Presentación de caso
Herniorrafia hiatal y fundoplicatura laparoscópica de Toupet en un paciente con esófago corto
Hiatal herniorrhaphy and Toupet laparoscopic fundoplication in a patient with short esophagus
Herniorrafia hiatal y fundoplicatura laparoscópica de Toupet en un paciente con esófago corto
Revista Colombiana de Cirugía, vol. 34, núm. 4, pp. 394-399, 2019
Asociación Colombiana de Cirugía
Recepción: 21 Noviembre 2018
Aprobación: 21 Marzo 2019
Resumen:
El esófago corto es una complicación infrecuente del reflujo gastroesofágico, polémico para algunos autores. Su diagnóstico se hace de manera intraoperatoria, ante la imposibilidad de conservar un esófago intrabdominal mayor a tres centímetros desde el hiato diafragmático. Algunos expertos niegan la existencia de esta entidad, argumentando que se debe a una mala disección del esófago. En este artículo, se presenta el caso de un paciente sometido a herniorrafia hiatal con colocación de malla, con gran dificultad para conservar una adecuada longitud del esófago abdominal, y que no requirió gastroplastia.
Palabras clave: esófago;, hernia hiatal;, trastornos de la motilidad esofágica;, reflujo gastroesofágico;, herniorrafia;, procedimientos quirúrgicos mínimamente invasivos.
Abstract: Short esophagus is an uncommon complication of gastroesophageal reflux, controversial for some authors. The diagnosis is made intraoperatively when , the impossibility of leaving an intra-abdominal esophagus longer than 3 cm becomes patent. Some experts, however, doubt about the existence of this entity, arguing that it is due to a bad dissection of the esophagus. In this article, we present the case of a patient where a hiatal herniorraphy was performed with great difficulty to conserve an adequate length of the abdominal esophagus, without requiring gastroplasty.
Key words: esophagus;, hernia, hiatal;, esophageal motility disorders;, gastroesophageal reflux;, herniorrhaphy;, minimally invasive surgical procedures.
Introducción
Las hernias hiatales corresponden a protrusiones de los órganos intraabdominales a través del hiato diafragmático, frecuentemente asociadas con enfermedad por reflujo gastroesofágico 1. Una de las complicaciones de las hernias hiatales y la enfermedad por reflujo, es el esófago corto adquirido, cuya existencia ha sido cuestionada por algunos autores 2,3,4,5. El esófago corto se diagnostica cuando es imposible conservar, por lo menos, tres centímetros del esófago en el abdomen, por debajo del hiato diafragmático 2,3,4,5,6,7.
Según publicación de otros autores, la primera descripción del esófago corto fue hecha en 1910 por Dietlen, et al., quienes informaron sobre una paciente con evidencia radiológica de desplazamiento del estómago al tórax 3,5,6. En 1930, se llevó a cabo la primera descripción endoscópica del esófago corto y, posteriormente como lo menciona Hoang, Lortat-Jacob, et al., plantearon la relación causal entre la enfermedad crónica por reflujo y el esófago corto 6.
El tratamiento del esófago corto consistía en la gastroplastia de Collis asociada a una fundoplicatura, procedimiento con el cual se han obtenido buenos resultados para el control sintomático de la enfermedad por reflujo gastroesofágico y para evitar la recurrencia de hernias hiatales 6. La gastroplastia de Collis es rechazada por algunos autores, pues se asocia la mucosa gástrica productora de ácido con un esófago ya comprometido por la enfermedad por reflujo 7.
Se presenta el caso de un paciente sometido a herniorrafia hiatal laparoscópica, en quien se encontró el esófago corto durante la cirugía y quien no requirió gastroplastia de Collis.
Caso clínico
Se trata de un hombre de 83 años de edad que consultó por un cuadro clínico de siete años de evolución de disfagia progresiva, asociada con dolor abdominal de inicio en el epigastrio y que, posteriormente, se generalizaba. Como único antecedente relevante, refirió hipotiroidismo subclínico.
En el examen físico, se encontró dolor abdominal en el epigastrio a la palpación profunda.
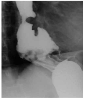
Mediante un esofagograma con bario, se observó dilatación leve del esófago medio y proximal, secundaria a la presencia de una hernia hiatal (figura 1). Inicialmente, se le dio tratamiento sintomático con un inhibidor de la bomba de protones y se le hizo seguimiento ambulatorio.

Se practicó una endoscopia de vías digestivas altas, en la cual se encontró una estenosis esofágica importante, secundaria a fibrosis y esofagitis péptica, que se pudo dilatar con un balón neumático de 2 cm (figura 2). El estudio de histopatología fue negativo para neoplasia maligna.

