Artículo de revisión
Leiomioma pulmonar primario
Primary pulmonary leiomyoma
Leiomioma pulmonar primario
Revista Colombiana de Cirugía, vol. 35, núm. 4, pp. 659-664, 2020
Asociación Colombiana de Cirugía
Recepción: 12 Mayo 2020
Aprobación: 08 Junio 2020
Resumen: El leiomioma primario de pulmón es un tumor benigno raro, de origen mesodérmico, que representa aproximadamente el 2 % de todos los tumores benignos de pulmón. Desde que fue descrito por primera vez por Forkel en 1910, se han reportado al menos 150 casos en la literatura. Se hace una revisión del tema a propósito del caso de una mujer posmenopáusica oligosintomática, con hallazgo de una lesión pulmonar sólida, asociada a una malformación vascular, en quien la biopsia inicial reportó un tumor fusocelular, por lo que fue llevada a lobectomía superior del pulmón derecho, y cuyo diagnóstico patológico definitivo fue leiomioma pulmonar primario. Este caso se presenta por su baja incidencia y la poca literatura sobre este tipo de lesiones tumorales benignas.
Palabras claves: leiomioma, pulmón, neoplasias pulmonares, toracoscopía, cirugía torácica asistida por video.
Abstract: Primary lung leiomyoma is a rare benign tumor of mesodermal origin, that accounts for approximately 2% of all benign lung tumors. Since it was first described by Forkel in 1910, at least 150 cases have been reported in the literature. A review of the subject is made regarding the case of an oligosymptomatic postmenopausal woman, with the finding of a solid lung lesion, associated with a vascular malformation, in whom the initial biopsy reported a spindle cell tumor, for which she was taken for a right upper lung lobectomy and whose definitive pathological diagnosis was primary pulmonary leiomyoma. This case is presented due to its low incidence and the little literature on this type of benign tumor lesions.
Keywords: leiomyoma, lung, lung neoplasms, thoracoscopy, thoracic surgery, video-assisted.
Introducción
El leiomioma primario de pulmón es un tumor benigno raro, de origen mesodérmico, que representa aproximadamente el 2 % de todos los tumores benignos de pulmón 1. Se desarrolla a partir de fibras musculares lisas del árbol traqueobronquial, de los vasos sanguíneos o de islotes musculares embrionarios heterotópicos en el pulmón, y puede ser parenquimatoso o traqueobronquial 2. Desde que fue descrito por primera vez por Forkel en 1910 3, se han reportado en la literatura al menos 150 casos.
La importancia de su conocimiento radica en su baja incidencia, lo que lleva en múltiples ocasiones a confusiones diagnósticas, con tratamientos que pudieran ser insuficientes. Aún están en construcción las clasificaciones y las características inmunohistoquímicas; por lo anterior, y en pro de contribuir al conocimiento de la patología, se hace la presentación de un caso incluyendo una revisión de la literatura con la evidencia actual sobre las características clínicas, imagenológicas, patológicas y quirúrgicas.
Caso clínico
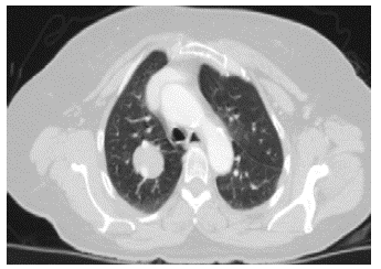
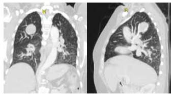
Paciente femenina de 64 años, con antecedentes de hipertensión arterial, bloqueo de rama izquierda, diabetes mellitus no insulinorequiriente y dislipidemia con adecuado control, que consulta con cuadro clínico consistente en dolor torácico inespecífico e intermitente, en hemitórax derecho, de larga data y sin manejo específico, que se exacerba posterior a caída desde su propia altura, asociándose a tos no productiva. Se realiza tomografía computarizada (TC) de tórax con contraste donde se observa un nódulo en el lóbulo superior derecho, de 30 x 26 mm, con bordes bien definidos y atenuación de tejidos blandos, sin captación del medio de contraste; adicionalmente, se encontró un drenaje anómalo de la vena pulmonar superior derecha (figuras 1 y 2).


Se complementaron los estudios con PET-CT donde se observó una lesión nodular en pulmón derecho, con muy escaso aumento del metabolismo, sin incremento de tamaño con respecto a estudios previos, y adenopatías hiliares derechas con aumento leve del metabolismo.
