Artículo de revisión
Detalles técnicos de la doble anastomosis hepático-yeyuno en Y de Roux, con base en la descripción de un caso
Technical details of double Roux-en-Y hepaticojejunostomy based on a clinical case description
Detalles técnicos de la doble anastomosis hepático-yeyuno en Y de Roux, con base en la descripción de un caso
Revista Colombiana de Cirugía, vol. 34, núm. 2, pp. 179-184, 2019
Asociación Colombiana de Cirugía
Recepción: 09 Julio 2018
Aprobación: 28 Septiembre 2018
Resumen:
La anastomosis hepático-yeyuno en Y de Roux se considera la técnica de elección para tratar lesiones quirúrgicas de la vía biliar, como su sección o resección. La pérdida de confluencia de los conductos hepáticos principales derecho e izquierdo es uno de los factores que incrementan la complejidad técnica durante el procedimiento y, en algunos de estos pacientes, se requiere una doble anastomosis hepático-yeyuno para garantizar resultados satisfactorios a largo plazo. Se describen los aspectos técnicos y los resultados posoperatorios del tratamiento quirúrgico empleado, con base en la intervención de una paciente con una lesión quirúrgica de la vía biliar y pérdida de la confluencia de los conductos hepáticos. La evolución de la paciente fue satisfactoria y se mantiene asintomática después de 12 meses de seguimiento. A pesar de ser una técnica compleja, la doble anastomosis hepático-yeyuno en Y de Roux resultó una opción segura de tratamiento en esta paciente.
Palabras clave: conductos biliares, conductos biliares extrahepáticos, procedimientos quirúrgicos del sistema biliar, complicaciones intraoperatorias, yeyuno, anastomosis en Y de Roux.
Abstract:
Roux-en-Y hepato-jejunostomy (RYHJ) is the technique of choice for the surgical treatment of bile duct injuries (BDI), such as section or resection. The loss of the hepatic confluence (LHC) increases the technical difficulties during the procedure and, in some of these patients, a doble-RYHJ is required to achieve a long term successful result. We report the technical aspects of the surgical technique as well as the results, based on the case of a young female patient with BDI and LHC. The patient shows a satisfactory evolution and remains asymptomatic during the 12 months of follow up. Double RYHJ, although technically demanding, resulted a safe option for treating this patient.
Keywords: bile ducts, bile ducts, extrahepatic, biliary tract surgical procedures, intraoperative complications, jejunum, anastomosis, Roux-en-Y.
Introducción
La lesión quirúrgica de la vía biliar continúa siendo un tema de interés médico multidisciplinario, que involucra diversos aspectos. A pesar de haberse descrito diferentes métodos y técnicas de reparación, la anastomosis hepático-yeyuno en Y de Roux es el procedimiento con mejores resultados comprobados a largo plazo, para el tratamiento de las lesiones de la vía biliar que impliquen estenosis, sección o resección 1.
La desconexión o pérdida de la confluencia de los conductos hepáticos es una situación quirúrgica compleja, en la cual se incrementan las exigencias técnicas para restablecer la continuidad bilioentérica y que, en muchos pacientes, afecta negativamente el resultado posoperatorio 2. En la mayoría de los casos, es técnicamente posible crear una nueva confluencia mediante la aproximación de ambos conductos hepáticos; sin embargo, en algunos pacientes esto no es posible, por lo cual se hace necesaria la doble anastomosis hepático-yeyuno.
En esta comunicación, se describen los aspectos técnicos de la doble anastomosis hepático-yeyuno y sus resultados posoperatorios, con base en la descripción del caso clínico.
Caso clínico
Se trata de una paciente de 34 años de edad, que consultó por dolor en hipocondrio derecho y fístula biliar externa después de una colecistectomía abierta y la reintervención para el drenaje del bilioperitoneo.
Se diagnosticó una lesión quirúrgica de la vía biliar (de tipo IV, según la clasificación de Bismuth) y un bilioma subhepático (figura 1a). La colección subhepática se drenó por vía percutánea con guía por ultrasonido; después de ocho semanas, tiempo en que mejoraron sus condiciones clínicas, se llevó a cabo el protocolo de estudio preoperatorio, el cual incluyó: colangiografía a través del tubo de drenaje subhepático, colangiorresonancia magnética y angiotomografía hepática.

