Imágenes en cirugía
Cuerpo extraño como causa de apendicitis aguda complicada
Foreign body as a cause of complicated acute appendicitis
Cuerpo extraño como causa de apendicitis aguda complicada
Revista Colombiana de Cirugía, vol. 37, núm. 1, pp. 139-141, 2022
Asociación Colombiana de Cirugía
Recepción: 17 Julio 2021
Aprobación: 29 Julio 2021
Publicación: 09 Enero 2021
Resumen : La apendicitis aguda es una de las patologías más comunes en el ámbito hospitalario. Las formas complicadas pueden ser causadas por objetos puntigudos, afilados, delgados o alargados, ingeridos de forma accidental, y representan una causa inusual con una prevalencia del 0,0005 %.
Palabras clave: apendicitis aguda, complicada, perforación, cuerpo extraño, abdomen agudo, laparoscopia.
Abstract : Acute appendicitis is one of the most common pathologies in the hospital setting. The complicated forms can be caused by pointed, sharp, thin or elongated objects, accidentally ingested, and represent an unusual cause with a prevalence of 0.0005%.
Keywords: acute appendicitis, complicated, perforation, foreign body, acute abdomen, laparoscopy.
Introducción
La apendicitis aguda es una patología que se presenta en todos los grupos etarios, con una mayor incidencia entre los 11 y 13 años de edad 1. La ingesta de cuerpos extraños es algo inusual que puede suceder en el 0,0005 % de la población, y sus complicaciones son menos comunes, con una tasa de perforación extremadamente baja que puede ocurrir en cualquier parte del tracto gastrointestinal, especialmente en áreas de angulación o estrechamiento como el píloro, la zona fija del ligamento de Treitz, el íleon distal a nivel de la válvula ileo-cecal y la unión recto sigmoidea 2.
Presentación del caso
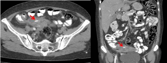
Paciente de 65 años con dolor abdominal tipo cólico localizado en la región inguinal derecha, irradiado al flanco y región lumbar ipsilateral. Se realizó una tomografía computarizada contrastada observando un marcado engrosamiento del apéndice cecal, perdida de su configuración y una colección heterogénea multiloculada con una imagen hiperdensa lineal de aproximadamente 18 mm en su interior, sugestiva de cuerpo extraño, hallazgos compatibles con apendicitis aguda, perforación contenida y formación de absceso periapendicular (figura 1).

Se realizó apendicectomía por laparoscopia encontrando el apéndice cecal emplastronado, localizado por debajo del íleon distal, con un absceso purulento asociado a perforación apendicular en su tercio medio, donde se encontró un fragmento de hueso de pollo (figura 2).

Discusión
La perforación del tracto digestivo por cuerpos extraños en cualquier segmento intestinal es rara y ocurre en menos del 1 % de los pacientes que los ingieren 2. El íleon terminal es el sitio más común de perforación, en el 73 % de los casos, seguido del asa en C duodenal 3. Se desconoce la incidencia de apendicitis aguda complicada perforada, siendo la incidencia de todos los cuerpos extraños en el apéndice cecal entre el 0,005 % y el 0,113 % 3,4.
La obstrucción causada por el cuerpo extraño en la luz apendicular, desencadena un proceso inflamatorio característico de la apendicitis y, además, puede causar su perforación 4. Los cuerpos extraños que salen de la luz intestinal pueden migrar produciendo entidades clínicas como abscesos hepáticos, impactarse en la superficie anterior del epiplón mayor y causar abscesos o efecto de masa a este nivel confundiéndose con neoplasias, también pueden atravesar la vejiga, causando fistulas, o la pared abdominal anterior, saliendo a traves de la piel 4.
En cuanto a las imágenes diagnosticas se considera que la tomografía computarizada es el método de elección para identificar cuerpos extraños ingeridos, teniendo como desventaja que se requieren cortes tomográficos finos y una minuciosa observación del tracto gastrointestinal buscando el cuerpo extraño, en especial en las zonas de angulación y mayor riesgo de perforación, como la unión ileocecal y recto-sigmoidea, o dentro de un saco herniario, un divertículo de Meckel o el apéndice cecal 5.
Conclusión
Aunque los cuerpos extraños ingeridos usualmente atraviesan el tracto digestivo sin provocar perforaciones o complicaciones secundarias, en ciertas oportunidades pueden causar apendicitis aguda complicada con una perforación secundaria.
En las imágenes diagnosticas se debe hacer una búsqueda minuciosa de dichos objetos, para definir el manejo quirúrgico, evitando posibles complicaciones asociadas.
Referencias
Di Saverio S, Podda M, De Simone B, Ceresoli M, Augustin G, Gori A, et al. Diagnosis and treatment of acute appendicitis: 2020 update of the WSES Jerusalem guidelines. World J Emerg Surg. 2020;15:27. https://doi.org/10.1186/s13017-020-00306-3
Chiu JJ, Chen TL, Zhan YL. Perforation of the transverse colon by a fish bone: a case report. The Journal of Emergency Medicine. 2009;36:345-7. https://doi.org/10.1016/j.jemermed.2007.11.007
Costa-Almeida CE, Rainho R, Gouveia A. Codfish may cause acute abdomen. Int J Surg Case Rep. 2013;4:969-71. https://doi.org/10.1016/j.ijscr.2013.08.009
Choi Y, Kim G, Shim C, Kim D, Kim D. Peritonitis with small bowel perforation caused by a fish bone in a healthy patient. World J Gastroenterol. 2014;20:1626-9. https://doi.org/10.3748/wjg.v20.i6.1626
Barragán C, Rueda JD, Espitia E, Uriza LF, Rosselli D. Perforación intestinal por espina de pescado, revisión de la literatura científica y presentación de dos casos. Rev Colomb Cir. 2012;27:79-84.
Notas
Notas de autor
aCorrespondencia: Cristina Estefanía González-Díaz, Carrera 59 # 26-21, Bogotá, D.C., Colombia. Teléfono: +57 3168734654, Correo electrónico: jvelez_bernal0406@hotmail.com
Declaración de intereses