Presentación de caso
Hemopericardium by gunshot without cardiac injury, description of a trauma mechanism
Hemopericardio por disparo sin lesión cardíaca, descripción de un mecanismo de trauma
Hemopericardium by gunshot without cardiac injury, description of a trauma mechanism
Revista Colombiana de Cirugía, vol. 35, no. 1, pp. 108-112, 2020
Asociación Colombiana de Cirugía
Received: 14 March 2019
Accepted: 09 June 2019
Abstract
Introduction: For many centuries heart wounds were considered fatal. Currently cardiac trauma remains one of the most lethal injuries. The results of patients with penetrating cardiac injury (PCI) can range from lethal lesions to arrhythmias that resolve spontaneously. Haemopericardium in trauma is usually due to penetrating cardiac injury, but the pericardial sac may fill with blood from large vessels and rupture of the pericardiophrenic artery associated with pericardial contusion laceration.
Methods: For the organization of this study, a literature review was performed. Two cases were identified by the general surgery team in describing this rare mechanism of trauma.
Results: : Description of a different cause of hemopericardium, caused by blood from the peritoneal cavity.
Discussion: In the cases presented, the firearm injury broke the barrier between the pericardial and peritoneal cavities (diaphragm), placing cavities with different pressure levels in contact, favoring the entry of blood from the peritoneal cavity into the pericardial sac.
Conclusion: In the observed cases the projectile passed very close to the heart, but without injury it. Rupture on the diaphragmatic surface of the pericardium allowed the pressure of the peritoneal cavity to be equal to the pressure of the pericardium.
Keywords: thoracic injuries+ wounds and injuries+ cardiac tamponade.
Resumen
Introducción.: Durante muchos siglos, las heridas del corazón se consideraron fatales. Actualmente, el trauma cardíaco sigue siendo una de las lesiones más letales. Los resultados de pacientes con lesión cardíaca penetrante pueden variar de lesiones letales a arritmias que se resuelven espontáneamente. El hemopericardio en el trauma generalmente es debido a la lesión cardíaca penetrante, pero el saco pericárdico puede llenarse de sangre de grandes vasos y de la ruptura de la arteria pericardiofrénica asociada a laceración pericárdica contusa.
Métodos: Para la organización de este estudio, se realizó una búsqueda bibliográfica en la literatura científica. Dos casos fueron observados por el equipo de Cirugía General al describir este raro mecanismo de trauma.
Resultados: Descripción de una causa diferente de hemopericardio, ocasionada por la sangre de la cavidad peritoneal.
Discusión: En los casos presentados, la lesión por arma de fuego rompió la barrera entre las cavidades pericárdica y peritoneal (diafragma), colocando cavidades con diferentes niveles de presión , favoreciendo la entrada de sangre de la cavidad peritoneal al saco pericárdico.
Conclusión.: En los casos observados el proyectil pasó muy cerca del corazón, pero sin lesionarlo. La ruptura de la superficie diafragmática del pericardio permitió que la presión de la cavidad peritoneal se igualara con la presión del pericardio.
Palabras clave: traumatismos torácicos, heridas y lesiones, tamponamiento cardíaco.
Introduction
Over many centuries wounds to the heart were considered fatal. Nowadays cardiac trauma remain one of the most lethal injury. The outcomes of patients sustaining penetrating cardiac injury (PCI) can vary from lethal injuries to spontaneously resolving arrhythmias 1.
The diagnosis of a PCI in the patient who does not have an acute indication for emergency surgery can be difficult. Many surgeons and emergency medicine physicians use ultrasonography (US) of the pericardial sac to guide their management in hemodynamically stable patients 2.
Hemopericardium in trauma is usually due to penetrating cardiac injury, but the pericardial sac can fill with blood from great vessels and pericardiophrenic artery rupture associated to blunt pericardial laceration 3.
Our objective in presenting this case series is to describe the mechanism of injury of a rare cause of hemopericardium by firearm without cardiac injury.
