Presentación de caso
Manejo conservador de lesión aerodigestiva: reporte de un caso y revisión de la literatura
Conservative management of aerodigestive injury: A case report and review of the literature
Manejo conservador de lesión aerodigestiva: reporte de un caso y revisión de la literatura
Revista Colombiana de Cirugía, vol. 37, núm. 3, pp. 499-504, 2022
Asociación Colombiana de Cirugía
Recepción: 09 Marzo 2021
Aprobación: 11 Junio 2021
Publicación: 07 Junio 2022
Resumen
Introducción: El trauma penetrante de cuello representa un evento desafortunado de baja incidencia y alta complejidad diagnóstica y terapéutica, lo que supone un reto para el cirujano general.
Caso clínico: Paciente femenina de 20 años de edad, quien sufrió una herida cervical por proyectil de arma de fuego, desarrollando de forma secundaria una lesión aerodigestiva. Se realizó un tratamiento expectante en un hospital de alta complejidad, con una evolución favorable.
Discusión: En la literatura existe un claro debate en cuanto al manejo de las lesiones penetrantes en cuello y la sospecha de lesión orgánica oculta. En nuestro paciente la lesión aerodigestiva fue tratada mediante observación y seguimiento clínico.
Conclusiones: El manejo de un paciente con lesión aerodigestiva se puede corroborar mediante las imágenes diagnósticas y se puede tratar de forma expectante con un resultado exitoso, sin agregar morbilidad y con un impacto adecuado en el buen uso de los recursos disponibles.
Palabras clave: Cuello+ heridas y traumatismos+ heridas por arma de fuego+ diagnóstico+ observación+ tratamiento.
Abstract
Introduction: Penetrating neck trauma represents an unfortunate event with a low incidence and high diagnostic and therapeutic complexity, which represents a challenge for the general surgeon.
Clinical case: A 20-year-old female patient, who suffered a cervical wound from a firearm projectile, secondarily developing an aerodigestive lesion. An expectant treatment was carried out in a high complexity hospital, with a favorable evolution.
Discussion: In the literature there is a clear debate regarding the management of penetrating neck injuries and suspected occult organic injury. In our patient, the aerodigestive injury was treated by observation and clinical follow-up.
Conclusions: The management of a patient with aerodigestive injury can be corroborated by diagnostic images and can be treated expectantly with a successful result, without adding morbidity and with an adequate impact on the proper use of available resources.
Keywords: Neck, wounds and injuries, gunshot wounds, diagnosis, observation, treatment.
Introducción
El trauma representa un evento desafortunado, que ha ido en aumento a nivel global. El cuello contiene una gran variedad de estructuras nerviosas, vasculares, aérea y digestivas, que son vulnerables y se pueden lesionar de acuerdo al mecanismo del trauma. El desarrollo de lesiones complejas representa un desafío, ya que genera dilemas en su diagnóstico, el cual cuando se realiza de forma tardía puede llevar a resultados devastadores 1.
La región cervical está subdividida anatómicamente en triángulos o en tres zonas verticales, que se han utilizado para orientar la toma de decisiones quirúrgicas en función de la ubicación de la herida cutánea externa y las estructuras anatómicas con mayor riesgo de lesión 2,3.
En la década de 1980, se comenzó a desestimular la exploración cervical rutinaria a favor de un enfoque más selectivo, mediante el uso de imágenes y exámenes clínicos con lo que se ha limitado el número de pacientes sometidos a intervenciones no terapéuticas. El enfoque quirúrgico tradicional, ha sido cuestionado en los últimos tiempos. Múltiples investigaciones en pacientes clínicamente estables, han comprobado que el examen físico y el angiotac, por tratarse de una evaluación rápida, segura, no invasiva y con un buen resultado en el estudio de estructuras vitales del cuello, deben hacer parte de la evaluación inicial, incluso ante la presencia de signos “blandos” de lesión vascular o lesión aerodigestiva 4.
La controversia actual se enfoca en el manejo médico-quirúrgico que se puede plantear, y no es fácil definir el momento en que el paciente debe ser llevado a una exploración cervical. La alternativa de retrasar la intervención, en espera de lograr una disminución del edema cervical y del control de la lesión con seguimiento imagenológico, disminuye la morbilidad y mortalidad. Sin embargo, existen consensos que presentan mejores resultados si se recibe un tratamiento quirúrgico temprano durante las primeras 24 horas 5.
Caso clínico
Paciente femenina de 20 años de edad, sin antecedentes relevantes, quien presentó una herida cervical de 4 x 3 cm en la región submaxilar izquierda, secundaria a proyectil de arma de fuego, con orificio de entrada en el triángulo muscular y sin orificio de salida (figura 1). Al examen físico se encontraba taquicárdica, con cifras tensionales normales (129/80 mm/Hg), sin “signos duros” de trauma ni “signos blandos” (disfagia, disfonía, hemoptisis o ensanchamiento mediastinal). Por tratarse de un trauma penetrante de cuello secundario a un proyectil de arma de fuego y por su localización, se consideró que tenía compromiso de planos profundos y una alta probabilidad de lesión orgánica (figura 2).