En la colangiografía preoperatoria se verificó el paso del medio de contraste a través de la pared del duodeno; sin embargo, no se observó un orificio o trayecto fistuloso per se. Asimismo, se descartó una lesión vascular asociada, mediante tomografía computadorizada (TC) trifásica.
El procedimiento quirúrgico se inició con una colangiografía transparieto-hepática y la colocación de un catéter externo -derecho- de drenaje biliar. En seguida, se efectuó la laparotomía biliar y se disecaron las adherencias bilioentéricas; se corroboraron los hallazgos preoperatorios, por lo cual no fue necesaria maniobra alguna sobre la pared duodenal y se practicó una colangiografía intraoperatoria.
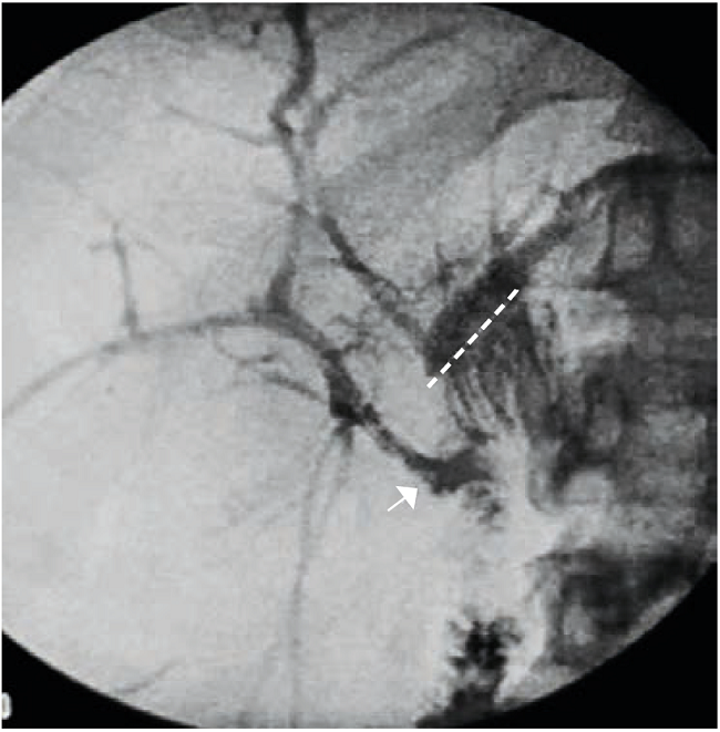
La doble anastomosis hepático-yeyuno en Y de Roux se llevó a cabo según la técnica que se describe a continuación. Previa exposición y disección de la placa hiliar, se comprobó la ubicación y la separación entre ambos conductos hepáticos (derecho e izquierdo) mediante colangiografía intraoperatoria (figura 1b). Se incidió el conducto hepático izquierdo en su cara anterior y se logró una apertura amplia. Se resecó el segmento 4b del hígado, y se procedió a la exposición y apertura longitudinal del conducto hepático derecho. Se practicó la doble anastomosis hepático-yeyuno en Y de Roux, con material sintético, monofilamento 5-0 (figura 1, c y d); ambas anastomosis se iniciaron en su cara posterior. Se dejó drenaje abdominal y un catéter transparieto-hepático por encima de la anastomosis bilioentérica derecha, para hacer el control radiológico.
La evolución posoperatoria fue satisfactoria y se le dio egreso a la paciente al tercer día de la intervención. En la colangiografía de control a los tres meses, se demostró la permeabilidad de la anastomosis (figura 2). A los doce meses de seguimiento, la paciente se mantiene en condiciones estables, bajo un esquema de control ambulatorio anual (examen clínico, pruebas de laboratorio y ultrasonido hepático).

Discusión
La etiología de las lesiones quirúrgicas de la vía biliar se ha asociado con múltiples factores. Álvarez, et al., los agrupan en factores relacionados con el paciente, con el cirujano y el ayudante quirúrgico, y con el equipo e instrumental empleados 3. En las encuestas nacionales, se señala a la falta de entrenamiento adecuado y a la carencia de destrezas en cirugía laparoscópica, como factores que propician su aparición 4. Asimismo, las colecistectomías laparoscópicas consideradas ‘difíciles’ se relacionan más frecuentemente con complicaciones posoperatorias y una de ellas es la lesión de la vía biliar 3.
