Presentación de caso
Vólvulo cecal y del colon sigmoide como manifestación gastrointestinal de la esclerosis sistémica: reporte de un caso
Cecal and sigmoid colon volvulus as a gastrointestinal manifestation of systemic sclerosis: A case report
Vólvulo cecal y del colon sigmoide como manifestación gastrointestinal de la esclerosis sistémica: reporte de un caso
Revista Colombiana de Cirugía, vol. 37, núm. 3, pp. 518-524, 2022
Asociación Colombiana de Cirugía
Recepción: 02 Julio 2021
Aprobación: 07 Septiembre 2021
Publicación: 07 Junio 2022
Resumen
Introducción: La esclerosis sistémica es una enfermedad del colágeno de etiología autoinmune, con manifestaciones gastrointestinales hasta en un 90 % de los pacientes. Aunque es infrecuente, se han descrito algunos casos de vólvulos colónicos, pero es extremadamente rara la presentación de vólvulo cecal y del colon sigmoide en un mismo paciente.
Caso clínico: Paciente femenina de 65 años, con antecedente de esclerosis sistémica, quien consultó a urgencias por dolor y distensión abdominal, asociados a emesis, con ausencia de flatos y deposiciones. Por imágenes sugestivas de obstrucción intestinal con zona de transición en el colon sigmoide se indicó laparotomía exploratoria, con hallazgo de vólvulo del sigmoide. Posteriormente reingresó por sintomatología similar, con imágenes sugestivas de vólvulo cecal. Se realizó hemicolectomía derecha con ileostomía y posterior cierre de ileostomía en misma hospitalización.
Discusión: El vólvulo del colon sigmoide y ciego en un mismo paciente es una condición muy infrecuente. Existen pocos casos reportados en la literatura.
Conclusión: La resección del segmento colónico afectado es el estándar de manejo quirúrgico.
Palabras claves: Esclerosis sistémica+ vólvulo+ ciego+ sigmoide+ obstrucción intestinal+ colectomía.
Abstract
Introduction: Systemic sclerosis is a collagen disease of autoimmune etiology, with gastrointestinal manifestations in up to 90% of patients. Although infrequent, some cases of colonic volvulus have been described, but the presentation of cecal and sigmoid colon volvulus in the same patient is extremely rarely.
Clinical case: A 65-year-old female patient, with a history of systemic sclerosis, who consulted the emergency room due to abdominal pain and distension, associated with emesis and absence of flatus and stools. Due to images suggestive of intestinal obstruction with a transition zone in the sigmoid colon, an exploratory laparotomy was indicated, with the finding of a sigmoid volvulus. She was later readmitted for similar symptoms, with images suggestive of cecal volvulus. Right hemicolectomy was performed with ileostomy and subsequent closure of the ileostomy in the same hospitalization.
Discussion: Volvulus of the sigmoid and cecum in the same patient is a very rare condition. There are few cases reported in the literature.
Conclusion: Resection of the affected colonic segment is the standard of care management.
Keywords: Systemic sclerosis, volvulus, cecum, sigmoid, intestinal obstruction, colectomy.
Introducción
Un vólvulo colónico se define como la torsión o rotación de uno de los segmentos del colon sobre su pedículo vascular en más de 180º, generando un asa ciega con obstrucción secundaria de su luz y disminución del flujo vascular 1. La presencia de un colon largo y redundante o dólico-colon, con un meso laxo de base corta en el colon sigmoide, o la falta de fijación parietal de la válvula ileocecal en el ciego, son alteraciones anatómicas que favorecen la aparición del vólvulo 2.
La incidencia de vólvulo colónico en Estados Unidos es alrededor de 2,65 casos por cada 100 mil habitantes anualmente, y de estos, el vólvulo del colon sigmoide es el más frecuente, representa 2/3 de los casos y corresponde al 5-10 % de los cuadros de obstrucción intestinal del colon 3. Se presenta más frecuentemente en pacientes de edad avanzada, institucionalizados y con comorbilidades como la enfermedad de Parkinson, la esclerosis sistémica y la enfermedad de Alzheimer 1. El vólvulo del ciego es el segundo en frecuencia y representa el 25 % de los vólvulos colónicos 4.