De acuerdo con el último consenso del Advanced Trauma Life Support (ATLS, por sus siglas en inglés), se iniciaron los protocolos de atención primaria en el área de urgencias, garantizando una adecuada oxigenación y permeabilidad de la vía área, sin ser necesarias maniobras invasivas. Posteriormente se realizó una reanimación adecuada con cristaloides, sin presencia de signos de choque. La paciente no tenía déficit neurológico que indicara la toma de conductas adicionales.
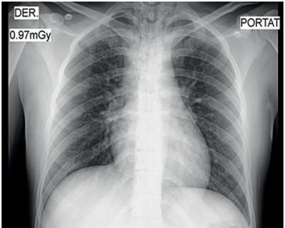
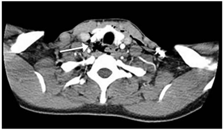
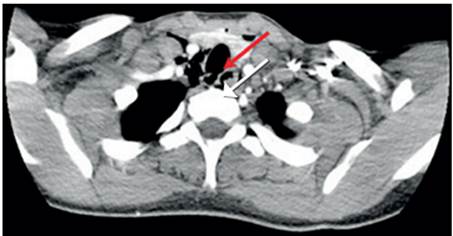
Ante la sospecha clínica de lesión vascular cervical como primera posibilidad, se tomó una radiografía de tórax postero-lateral que descartó la presencia de neumotórax, hemotórax u otra complicación (figura 3). Se realizó un angiotac cervical con contraste endovenoso, encontrando enfisema subcutáneo en los tejidos blandos, con solución de continuidad (figura 4) y una lesión en el tercio medio de la tráquea, con compromiso de su pared lateral derecha (figura 5), sin poder descartar una lesión del esófago en su segmento cervical. No se observó compromiso vascular ni óseo.



Ante la ausencia de signos duros y la estabilidad hemodinámica de la paciente, con sospecha de lesión aerodigestiva por los hallazgos tomográficos, se inició cubrimiento antibiótico con piperacilina/tazobactam y se decidió continuar manejo expectante. Se realizó un esofagograma que no mostró fugas o lesiones fistulosas (figura 6), y una nasofibrolaringoscopia que documentó un hematoma hemi-laríngeo derecho (figura 7); este examen se repitió a las 24 horas sin observar cambios respecto al estudio inicial. La endoscopia de vías digestivas altas informó la presencia de un hematoma que comprometía la pared lateral de la tráquea, sin embargo, mediante un paso fácil del endoscopio por el cricofaríngeo, no se visualizaron lesiones en el esófago.


La paciente presentó una evolución clínica favorable con mejoría del edema cervical, control del dolor y sin presencia de signos clínicos que indicaran una urgencia quirúrgica. Apoyados en los adecuados índices de oxigenación, en los estudios complementarios que descartaron la progresión de las lesiones y después de 72 horas de observación, se decidió un seguimiento ambulatorio expectante.
Discusión
El tratamiento óptimo de las heridas cervicales que atraviesan el músculo platisma, continúa generando un gran debate entre los cirujanos 1. El enfoque tradicional, en relación con la ubicación de la lesión externa y por zonas del cuello, ha sido cuestionado en los últimos tiempos argumentándose múltiples razones. Una de ellas es la preocupación en la capacidad de correlacionar con precisión el sitio externo de la lesión con la trayectoria de la herida y, por lo tanto, la extensión de las lesiones. Otra, está relacionada con las heridas por proyectil de arma de fuego que causan daños significativos a las estructuras, en un área de mayor amplitud de lo que inicialmente puede suponerse 6.
Por lo anterior, asumir que en el trauma cervical sólo está involucrada una zona puede simplificar demasiado la evaluación y conducir a un enfoque inadecuado. La tendencia actual en el tratamiento de estas lesiones no se basa en la clasificación por zonas, con una conducta unidireccional y simplificada para todos los casos. En el manejo de las lesiones del cuello se siguen dos enfoques, quirúrgico versus expectante, mediante el examen físico detallado y periódico, junto con el uso de ayudas diagnósticas complementarias que identifiquen lesiones orgánicas ocultas 6.
Quienes apoyan la exploración quirúrgica de todas las heridas penetrantes, consideran que la dificultad diagnostica y el retraso en el manejo de las lesiones ocultas aumenta la morbilidad y la mortalidad 7. Quienes están en contra de esta conducta, argumentan que el manejo quirúrgico exploratorio presenta una tasa baja de hallazgos positivos de acuerdo con la mayoría de las series, por lo que recomiendan identificar de una forma más efectiva a los pacientes que se puedan beneficiar de la cirugía temprana 8,9. En nuestro grupo de trabajo, consideramos que los pacientes estables, con signos blandos de trauma cervical, deben ser estudiados de forma juiciosa, organizada y repetida. Las intervenciones quirúrgicas pueden evitarse entre el 79-82 % de los casos10.
