse para evaluar mejor el páncreas y la vía biliar, si los quistes de duplicación comprometen el duodeno y el páncreas. Aunque rara vez se necesita, la gammagrafía con tecnecio puede ayudar a detectar mucosa gástrica ectópica en los casos complicados con sangrado 16. Los estudios con bario pueden demostrar el efecto de masa y el desplazamiento de las estructuras 39,40.
Tratamiento
Se han descrito casos tratados mediante técnicas endoscópicas, pero la resección quirúrgica es el método preferido en la mayoría de las duplicaciones gastrointestinales. Sin embargo, en las duplicaciones duodenales, la resección quirúrgica aún genera controversia debido a la cercanía del árbol biliopancreático; en estos casos, puede ser suficiente el drenaje del quiste, previa determinación de la ausencia de mucosa gástrica ectópica mediante gammagrafía con tecnecio. En caso de encontrarse mucosa gástrica ectópica, el quiste debe resecarse para evitar el riesgo de futuro sangrado.
Los pacientes que presenten duplicaciones tubulares complejas del colon, pueden no requerir un abordaje quirúrgico si la comunicación interna de la duplicación es amplia; en estos casos, pueden ser útiles los laxantes y los enemas. También, existe controversia en los pacientes con duplicaciones y asintomáticos; algunos autores mencionan el riesgo de desarrollar cambios neoplásicos y otras complicaciones cuando no se tratan 1,13,40,41,42.
Seguimiento
La resección quirúrgica de las duplicaciones es curativa generalmente, pero se debe hacer seguimiento, especialmente en los pacientes con duplicaciones duodenales, dado el riesgo de que se produzca pancreatitis por la proximidad de la vía biliar y de la pancreática. Puede presentarse sangrado recurrente después de la resección incompleta de la mucosa. En los pacientes tratados por duplicaciones rectales, se deben practicar estudios de continencia, como la manometría rectal.
Aunque la incidencia de malignidad en la duplicación es rara y hasta la fecha no se ha informado en la infancia, en casos de duplicación duodenal que no sean intervenidos quirúrgicamente, se debe vigilar la aparición de lesiones neoplásicas, las cuales han sido descritas en adultos. Se cree que el mecanismo del cambio maligno es una estasis parcial o completa de las secreciones de la mucosa dentro de la duplicación 1,6,7.
Caso clínico
Se trata de un paciente de sexo masculino de 61 años de edad, que consultó por un cuadro clínico de tres días de evolución consistente en malestar general, mareo, lipotimia y rectorragia. Como antecedente de importancia, refirió hipertensión arterial sistémica controlada con 50 mg diarios de losartán.
En el examen físico de ingreso, los signos vitales eran normales, las mucosas, húmedas y rosadas, y no presentaba ictericia. El abdomen era blando, depresible e indoloro, sin distensión, masas ni otras alteraciones. En los exámenes de laboratorio de ingreso se encontró: hematocrito de 34 % y hemoglobina de 11 g/dl; las pruebas de coagulación eran normales y, la creatinina sérica, de 0,95 mg/dl.
En la endoscopia de vías digestivas altas y en la colonoscopia inicial, no se encontraron lesiones, sangrado activo o estigmas de sangrado. En un segundo hemograma, se encontró hemoglobina de 8,8 g/dl y hematocrito de 27 %, por lo cual se indicó transfusión de dos unidades de glóbulos rojos; aun así, en un tercer hemograma hubo persistencia de la disminución de la hemoglobina (6,6 g/dl) y del hematocrito (20,1 %), con 176.000 plaquetas.
Debido a la importante disminución de la hemoglobina y a la persistencia de la rectorragia, se practicaron una arteriografía y una nueva endoscopia de vías digestivas altas, que demostraron gastritis eritematosa del antro, sin evidencia de sangrado activo o reciente.
En la arteriografía mesentérica del tronco celiaco y de la aorta, no se observó evidencia de sangrado activo. Por lo anterior, se solicitó una enteroresonancia que fue informada como normal (figura 1).