La esclerosis sistémica (ES) es una enfermedad del colágeno, de etiología autoinmune. Aproximadamente 90 % de los pacientes con esta enfermedad tienen alguna manifestación gastrointestinal 5, siendo la principal causa de morbilidad y la tercera causa de mortalidad en éstos pacientes 6,7. Si bien, el vólvulo colónico es una manifestación poco frecuente en pacientes con ES, la presentación de vólvulo cecal y del colon sigmoide en el mismo paciente es extremadamente infrecuente, incluso en la población normal 8. En la literatura solo se han reportado alrededor de cinco casos 3,9.
Presentamos el caso de una paciente con antecedente de ES quien sufrió inicialmente un vólvulo del sigmoide y posteriormente a los cuatro meses, un vólvulo del ciego. Se realizó manejo quirúrgico de ambos episodios en el Hospital Universitario San Ignacio, Bogotá, D.C., Colombia.
Caso clínico
Paciente femenina de 65 años, con antecedente de esclerosis sistémica sin tratamiento, quien consultó al servicio de urgencias por cuadro de dolor abdominal tipo cólico, intenso, que se exacerba con la ingesta de alimentos. Asociado presentaba distensión abdominal, emesis en múltiples oportunidades, con ausencia de flatos y de deposiciones de dos días de evolución. Al examen físico de ingreso la encontraron taquicárdica (100 latidos por minuto), normotensa (105/75 mm/Hg), con abdomen distendido, sin ruidos intestinales, timpánico a la percusión y doloroso a la palpación generalizada, sin signos de irritación peritoneal.
El hemograma no mostraba leucocitosis, la función renal era normal. La radiografía de abdomen simple (Figura 1) mostró una importante dilatación de asas, con niveles hidro aéreos escalonados, presencia de gas distal y materia fecal en recto. Se realizó una tomografía computarizada (TC) de abdomen con contraste (Figura 2) donde se documentó una zona de transición a nivel del colon sigmoide. Con diagnóstico de obstrucción intestinal colónica, fue llevada a laparotomía exploratoria encontrando hallazgos compatibles con vólvulo del sigmoide, por lo que se realizó sigmoidectomía y procedimiento de Hartmann. Durante la hospitalización presentó íleo postoperatorio prolongado, se descartó etiología mecánica y por antecedentes referidos, se consideró secundario a un trastorno de la motilidad gastrointestinal. Requirió nutrición parenteral total por 20 días y posteriormente fue dada de alta.


En la valoración por reumatología se confirmó el diagnóstico de esclerosis sistémica variante CREST, sin embargo, no se suministró manejo sistémico por el posoperatorio inmediato. Durante su estancia en casa no inició el tratamiento reumatológico y reingresó cuatro meses después, con cuadro clínico de dos días de dolor abdominal generalizado, asociado a distensión abdominal y ausencia de deposiciones y flatos por la colostomía. Presentaba distensión abdominal, ausencia de ruidos intestinales y colostomía sin producción, por lo que se realizó una radiografía de abdomen (Figura 3) donde se documentó una obstrucción intestinal.

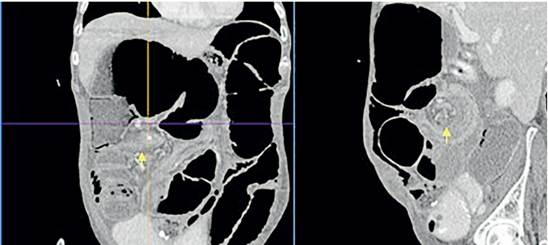
En la TC de abdomen (Figura 4) los hallazgos eran sugestivos de un vólvulo del ciego con obstrucción intestinal secundaria. Se realizó laparotomía exploratoria y se confirmó el diagnóstico (Figura 5), con hallazgos de ciego crítico dado por dilatación de hasta 15 cm de diámetro, dilatación del colon ascendente, transverso y de asas de intestino delgado, con cambios macroscópicos sugestivos de cambios crónicos por el compromiso gastrointestinal de su enfermedad de base.


Se realizó colectomía total e ileostomía terminal, pero en el posoperatorio nuevamente presentó íleo, que resolvió a los siete días. Con el inicio de la dieta tuvo producción elevada por la ileostomía, con un gasto entre 2000 y 2500 cc al día (en una paciente que pesaba 39 kg). Se dio manejo antisecretor con inhibidor de bomba de protones y loperamida a dosis máxima, sin lograr el control del gasto, por lo que se consideró falla intestinal tipo I y se inició nutrición parenteral total. Se hizo repleción nutricional durante 14 días, sin adecuada respuesta, por lo que se decidió realizar cierre de la ileostomía mediante anastomosis íleo-rectal durante la misma hospitalización. El gasto disminuyó a 500-700 cc al día y se dio egreso hospitalario. Durante el seguimiento, la paciente persistió con deterioro del estado nutricional, alto gasto fecal y falleció a los cuatro meses.
