Imágenes en cirugía
Oclusión intestinal secundaria a melanoma metastásico
Small bowel obstruction secondary to metastatic melanoma
Oclusión intestinal secundaria a melanoma metastásico
Revista Colombiana de Cirugía, vol. 36, núm. 3, pp. 531-533, 2021
Asociación Colombiana de Cirugía
Recepción: 03 Enero 2021
Aprobación: 28 Febrero 2021
Palabras clave: Oclusión intestinal, Abdomen agudo, metástasis intestinal, melanoma.
Keywords: Small bowel obstruction, Acute abdomen, intestinal metastases, melanoma.
Introducción
El intestino es raramente asiento de metástasis, siendo el melanoma maligno el tumor más frecuente que las produce. Sin embargo, solo en un 5 % de los casos llegan a detectarse.
Caso clínico
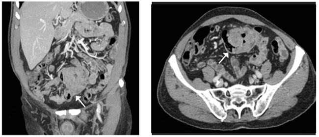
Paciente masculino de 73 años, con antecedente de amputación del primer dedo de mano por melanoma amelanótico Clark IV / Breslow 9 mm y linfadenectomía cervical, en seguimiento por Oncología, sin detectar recidiva. Cuatro años después, acude a urgencias presentando dolor abdominal y vómitos de un mes de evolución. En la tomografía computarizada (TC) abdominal se destaca un conglomerado de asas intestinales sin establecer causa (Figura 1).

El paciente presenta rectorragias autolimitadas, por lo que se realiza colonoscopia encontrando ulceraciones colónicas sin sangrado activo y PET-scan donde se objetiva captación compatible con tumoración tipo GIST (Figura 2).

Una semana tras el ingreso empeora clínicamente, con acidosis metabólica y criterios de sepsis. Se realiza nuevo TC (Figura 3) hallando tumoración abscedada que condiciona cuadro oclusivo y liquido libre que sugiere sufrimiento de asa intestinal. Se interviene de urgencia, encontrando tumoración en íleon terminal que compromete dos asas intestinales, una de ellas torsionada sobre sí misma causando la oclusión. Se practica resección intestinal con la tumoración en bloque, con evolución postoperatoria favorable. La anatomía patológica confirmó metástasis de melanoma, infiltrante y ulcerado, alcanzando todas las capas de la pared, con márgenes libres.

Conclusiones
El estudio de pacientes con historia de melanoma que presenten síntomas gastrointestinales debe incluir evaluación radiológica y endoscópica, considerando las metástasis como el diagnóstico diferencial más importante a descartar.
Referencias
1. Perez MC, Sun J, Farley C, Han D, Sun AH, Narayan D, et al. Management of intussusception in patients with melanoma. J Surg Oncol. 2019;119:897-902. https://doi.org/10.1002/jso.25393
2. Đokić M, Badovinac D, Petrič M, Trotovšek B. An unusual presentation of metastatic malignant melanoma causing jejuno-jejunal intussusception: a case report. J Med Case Rep. 2018;12:337. https://doi.org/10.1186/s13256-018-1887-5
3. Li WX, Wei Y, Jiang Y, Liu YL, Ren L, Zhong YS, et al. Primary colonic melanoma presenting as ileocecal intussusception: case report and literature review. World J Gastroenterol. 2014;20:9626-30. https://doi.org/10.3748/wjg.v20.i28.9626
Notas
Notas de autor
aAutor de correspondencia: Marta Allué Cabañuz, Avenida Martínez de Velasco 36, 22004, Huesca, España. Teléfono: 0034974247000. Email: martitaallue@hotmail.com
Declaración de intereses