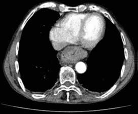
Se decidió ampliar el estudio con una tomografía computarizada (TC) de abdomen con contraste, en la cual se reportó una discreta dilatación esofágica en el tercio medio y proximal, acompañada de engrosamiento difuso de las paredes, y una hernia hiatal por deslizamiento con una porción del estómago ubicado en el mediastino posterior (figura 3).

En un nuevo estudio endoscópico, se evidenció una estenosis de 10 mm de diámetro (figura 4). Se consideró que debía practicarse una herniorrafía hiatal con cirugía antirreflujo parcial, mediante abordaje laparoscópico.

En este procedimiento, se observaron esofagitis grave, adherencias firmes del esófago con el mediastino, hernia hiatal de tipo I, pilares diafragmáticos de mala calidad y deslizamiento del estómago hacia el mediastino.
Se inició con la disección y resección del saco herniario, y con la sección de los vasos cortos gástricos y de la pars flaccida mesentérica. Se procedió a disecar el esófago hasta el mediastino a la altura de la carina, lo que se hizo con bastante dificultad debido a la estrecha unión del lecho esofágico y el mediastino. Sin embargo, mediante una disección minuciosa de este plano, se logró obtener una porción de esófago intrabdominal de más de 2 cm.
Se cerró el defecto herniario con poliéster trenzado y se instaló una malla y se fijó con anclas reabsorbibles de PDS™. En seguida, se practicó la fundoplicatura parcial posterior de Toupet, con poliéster trenzado, y se dejó un dren de Penrose en el mediastino. No se presentaron complicaciones durante el procedimiento.
En la radiografía posoperatoria, se observó mejoría de la zona de estenosis y el estómago se encontró dentro del abdomen. En un nuevo esofagograma con bario, se observó paso filiforme del medio de contraste a través de la unión gastroesofágica, lo cual puede considerarse un hallazgo esperable debido a la reducción exitosa del estómago al abdomen, normal en este tipo de procedimientos (figura 5).

