Presentación de caso
Manejo del mesotelioma peritoneal maligno con citorreducción quirúrgica más quimioterapia hipertérmica intraperitoneal en el Instituto Nacional de Cancerología, Colombia: reporte de un caso y revisión bibliográfica
Peritoneal malignant mesothelioma treated with cytoreductive surgery and hyperthermic intraperitoneal chemotherapy at the National Cancer Institute, Colombia: case report and literature review
Manejo del mesotelioma peritoneal maligno con citorreducción quirúrgica más quimioterapia hipertérmica intraperitoneal en el Instituto Nacional de Cancerología, Colombia: reporte de un caso y revisión bibliográfica
Revista Colombiana de Cirugía, vol. 34, núm. 3, pp. 292-299, 2019
Asociación Colombiana de Cirugía
Recepción: 26 Noviembre 2018
Aprobación: 07 Febrero 2019
Resumen:
El mesotelioma peritoneal es una neoplasia que se origina en las células mesoteliales del peritoneo. Históricamente, la supervivencia de los pacientes con mesotelioma peritoneal maligno sin tratamiento, es menor de 12 meses y se considera una neoplasia resistente a la quimioterapia. La citorreducción quirúrgica y la quimioterapia regional administrada como quimioterapia hipertérmica intraperitoneal (Hyperthermic Intraperitoneal Chemotherapy, HIPEC) se asocia con mejor supervivencia a largo plazo. Se presenta el caso de un paciente con antecedentes de exposición al asbesto y con diagnóstico de mesotelioma peritoneal maligno de tipo epitelioide, que fue tratado con cirugía citorreductora más quimioterapia hipertérmica intraperitoneal en el Instituto Nacional de Cancerología con una supervivencia de un año libre de enfermedad.
Palabras clave: mesotelioma, peritoneo, procedimientos quirúrgicos de citorreducción, quimioterapia del cáncer por perfusión regional, hipertermia inducida.
Abstract: Peritoneal mesothelioma is originated at the mesothelial cells of the peritoneum. Historically the survival of patients with this disease is less than 12 months without treatment and it is considered a neoplasm resistant to chemotherapy. Citorreductive surgery with hiperthermic intraperitoneal chemotherapy (HIPEC) is associated with an increased long-term survival. Here we present the case of a patient who had a past history of asbestos exposure and who was diagnosed with peritoneal mesothelioma of the epithelioid subtype. The patient was treated with cytoreductive surgery and HIPEC at the Instituto Nacional de Cancerología (Bogotá, Colombia) and has had a 12 month disease free survival.
Key words: mesothelioma, peritoneum, cytoreduction surgical procedures, chemotherapy cancer regional perfusion, hyperthermia induced.
Introducción
El mesotelioma es una neoplasia que se origina en las células mesoteliales de la pleura y el peritoneo 1,2, aunque también se han descrito casos de mesotelioma pericárdico 3. Se divide en tres tipos histológicos: mesotelioma maligno, mesotelioma quístico y mesotelioma papilar bien diferenciado 2, y representa del 15 al 25 % de todos los mesoteliomas 4,5, excepto en una serie de casos de China, en la cual esta neoplasia correspondió al 68 % 6.
Históricamente, la supervivencia de los pacientes con mesotelioma peritoneal maligno sin tratamiento es menor de 12 meses y se considera una neoplasia resistente a la quimioterapia. La citorreducción quirúrgica más quimioterapia regional, la hipertérmica intraperitoneal (Hyperthermic Intraperitoneal Chemotherapy, HIPEC) o la intraperitoneal posquirúrgica temprana (Early Post-operative Intraperitoneal Chemotherapy, EPIC), se asocia con mejor supervivencia a largo plazo 4,7.
Se presenta un caso de mesotelioma peritoneal maligno tratado con cirugía citorreductora más quimioterapia hipertérmica intraperitoneal en el Instituto Nacional de Cancerología con una supervivencia de un año libre de enfermedad.
Descripción del caso
Se trata de un hombre de 61 años de edad, albañil de profesión, con antecedentes ocupacionales de exposición al asbesto durante 20 años, que fue operado de apendicitis aguda en una clínica de Bogotá. Durante la cirugía, se encontró una tumoración en la capa serosa del apéndice, cuyo reporte de histopatología informó una proliferación mesotelial atípica sugestiva de mesotelioma.