En la mayoría de los casos, la lesión quirúrgica de la vía biliar se produce por una interpretación errónea de la anatomía biliar durante el procedimiento quirúrgico. Una confluencia ‘baja’ o una variante anatómica de la disposición biliar más frecuente, incrementan su riesgo 5,6.
Las lesiones quirúrgicas de la vía biliar abarcan desde fugas originadas en el conducto cístico o en el lecho vesicular, hasta estenosis o resecciones, tanto de la vía biliar principal como de las vías biliares intrahepáticas. Diferentes autores han profundizado en su estudio y, con base en esto, se han publicado diversas clasificaciones; en la más reciente, multicéntrica y multidisciplinaria, se tomó en consideración la gravedad de la lesión 7.
El manejo de las lesiones quirúrgicas de la vía biliar requiere del trabajo en conjunto de los grupos con interés en el tema -cirujanos, gastroenterólogos y radiólogos- para individualizar el tratamiento requerido por cada paciente. Cuando el tipo de lesión implica la resección de la vía biliar, la anastomosis hepático-yeyuno es el procedimiento de elección 1,8. Hoyos, et al., mencionan que el 24 % de los pacientes descritos en su serie presentaron lesión de tipo Bismuth IV y requirieron anastomosis hepático-yeyuno 8.
Un punto interesante por analizar en relación con la anatomía biliar de la paciente descrita, es que, en los estudios preoperatorios, lo identificado como conducto hepático derecho (figura 1) pudiera haber sido interpretado como un conducto sectorial posterior derecho de amplio diámetro y, el conducto izquierdo, como la unión del sectorial anterior derecho y el hepático izquierdo, lo cual se descartó durante la intervención quirúrgica, corroborándose una lesión de tipo Bismuth IV.
Las lesiones con pérdida de confluencia de los conductos hepáticos principales (de tipo IV según Bismuth, E4 o E5 según Strasberg o con grado 3 de gravedad), se consideran ‘complejas’ debido a las exigencias técnicas para su reparación y a los riesgos de morbimortalidad asociados 2,9.
Específicamente, en lesiones E4 o de gravedad 3, la opción terapéutica de elección es la creación de una nueva confluencia; sin embargo, de 11 a 33 % de estos pacientes requieren de la doble anastomosis hepático-yeyuno, ante la imposibilidad de crearla 1,9.
La elaboración de la doble anastomosis hepático-yeyuno representa un reto para el equipo quirúrgico, debido a su complejidad técnica; además, una vez llevada a cabo, las opciones terapéuticas se ven reducidas en caso de falla, es decir, de pérdida de la permeabilidad. Ante estas circunstancias, la instrumentación percutánea de la vía biliar o la resección hepática se han planteado como opciones de tratamiento y, como último recurso, el trasplante hepático, lo cual influye drásticamente en el pronóstico del paciente 10,11,12,13.
Por otra parte, las lesiones quirúrgicas de la vía biliar con pérdida de confluencia de los conductos hepáticos principales, se ven frecuentemente asociadas con lesiones vasculares, específicamente de la arteria hepática derecha 14; además, aunque es un tema de debate 15, se les relaciona con estenosis de la anastomosis bilioentérica o con el desarrollo de colangitis a largo plazo 16. Por todo esto, el detalle de la anatomía vascular hepática constituye un punto crítico en el protocolo de estudio preoperatorio del paciente.
Truant, et al., en una revisión de 31 artículos publicados durante 18 años que incluyó 99 pacientes, mencionan a las lesiones quirúrgicas de la vía biliar de tipo E4 o E5 y a las lesiones vasculares, como factores independientes asociados con resecciones hepáticas posteriores a la colecistectomía, en su gran mayoría, hepatectomías derechas 13. Por otra parte, Pekolj, et al., en un estudio de 20 años, señalan que, de las resecciones hepáticas mayores a consecuencia de una lesión quirúrgica de la vía biliar, el 73,3 % correspondió a lesiones de tipo E4 o E5 11.