Se realizó biopsia guiada por TC con aguja fina que reportó un infiltrado inflamatorio linfocitario, con presencia de proliferación de células fusiformes, sin atipia, que se disponen formando un patrón sólido en medio de estroma francamente hialinizado. El reporte de inmunohisto-química fue actina de músculo liso positivo en células neoplásicas, desmina y CD34; negativo para miogenina, citoqueratinas y S100. Todo lo anterior es compatible con una lesión fusocelular de músculo liso.
Ante estos hallazgos se discute en comité multidisciplinar, planteándose como diagnóstico de trabajo lesión pulmonar de estirpe sarcoma-tosa, posiblemente de bajo grado, por lo que se propone como tratamiento una lobectomía total superior derecha más linfadenectomía mediastinal por toracoscopia monoportal, la cual se lleva a cabo sin complicaciones, con adecuada evolución posoperatoria y alta temprana.
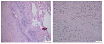
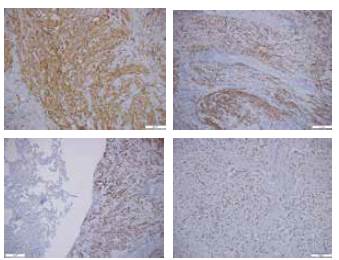
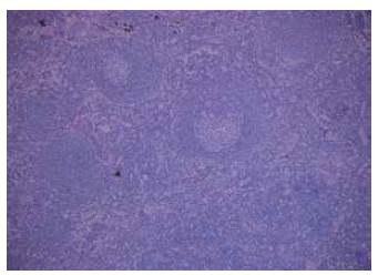
En la patología del espécimen final se observa una masa circunscrita de 3 cm de diámetro, firme, color crema, que al intentar cortarlo enuclea fácilmente, los márgenes quirúrgicos fueron negativos (figura 3). Los estudios de inmunohis-toquímica fueron positivos para desmina, CD34, h-caldesmon, receptores de estrógenos y progesterona, y negativos para citoqueratinas, Bcl2 y Stat 6 (figura 4). Los ganglios linfáticos fueron negativos para malignidad (figura 5).



Los hallazgos son compatibles con leiomioma pulmonar primario con base en que la historia ginecológica era negativa para neoplasias primarias en tracto genital, al igual que el rastreo ecográfico previo de la paciente donde no se apreciaba ningún tipo de lesión. La paciente a la fecha presenta una adecuada evolución, sin complicaciones.
Revisión de la literatura y discusión
Epidemiología
El leiomioma pulmonar primario es una entidad poco frecuente, y la mayoría de los casos reportados son secundarios a lesiones pulmonares metastásicas, de un primario usualmente localizado a nivel uterino. Los leiomiomas también se pueden encontrar en el tracto gastrointestinal, pero es excepcionalmente raro que el tumor se desarrolle en el sistema pulmonar 4.
Los leiomiomas representan el 2 % de todos los tumores benignos en el sistema pulmonar, pueden localizarse en cualquier parte de la tráquea (16 %), bronquios (33 %) y parénquima pulmonar (51 %) 5. Se ha descrito su presentación en mujeres jóvenes de mediana edad, con una edad media de 35 años. En los niños, la inmunodeficiencia y la infección concomitante con el virus de Epstein-Barr se han implicado como un factor predisponente para la proliferación de tumores benignos y malignos del músculo liso 6.
En nuestro caso se trata de una paciente en la séptima década de la vida, sin síntomas previos ni antecedentes gineco-obstétricos, en quien adicionalmente se encontró un drenaje pulmonar venoso anómalo.
Presentación clínica
La presentación clínica varía según el lugar y el tamaño de la lesión. En casos de afectación bronquial, la sintomatología está relacionada con el grado de obstrucción del bronquio afectado y el estado del parénquima pulmonar. El leiomioma traqueal ocurre predominantemente en la porción membranosa del tercio inferior de la tráquea. Produce sibilancias e incluso una disnea, permanente o intermitente, que puede confundirse con asma bronquial.
Entre los síntomas de la ubicación pulmonar se encuentran tos, sibilancias, dolor torácico, hemoptisis, fiebre y neumonía recurrente, con riesgo de bronquiectasia o destrucción del parénquima como etapa final. La localización parenquimatosa es asintomática hasta en el 90 % de los casos, siendo frecuentemente un hallazgo incidental en una radiografía de tórax, donde suele evidenciarse como una masa única redondeada, o en una autopsia 7.
Nuestra paciente, como síntoma relevante tuvo dolor torácico inespecífico, intermitente, de larga data, pero finalmente fue un hallazgo incidental luego de un trauma.
Diagnóstico
El diagnóstico suele ser imagenológico. La radiografía de tórax muestra una opacidad redonda, homogénea, bien definida. La tomografia computarizada confirma el hallazgo de una lesión pulmonar redonda u ovoide, bien delimitada, raramente calcificada, con o sin atelectasia o neumonía postobstructiva 8.