El paciente no tenía antecedentes patológicos ni quirúrgicos relevantes y, en la revisión por sistemas, refirió dolor abdominal difuso de siete meses de evolución.
En la primera consulta en el Instituto Nacional de Cancerología, el paciente se encontraba en regulares condiciones generales, con desnutrición leve y aumento del perímetro abdominal por ascitis. En la tomografía computarizada (TC) de abdomen con contraste que le había sido tomada, se apreciaba ascitis, alteración de la densidad de la grasa mesentérica y realce difuso del peritoneo.
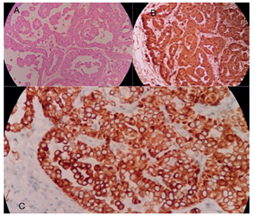
En la revisión de las láminas de histología en el Instituto se pudo demostrar expresión de las citoqueratinas (CK) CK5/6 y CK7, el factor de transcripción WT1 y la proteína calretinina, con un marcador de proliferación Ki-67 del 10 %, además, la CK20 y el antígeno carcinoembrionario fueron negativos. Esto confirmaba el diagnóstico de mesotelioma peritoneal maligno de tipo epitelioide (figura 1).

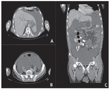
Con los estudios de extensión, se descartó enfermedad extraperitoneal y se calculó un índice de carcinomatosis peritoneal (Peritoneal Cancer Index, PCI) de 15 mediante la TC (figura 2) y de 21 por laparoscopia.

El caso se presentó en la junta institucional de malignidad peritoneal, en la cual se avaló la conducta de practicar una cirugía citorreductora más quimioterapia hipertérmica intraperitoneal.
El abordaje quirúrgico se hizo a través de una incisión xifopúbica con disección extraperitoneal, para facilitar la peritonectomía parietal de los cuatro cuadrantes, incluyendo las cicatrices quirúrgicas previas y el muñón umbilical (figura 3).

Se drenaron tres litros de líquido ascítico, y se practicaron los siguientes procedimientos: peritonectomía de ambas cúpulas diafragmáticas; escisión de múltiples implantes de la cápsula hepática en los segmentos VII y VIII; esplenectomía; omentectomía radical; resección radical del peritoneo pélvico, y resección anterior del recto, con un puntaje de citorreducción de 0 (CC-0: sin enfermedad macroscópica residual). Se calculó un índice de carcinomatosis peritoneal de 27 y, con técnica cerrada, se practicó la quimioterapia hipertérmica intraperitoneal con 50 mg/m2 de cisplatino y 15 mg/m2 de doxorrubicina a 42 0C durante 60 minutos.
El paciente requirió empaquetamiento abdominal por sangrado hepático y no se hizo la anastomosis colorrectal por la condición del paciente en el transoperatorio. El tiempo quirúrgico fue de 13 horas. Se practicaron una colostomía de tipo Hartman y tres lavados peritoneales terapéuticos, los días siguientes a la cirugía.
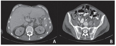
El paciente requirió manejo en la unidad de cuidados intensivos durante 20 días y se le dio egreso 30 días después de la cirugía. La histopatología quirúrgica confirmó el compromiso de todos los órganos resecados por mesotelioma peritoneal maligno y, al completar el primer año de seguimiento clínico, los estudios de imágenes no habían evidenciado recaída de la enfermedad (figura 4).

Discusión
La incidencia global anual del mesotelioma peritoneal maligno oscila entre 0,7 y 1,2 casos por cada millón de habitantes 1,7. En múltiples estudios se han proyectado los picos de su incidencia: en Australia, será entre 2015 y 2025, en Italia, entre 2011 y 2015, y en Gran Bretaña, entre 2012 y 2024 8,9. La edad del diagnóstico oscila entre los 40 y los 67 años 1,4 y la relación de la incidencia entre hombres y mujeres es cercana a uno 10,11, aunque en algunas series hay predominio del sexo masculino 1,7 y, en otras, predomina el sexo femenino 6.
Los factores de riesgo son la exposición al asbesto y a la radiación ionizante, con un riesgo del 10 % durante la vida de desarrollar mesotelioma y un periodo de latencia de 30 a 40 años para el caso de la exposición al asbesto. Las tasas de exposición al asbesto varían entre 33 y 90 % en los pacientes con mesotelioma peritoneal maligno 5,7,12,13,14,15, y se cree que las células mesoteliales y los macrófagos expuestos al asbesto generan radicales libres de oxígeno y de nitrógeno que alteran la estructura del ADN y, además, liberan citocinas y factores de crecimiento que inducen inflamación y transformación maligna 10,16.