Discusión
El diagnóstico de vólvulo colónico se basa en la clínica y los hallazgos imagenológicos. Se manifiestan con constipación, dolor y distensión abdominal, e historia previa de episodios de obstrucción intestinal recurrente. En la radiografía de abdomen simple se encuentran signos de dilatación colónica, con diámetros mayores de lo usual y, en el caso del vólvulo del sigmoide, se visualiza una imagen típica en “grano de café” hacia el hipocondrio derecho 1,2. La TC de abdomen contribuye al diagnóstico, mostrando hallazgos como el signo del remolino en el meso del colon, dado por la disposición de los pedículos vasculares, y otros hallazgos como neumoperitoneo, que sugiere perforación 10.
En pacientes con condiciones que generan una predisposición a tener un vólvulo, como en el caso clínico presentado, existen alteraciones anatómicas y funcionales que son las causantes de la volvulación y de las complicaciones gastrointestinales posteriores a la cirugía. Después de la piel, el tracto gastrointestinal es el sitio más frecuentemente afectado en los pacientes con ES; el esófago es el órgano comprometido principalmente, seguido del colon en un 20-50 % de los casos 7.
La fisiopatología del compromiso gastrointestinal en esta enfermedad tiene fases distintivas, el colágeno depositado en los tejidos genera compresión nerviosa y, en conjunto con la isquemia nerviosa, produce una fase neuropática. Adicionalmente, hay una depleción de musculo liso que lleva a una fase miopática. Estos cambios estructurales en conjunto generan una alteración en la función y motilidad del tracto gastrointestinal 7,11. En la fase terminal de compromiso del tracto digestivo, se produce un daño de las células de músculo liso, que principalmente compromete al intestino delgado, generando malabsorción y diarrea crónica. Las manifestaciones clínicas iniciales en la ES son constipación y tránsito intestinal lento, seguido de malabsorción y diarrea. La malabsorción se presenta en un 10-25 % de los casos y es una causa importante de mortalidad en estos pacientes, de aproximadamente 50 % a los 8 años 7.
El manejo del vólvulo, ya sea del sigmoide o del ciego, depende de la presentación clínica y el estado general del paciente. En caso de vólvulos de sigmoide no complicado, en los que no haya sospecha de perforación y no exista una condición crítica del paciente, la devolvulación endoscópica es el manejo inicial, el cual permite diferir el manejo quirúrgico de forma electiva. Sin embargo, por el alto porcentaje de recurrencia, la cirugía se debe realizar dentro de las 48 horas posterior al manejo endoscópico exitoso 12. La devolvulación endoscópica para el vólvulo de ciego no se recomienda por su bajo porcentaje de éxito (5 %) 3,4.
La cirugía es el pilar del tratamiento definitivo del vólvulo, teniendo en cuenta que el manejo conservador tiene altas tasas de recurrencia, de hasta un 90 % 10. Entre las opciones de manejo quirúrgico existen técnicas como la fijación del sigmoides o ciego volvulado o la realización de una cecostomía, que no se recomiendan en la actualidad por los altos porcentajes de recurrencia y una morbilidad asociada considerable. El manejo de elección para los vólvulos colónicos es la resección quirúrgica del segmento afectado (sigmoidectomía o hemicolectomía derecha), con una morbilidad aceptable y sin riesgo de recurrencia 13.
En el caso de nuestra paciente, posterior a la colectomía total, se acentuaron las manifestaciones gastrointestinales, dadas principalmente por diarrea, distensión abdominal y desnutrición secundaria. El compromiso del intestino delgado generó una falla intestinal por la incapacidad de absorción, que se manifestó con la ileostomía de alto gasto que requirió soporte hidroelectrolítico y nutricional, y luego del cierre de la ileostomía presentó un alto gasto fecal, que finalmente fue la causa de su deceso al cuarto mes.