Methods
For the organization of this study, a bibliographical search was made in the scientific literature, based on the compilation of articles published in journals, specialized books and databases, such as BIREME, LILACS and PUBMED network with the keywords: Thorax, Trauma, Heart injuries and Hemopericardium.
Two cases were identified by the general surgery team while describing this rare trauma mechanism.
Case 1
A 26 years old man was admitted at our trauma hospital after sustaining a gunshot injury on the left chest. On arrival, his heart rate was 94/min, blood pressure was 122/80 mmHg, and respiratory rate was 22/min. Breath sounds were diminished on the left hemithorax. There was a small wound on the upper edge of the left areola (Figure 1). Focused Assessment Sonography for Trauma (FAST) was equivocal in subxiphoid view of the heart, and was positive in right upper quadrant. On the first assessment we offered oxygen under a mask, performed a chest tube thoracostomy on left side that showed a small hemothorax, 400 ml of blood, and collected blood samples.

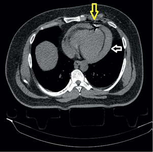
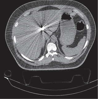
On computed tomography (CT) scan view was possible to see the bullet on the right lobe of the liver. A CT of the chest and abdomen revealed hemopericardium, a small pneumopericardium (Figure 2), and the bullet on Couinaud’s segment IV of the liver (Figure 3).


The patient remained hemodynamically stable. Underwent subxiphoid pericardial window positive for blood. Then a left thoracotomy was performed, the pericardial sac was open and several clots were evacuated from it, the heart was cleaned with saline solution, no cardiac injury was found. No injury to the heart was seen, but there was an important pericardial injury on the diaphragmatic surface
At laparotomy, moderate amount of free blood was found in the peritoneal cavity, a blunt injury with active bleeding in Couinald’s segment IV of liver, and 5 cm injury in the central tendon of the diaphragm. The liver was treated with vertical U stitches of chrome catgut 0, the diaphragm was repaired with horizontal U stitches of polypropilene 0.
The patient went to surgical ward, the chest tube was removed 4 days after the surgical, and he as discharged home on fifth postoperative day.
Case 2
A 32 year-old man was admitted at our hospital, victim of a gunshot injury on precordial region. On arrival, the heart rate was 105 /min, blood pressure was 110/70 mmHg and respiratory rate was 22/min. Breath sounds were normal in both hemithorax. FAST was positive in subxiphoid view of the heart and in right upper quadrant.
The patient was taken to the operating room, a left thoracotomy with pericardiotomy was done, clots were found in the pericardium, but no damage to the heart (Figure 4). At laparotomy a blunt transfixed injury of the segment II of the liver, a transfixed lesion of the stomach, and an injury of the central tendon of diaphragm were found and corrected with catgut chrome 0, polypropilene 4-0 and horizontal U stitches of polypropilene 0 respectively. The patient was discharge on postoperative day four.

Results
The result was the observation of a different cause of hemopericardium. In both cases observed, the gunshot injury broke the barrier between the pericardial and peritoneal cavities (diaphragm) placing cavities with different pressure levels in contact, favoring the entry of blood from the peritoneal cavity into the pericardial sac (Figure 5).

Although there were no cardiac lesion in any of them, the pericardial sac was filled by blood from the peritoneal cavity.
Discussion
The surgeon needs a high degree of suspicion in cases that present themselves with stable hemodynamics, otherwise a fraction of these patients can rapidly die due to delay in the diagnosis of cardiac injury 4,5. Some authors have demonstrated less invasive diagnostic evaluation through videothoracoscopy and even advocated conservative treatment in patients stable in specialized surgical services6.
The hemopericardium without cardiac injury is a rare condition and have a particular mechanism of trauma
The pericardial pressure depends on the pericardial fluid volume and its speed in accumulation, the cardiac and respiration circle phase and the measurement position. The large amount and the fluid rapid accumulation results in rapid and great increase in pressure 7.
The pericardial cavity have a negative pressure and becomes more negative during inspiration and less during expiration 8, while the corresponding intraperitoneal pressure can vary from +1,5mmHg to +7,3 mmHg during respiration9:
a. Pericardial pressure end inspiration - 5mm Hg;
b. Pericardial pressure end expiration - 3mm Hg.