En un estudio se contaron las fibras de asbesto por gramo de tejido peritoneal y se encontró que solo el 55 % de los mesoteliomas peritoneales malignos tenía un número de fibras por encima del rango normal (0 a 20), en comparación con el 83 % de los mesoteliomas pleurales malignos; no obstante, en promedio, el número de fibras de asbesto por gramo de tejido fue mayor en los pacientes con compromiso peritoneal (127.000 Vs. 15.900) 5.
Algunos pacientes tiene supervivencias prolongadas y otros presentan una rápida progresión de la enfermedad, lo cual se ha atribuido a la heterogeneidad de la biología tumoral 4. Los mesoteliomas se diagnostican de forma tardía por los síntomas inespecíficos, entre los que se encuentran dolor abdominal vago, aumento del perímetro abdominal por la ascitis, pérdida de peso, fiebre, diarrea y vómito 14,15.
La TC abdominal con contraste es el estudio imagenológico de elección para los pacientes con mesotelioma peritoneal maligno, y sus principales signos son: ascitis (69 %), engrosamiento peritoneal (59 %), masa abdominal (37 %) y engrosamiento mesentérico (27 %). Algunos son factores pronósticos negativos, como el acortamiento mesentérico y la enfermedad periportal. La resonancia magnética puede tener ventajas en la evaluación de los pacientes con ascitis y la tomografía por emisión de positrones (PET-CT), aunque no está indicada de rutina, evalúa con mayor precisión el compromiso ganglionar y es útil en el seguimiento de los pacientes 7,17.
El diagnóstico se basa en la confirmación histológica del mesotelioma peritoneal maligno, y se puede obtener mediante una biopsia guiada con tomografía o por laparoscopia. Los subtipos histológicos de esta neoplasia son: epitelioide (75 a 90 %), sarcomatoide y bifásico 18. La inmunohistoquímica es esencial para el diagnóstico definitivo y, aunque no existe un marcador único específico de mesotelioma, se deben tener, al menos, dos marcadores positivos entre citoqueratinas 5 y 6, calretinina, WT-1, HBME-1 y vimentina; además, debe ser negativa para antígeno carcinoembrionario, Ber-Ep4, LeuM1 y Bg8 4,7.
Los marcadores tumorales como CA-125, CA 19-9, CA 15.3, fibulina 3 y mesotelina, se pueden valorar para favorecer el diagnóstico o para hacer el seguimiento de los pacientes. La fibulina y la mesotelina son muy específicos para la enfermedad, pero su utilidad clínica es aún desconocida 17.
En estudios pequeños, se ha encontrado asociación con mutaciones somáticas y germinales del gen supresor tumoral BPA1 en 61 a 85 % de los pacientes con mesotelioma peritoneal maligno 19. En 5 a 15 % de los casos, se encuentran mutaciones en los genes DDX3X y SETD2, en el 21 %, en el gen NF2 y, en el 33 %, en el gen CDKN2A. Estos hallazgos sugieren que la alteración de la transcripción es un mecanismo clave en la tumorogénesis mesotelial. Además, mediante la inmunofluorescencia (Fluorescent in situ Hybridization, FISH) y la inmunohistoquímica, se puede diferenciar el mesotelioma peritoneal maligno de su forma benigna y del compromiso secundario por otros tumores 19.
Usualmente, el mesotelioma peritoneal maligno queda confinado al peritoneo; el compromiso ganglionar (5 a 10 %) y el compromiso extraperitoneal (3 a 5 %) son raros 20 y, en algunos casos, se ha descrito infiltración del hígado, del colon, del pulmón y del hueso 7.
El índice de carcinomatosis peritoneal tiene valor pronóstico y es útil para la valoración prequirúrgica del tumor en el abdomen, con un puntaje de 0 a 39 según la extensión de la enfermedad 4. Este índice (PCI) se ha utilizado como un sustiuto del sistema de estadificación TNM; el tumor primario se clasifica como T1, con un PCI entre 1 y 10; como T2, con un PCI entre 11 y 20; como T3, con un PCI entre 21 y 30, y como T4, con un PCI mayor de 30; la N y la M codifican la presencia o la ausencia de metástasis ganglionares o peritoneales, respectivamente.
