Imágenes en cirugía
Presentación agresiva de carcinoma escamocelular de ombligo
Aggressive presentation of squamous cell carcinoma of the umbilicus
Presentación agresiva de carcinoma escamocelular de ombligo
Revista Colombiana de Cirugía, vol. 37, núm. 3, pp. 494-498, 2022
Asociación Colombiana de Cirugía
Recepción: 05 Noviembre 2021
Aprobación: 27 Febrero 2022
Publicación: 07 Junio 2022
Palabras clave: Ombligo, carcinoma de células escamosas, neoplasias, patología, metástasis
Keywords: Umbilicus, squamous cell carcinoma, neoplasms, pathology, metastasis
Introducción
El ombligo puede ser afectado por diversas patologías, que van desde procesos inflamatorios, infecciosos, defectos congénitos, neoplasias de origen primario y secundario 1. Los tumores malignos más frecuentes de localización umbilical son las metástasis, que usualmente son de origen gastrointestinal (35-65 %), genitourinario (12-35 %), de sitios no específicos (15-30 %) y de origen pulmonar y mamario (3-6 %). No obstante, las neoplasias primarias son un diagnóstico que considerar en el paciente con patología neoplásica de origen umbilical, dentro de las cuales la presentación del carcinoma escamocelular es excepcional 2.
Reporte de caso
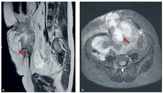
Paciente de 45 años, que consultó por cuadro de 4 meses caracterizado por síndrome constitucional, asociado a dolor abdominal difuso de poca intensidad. Al examen físico se palpó en mesogastrio una masa indurada, que generaba dolor a la manipulación. La tomografía computarizada reveló un tumor mixto a nivel del mesogastrio, que comprometía la región subfascial y el tejido celular subcutáneo, con captación del medio de contraste. En la resonancia magnética nuclear se visualizó un tumor que involucraba el tejido celular subcutáneo y la región muscular, asociado a congestión linfática (Figura 1). Se postuló la posibilidad de un sarcoma de pared abdominal, por lo cual se realizó biopsia con aguja gruesa. El reporte de patología informó un carcinoma escamocelular moderadamente diferenciado con queratinización.

Se llevó la paciente a cirugía, donde se resecó en bloque la lesión tumoral de la pared abdominal y un segmento de intestino delgado; se reconocieron múltiples implantes tumorales a nivel hepático y adenomegalias. Macroscópicamente la pieza quirúrgica estaba compuesta por tres partes (Figura 2): de anterior a posterior, la primera correspondía a una elipse de piel que midió 20 x 11 cm en sus dimensiones mayores, la piel era de color pardo oscuro y el ombligo era indurado. Subyacente a la elipse de piel, se halló un tumor que midió 18 x 12 cm en sus dimensiones mayores, multilobulado, de consistencia firme y de color pardo oscuro. El tumor estaba en contacto con la pared del intestino delgado. A los cortes del espécimen quirúrgico, el tumor se extendía desde el ombligo, pasando por el tejido celular subcutáneo hasta llegar a la pared del intestino delgado, asociado a múltiples implantes tumorales en la serosa (Figura 3).


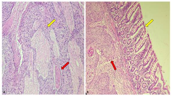
Microscópicamente la neoplasia exhibía células poligonales con citoplasmas eosinofílicos y núcleos moderadamente pleomórficos. Las células tumorales se organizaban en nidos y trabéculas con formación de borlas de queratina. Estos nidos comprometían hasta la submucosa del intestino delgado (Figura 4). Los ganglios linfáticos estuvieron comprometidos por tumor. El diagnóstico histopatológico fue un carcinoma escamocelular moderadamente diferenciado y queratinizante.

Discusión
La presentación del carcinoma escamocelular como neoplasia primaria en el ombligo es infrecuente. En la búsqueda bibliográfica que comprendió las bases de datos SCOPUS, PubMed, SciELO, Sciencedirect y Redalyc, sólo se hallaron 7 casos de esta entidad a la fecha (Tabla 1), siendo nuestro caso la quinta publicación. La afectación por género en los casos fue predominantemente en pacientes masculinos, el grupo etario más frecuente fue a partir de la sexta década de la vida, las metástasis al momento del diagnóstico se reportaron en tres de los casos clínicos. El tamaño tumoral mayor previamente reportado corresponde al caso de Ioverno et al, con dimensiones mayores de 14 x 8 cm. Comparado con los casos previos, nuestro caso sería el segundo en una mujer y con la edad más baja, además, tendría el tamaño tumoral mayor hasta la fecha (18 x 12 cm) 2-4.

El manejo de estas lesiones se basa principalmente en la resección quirúrgica, procurando obtener márgenes libres de compromiso tumoral; el seguimiento y tratamiento posterior a la resección va a depender de las características del tumor, como márgenes de resección, tamaño tumoral y metástasis al momento diagnostico 5,6. Se consideran como factores pronósticos el diámetro tumoral mayor a 2 cm, que duplica el riesgo de recurrencia y triplica las tasas de metástasis. La profundidad mayor de 0,2 cm incrementa el riesgo de recurrencia local 10 veces. La invasión más allá de la grasa subcutánea supone un riesgo 11 veces mayor de metástasis. La invasión perineural se relaciona con metástasis ganglionares, así como la invasión linfovascular. Una mala diferenciación histológica indica un mal pronóstico. Son considerados sitios anatómicos de alto riesgo el cuero cabelludo, orejas, labios, nariz y párpados. La inmunosupresión aumenta la recurrencia hasta en un 13 % y el riesgo de metástasis es de 5-8 % 3.
Referencias
Das A. Umbilical lesions: A cluster of known unknowns and unknown unknowns. Cureus. 2019;11: e5309. https://doi.org/10.7759/cureus.5309
Yoshida M, Kawada A. Squamous cell carcinoma of the umbilicus. Acta Med Kinki Univ. 2013;38:65-7.
Waldman A, Schmults C. Cutaneous squamous cell carcinoma. Hematol Oncol Clin North Am. 2019;33:1-12. https://doi.org/10.1016/j.hoc.2018.08.001
Loverno ML, Palmisano EM. Carcinoma espinocelular gigante de ombligo. Rev Argent Cirug. 2016;108:206-7.
Macripò G, Caliendo V, Grassi M, Lista P, Ribero S, Giacone E, et al. Squamous cell carcinoma of the umbilicus: management of an unusual localization. Tumori. 2011;97:236-8. https://doi.org/10.1700/667.7791
Lee BT, Lefor AT, Didolkar MS. Squamous cell carcinoma of the umbilicus associated with acquired immune deficiency syndrome. J Surg Oncol. 1991;47:67-9. https://doi.org/10.1002/jso.2930470114
Cumplimiento de normas éticas
Notas de autor
aCorrespondencia: Camilo Andrés Pérez-Montiel, Laboratorio de Patología, Hospital Universitario del Caribe, Barrio Zaragocilla, Cartagena de Indias, Colombia. Teléfono: + 57 316578153. Dirección electrónica: capm2908@gmail.com
Declaración de intereses