Presentación de caso
Autotrasplante renal por aneurisma de arteria renal en un paciente con riñón funcional único: reporte de un caso
Renal autotransplantation in a patient with renal artery aneurysm and a single functional kidney
Autotrasplante renal por aneurisma de arteria renal en un paciente con riñón funcional único: reporte de un caso
Revista Colombiana de Cirugía, vol. 34, núm. 1, pp. 87-93, 2019
Asociación Colombiana de Cirugía
Recepción: 14 Marzo 2018
Aprobación: 30 Mayo 2018
Resumen:
El autotrasplante renal es un procedimiento quirúrgico poco frecuente, especialmente, cuando el paciente tiene un solo riñón funcional y su indicación es alguna anormalidad vascular compleja. En el presente artículo, se presenta un paciente a quien se practicó una nefrectomía más reconstrucción vascular ex vivo y autotrasplante renal. Además, se reporta su evolución hasta el octavo año después de la cirugía.
Palabras clave: riñón, trasplante de riñón, trasplante autólogo, arteria renal, aneurisma.
Abstract: Renal autotransplantation is a surgical procedure performed with very low frequency, especially in cases in which the patient has a solitary kidney and in which the procedure is indicated by a vascular abnormality. In this article, we report the case of a 52 year-old patient undergoing a nephrectomy incision with ex-vivo repair of a renal aneurysm plus autotransplantation. Additionally, we report the evolution after surgery at the 8th year of follow up.
Keywords: kidney, kidney transplantation, transplantation, autologous, renal artery, aneurysm.
Introducción
Desde que fue reportado el primer autotrasplante en 1963, se ha utilizado en casos de anormalidades vasculares, lesiones de los uréteres y tumores renales; sin embargo, la evidencia acerca del procedimiento es poca debido a su poca frecuencia 1. Por otro lado, y en lo que tiene que ver con las indicaciones de origen vascular, los aneurismas de la arteria renal son extremadamente raros en la práctica clínica, representan el 0,3 % de todos los aneurismas abdominales 2. Este tipo de aneurismas tienen una tasa alta de mortalidad y suelen ser letales, especialmente, si se asocian con otros diagnósticos como hipertensión arterial sistémica, disección del aneurisma, estenosis de la arteria renal e, incluso, falla renal. Esta letalidad suele presentarse cuando el aneurisma es mayor de 2 cm 3.
Con la aparición y el desarrollo de las técnicas intravasculares, las indicaciones de nefrectomía más reconstrucción ex vivo de la arteria renal se han limitado prácticamente a las siguientes: 1) aneurisma de la arteria renal después de la bifurcación, 2) lesiones extensas del uréter, y 3) cirugía conservadora en tumores renales en riñón único 2,4. Para la nefrectomía, se puede elegir entre dos vías de acceso: laparoscópica y abierta. Como ya se ha mencionado en otras publicaciones, la laparoscopia tiene ventajas frente a la cirugía abierta, siempre y cuando el equipo quirúrgico tenga experiencia en este tipo de procedimientos 2, 5, 6.
Según una gran serie de casos reportada por Cowan, et al., en el 2015, la cual incluyó 50 pacientes, se entiende que este procedimiento es muy infrecuente, especialmente, cuando su indicación son anormalidades vasculares complejas (18 % en esta serie de casos) 7.
El caso clínico que se reporta en este artículo es, hasta donde sabemos, el primer caso reportado en Colombia de nefrectomía por lumbotomía más reconstrucción ex vivo y autotrasplante con riñón hipoplásico contralateral.