Con base en este sistema, la supervivencia a cinco años es de 87 % en caso de tumores en el estadio I (T1N0M0); de 53 %, en el estadio II (T2N0M0 o T3N0M0), y de 29 %, en el estadio III, ya sean T4, N1 o M14.
Actualmente, la radioterapia no tiene un papel definido en el tratamiento del mesotelioma peritoneal maligno. Se considera un tumor resistente a la quimioterapia, la cual permite una tasa de mejoría del 25 % 7; no obstante, cuando esta se usa como adyuvante, se ha asociado con un aumento de la supervivencia global y de la supervivencia libre de enfermedad 21.
El tratamiento sistémico de elección es pemetrexed más cisplatino, el cual se utiliza como tratamiento primario en los pacientes con mesotelioma peritoneal maligno irresecable o con un tumor cuya histología sea sarcomatoide o bifásica, los cuales no se benefician del tratamiento quirúrgico 22,23.
Actualmente, no existen terapias moleculares para el mesotelioma peritoneal maligno y las investigaciones en este sentido se han orientado hacia la enfermedad pleural 10.
La citorreducción quirúrgica más quimioterapia intraperitoneal perioperatoria, ya sea hipertérmica intraperitoneal o intraperitoneal posquirúrgica temprana, es el tratamiento de primera línea en los pacientes con mesotelioma peritoneal maligno de tipo epitelioide 17, y aumenta la supervivencia desde 6 meses, en pacientes que no reciben ningún tratamiento, hasta 34 a 92 meses, en pacientes sometidos a cirugía 4,7,11,15,17. Los objetivos de este tratamiento combinado son la resección completa de la enfermedad macroscópica y la administración de quimioterapia intraperitoneal hipertérmica a altas dosis para tratar la enfermedad micrometastásica.
En un metanálisis de 20 publicaciones con 1.047 pacientes con mesotelioma peritoneal maligno sometidos a citorreducción más quimioterapia intraperitoneal perioperatoria, reportaron una supervivencia a cinco años de 42 % y una mortalidad perioperatoria entre 0 y 5 %. El porcentaje de pacientes que obtuvieron citorreducción completa (CC-0) o casi completa (CC-1: ganglios residuales <2,5 mm), estuvo entre 46 y 93 % 12.
En el estudio multicéntrico retrospectivo más grande de Estados Unidos y Europa, que incluyó 29 centros y 401 pacientes, el promedio de la supervivencia fue de 53 meses, el 47 % de los pacientes estaban vivos a los cinco años, y los factores pronósticos favorables fueron el tipo histológico epiteloide, la ausencia de compromiso ganglionar, la citorreducción completa o casi completa (CCR-0 o CCR-1) y la quimioterapia hipertérmica intraperitoneal 24.
En otro estudio multicéntrico los resultados fueron similares: supervivencia media de 38 meses y 41 % de los pacientes vivos a los cinco años; además, identificaron como factores de mejor pronóstico el uso de cisplatino en la quimioterapia hipertérmica intraperitoneal y la edad menor de 60 años 25.
En un estudio sobre citorreducción quirúrgica seguida de quimioterapia intraperitoneal hipertérmica, se compararon los resultados de la peritonectomía parietal selectiva con los de la completa; la supervivencia a cinco años fue de 64 % con peritonectomía parietal completa y, de 40 %, con la selectiva, sin diferencias en la morbimortalidad 26. No obstante, faltan más estudios para establecer qué tipo de peritonectomía ofrece los mejores resultados.
Después de la citorreducción y antes de la reconstrucción intestinal, se debe preparar el abdomen y la pelvis para la quimioterapia hipertérmica intraperitoneal. Para dicha quimioterapia, se usa un agente basado en el platino, como el cisplatino, si la función renal es adecuada; aunque se han utilizado combinaciones de cisplatino o carboplatino con doxorrubicina, mitomicina, pemetrexed o ifosfamida, no existen estudios prospectivos al respecto y se debe usar el esquema con el que los cirujanos estén familiarizados 11,17.