El objetivo de la técnica de reparación de la lesión quirúrgica de la vía biliar, es mantener la permeabilidad y función de la anastomosis bilioentérica en el tiempo, ya que es conocida la posibilidad de falla o disfunción de la anastomosis a largo plazo 7. La elaboración de una nueva confluencia limita las complicaciones relacionadas con las anastomosis complejas o de alto riesgo, en particular, la efectuada con el conducto hepático derecho debido, entre otros factores, a la disposición de esta estructura anatómica. La presencia de tejido isquémico, cicatricial o cirrótico, o la imposibilidad de establecer una anastomosis libre de tensión, son factores que afectan negativamente la posibilidad de una nueva confluencia segura.
En general, los pacientes con derivaciones bilioentéricas requieren controles clínicos periódicos, en los cuales se deben incluir estudios de laboratorio e imágenes a fin de evaluar los resultados de la técnica a largo plazo. En una serie de 53 pacientes con pérdida de confluencia de los conductos hepáticos, Mercado, et al., informaron seis casos que ameritaron doble anastomosis hepático-yeyuno por lesión quirúrgica de la vía biliar. De estos, la mitad permaneció asintomática en un periodo de seguimiento de seis años en promedio, y la otra mitad presentó episodios de colangitis recurrente. Dos de estos últimos pacientes requirieron hepatectomía derecha y otro desarrolló cirrosis hepática posterior a los intentos de tratamiento percutáneo 9.
Ciertos detalles técnicos se asocian con un mejor resultado posoperatorio, según lo descrito por varios autores 1,17,18, a saber: hacer una anastomosis amplia mediante la apertura de la luz de ambos conductos hepáticos (figura 1, c y d), en tejido sano, para lo cual debe resecarse el tejido fibroso perianastomótico, sin tensión, con adecuada irrigación de ambos componentes (biliar e intestinal), y uso de material de sutura adecuado, idealmente, monofilamento reabsorbible 5-0.
Asimismo, y de ser necesario, debe llevarse a cabo la resección de tejido hepático (segmentos 4 o 5) para lograr una mayor superficie de exposición del conducto hepático derecho, sin disección excesiva de los conductos hepáticos, a fin de evitar la pérdida de irrigación sanguínea 19.
Además, en el presente caso, se practicó una colangiografía percutánea intraoperatoria y se colocó un catéter en el conducto hepático derecho, lo cual facilitó localizar esta estructura anatómica y exponerla durante el acto quirúrgico, además de permitir el control radiológico posoperatorio (figura 2). En relación con esto, y como resultado de la disposición del conducto hepático derecho dentro del parénquima hepático, el ultrasonido transoperatorio o la colocación de un catéter en su interior proporcionan información adicional para localizar esta estructura anatómica, lo cual permite acortar los tiempos quirúrgicos y mejorar los resultados posoperatorios. Este último punto plantea un interesante tema de discusión, según lo propone Pekolj en su editorial recientemente publicada 20.
En conclusión, la doble anastomosis hepático-yeyuno en Y de Roux es una técnica compleja, que requiere del conocimiento de ciertos detalles técnicos para obtener resultados satisfactorios. En la paciente descrita, resultó una opción de tratamiento adecuada; sin embargo, consideramos necesario su seguimiento continuo a fin de evaluar los resultados a largo plazo.
Referencias
1. Winslow ER, Fialkowski E, Linehan D, Hawkins W, Picus D, Strasberg S. "Sideways": Results of repair of biliary injuries using a policy of side-to-side hepatico-jejunostomy. Ann Surg. 2009;249:426-34.
2. Mercado MA, Franssen B, Domínguez I, Arriola-Cabrera JC, Ramírez-Del Val F, Elnecavé-Olaiz A, et al. Transition from a low to a high-volume center for bile duct repair: Changes in technique and improved outcome. HPB (Oxford). 2011;13:767-73.
3. Álvarez LF, Rivera D, Esmeral ME, García MC, Toro DF, Rojas OL. Colecistectomía laparoscópica difícil, estrategias de manejo. Rev Colomb Cir. 2013;28:186-9.
4. Acevedo A, Lopera C, Vergnaud JP, Vásquez J. Lesiones de la vía biliar durante la colecistectomía laparoscópica. Factores técnicos, anatómicos y educacionales. Rev Colomb Cir. 2006;21:116-23.