Reporte de caso
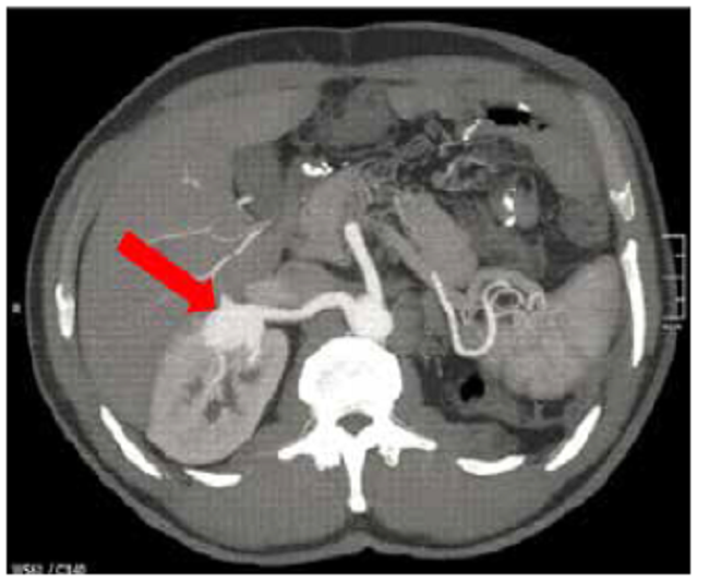
Se trata de un paciente de sexo masculino de 52 años de edad, con antecedentes de cáncer gástrico, que requirió gastrectomía radical subtotal y, en el proceso de tratamiento del cáncer gástrico, se diagnosticó hipoplasia renal izquierda y aneurisma de la arteria renal derecha en el hilio, de más de 4 cm de diámetro (figuras 1 y 2). El paciente estaba en tratamiento para el cáncer gástrico y no había presentado recaídas después del procedimiento. Sin embargo, debido a los hallazgos en su riñón derecho, solicitó continuar su estudio con el grupo quirúrgico de la institución para considerar el manejo quirúrgico.


Los estudios de función renal al inicio del proceso se encontraron dentro de límites normales: creatinina sérica de 1,06 mg/dl, proteinuria de 0,18 g en 24 horas y tasa de filtración glomerular de 77 ml por minuto. Se le explicó al paciente el gran riesgo de ruptura del aneurisma, considerando su tamaño y ubicación, que no era posible corregirlo de forma intravascular y las implicaciones de la cirugía. El paciente refirió comprender completamente la situación y continuó con la preparación prequirúrgica. Como último paso antes de la cirugía, se practicó una arteriografía renal y una ecografía Doppler de riñón (figura 3).

Procedimiento quirúrgico
Bajo anestesia general, previa asepsia y antisepsia, y con el paciente en posición de decúbito lateral derecho, se practicó una lumbotomía y se disecó por planos hasta visualizar el riñón derecho, el cual fue liberado; se pinzaron la arteria y la vena renales para la nefrectomía derecha. Después, se llevó a cabo cirugía de banco y se encontró un aneurisma de 3 x 4 cm en el riñón derecho; del aneurisma se originaban cuatro arterias renales para el parénquima, por lo cual se resecó el aneurisma y se hizo cierre primario de la arteria renal (figura 4); la resección fue parcial y se dejó un tubo que se suturó, preservando la arteria renal y sus cuatro ramas. También, se encontró periarteritis grave que involucraba una rama de la vena renal, la cual se lesionó y requirió ligadura sin el drenaje venoso renal.

Después de la cirugía de banco (figura 5) y del reimplante extraperitoneal del riñón en la fosa iliaca derecha, se suturó la pared. Se practicó una ecografía Doppler de vasos renales en la sala de cirugía y se encontró ausencia de flujo en la arteria renal, por lo que se decidió reintervenirlo. Se encontró que la ausencia de flujo se debía a compresión por el trasplante, por lo que se decidió dejar una bolsa de Viaflex™, después de lo cual se recuperó el flujo de la arteria renal. Al final, el procedimiento se completó sin ninguna complicación mayor, con una isquemia fría de dos horas y una isquemia caliente de 30 minutos.

Debido a la buena evolución del paciente, se decidió una nueva cirugía al tercer día, para cerrar la pared abdominal y retirar la bolsa de Viaflex™. El paciente fue dado de alta al quinto día posoperatorio y en la tabla 1 se muestra la evolución de los resultados de los exámenes de la función renal del paciente.

En el control médico un año después de la cirugía, el paciente registró una evolución adecuada, con exámenes clínicos y paraclínicos dentro de límites normales; fue igual en los controles de los siguientes años hasta el octavo año, en el que el paciente asistió a la consulta refiriendo buenas condiciones de salud con resultados normales de los exámenes de laboratorio.
Discusión
Los aneurismas de la arteria renal son bastante infrecuentes en la práctica clínica y la información acerca de la forma adecuada de abordarlos es escasa en la literatura científica. Desde este punto vista, el tratamiento sigue siendo controversial debido a que, en algunos casos, se cuestionan los beneficios de tratar quirúrgicamente esta enfermedad 8, 9. La forma en la que se descubren los aneurismas de la arteria renal es por medio de estudios para la hipertensión arterial sistémica en personas jóvenes, en las que las imágenes diagnósticas los reportan como hallazgo incidental o, en algunos casos, por dolor lumbar. En el presente caso, el hallazgo fue incidental durante el estudio del cáncer gástrico que padeció el paciente 10, 11, 12.