La evolución clínica fue favorable, con adecuada tolerancia a la vía oral durante el posoperatorio, y se continuó con seguimiento clínico ambulatorio. A las tres semanas de la cirugía, el paciente se encontraba asintomático, sin evidencia de complicaciones asociadas con el procedimiento.
Discusión
El diagnóstico de esófago corto es netamente intraoperatorio e implica la necesidad de una disección mediastinal exhaustiva o de una gastroplastia de Collis, la cual se realiza en 1 a 10 % de los pacientes sometidos a cirugía antirreflujo 3,6. Herbella, et al. 2, reportaron una incidencia de esófago corto cercana al 1,53 %, mientras que otros autores la han ubicado en el 60 %, aproximadamente 6.
Se han planteado diferentes teorías respecto a la etiología del esófago corto. Los casos congénitos se han asociado con un inadecuado posicionamiento y una incorrecta fijación del trayecto esofágico, durante la morfogénesis 5; el origen de los adquiridos se relaciona estrechamente con la enfermedad por reflujo gastroesofágico 2,3,5,8.
Hasta el momento, no existe una prueba diagnóstica con buen rendimiento para la detección preoperatoria del esófago corto. Diferentes autores han buscado determinar la utilidad del esofagograma, la endoscopia y la manometría en el diagnóstico del esófago corto, y han encontrado gran especificidad pero baja sensibilidad, de alrededor del 28 % 3. En el presente caso, al igual que en la mayoría, no fue posible determinar la presencia de un esófago corto antes de la cirugía.
La reparación laparoscópica de las hernias hiatales, se encuentra globalmente aceptada debido a su baja morbilidad perioperatoria y a la corta estancia hospitalaria, en comparación con la reparación abierta 9. El uso de mallas se ha asociado con reducción de la recurrencia, pero, también, con la aparición de erosión, ulceración y disfagia a largo plazo 1,10.
El procedimiento de elección para el esófago corto es la gastroplastia de Collis 3,5,11, la cual consiste en la creación de un ‘neoesófago’ a partir de una división gástrica 6,11, la cual se puede llevar a cabo de forma abierta, a través de una incisión toraco-abdominal, o por laparoscopia, con toracoscopia o sin ella. La vía laparoscópica conlleva un mayor tiempo operatorio respecto al abordaje abierto, pero las tasas de mortalidad y recurrencia son menores 3. La gastroplastia de Collis está indicada cuando todas las maniobras intraoperatorias encaminadas a lograr una porción de esófago intraabdominal, por lo menos, de dos cm fallan 6. Además, debido a la relación causal entre el esófago corto y la enfermedad por reflujo gastroesofágico, la cirugía antirreflujo está indicada como parte del tratamiento de esta enfermedad 5.
Migaczewski, et al., identificaron esófago corto de forma intraoperatoria en el 24,7 % de 202 pacientes sometidos a fundoplicatura de Nissen por enfermedad por reflujo gastroesofágico. A pesar de esto, ninguno de los casos requirió gastroplastia de Collis, debido a la disección longitudinal y el desplazamiento completo del esófago al mediastino 4.
Este hallazgo también fue descrito por Madan, et al., en una serie de 628 pacientes sometidos a fundoplicatura. Concluyeron que el esófago corto en realidad no corresponde a una entidad clínica, sino que se debe a una inadecuada disección del lecho esofágico adherido al mediastino, lo cual limita la posibilidad de desplazar un segmento del esófago de longitud aceptable a la cavidad abdominal. Esta hipótesis es soportada por el presente caso, en el cual se evitó la gastroplastia gracias a una disección exhaustiva del esófago intratorácico 12.
Conclusión
El esófago corto es una entidad controversial, por lo cual no ha sido posible adoptar una terminología y recomendaciones universales respecto a su diagnóstico y tratamiento. Según la información disponible, la práctica de la gastroplastia de Collis se relaciona con una mayor morbilidad. Múltiples autores argumentan a favor de una disección esofágica mediastinal para conseguir la liberación del esófago y evitar recurrir a una gastroplastia de Collis para obtener una reparación libre de tensión.
El caso del paciente descrito en este artículo no requirió de una gastroplastia de Collis, debido a la disección longitudinal exhaustiva del esófago que, a pesar de ciertas dificultades técnicas, concluyó en el descenso de una porción de longitud satisfactoria de esófago, lo cual permitió practicar una fundoplicatura libre de tensión y obtener resultados favorables para el paciente.
Cumplimiento de normas éticas
Consentimiento informado: Se obtuvo el consentimiento informado por parte del paciente. El Comité de Ética Institucional aprobó el diseño y la metodología del estudio.
Agradecimientos:
Agradecimientos al Hospital San Rafael de Tunja.
Referencias
Chang CG, Thackeray L. Laparoscopic hiatal hernia repair in 221 patients: Outcomes and experience. J Soc Laparoendosc Surg. 2016;20:1-7. https://doi.org/10.4293/JSLS.2015.00104
Herbella FAM, Del Grande JC, Colleoni R. Short esophagus: Literature incidence. Dis Esophagus. 2002;15:125-31.
Kunio NR, Dolan JP, Hunter JG. Short esophagus. Surg Clin North Am. 2015;95:641-52.
Migaczewski M, Zub-Pokrowiecka A, Grzesiak-Kuik A, Pedziwiatr M, Major P, Rubinkiewicz M, et al. Incidence of true short esophagus among patients submitted to laparoscopic Nissen fundoplication. Wideochir Inne Tech Maloinwazyjne. 2015;10:10-4.
Herbella FAM, Patti MG, Del Grande JC. When did the esophagus start shrinking? The history of the short esophagus. Dis Esophagus. 2009;22:550-8.
Hoang CD, Koh PS, Maddaus MA. Short esophagus and esophageal stricture. Surg Clin North Am. 2005;85:433-51.
Bellevue OC, Louie BE, Jutric Z, Farivar AS, Aye RW. A Hill gastropexy combined with Nissen fundoplication appears equivalent to a Collis-Nissen in the management of short esophagus. J Gastrointest Surg. 2018;22:389-95. https://doi.org/10.1007/s11605-017-3598-4
Paterson WG, Kolyn DM. Esophageal shortening induced by short-term intraluminal acid perfusion in opossum: A cause for hiatus hernia? Gastroenterology. 1994;107:1736-40.
Marano L, Schettino M, Porfidia R, Grassia M, Petrillo M, Esposito G, et al. The laparoscopic hiatoplasty with antireflux surgery is a safe and effective procedure to repair giant hiatal hernia. BMC Surg. 2014;14:1. https://doi.org/10.1186/1471-2482-14-1
Mittal SK, Shah P. Current readings: Failed hiatal hernia repair. Semin Thorac Cardiovasc Surg. 2014;26:331-4. https://doi.org/10.1053/j.semtcvs.2015.01.002
Mattioli S, Lugaresi M, Ruffato A, Daddi N, Di Simone MP, Perrone O, et al. Collis-Nissen gastroplasty for short oesophagus. Multimed Man Cardiothorac Surg. 2015. https://doi.org/10.1093/mmcts/mmv032
Madan AK, Frantzides CT, Patsavas KL. The myth of the short esophagus. Surg Endosc. 2004;18:31-4.
Notas
Notas de autor
aAutor de correspondencia: Alejandro González-Muñoz, Hospital Infantil Rafael Henao Toro, Cruz Roja Colombiana, Manizales, Colombia. Teléfono 3186912356. Correo electrónico: alegon_zalez@hotmail.com
Declaración de intereses