En un estudio publicado en el 2017, se incluyeron pacientes tratados con citorreducción quirúrgica y se dividieron en tres grupos: uno solo con quimioterapia hipertérmica intraperitoneal, otro con quimiotrapia intraperitoneal posquirúrgica temprana, y otro con quimioterapia hipertérmica intraperitoneal más quimioterapia normotérmica intraperitoneal (Normothermic Intraperitoneal Chemotherapy, NIPEC) adyuvante a largo plazo durante seis meses; se encontró que la supervivencia a cinco años en el primer grupo fue de 44 %, en el segundo grupo, de 52 %, y en el tercer grupo, de 75 % 27. Este estudio sugiere que estos pacientes podrían beneficiarse de un tratamiento a largo plazo con quimioterapia normotérmica intraperitoneal como tratamiento adyuvante.
En aquellos pacientes con mesotelioma peritoneal maligno recurrente, también se puede considerar la citorreducción quirúrgica más quimioterapia hipertérmica intraperitoneal, con una supervivencia entre 21,8 y 80 meses después de la segunda citorreducción y una morbimortalidad similar a la de la primera 7,11,28,29.
Algunos estudios sugieren que la duración de la exposición al asbesto mayor de 20 años 14, un Ki-67 mayor o igual a 25 % 30, trombocitosis prequirúrgica 31,32, albúmina menor de 3,5 g/dl y la relación entre neutrófilos y linfocitos mayor o igual a 3 13, se asocian con un peor pronóstico, aun después de una adecuada citorreducción quirúrgica más quimioterapia hipertérmica intraperitoneal.
La citorreducción completa (CC-0) y la casi completa (CC-1), se asocian con mejor supervivencia libre de enfermedad, en comparación con la CC-2 (ganglios residuales entre 2,5 mm y 2,5 cm) o la CC-3 (ganglios residuales >2,5 cm) 27,33.
En Colombia, se reportaron los primeros casos de cirugía citorreductora más quimioterapia hipertérmica intraperitoneal para el tratamiento del pseudomixoma peritoneal, en el 2009 34. En el 2012, se reportó una serie de 24 pacientes con diversas enfermedades, pero ninguno con mesotelioma peritoneal maligno 35. En el 2017, se reportaron dos pacientes con pseudomixoma peritoneal tratados con una segunda citorreducción 36. En el presente trabajo, reportamos el primer caso de mesotelioma peritoneal maligno tratado con este tipo de tratamiento en Colombia.
Conclusiones
La supervivencia global y la supervivencia libre de enfermedad de los pacientes con mesotelioma peritoneal maligno, mejoraron con la cirugía; en todo el mundo, la mayoría de los pacientes con esta enfermedad solo reciben tratamiento paliativo o quimioterapia sistémica. Solo dos de cada tres pacientes en Estados Unidos, reciben el tratamiento apropiado 11 y, aunque en Colombia no tenemos estas cifras, se sabe que el panorama es aún más desalentador. Se necesitan más esfuerzos para garantizarle a estos pacientes el acceso a un tratamiento apropiado.
Se presenta el primer paciente con diagnóstico de mesotelioma peritoneal maligno tratado con cirugía citorreductora más quimioterapia hipertérmica intraperitoneal en Colombia, quien ha presentado una buena evolución y no tiene signos de recaída después de 12 meses.
Referencias
1. Salo SAS, Ilonen I, Laaksonen S, Myllärniemi M, Salo JA, Rantanen T. Epidemiology of malignant peritoneal mesothelioma: A population-based study. Cancer Epidemiol. 2017;51:81-6.
2. Park JY, Kim KW, Kwon HJ, Park MS, Kwon GY, Jun SY, et al. Peritoneal mesotheliomas: Clinicopathologic features, CT findings, and differential diagnosis. AJR. 2008;191:814-25.
3. Quintero V, Múnera AG, Arroyave JA, Duque M. Mesotelioma pericárdico primario manifestado como derrame pericárdico severo. Rev Colomb Cardiol. 2015;22:44-8.
4. Li CY, Alexander HR Jr. Peritoneal Metastases from Malignant Mesothelioma. Surg Oncol Clin N Am. 2018;27:539-49. doi: 10.1016/j.soc.2018.02.010.
5. de Ridder GG, Kraynie A, Pavlisko EN, Oury TD, Roggli VL. Asbestos content of lung tissue in patients with malignant peritoneal mesothelioma: A study of 42 cases. Ultrastruct Pathol. 2016;40:134-41. doi: 10.3109/01913123.2016.1170085.
6. Guo Z, Carbone M, Zhang X, Su D, Sun W, Lou J, et al. Improving the accuracy of mesothelioma diagnosis in China. J Thorac Oncol. 2017;12:714-23. doi: 10.1016/j.jtho.2016.12.006.