En cuanto a la etiología de los aneurismas de la arteria renal, se encuentra que las causas son variadas: enfermedad de Behçet, fibrodisplasia congénita, enfermedad de von Recklinghausen, aneurismas disecantes, aneurismas iatrogénicos y otras causas raras, como la mediólisis arterial segmentaria y vasculitis 13, 14. En algunos casos, no se logra dilucidar la causa y, en los pacientes ancianos, una de las causas más frecuentes de aneurismas de la arteria renal es la enfermedad ateroesclerótica. Además, cabe denotar que el diagnóstico de esta enfermedad ha aumentado debido a la mayor disponibilidad y calidad de las imágenes diagnósticas. Esto ha aumentado la detección de estos aneurismas y ha ayudado a prevenir resultados fatales, especialmente en casos de muy alto riesgo de ruptura, como el embarazo 8, 15, 16.
Los aneurismas de la arteria renal pueden tratarse por medio de intervenciones intravasculares o por autotrasplante. La decisión de intervenir quirúrgicamente se toma a partir de condiciones clínicas, como: a) aneurismas de la arteria renal con ubicación compleja, como en la bifurcación de la arteria renal, b) longitud del aneurisma mayor de más de 2 cm, c) mujeres en edad fértil, d) hematuria, e) tromboembolia renal, f) hipertensión arterial nefrogénica, g) lesiones extensas de los uréteres, y h) tumores renales en pacientes con riñón único 17, 18, 19.
Como se había mencionado previamente, en lo que respecta a los aneurismas de la arteria renal ubicados en las ramificaciones de la arteria renal, el tratamiento suele ser quirúrgico 8, 20. Hasta el momento, una de las series más grandes incluyó 67 pacientes y fue publicada por Duprey, et al., en el 2016, quienes concluyeron que, a pesar de la baja frecuencia de esta enfermedad, de que la ‘evidencia’ no es exactamente fuerte por la misma razón y con base en los resultados obtenidos, concluyeron que el autotrasplante renal es una opción segura para el tratamiento de aneurismas de la arteria renal. Además, considerando que el procedimiento tiene similitudes con el trasplante renal, especialmente el de donante vivo, estas cirugías deberían ser practicadas por grupos de trasplantes con experiencia, para disminuir posibles eventos indeseados 21, 22, 23.
Por otro lado, a pesar de que los resultados de diferentes grupos en términos de complicaciones y evolución a corto y a largo plazo han sido buenos en la mayoría de los casos, es posible que algunos pacientes presenten riesgos adicionales, como aneurismas infecciosos, recidivas de cáncer, nuevas malformaciones vasculares después de un trasplante previo e, incluso, fístulas uretero-arteriales 24, 25, 26. De esta manera, es necesario hacer un seguimiento juicioso en el periodo posoperatorio para mantener un registro de posibles eventos negativos y, de esta manera, ofrecer el mejor tratamiento 27, 28. En el presente caso, el paciente tuvo controles semanales durante el primer mes y, luego, controles mensuales durante el siguiente año; actualmente, el paciente se encuentra en seguimiento anual y ha presentado una evolución bastante positiva.
Después de analizar la evidencia disponible y las publicaciones de otros autores, desde el punto de vista de nuestro grupo quirúrgico, consideramos que la mejor opción terapéutica para aneurismas de la arteria renal localizados después de la bifurcación del tronco principal, es la nefrectomía con reparación ex vivo y autotrasplante con anastomosis a vasos iliacos; incluso, en pacientes con riñón único, es una opción segura de tratamiento en manos de un equipo quirúrgico con experiencia 1, 29, 30, 31, 32, 33, 34, 35, 36.
Referencias
1. Ogawa S, Yanagida T, Kataoka M, Oguro T, Takahashi N, Haga N, et al. Laparoscopic nephrectomy, ex vivo angioplasty, and renal autotransplant for a renal artery aneurysm: A case report. Exp Clin Transplant. 2012;10:67-9.
2. Desai CS, Maybury R, Cummings LS, Johnson LB, Fishbein TM, Neville R, et al. Autotransplantation of solitary kidney with renal artery aneurysm treated with laparoscopic nephrectomy and ex vivo repair: A case report. Transplant Proc. 2011;43:2789-91. doi: 10.1016/j.transproceed.2011.06.039
3. Tran G, Ramaswamy K, Chi T, Meng M, Freise C, Stoller ML. Laparoscopic nephrectomy with autotransplantation: Safety, efficacy and long-term durability. J Urol. 2015;194:738-43. doi: 10.3410/f.725402166.793513242
4. Fando LL, Burgos J, Medina J, Quevedo A, Herrador J, Guerin C, et al. Autotrasplante renal: una alternativa válida en la resolución de casos complejos. Arch Esp Urol. 2007;60:255-65.