En cuanto a la patología abdominal aguda, inicialmente el vólvulo sigmoide y luego el de ciego, se realizó el manejo de elección, que en ambos casos fue la resección quirúrgica con colostomía e ileostomía respectivamente, teniendo en cuenta que las condiciones de la paciente no permitían una anastomosis primaria segura. El desenlace desfavorable, principalmente dado por la malabsorción intestinal, es una condición de difícil manejo, de mal pronóstico y que es sinónimo de una fase terminal de la esclerosis sistémica. En éstos casos, las conductas terapéuticas están basadas en el manejo de soporte sintomático, así como en la nutrición parenteral suplementaria para evitar la desnutrición asociada 11,13.
Conclusión
En pacientes con esclerosis sistémica la afección del tracto gastrointestinal está presente en el 90 % de los casos y la presencia de obstrucción intestinal debe generar la sospecha diagnóstica de un vólvulo. El manejo de elección del vólvulo colónico es la resección quirúrgica del segmento afectado y, en el caso de presentarse en pacientes con esclerosis sistémica, si las condiciones lo permiten, se debe intentar mantener la continuidad del tracto gastrointestinal para evitar o disminuir las complicaciones asociadas a una ostomía, como la malabsorción intestinal, la desnutrición secundaria y la falla intestinal en fases terminales de la enfermedad. La presentación de dos vólvulos del colon como ocurrió en nuestra paciente es extremadamente infrecuente.
Referencias
Melling J, Makin CA. Sigmoid volvulus, acquired megacolon and pseudo-obstruction. Surgery (Oxford). 2011;29:387-90. https://doi.org/10.1016/j.mpsur.2011.05.019
Perrot L, Fohlen A, Alves A, Lubrano J. Management of the colonic volvulus in 2016. J Visc Surg. 2016;153:183-92. https://doi.org/10.1016/j.jviscsurg.2016.03.006
Sadot E, Greenstein AJ, Zisman SR. Laparoscopic approach for metachronous cecal and sigmoid volvulus. JSLS. 2010;14:561-5. https://doi.org/10.4293/108680810X12924466008402
Madiba TE, Thomson SR, Church JM. The management of cecal volvulus. Dis Colon Rectum. 2002;45:264-7. https://doi.org/10.1007/s10350-004-6158-4
Tandaipan JL, Castellví I. Esclerosis sistémica y participación gastrointestinal. Rev Colomb Reumat. 2020;27:44-54.https://doi.org/10.1016/j.rcreue.2019.12.003
Thoua NM, Bunce C, Brough G, Forbes A, Emmanuel AV, Denton CP. Assessment of gastrointestinal symptoms in patients with systemic sclerosis in a UK tertiary referral centre. Rheumatology. 2010;49:1770-5. https://doi.org/10.1093/rheumatology/keq147
Gyger G, Baron M. Systemic sclerosis: Gastrointestinal disease and its management. Rheum Dis Clin North Am. 2015;41:459-73.https://doi.org/10.1016/j.rdc.2015.04.007
Moore JH, Cintron JR, Duarte B, Espinosa G, Abcarian H. Synchronous cecal and sigmoid volvulus. Dis Colon Rectum. 1992;35:803-5. https://doi.org/10.1007/BF02050333
Avgerinos DV. A unique case of recurrent metachronous volvulus of the gastrointestinal tract. Arch Surg. 2009;144:1176. https://doi.org/10.1001/archsurg.2009.206
Bauman ZM, Evans CH. Volvulus. Surg Clin North Am. 2018;98:973-93.https://doi.org/10.1016/j.suc.2018.06.005
Savarino E, Furnari M, de Bortoli N, Martinucci I, Bodini G, Ghio M, et al. Gastrointestinal involvement in systemic sclerosis. La Presse Médicale. 2014;43:279-91.https://doi.org/10.1016/j.lpm.2014.03.029
Tsai MS, Lin MT, Chang KJ, Wang SM, Lee PH. Optimal interval from decompression to semi-elective operation in sigmoid volvulus. Hepatogastroenterology. 2006;53:354-6.
Gingold D, Murrell Z. Management of colonic volvulus. Clin Colon Rectal Surg. 2012;25:236-44.https://doi.org/10.1055/s-0032-1329535
Consideraciones éticas
Notas de autor
aCorrespondencia: Aníbal Ariza-Gutiérrez, carrera 7 # 40-62, Hospital Universitario San Ignacio, Departamento de cirugía general, Bogotá, D.C., Colombia. Teléfono: +57 3176471466. Dirección electrónica: anibal_ariza@hotmail.com
Declaración de intereses