7. Cao S, Jin S, Cao J, Shen J, Hu J, Che D, et al. Advances in malignant peritoneal mesothelioma. Int J Colorectal Dis. 2014;30:1-10.
8. Soeberg MJ, Leigh J, Driscoll T, Armstrong B, Young JM, van Zandwijk N. Incidence and survival trends for malignant pleural and peritoneal mesothelioma, Australia, 1982-2009. Occup Environ Med. 2016;73:187-94. doi: 10.1136/oemed-2015-103309.
9. Pira E, Donato F, Maida L, Discalzi G. Exposure to asbestos: Past, present and future. J Thorac Dis. 2018;10(Suppl.2):S237-45. doi: 10.21037/jtd.2017.10.126.
10. Bononi A, Napolitano A, Pass HI, Yang H, Carbone M. Latest developments in our understanding of the pathogenesis of mesothelioma and the design of targeted therapies. Expert Rev Respir Med. 2015;9:633-54.
11. Sugarbaker PH, Turaga KK, Alexander HR Jr, Deraco M, Hesdorffer M. Management of malignant peritoneal mesothelioma using cytoreductive surgery and perioperative chemotherapy. J Oncol Pract. 2016;12:928-35. doi: 10.1200/JOP.2016.011908.
12. Helm JH, Miura JT, Glenn JA, Marcus RK, Larrieux G, Jayakrishnan TT, et al. Cytoreductive surgery and hyperthermic intraperitoneal chemotherapy for malignant peritoneal mesothelioma: A systematic review and meta-analysis. Ann Surg Oncol. 2015;22:1686-93. doi: 10.1245/s10434-014-3978-x.
13. Yin W, Zheng G, Yang K, Song H, Liang Y. Analysis of prognostic factors of patients with malignant peritoneal mesothelioma. World J Surg Oncol. 2018;16:44. doi: 10.1186/s12957-018-1350-5.
14. Kaya H, Sezgi C, Tanrikulu AC, Taylan M, Abakay O, Sen HB, et al. Prognostic factors influencing survival in 35 patients with malignant peritoneal mesothelioma. Neoplasma. 2014;61:433-8.
15. Miura JT, Johnston FM, Gamblin TC, Turaga KK. Current trends in the management of malignant peritoneal mesothelioma. Ann Surg Oncol. 2014;21:3947-53. doi: 10.1245/s10434-014-3803-6.
16. Ossa AC, Gómez DM, Espinal CE. Asbesto en Colombia: un enemigo silencioso. Iatreia. 2014;27:53-62.
17. Turaga KK, Deraco M, Alexander HR. Current management strategies for peritoneal mesothelioma. Int J Hyperthermia. 2017;33:579-81. doi: 10.1080/02656736.2017.1320591.
18. Liu S, Staats P, Lee M, Alexander HR Jr, Burke AP. Diffuse mesothelioma of the peritoneum: Correlation between histological and clinical parameters and survival in 73 patients. Pathology. 2014;46:604-9.
19. Joseph NM, Chen YY, Nasr A, Yeh I, Talevich E, Onodera C, et al. Genomic profiling of malignant peritoneal mesothelioma reveals recurrent alterations in epigenetic regulatory genes BAP1, SETD2, and DDX3X. Mod Pathol. 2017;30:246-54. doi: 10.1038/modpathol.2016.188.
20. Magge D, Zenati MS, Austin F, Mavanur A, Sathaiah M, Ramalingam L, et al. Malignant peritoneal mesothelioma: Prognostic factors and oncologic outcome analysis. Ann Surg Oncol. 2014;21:1159-65.
21. Kepenekian V, Elias D, Passot G, Mery E, Goere D, Delroeux D, et al. Diffuse malignant peritoneal mesothelioma: Evaluation of systemic chemotherapy with comprehensive treatment through the RENAPE Database: Multi-institutional retrospective study. Eur J Cancer. 2016;65:69-79.
22. Carteni G, Manegold C, García GM, Siena S, Zielinski CC, Amadori D, et al. Malignant peritoneal mesothelioma -results from the International Expanded Access Program using pemetrexed alone or in combination with a platinum agent. Lung Cancer. 2009;64:211-8.
23. Jänne PA, Wozniak AJ, Belani CP, Keohan ML, Ross HJ, Polikoff JA, et al. Open-label study of pemetrexed alone or in combination with cisplatin for the treatment of patients with peritoneal mesothelioma: Outcomes of an expanded access program. Clin Lung Cancer. 2005;7:40-6.