5. Flowers JL, Jacobs S, Cho E, Morton A, Rosenberger WF, Evans D, et al. Comparison of open and laparoscopic live donor nephrectomy. Ann Surg. 1997;226:483-90.
6. Aguilera A, Betancourt F, Murillo S, Benito J, Cisneros J, de la Peña J. Autotrasplante renal laparoscópico experimental como modelo de aprendizaje de técnica laparoscópica. Actas Urol Esp. 2008;32:160-5. doi:10.1016/S0210-4806(08)73806-3
7. Cowan NG, Banerji JS, Johnston RB, Duty BD, Bakken B, Hedges JC, et al. Renal autotransplantation: 27-year experience at two institutions. J Urol. 2015;194:1357-61. doi: 10.1016/j.juro.2015.05.088
8. Duprey A, Chavent B, Meyer-Bisch V, Varin T, Albertini JN, Favre JP, et al. Editor's choice - ex vivo renal artery repair with kidney autotransplantation for renal artery branch aneurysms: Long-term results of sixty-seven procedures. Eur J Vasc Endovasc Surg. 2016;51:872-9. doi: 10.1016/j.ejvs.2016.02.017
9. Coleman DM, Stanley JC. Renal artery aneurysms. J Vasc Surg. 2015;62:779-85. doi: 10.1016/j.jvs.2015.05.034
10. Vargas SF, Domínguez CJ, Dagnino UB, Searle FS, Guerra SC, Saavedra ZÁ, et al. Cirugía de banco y autotrasplante en aneurisma complejo de arteria renal. Rev Chil Cir. 2015;67:195-8.
11. Batista-García F, Rossique-Delmas P, García-Buitrón JM, García-Cantón C, Braillard-Poccard P, Sánchez-Santana AY, et al. Autotrasplante renal en hipertensión renovascular secundaria a aneurisma de arteria renal. Nefrología (Madrid). 2013;33:440-2. doi: 10.3265/Nefrologia. pre2012.Nov.11825
12. Blanco A, Armas J, Alvarado A, Alcaraz A, Artíles J, Chesa N. Aneurisma de arteria renal: nefrectomía laparoscópica, reconstrucción en banco y autotrasplante. Actas Urol Esp. 2008;32:763-6.
13. Yoshioka T, Araki M, Ariyoshi Y, Wada K, Tanaka N, Nasu Y. Successful microscopic renal autotransplantation for left renal aneurysm associated with segmental arterial mediolysis. J Vasc Surg. 2017;66:261-4. doi:10.1016/j.jvs.2016.09.039
14. López-Fando L, Burgos J, Sáenz J, Linares A, Vallejo J, Castro Cd, et al. Autotrasplante renal: una alternativa válida en la resolución de casos complejos. Arch Esp Urol. 2007;60:255-65.
15. Min EK, Kim YH, Han DJ, Han Y, Kwon H, Choi BH, et al. Renal autotransplantation in open surgical repair of suprarenal abdominal aortic aneurysm. Ann Surg Treat Res. 2015;89:48-50. doi: 10.4174/astr.2015.89.1.48
16. Labarca-Acosta M, Torres-Cepeda D, Reyna-Villasmil E. Ruptura espontánea de aneurisma de arteria renal durante el embarazo: reporte de caso. Rev Obstet Ginecol Venez. 2012;72:133-6.
17. Busato CR, Utrabo CAdL, Sousa WFd, Gomes RZ, Hosoume JK, Hoeldtke E, et al. Aneurisma de artéria renal em rim transplantado: reparo ex vivo e reimplante do enxerto. J Vas Bras. 2009;8:89-91. doi: 10.1590/S1677-54492009000100013
18. King BJ, Steinthorsson G, Di Carlo A. Complex renal artery aneurysm managed with hand-assisted laparoscopic nephrectomy, ex vivo repair, and autotransplantation. Ann Vasc Surg. 2014;28:1036.e9- 13. doi: 10.1016/j.avsg.2013.08.015
19. Laser A, Flinn WR, Benjamin ME. Ex vivo repair of renal artery aneurysms. J Vasc Surg. 2015;62:606-9. doi:10.1016/j.jvs.2015.03.070
20. Genzini T, Noujaim HM, Mota LT, Ianhez LE, Oliveira RAd, Shiroma ETM, et al. Renal autotransplantation to treat renal artery aneurysm: Case report. Sao Paulo Med J. 2014;132:307-10. doi: 10.1590/1516-3180.2014.1325678
21. Yakupoglu YK, Aki FT, Kordan Y, Ozden E, Tonyali S, Bostanci Y, et al. Renal autotransplantation at three academic institutions in Turkey. Urol Int. 2016;97:466-72. doi: 10.1159/000448482
22. Salehipour M, Rasekhi A, Shirazi M, Haghpanah A, Jahanbini S, Eslahi SA. The role of renal autotransplantation in treatment of nutcracker syndrome. Saudi J Kidney Dis Transpl. 2010;21:237-41.