El estudio es complementado con la broncoscopia. El diagnóstico final es histológico y se puede obtener a partir de biopsias bronquiales mediante broncoscopia, en las formas centrales de la enfermedad, o por biopsias transparietales guiada por TC, en las formas parenquimatosas periféricas 9.
Diagnóstico diferencial
Como diagnóstico diferencial debe distinguirse del leiomiosarcoma de bajo grado y la leiomiomatosis metastásica benigna, la cual es una lesión rara y con muy pocos casos reportados en nuestro medio 10. La lesión fue descrita por primera vez por Steiner en 1939 11 que informó de una paciente que había muerto por corpulmonale y tenía un fibroma uterino benigno con metástasis en el pulmón; Steiner usó el término "leiomioma metastásico" para describirlo 12. La leiomiomatosis metastásica puede producir metástasis a distancia, localizadas en pulmón, piel, hueso, mediastino, ganglios linfáticos, músculo, corazón y retroperitoneo 13; suelen ser lesiones múltiples y bilaterales no infiltrativas, cuyo crecimiento cesa con el inicio de la menopausia y tienen una buena respuesta con el tratamiento hormonal 14, el diagnostico se basa en la coexistencia histológica de una proliferación benigna fusocelular sumado a una lesión a distancia de similares características 15.
Macroscópicamente los leiomiomas son masas sólidas, de color entre blanco y gris perlado al corte. Las características microscópicas son células de músculo liso, con un patrón arremolinado con haces de musculo liso, dispuestas de manera longitudinal o transversal, citoplasma eosinófilo con núcleos ovales y discretos, en forma de cigarrillo; característicamente tienen baja celularidad, ausencia de conteo mitótico, falta de atipia citológica y ausencia de necrosis. Las células neoplásicas son fuertes y difusamente positivas para actina de músculo liso, lo que confirma el origen del músculo liso de este tumor benigno.
La inmunohistoquímica es negativa para CD117, el protooncogén c-kit, descartando un tumor estromal extra gastrointestinal, y todas las células son negativas con S100, excluyendo esencialmente un tumor de origen neural. La leiomiomatosis pulmonar metastásica típicamente expresa receptores de estrógenos y progestágenos, lo que favorece su posible origen uterino 16. En nuestro caso se revisó de manera exhaustiva los tractos ginecológico y abdominal, sin encontrar neoplasias compatibles con leiomiomas.
Tratamiento
El tratamiento de elección para el leiomioma pulmonar es la resección quirúrgica y la técnica depende de la ubicación y el tamaño de la lesión. Las lesiones traqueobronquiales de tamaños pequeños pueden resecarse mediante bronquiectomía, resección segmentaria, láser endoscópico o electrocauterización, especialmente en pacientes de alto riesgo quirúrgico 17. Sin embargo, una resección parenquimatosa extensa puede ser necesaria en caso de destrucción del parénquima. En una serie de 76 casos de leiomiomas broncopulmonares operados, 13 fueron tratados por neumonectomía, 30 por lobectomía, 2 por segmentectomía, 12 por resección segmentaria y 19 por bronquiectomía 18.
Actualmente no hay guías para tratar el leiomioma pulmonar primario. La estrategia de tratamiento para el leiomioma pulmonar depende de la ubicación de la lesión en la vía aérea y del tamaño de la lesión. En nuestro caso se trataba de una lesión de 3 cm de diametro, localizada en el lóbulo superior derecho, en presencia de un drenaje venoso anómalo del lóbulo superior, con un diagnostico presuntivo inicial donde no se podía descartar una lesión de estirpe sarcomatoso de bajo grado, por lo que se realizó una resección lobar reglada con vaciamiento mediastinal por técnica de videotoracosocopia por un puerto, con intención curativa.
Conclusión
El leiomioma pulmonar es una entidad de características benignas, muy poco frecuente, cuyos síntomas pueden pasar desapercibidos por largo tiempo y encontrarse solo como hallazgo incidental. Su tratamiento se basa en la resección quirúrgica, que puede ser conservadora o no, dependiendo del sitio afectado y de los hallazgos asociados. El diagnóstico definitivo solo se puede obtener una vez resecada la lesión completa. Después de la resección, se asocian con un pronóstico excelente, como en el caso presentado, donde hasta ahora no hay reporte de recaídas.
