Imágenes en cirugía
Pólipo juvenil: el gran simulador
Juvenile polyp: The great simulator
Pólipo juvenil: el gran simulador
Revista Colombiana de Cirugía, vol. 37, núm. 3, pp. 492-493, 2022
Asociación Colombiana de Cirugía
Recepción: 02 Agosto 2021
Aprobación: 05 Septiembre 2021
Publicación: 07 Junio 2022
Palabras clave: Pólipo juvenil, pediatría, hemorragia gastrointestinal, endoscopia, colonoscopia
Keywords: Juvenile polyp, pediatrics, gastrointestinal bleeding, endoscopy colonoscopy
En la población pediátrica, los pólipos representan la primera causa de sangrado colorrectal con una prevalencia del 1 %. De ellos, el 90 % corresponde a pólipos juveniles (PJ) 1.
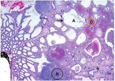
Se presentan las imágenes de un varón de tres años que como única alteración presentaba rectorragia indolora e intermitente de nueve meses de evolución, sin alteraciones detectadas al examen físico, con calprotectina fecal elevada (1405 mg/kg), sin anemia y una gammagrafía con tecnecio-99m normal. Se realizó una colonoscopia encontrando un pólipo a 10 cm del margen anal externo, el cual fue resecado con un asa de polipectomía (figura 1). No hubo complicaciones y la histopatología confirmó el diagnóstico de pólipo juvenil (figura 2).


Los PJ son tumores benignos compuestos por lamina propia y glándulas dilatadas, tienen un pico de incidencia entre los 2-10 años y predominan en varones (2:1). Etiológicamente se considera que la presencia de pliegues mucosos redundantes induce la irritación mecánica e inflamación que provoca un desequilibrio celular y su proliferación. Característicamente se presentan con rectorragia intermitente e indolora tras la defecación (figura 3), un pequeño porcentaje debuta con prolapso o auto-amputación del pólipo y pueden simular un amplio grupo de patologías 2.

La colonoscopia es el procedimiento diagnóstico y terapéutico de elección, endoscópicamente se observan tumores rojizos, lisos y pediculados. En el 85 % de los casos son lesiones solitarias localizadas en la unión rectosigmoidea, y aunque no tienen potencial maligno y solo recurren en el 4,5 % de los casos, deben ser resecados y analizados histopatológicamente 3,4
En la hemorragia digestiva baja en pacientes pediátricos, una historia clínica minuciosa y el tacto rectal evitan gammagrafías y estudios innecesarios, lo que permite disminuir el estrés familiar que genera la rectorragia en el paciente pediátrico.
Referencias
Lee BG, Shin SH, Lee YA, Wi JH, Lee YJ, Park JH. Juvenile polyp and colonoscopic polypectomy in childhood. Pediatr Gastroenterol Hepatol Nutr. 2012;15:250-5. https://doi.org/10.5223/pghn.2012.15.4.250
Mulett E, Arango LA. Autoamputación de pólipo del colon: presentación del caso y revisión de la literatura. Arch Med. 2017;17:425-7. https://doi.org/10.30554/archmed.17.2.2039.2017
Shah S, Youssef E, Saccio M, Hahn B. Juvenile polyp. J Emerg Med. 2011;41:111-2. https://doi.org/10.1016/j.jemermed.2009.05.009
Kumar K, Patel H, Tariq H, Balar B, Makker J. A juvenile polyp on colonoscopy, is it premalignant? Clin Case Rep. 2019;7:2605-6. https://doi.org/10.1002/ccr3.2561
Cumplimiento de normas éticas
Notas de autor
aCorrespondencia: Julio César Moreno-Alfonso, calle Irunlarrea 3. 31008, Pamplona, España. Teléfono: + 58 48422222. Dirección electrónica: juliomoreno.md@gmail.com
Declaración de intereses