Imágenes en cirugía
Divertículo esofágico de tercio medio: Una causa infrecuente de disfagia
Middle third esophageal diverticulum: An infrequent cause of dysphagia
Divertículo esofágico de tercio medio: Una causa infrecuente de disfagia
Revista Colombiana de Cirugía, vol. 35, núm. 3, pp. 498-499, 2020
Asociación Colombiana de Cirugía
Recepción: 11 Febrero 2020
Aprobación: 14 Febrero 2020
Palabras clave: esófago, divertículo esofágico, trastornos de la motilidad esofágica, endoscopía del sistema digestivo, diagnóstico por imagen, cirugía torácica asistida por video
Keywords: esophagus, diverticulum, esophageal, esophageal motility disorders, endoscopy, digestive system, diagnostic imaging, thoracic surgery, video-assisted
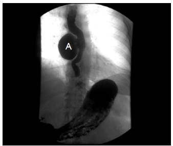
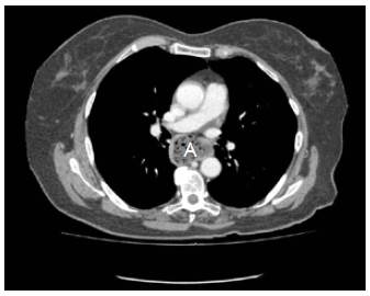
Mujer de 72 años de edad, con cuadro clínico de un año de disfagia y atragantamiento con alimentos sólidos, que había requerido tratamiento endoscópico. Se realiza endoscopia de vías digestivas altas que documenta un divertículo esofágico en tercio medio, y manometría esofágica de alta resolución, sin trastorno motor. El esofagograma (figura 1) y la tomografía computarizada de tórax (figura 2) muestran un divertículo en tercio medio de esófago, lateral derecho, de 7 cm de diámetro y base de 2.5 cm de diámetro. De manera programada se lleva a cabo diverticulectomía esofágica por toracoscopia, en decúbito prono (figura 3), sin complicaciones.



Discusión
Los divertículos esofágicos son una patología infrecuente, con una prevalencia de 0,06 - 4 % 1-4. Suelen ser asintomáticos, pero en caso contrario, el síntoma más frecuente es la disfagia 2-4. Los divertículos esofágicos del tercio medio se forman por mecanismo de tracción, y se asocian a procesos inflamatorios crónicos del mediastino, fibrosis y trastornos motores del esófago, en un 90 % de los casos; sin embargo, se desconoce si el trastorno motor es primario o secundario a la presencia del divertículo 1,2,4. Puesto que suelen ser asintomáticos, el diagnóstico es habitualmente incidental mediante esofagograma u otras pruebas radiológicas o endoscópicas, y no precisan tratamiento 1-4. No obstante, ante la presencia de síntomas, el tratamiento de elección es la resección quirúrgica por toracoscopia o toracotomía 2-4.
Referencias
1. Sato H, Takeuchi M, Hashimoto S, Mizuno KI, Furuwaka K, Sato A, et al. Esophageal diverticulum: New perspectives in the era of minimally invasive endoscopic treatment. World J Gastroenterol. 2019;25:1457-64. https://doi.org/10.3748/wjg.v25.i12.1457
2. Martínez-Marín JD. Divertículo gigante del esófago torácico. Rev Col Gastroenterol. 2008;23:387-89.
3. Whittle C, Schiappacasse G, Leal E, Franz G, Hasson D, Maldonado I, et al. Imágenes en divertículos del tubo digestivo: Localizaciones infrecuentes. Serie de casos. Rev Chil Radiol. 2018;24:67-78.
4. Herbella FA, Patti MG. Modern pathophysiology and treatment of esophageal diverticula. Arch Surg. 2012;397:29-35. https://doi.org/10.1007/s00423-011-0843-2
Cumplimiento de normas éticas
Notas de autor
aCorrespondencia: Julio César Moreno A., Carrera 75 # 23B - 34, Bogotá, D.C., Colombia. Teléfono: +57 3118572978 Correo electrónico: juliomoreno.md@gmail.com Citar como: Moreno-Alfonso JC, Eguaras-Córdoba I, Yárnoz-Irazábal MC, Miranda-Murua MC. Divertículo esofágico de tercio medio: Una causa infrecuente de disfagia. Rev Colomb Cir. 2020;35:498-9. https://doi.org/10.30944/20117582.562