24. Yan TD, Deraco M, Baratti D, Kusamura S, Elias D, Glehen O, et al. Cytoreductive surgery and hyperthermic intraperitoneal chemotherapy for malignant peritoneal mesothelioma: Multi-institutional experience. J Clin Oncol. 2009;27:6237-42.
25. Alexander HR, Bartlett DL, Pingpank JF, Libutti SK, Royal R, Hughes MS, et al. Treatment factors associated with long-term survival after cytoreductive surgery and regional chemotherapy for patients with malignant peritoneal mesothelioma. Surg (United States). 2013;153:779-86.
26. Baratti D, Kusamura S, Cabras AD, Deraco M. Cytoreductive surgery with selective versus complete parietal peritonectomy followed by hyperthermic intraperitoneal chemotherapy in patients with diffuse malignant peritoneal mesothelioma: A controlled study. Ann Surg Oncol. 2012;19:1416-24.
27. Sugarbaker PH, Chang D. Long-term regional chemotherapy for patients with epithelial malignant peritoneal mesothelioma results in improved survival. Eur J Surg Oncol . 2017;43:1228-35.
28. Wong J, Koch AL, Deneve JL, Fulp W, Tanvetyanon T, Dessureault S. Repeat cytoreductive surgery and heated intraperitoneal chemotherapy may offer survival benefit for intraperitoneal mesothelioma: A single institution experience. Ann Surg Oncol. 2014;21:1480-6. doi: 10.1245/s10434-013-3341-7.
29. Huang Y, Alzahrani NA, Liauw W, Morris DL. Repeat cytoreductive surgery and hyperthermic intraperitoneal chemotherapy for recurrent diffuse malignant peritoneal mesothelioma. Eur J Surg Oncol. 2015;41:1373-8.
30. Pillai K, Pourgholami MH, Chua TC, Morris DL. Prognostic significance of Ki67 expression in malignant peritoneal mesothelioma. Am J Clin Oncol. 2015;38:388-94.
31. Li YC, Khashab T, Terhune J, Eckert RL, Hanna N, Burke A, et al. Preoperative thrombocytosis predicts shortened survival in patients with malignant peritoneal mesothelioma undergoing operative cytoreduction and hyperthermic intraperitoneal chemotherapy. Ann Surg Oncol. 2017;24:2259-65. doi: 10.1245/s10434-017-5834-2.
32. Stamou K, Tsamis D, Pallas N, Samanta E, Courcoutsakis N, Prassopoulos P, et al. Treating peritoneal mesothelioma with cytoreductive surgery and hyperthermic intraperitoneal chemotherapy. A case series and review of the literature. Int J Hyperth. 2015;31:850-6.
33. Leinwand JC, Chabot JA, Kluger MD. Preventing recurrence of diffuse malignant peritoneal mesothelioma. Expert Rev Anticancer Ther. 2016;16:989-95. doi: 10.1080/14737140.2016.1220305.
34. Arias F, Ortero JM, Guerrero C, Cardona AF, Vargas CA, Carranza H, et al. Pseudomixoma peritoneal: primeros casos tratados en Colombia con peritonectomía radical y quimioterapia intraperitoneal hipertérmica. Rev Colomb Cirugía. 2009;24:184-94.
35. Arias F, Otero JM, Londoño E, Becerra H, Carvajalino S, Rodríguez CI, et al. Morbilidad y mortalidad en una serie de pacientes con neoplasias del peritoneo, tratados con citorreducción peritoneal más quimioterapia hipertérmica intraperitoneal en el Hospital Universitario de la Fundación Santa Fe de Bogotá (ONCOLGroup - estudio ATI). Rev Gastroenterol Mex. 2012;77: 66-75.
36. García M, Abadia MA, Solórzano F. Segunda citorreducción más quimioterapia hipertérmica intraperitoneal por recaída de seudomixoma peritoneal. Rev Colomb Cir. 2017;32:193-204. doi: 10.30944/20117582.25
Notas
Notas de autor
aCorrespondencia: Mauricio García, MD, Clínica de Seno y Tejidos Blandos, Instituto Nacional de Cancerología, ESE, Calle 1 N° 9-85 Bogotá, D.C., Colombia. Teléfono: (+57) (313) 282-0897. Correo electrónico: maurogmora@hotmail.com
Declaración de intereses