5. Chamberlain RS. Essential functional hepatic and biliary anatomy for the surgeon. In: Hesham A. Hepatic surgery. Newark, NJ: InTech; 2013. p. 41-60.
6. Wojcicki M, Patkowski W, Chmurowicz T, Bialek A, Wiechowska-Kozlowska A, Stankiewicz R, et al. Right posterior bile duct injury following cholecystectomy: Report of two cases. World J Gastroenterol. 2013;19:6118-21. doi: 10.3748/wjg.v19.i36.6118
7. Cho JY, Baron TH, Carr-Locke DL, Chapman WC, Costamagna G, de Santibanes E, et al. Proposed standards for reporting outcomes of treating biliary injuries. HPB (Oxford). 2018;20:370-8.
8. Hoyos SI, Quintero VM. Lesión quirúrgica de la vía biliar: experiencia en la Unidad de Cirugía Hepatobiliar y Pancreática del Hospital Pablo Tobón Uribe de Medellín. Rev Colomb Cir. 2009;24:244-9.
9. Mercado MA, Vilatoba M, Contreras A, Leal-Leyte P, Cervantes-Álvarez E, Arriola JC, et al. Iatrogenic bile duct injury with loss of confluence. World J Gastrointest Surg. 2015;7:254-60. doi: 10.4240/wjgs.v7.i10.254
10. Lauterio A, De Carlis R, Di Sandro S, Ferla F, Buscemi V, De Carlis L. Liver transplantation in the treatment of severe iatrogenic liver injuries. World J Hepatol. 2017;9:1022-9. doi: 10.4254/wjh.v9.i24.1022
11. Pekolj J, Yanzón A, Dietrich A, Del Valle G, Ardiles V, de Santibañes E. Major liver resection as definitive treatment in post-cholecystectomy common bile duct injuries. World J Surg. 2015;39:1216-23. doi: 10.1007/s00268-014-2933-0
12. Ardiles V, McCormack L, Quiñonez E, Goldaracena N, Mattera J, Pekolj J, et al. Experience using liver transplantation for the treatment of severe bile duct injuries over 20 years in Argentina: Results from a National Survey. HPB (Oxford). 2011;13:544-50.
13. Truant S, Boleslawski E, Lebuffe G, Sergent G, Pruvot FR. Hepatic resection for post-cholecystectomy bile duct injuries: A literature review. HPB (Oxford). 2010;12:334-41.
14. Stewart L, Robinson TN, Lee CM, Liu K, Whang K, Way LW. Right hepatic artery injury associated with laparoscopic bile duct injury: Incidence, mechanism, and consequences. J Gastrointest Surg. 2004;8:523-30.
15. Alves A, Farges O, Nicolet J, Wadrin T, Sauvanet A, Belghiti J. Incidence and consequence of an hepatic artery injury in patients with post cholecystectomy bile duct strictures. Ann Surg. 2003;238:211-5.
16. Koffron A, Ferrario M, Parson A, Nervicec A, Salker M, Abecassis M. Failed primary managements of iatrogenic biliary injuries: Incidence and significance of concomitant hepatic arterial disruption. Surgery. 2001;130:722-31.
17. Jarnagin WR, Blumgart LH. Operative repair of bile duct injuries involving the hepatic duct confluence. Arch Surg. 1999;134:769-75.
18. Strasberg SM, Picus DD, Delvin JA. Results of a new strategy for reconstruction of biliary injuries having an isolated right sided component. J Gastrointest Surg. 2001;3:266-74.
19. Mercado MA, Chan C, Orozco H, Villalta JM, Barajas-Olivas A, Eraña J, et al. Long-term evaluation of biliary reconstruction after partial resection of segments IV and V in iatrogenic injuries. J Gastrointest Surg. 2006;10:77-82.
20. Pekolj J. La contemporización biliar percutánea como estrategia en el tratamiento de la lesión quirúrgica de la vía biliar. Rev Argent Cirug. 2018;110:9-10. doi: 10.25132/raac.v110.n1.edpe.es
Notas
Notas de autor
aCorrespondencia: Freddy Pereira, Day Hospital # 5, Avenida Principal de Lechería, Estado Anzoátegui, CP 6016, Venezuela. Telf: +58 4166138797, Estado Anzoátegui, Venezuela, Correo electrónico: freddypereiragraterol@gmail.com
Declaración de intereses