The diaphragm is rarely injured alone. The anatomic location and close relationship to adjacent intrathoracic and intra abdominal organs favors the occurrence of lesions in other organs10.
In 1988 Demetriades et al, reported the incidence of 50% incidence of associated hepatic injury10.
The hemopericardium due to penetrating injuries is usually associated to cardiac wound. Great vessels injury and pericardiophrenic artery lesion is less frequently associated 3.
The management of patients sustaining penetrating chest trauma in the cardiac box that remains hemodinamically stable is dificult. FAST have a great value in the emergency department, especially because it has 100% sensitivity and 94.7% to 100% specificityfor the detection of occult cardiac injuries and hemopericardium2.
In cases of equivocal FAST, the subxiphoid pericardial window or CT scan can be used to screen the patients2.
Conclusion
The causes of hemopericardium are well established in the literature. In trauma can range from cardiac injury (most common in penetrating trauma) to injuries in great vessels and pericardiophrenic artery (in blunt trauma).
In the cases presented the bullet passed by near the heart but without injury it, caused a tear in diaphragm surface of pericardium allowing the pressure of peritoneal cavity to match the pressure of pericardial sac favoring the passage of blood from peritoneum to pericardium.
To our knowledge, there is no similar report in the English literature of a hemopericardium by gunshot without cardiac injury.
References
1. Warrintong SJ. Cardiac Trauma. Treasure Island Fl: Statpearls Publishing, 2018. Available in: Available in: www.ncbi.nlm.nih.gov/books/NBK430725/. Acess in: 05 nov. 2018.
2. Nicol A, Navsaria P, Beningfield S, Hommes M, Kahn D. Screening for Occult Penetrating Cardiac Injuries. Annals of Surgery. 2015;261(3):573-578. https://doi.org/10.1097/sla.0000000000000713.
3. Parmley LF, Manion WC, Mittingly TW. Non penetrating traumatic injury of the heart. Circulation. 1958;18:371-396. https://doi.org/10.1161/01.CIR.18.3.371.
4. Costa CA, Araújo AO, Chaves AR, Souza JES, Birolini D. Trauma cardíaco. In: Manso JEF, Silva FCD, editores. PROACI - Programa de Atualização em Cirurgia. Porto Alegre: Artmed Panamericana; 2012. p. 57-79.
5. Araújo AO, Westphal FL, Lima LC, Correia JC, Gomes PH, Costa EM, et al. Trauma cardíaco fatal na cidade de Manaus/AM, Brasil. Rev. Col. Bras. Cir. 2018;45:e1888. https://doi.org/10.1590/0100-6991e-20181888.
6. Garcia, A. Enfoque inicial del paciente estable con trauma precordial penetrante: ¿es tiempo de un cambio?. Rev Colomb Cir. 2019;34:16-24. https://doi.org/10.30944/20117582.93.
7. Vogiatzidis K, Zarogiannis SG, Aidonidis I, Solenov E, Molyvdas PA, Gourgoulianis KI, et al. Physiology of pericardial fluid production and drainage. Front Physiol. 2015;6:62. https://doi.org/10.3389/fphys.2015.00062.
8. Lambert CR. The pericardium: a comprehensive textbook by David H. Spodick. New York: Marcel Dekker; 1997. Clin Cardiol. 1998;21:311. https://doi.org/10.1002/clc.4960210422.
9. Feliciano David V, Matyox KL, Moore EE. Trauma. 6 ed. New York: McGraw-Hill, 2008. P. 631.
10. Demetriades D, Kakoyiannis S, Parekh d, Hatzitheofiloul C. Penetrating injuries of the diaphragm. Brit J Surg. 1988;75:824-826. https://doi.org/10.1002/bjs.1800750834.
Notes
Author notes
aCorresponding Author: Bruno José da Costa Medeiros, General surgeon, Instituto de Cirurgia do Estado do Amazonas - ICEA Manaus, AM 69053610 - Phone number: 5592984490880, E-mail: brunaojose@bol.com.br