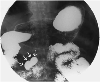
Para continuar con el estudio, se usó una cápsula endoscópica para buscar sangrado oculto manifiesto, la cual demostró una probable lesión en la segunda porción del duodeno (figura 2). Por esta razón, se practicó una tercera endoscopia de vías digestivas altas que evidenció un divertículo duodenal y una duplicación duodenal tubular, sin alteraciones de la mucosa (figura 3). En las vías digestivas altas se evidenció una duplicación tubular del duodeno en su tercera porción (figura 4).



El paciente evolucionó satisfactoriamente, con desaparición del sangrado y completa mejoría clínica. Se le propuso continuar los estudios para una posible intervención quirúrgica, lo cual fue rechazado por el paciente. Se ha hecho seguimiento médico por ocho meses, sin reaparición de los síntomas.
Puede visualizar el procedimiento endoscópico mediante un lector de códigos Qr (figura 5).

Discusión
Las duplicaciones de las vías digestivas son lesiones congénitas raras, que comprometen un poco más frecuentemente al sexo masculino. Se pueden localizar en cualquier parte del tubo digestivo, desde la boca hasta el ano.
La gran mayoría corresponde al tipo quístico y, solo una cuarta parte, al tipo tubular. En orden de frecuencia, comprometen el intestino delgado, el colon, el esófago, el estómago, el duodeno y otros órganos.
En el presente caso, se trató de una duplicación duodenal tubular, que es una de las menos frecuentes. Casi la mitad de las duplicaciones del tubo digestivo se diagnostican en la primera década de la vida, especialmente, cuando se asocian con anomalías genitourinarias o vertebrales. Una cuarta parte de ellas se diagnostican en la segunda década y, el porcentaje restante, durante la vida adulta, habiéndose descrito varios casos en que el diagnóstico se hace en el adulto mayor, como en el caso de este paciente.
Poseen tres características esenciales, que son: estar unidas a cualquier segmento del tubo digestivo y con una misma irrigación sanguínea; tener una capa muscular, y poseer un revestimiento epitelial que corresponde generalmente a la mucosa del mismo trayecto.
Los síntomas más comunes son dolor abdominal inespecífico, náuseas, vómitos, hemorragia gastrointestinal, invaginación, obstrucción, ictericia o pancreatitis. No obstante, también pueden ser asintomáticas y pasar inadvertidas.
El diagnóstico se basa especialmente en los estudios imagenológicos, de los cuales, la ecografía prenatal toma cada vez más fuerza. También, son de gran ayuda la tomografía computarizada, la resonancia magnética y la gammagrafía.
Aunque en ocasiones se puede hacer un tratamiento endoscópico, la intervención quirúrgica es la elección, y cada vez se utiliza más la vía laparoscópica. Se debe practicar en los pacientes asintomáticos, con el fin de evitar futuras complicaciones y, en todos los casos, se debe hacer seguimiento de los pacientes.
Referencias
1. Jehangir S, Ninan PJ, Jacob TJ, Eapen A, Mathai J, Thomas RJ, et al. Enteric duplication in children: Experience from a tertiary center in South India. J Indian Assoc Pediatr Surg. 2015;20:174-8.
2. Letelier A, Barría C, Beltrán M, Moreno C. Duplicación intestinal: diagnóstico y tratamiento de una condición inusual. Revista Chilena de Cirugía. 2009;61:171-5.
3. Arantes V, Nery SR, Starling SV, Albuquerque W, Alberti LR. Duodenal duplication cyst causing acute recurrent pancreatitis, managed curatively by endoscopic marsupialization. Endoscopy. 2012;44:E117-8. doi:10.1055/s-0031-1291674.
4. Patiño J, Bettolli M. Alimentary tract duplications in newborns and children: Diagnostic aspects and the role of laparoscopic treatment. World J Gastroenterol. 2014;20:14263-71.
5. Pintér AB, Schubert W, Szemlédy F, Göbel P, Schäfer J, Kustos G. Alimentary tract duplications in infants and children. Eur J Pediatr Surg. 1992;2:8-12.