23. Aronson WJ. Complications of ureteral surgery A2. En: Taneja SS, editor. Complications of Urologic Surgery. Fourth edition. Philadelphia: W.B. Saunders; 2010. p. 443-50.
24. Mezzetto L, Boschiero L, Fior F, Nguefouet RE, Nacchia F, Eccher A, et al. Direct revascularization with autotransplant technique for a true aneurysm of the renal artery 20 years after kidney transplantation. Ann Vas Surg. 2016;32:132.e5-8. doi: 10.1016/j.avsg.2015.11.005
25. Asztalos L, Olvaszto S, Fedor R, Szabo L, Balazs G, Lukacs G. Renal artery aneurysm at the anastomosis after kidney transplantation. Transplant Proc. 2006;38:2915-8. doi: 10.1016/j.transproceed.2006.08.115
26. Sabate XA, Martínez AI, De la Cruz M, Ferrutxe J, Piza P. Uretero-arterial fistula secondary to renal artery aneurysm. Unusual complication of a low prevalence disease. Arch Esp Urol. 2017;70:736-9.
27. Eisenberg ML, Lee KL, Zumrutbas AE, Meng MV, Freise CE, Stoller ML. Long-term outcomes and late complications of laparoscopic nephrectomy with renal autotransplantation. J Urol. 2008;179:240-3. doi:10.1016/j.juro.2007.08.135
28. Oyen O, Lien B, Line PD, Pfeffer P. Minimally invasive renal auto-transplantation: the first report. J Surg Res. 2010;164:e181-4. doi: 10.1016/j.jss.2010.06.014
29. Morin J, Chavent B, Duprey A, Albertini JN, Favre JP, Barral X. Early and late results of ex vivo repair and autotransplantation in solitary kidneys. Eur J Vasc Endovasc Surg. 2012;43:716-20. doi: 10.1016/j.ejvs.2012.02.036
30. Wakamiya T, Nakano Y, Hokosaki T, Iwamoto M, Teranishi J, Otani M. Renal autotransplantation in a patient with resistant renal artery stenosis. J Med Cases. 2016;7:226-9. doi: http://dx.doi.org/10.14740/jmc2492w
31. Thomas AA, Shields WP, Hamdi Kamel M, Cuppo JA, Hickey DP. Renal artery aneurysm treated with ex vivo repair and autotransplantation. Surgeon. 2006;4:245-7.
32. Gordon ZN, Angell J, Abaza R. Completely intracorporeal robotic renal autotransplantation. J Urol. 2014;192:1516-22. doi: 10.1016/j.juro.2014.02.2589
33. Van Bockel, J.H. Ex vivo arterial repair for renovascular hypertension secondary to fibrodysplasia.in: CErnst , J. Stanley (Eds.) Current therapy in vascular surgery. Mosby, St Louis; 2000: 741-745.
34. Wotkowicz C, Libertino JA. Renal autotransplantation. BJU Int. 2004;93:253-7. doi: 10.1111/j.1464-410X.2004.04596.x
35. Moghadamyeghaneh Z, Hanna MH, Fazlalizadeh R, Obi Y, Foster CE, Stamos MJ, et al. A nationwide analysis of kidney autotransplantation. Am Surg. 2017;83:162-9.
36. Berloco PB, Levi GB, Guglielmo N, Lai Q, Melandro F, Poli L, et al. Bilateral ex vivo repair and kidney autotransplantation for complex renal artery aneurysms: A case report and literature review. Int J Urol. 2014;21:219-21. doi: 10.1111/iju.12224
Notas
Notas de autor
aCorrespondencia: Fernando Arturo Girón, Calle 61 N° 13-23, oficina 402, Colombiana de Trasplantes, Bogotá, D.C., Colombia, Correo electrónico: fgiron@colombianadetrasplantes.com
Declaración de intereses