Según la literatura mundial, las lesiones de la vía aérea superior o con compromiso faringo-esofágico son muy infrecuentes, pero potencialmente mortales, pudiendo progresar rápida e impredeciblemente, llevando al tratamiento quirúrgico11,12. Estas lesiones siempre deben sospecharse y se deben realizar estudios complementarios como una radiografía cervical y torácica, un angiotac que tiene una sensibilidad del 100 % y una especificidad del 93,5-99,5 %, y, de ser necesario, una nasofibrolaringoscopia y una endoscopia digestiva alta 10,12,13, como se realizó en nuestra paciente. El pronóstico de estas lesiones dependerá de la presencia de otras lesiones asociadas 11.
Conclusiones
Se presenta el caso de una paciente con una lesión aerodigestiva tratada de forma exitosa mediante manejo expectante, para lo cual es imprescindible realizar un examen clínico periódico estricto y estudios paraclínicos que confirmen la adecuada evolución clínica. El debate en cuanto al manejo de las lesiones traumática penetrantes de cuello continua, pero consideramos que el manejo no quirúrgico, sustentado de forma adecuada, favorecerá un mejor manejo de los recursos y de la estancia hospitalaria.
Referencias
Rachad M, Wehbe JJH. The management of penetrating neck injuries. Reconstructing the war injured patient. 2017:31-8. https://doi.org/10.1007/978-3-319-56887-4_4
Rodriguez-Luna MR, Guarneros-Zarate JE, Hernandez-Mendez JR, Tueme-Izaguirre J, Noriega-Usi VM, Fenig-Rodriguez J. Defining zone I of penetrating neck trauma: a surgical controversy in the light of clinical anatomy. J Trauma Acute Care Surg. 2016;80:670-3. https://doi.org/10.1097/TA.0000000000000978
Nowicki JL, Stew B, Ooi E. Penetrating neck injuries: a guide to evaluation and management. Ann R Coll Surg Engl. 2018;100:6-11. https://doi.org/10.1308/rcsann.2017.0191
Pacheco MA, Aldana GE, Granados AE, Martínez LE, Santacoloma J, Baquero RL, et al. Manejo del trauma penetrante de cuello en dos hospitales de Bogotá, Colombia. Rev Colomb Cir. 2019;33:37-46. https://doi.org/10.30944/20117582.45
Bhojani RA, Rosenbaum DH, Dikmen E, Paul M, Atkins BZ, Zonies D, et al. Contemporary assessment of laryngotracheal trauma. J Thorac Cardiovasc Surg. 2005;130:426-32. https://doi.org/10.1016/j.jtcvs.2004.12.020
Jenkins LN, Rezende-Neto JB. Current management of penetrating traumatic cervical vascular injuries. Curr Surg Rep. 2020;8:15. https://doi.org/10.1007/s40137-020-00258-2
Hussain-Zaid SM, Ahmad R. Penetrating neck trauma: a case for conservative approach. Am J Otolaryngol. 2011;32:591-6. https://doi.org/10.1016/j.amjoto.2010.09.001
Rathlev NK, Medzon R, Bracken ME. Evaluation and management of neck trauma. Emerg Med Clin North Am. 2007;25:679-94. https://doi.org/10.1016/j.emc.2007.06.006
Castillo F, Moraga J, Pérez P, Borel C. Trauma cervical penetrante. Rev Chil Cir. 2015;67:584-9. https://doi.org/10.4067/S0718-40262015000600004
Inaba K, Branco BC, Menaker J, Scalea TM, Crane S, DuBose JJ. Evaluation of multidetector computed tomography for penetrating neck injury: a prospective multicenter study. J Trauma Acute Care Surg. 2012;72:576-83. https://doi.org/10.1097/TA.0b013e31824badf7
Preston T, Fedok F. Blunt and penetrating trauma to the larynx and upper airway. Operative Techniques in Otolaryngology. 2007;18:140-3. https://doi.org/10.1016/j.otot.2007.05.005
Lisa M, Kodadek AK, Haut ER. Penetrating trauma to the larynx and the cervical trachea. In: Velhamos ED GC, Doll D, editors. Penetrating Trauma. Berlin: Springer; 2017. p.243-8. https://doi.org/10.1007/978-3-662-49859-0_31
Prichayudh S, Choadrachata-anun J, Sriussadaporn S, Pak-art R, Sriussadaporn S, Kritayakirana K, et al. Selective management of penetrating neck injuries using “no zone” approach. Injury. 2015;46:1720-5. https://doi.org/10.1016/j.injury.2015.06.019
Cumplimiento de normas éticas
Notas de autor
aCorrespondencia: Sergio Camilo Ayala-Pérez, Carrera 52 # 67 A - 71 Bogotá, D.C., Colombia. Teléfono: +57 3203297129. Dirección electrónica: camilo.ayala.md@gmail.com
Declaración de intereses