6. Mahnovski V, Mahour GH, Rowland JM. Gastric duplication-colonic fistula with colonic ulceration and bleeding. J Pediatr Surg. 1998;33:1815.
7. Hazebroek FW, Tibboel D, Klück P, Zondervan PE, Molenaar JC. Histopathological investigation of duplications of the alimentary tract. Z Kinderchir. 1986;41:90-2.
8. Bremer JL. Diverticula and duplications of the intestinal tract. Arch Pathol. 1944;38:132-40.
9. Favara BE, Franciosi RA, Akers DR. Enteric duplications. Thirty-seven cases: A vascular theory of pathogenesis. Am J Dis Child. 1971;122:501-6. doi:10.1001/archpedi.1971.02110060071012
10. Gálvez Y, Skába R, Kalousová J, Rousková B, Hríbal Z, Snajdauf J. Alimentary tract duplications in children: High incidence of associated anomalies. Eur J Pediatr Surg. 2004;14:79-84. doi:10.1055/s-2004-815852
11. Lange P. Abominal cysts and duplications. En: Mattei P. Fundamentals of Pediatric Surgery. eBook, Springer; 2011. p. 365-71.
12. Prasad TR, Tan CE. Duodenal duplication cyst communicating with an aberrant pancreatic duct. Pediatr Surg Int. 2005;21:320-2.
13. Hata H, Hiraoka N, Ojima H, Shimada K, Kosuge T, Shimoda T. Carcinoid tumor arising in a duplication cyst of the duodenum. Pathol Int. 2006;56:272-8.
14. You HS, Park SB, Kim JH, Lee HJ, Jang SP, Kim GH, et al. A case of duodenal duplication cyst manifested by duodenal polyp. Clin Endosc. 2012;45:425-7.
15. Tsai SD, Sopha SC, Fishman EK. Isolated duodenal duplication cyst presenting as a complex solid and cystic mass in the upper abdomen. J Radiol Case Rep. 2013;7:32-7. doi: 10.3941/jrcr.v7i11.1785
16. Macpherson RI. Gastrointestinal tract duplications: Clinical, pathologic, etiologic, and radiologic considerations. Radiographics. 1993;13:1063-80. doi:10.1148/ radiographics.13.5.8210590
17. Azzie G, Beasley S. Diagnosis and treatment of foregut duplications. Semin Pediatr Surg. 2003;12:46-54. doi:10.1016/s1055-8586(03)70006-7
18. Stringer MD, Dinwiddie R, Hall CM, Spitz L. Foregut duplication cysts: A diagnostic challenge. J R Soc Med. 1993;86:174-5.
19. Tawil M, Vera A, Rosero G, Arias F. Duplicación gástrica. Rev Colomb Cir. 1998;13:86-8.
20. Sand J, Matikainen M, Harmoinen A, Nordback I. Haemorrhage into a duodenal cyst with ectopic gastric epithelium, a rare cause of gastric outlet obstruction in an adult. Ann Chir Gynaecol. 1997;86:76-8.
21. Zamir G, Gross E, Shmushkevich A, Bar-Ziv J, Durst AL, Jurim O. Duodenal duplication cyst manifested by duodeno-jejunal intussusception and hyperbilirubinemia. J Pediatr Surg. 1999;34:1297-9.
22. Chen JJ, Lee HC, Yeung CY, Chan WT, Jiang CB, Sheu JC. Meta-analysis: The clinical features of the duodenal duplication cyst. J Pediatr Surg. 2010;45:1598-1606.
23. Vertruyen M, Cadière GB, Jacobovitz D, Renette JP, el Founas I, Ansay J. 2 cases of duodenal duplication. Acta Chir Belg. 1991;91:140-4.
24. Merrot T, Anastasescu R, Pankevych T, Tercier S, García S, Alessandrini P, et al. Duodenal duplications. Clinical characteristics, embryological hypotheses, histological findings, treatment. Eur J Pediatr Surg. 2006;16:18-23. doi:10.1055/s-2006-923798
25. Ballehaninna UK, Nguyen T, Burjonrappa S. Laparoscopic resection of antenatally identified duodenal duplication cyst. JSLS. 2013;17:454-8.