Referencias
1. Allan JS. Rare solitary benign tumors of the lung. Semin Thorac Cardiovasc Surg. 2003;15:315-22. https://doi.org/10.1016/S1043-0679(03)70013-6
2. Shahian DM, McEnany MT. Complete endobronchial excision of leiomyoma of the bronchus. J Thorac Cardiovasc Surg. 1979;77:87-91. http://doi.org/10.1016/S0022-522340993-8
3. Freireich K, Bloomberg A, Langs EW. Primary bronchogenic leiomyoma. Dis Chest. 1951;19:354-8. http://doi.org/10.1378/chest.19.3.354
4. Yoon YC, Lee KS, Kim TS, Seo JB, Han J. Benign bronchopulmonary tumors: Radiologic and pathologic findings. J Comput Assist Tomogr. 2002;26:784-96. https://doi.org/10.1097/00004728-200209000-00020
5. Miller DR. Benign tumors of lung and tracheobronchial tree. Ann Thorac Surg. 1969;8:542-60. http://doi.org/10.1016/S0003-4975(10)66093-6
6. Chadwick EG, Connor EJ, Hanson IC, Joshi VV, Abu-Farsakh H, Yogev R, et al. Tumors of smooth- muscle origin in HIV-infected children. JAMA. 1990;263:3182-4. https://doi.org/10.1001/jama.1990.03440230078037
7. Gal AA, Brooks JS, Pietra GG. Leiomyomatous neoplasms of the lung: a clinical, histologic, and immunohistochemical study. Mod Pathol. 1989;2:209-216.
8. Jhun BW, Lee KJ, Jeon K, Um SW, Suh GY, Chung MP, et al. The clinical, radiological, and bronchoscopic findings and outcomes in patients with benign tracheobronchial tumors. Yonsei Med J. 2014;55:84-91. https://doi.org/10.3349/ymj.2014.55.1.84
9. Yoon KK, Kim H, Lee KS, Han J, Yi CA, Kim J, et al. Airway leiomyoma: Imaging findings and histopathologic comparisons in 13 patients. Am J Roentgenol. 2007;189:393-9. https://doi.org/10.2214/AJR.07.2079
10. Torres-Gómez FJ, Arroyo-Tristán A, Torres-Olivera FJ. Leiomioma benigno metastásico de localización pulmonar. Arch Bronconeumol. 2007;43:52-3. https://doi.org/10.1157/13097003
11. Winkler TR, Burr LH, Robinson CLN. Benign metastasizing leiomyoma. Ann Thorac Surg. 1987;43:100-1. http://doi.org/10.1016/S0003-4975(10)60176-2
12. Shin MS, Fulmer JD, Ho KJ. Unusual computed tomographic manifestations of benign metastasizing leiomyomas as cavitary nodular lesions or interstitial lung disease. Clin Imaging. 1996;20:45-9. https://doi.org/10.1016/0899-7071(94)00076-X
13. Taftaf R, Starnes S, Wang J, Shipley R, Namad T, Khaled R, et al. Benign metastasizing leiomyoma: a rare type of lung metastases-two case reports and review of the literature. Case Rep Oncol Med. 2014;2014:1-4. https://doi.org/10.1155/2014/842801
14. Lee SR, Choi YI, Lee SJ, Shim SS, Lee JH, Kim YK, et al. Multiple cavitating pulmonary nodules: Rare manifestation of benign metastatic leiomyoma. J Thorac Dis. 2017;9:E1-5. https://doi.org/10.21037/jtd.2016.11.112
15. Abramson S, Gilkeson RC, Goldstein JD, Woodard PK, Eisenberg R, Abramson N. Benign metastasizing leiomyoma: clinical, imaging, and pathologic correlation. AJR Am J Roentgenol. 2001;176:1409-13. https://doi.org/10.2214/ajr.176.6.1761409
16. Nguyen TC, Drew PA, Dang LH, Yuan C. Cancer Genes Mutations in Benign Metastasizing Leiomyoma: A Case Report. Cureus. 2019;11:e5154. https://doi.org/10.7759/cureus.5154
17. Zidane A, Elktaibi A, Benjelloun A, Arsalane A, Afandi O, Bouchentouf R. Primary leiomyoma of the lung: an exceptional localization. Asian Cardiovasc Thorac Ann. 2016;24:393-6. https://doi.org/10.1177/0218492316638608
18. Salminen US, Halttunen P, Miettinen M,Mattila S. Benign mesenchymal tumours of the lung including sclerosing haemangiomas. Ann Chir Gynaecol 1990;79:85-91.
Notas
Notas de autor
aCorrespondencia: Camilo Andrés Díaz Quintero, Clínica Cardio VID, Calle 78B # 75-21, Medellín, Colombia. Teléfono: 3005149932 Correo electrónico: camilodzq@gmail.com