26. Lecouffe P, Spyckerelle C, Venel H, Meuriot S, Marchandise X. Use of pertechnetate 99mTc for abdominal scanning in localising an ileal duplication cyst: Case report and review of the literature. Eur J Nucl Med. 1992;19:65-7. doi:10.1007/bf00178310
27. Bar-Maor JA, Shoshany G, Israel O, Halpern M, Etzioni A. Tubular duplication of the jejunum and ileum lined entirely by gastric mucosa. J Pediatr Gastroenterol Nutr. 1985;4:303-6. doi: 10.1097/00005176-198504000-00026
28. Hur J, Yoon CS, Kim MJ, Kim OH. Imaging features of gastrointestinal tract duplications in infants and children: From oesophagus to rectum. Pediatr Radiol. 2007;37:691-9. doi:10.1007/s00247-007-0476-3
29. Kim JK, Park KK. Foregut duplication cyst of the hypopharynx: A rare cause of upper airway obstruction. J Pediatr Surg. 2007;42:E5-7.
30. Sauer B, Staritz M. The double pylorus - a rare endoscopic finding. Dtsch Med Wochenschr. 2012;137:368-70. doi:10.1055/s-0031-1298951
31. Kim J, Jarboe MD, Arnold MA, DiPietro MA, Bloom DA, Teitelbaum DH. Biliary duplication cyst with heterotopic gastric mucosa resulting in obstruction of the biliary system: A case report. J Pediatr Surg. 2012;47:e5-8. doi: 10.1016/j.jpedsurg.2012.01.066
32. Álvarez RD, Rodríguez AO, Echeverry LE. Caso inusual de duplicación apendicular complicado con apendicitis. Rev Colomb Cir. 2016;31:136-9.
33. Meier AH, Mellinger JD. Endoscopic management of a duodenal duplication cyst. J Pediatr Surg. 2012;47:E33-5.
34. Ros PR, Olmsted WW, Moser RP Jr, Dachman AH, Hjermstad BH, Sobin LH. Mesenteric and omental cysts: Histologic classification with imaging correlation. Radiology. 1987;164:327-32.
35. Rivero A, Núñez M, Cordero C, Armas JC, Hernández J, Valdés F. Duplicidad intestinal en el adulto joven. Rev Colomb Gastroenterol. 2003;18:247-51.
36. Barr LL, Hayden CK Jr, Stansberry SD, Swischuk LE. Enteric duplication cysts in children: Are their ultrasonographic wall characteristics diagnostic? Pediatr Radiol. 1990;20:326-8.
37. Liu R, Adler DG. Duplication cysts: Diagnosis, management, and the role of endoscopic ultrasound. Endosc Ultrasound. 2014;3:152-60.
38. Jayaraman MV, Mayo-Smith WW, Movson JS, Dupuy DE, Wallach MT. CT of the duodenum: An overlooked segment gets its due. Radiographics. 2001;21:S147-60.
39. Berrocal T, Torres I, Gutiérrez J, Prieto C, del Hoyo ML, Lamas M. Congenital anomalies of the upper gastrointestinal tract. Radiographics. 1999;19:855-72.
40. Karnak I, Ocal T, Senocak ME, Tanyel FC, Buyukpamukcu N. Alimentary tract duplications in children: Report of 26 years' experience. Turk J Pediatr. 2000;42:118-25.
41. Antaki F, Tringali A, Deprez P, Kwan V, Costamagna G, Le Moine O, et al. A case series of symptomatic intraluminal duodenal duplication cysts: Presentation, endoscopic therapy, and long-term outcome (with video). Gastrointest Endosc. 2008;67:163-8.
42. Chang HC, Huang S, Wu R, Yu M. Duodenal duplication cyst: A rare cause of geriatric gastrointestinal bleeding. J Chin Med Assoc. 2011;74:233-6.
Notas
Notas de autor
aCorrespondencia: Robin Germán Prieto, MD, Edifício Acomédica I, calle 127 No. 19ª-28. Correo electrónico: rgprietoo@hotmail.com
Declaración de intereses