Resumen
Introducción: La presencia de neumomediastino secundario a un trauma contuso es un hallazgo común, especialmente con el uso rutinario de la tomografía computarizada. Aunque en la mayoría de los casos es secundario a una causa benigna, la posibilidad de una lesión aerodigestiva subyacente ha llevado a que se recomiende el uso rutinario de estudios endoscópicos para descartarla. El propósito de este estudio fue determinar la incidencia de neumomediastino secundario a trauma contuso y de lesiones aerodigestivas asociadas y establecer la utilidad de la tomografía computarizada multidetector en el diagnóstico de las lesiones aerodigestivas.
Métodos: Mediante tomografía computarizada multidetector se identificaron los pacientes con diagnóstico de neumomediastino secundario a un trauma contuso en un periodo de 4 años en un Centro de Trauma Nivel I.
Resultados: Fueron incluidos en el estudio 41 pacientes con diagnóstico de neumomediastino secundario a un trauma contuso. Se documentaron en total tres lesiones aerodigestivas, dos lesiones traqueales y una esofágica. Dos de estas fueron sospechadas en tomografía computarizada multidetector y confirmadas mediante fibrobroncoscopia y endoscopia digestiva superior, respectivamente, y otra fue diagnosticada en cirugía.
Conclusión: El uso rutinario de estudios endoscópicos en los pacientes con neumomediastino secundario a trauma contuso no está indicado cuando los hallazgos clínicos y tomográficos son poco sugestivos de lesión aerodigestiva.
Palabras claves: Trauma no penetrante, tórax, mediastino, tráquea, perforación del esófago.
Abstract
Introduction: The presence of pneumomediastinum secondary to blunt trauma is a common finding, especially with the use of computed tomography. Although in most cases the presence of pneumomediastinum is secondary to a benign etiology, the possibility of an underlying aerodigestive injuries has led to the recommendation of the routine use of endoscopic studies to rule them out. The purpose of this study was to determine the incidence of pneumomediastinum secondary to blunt trauma and associated injuries and to establish the role of multidetector computed tomography in the diagnosis of aerodigestive injuries.
Methods: Using multidetector computed tomography, patients with a diagnosis of pneumomediastinum secondary to blunt trauma were identified over a period of 4 years in a Level 1 Trauma Center.
Results: Forty-one patients diagnosed with pneumomediastinum secondary to blunt trauma, were included in this study. Two airway ruptures were documented: two tracheal injuries and one esophageal injury. Two of them suspected on multidetector computed tomography and confirmed on bronchoscopy and esophagogastroduodenoscopy, respectively, and another was diagnosed in surgery.
Conclusion: The routine use of endoscopic studies in patients with pneumomediastinum secondary to blunt trauma is not indicated when the clinical and tomographic findings are not suggestive of aerodigestive injury.
Keywords: Blunt injuries, thorax, mediastinum, trachea, esophageal perforation.
Artículo original
Neumomediastino en trauma contuso: ¿son siempre necesarios los estudios invasivos para descartar lesión aerodigestiva?
Pneumomediastinum in blunt trauma: Are invasive studies always necessary to rule out aerodigestive injury?
Recepción: 15 Agosto 2021
Aprobación: 14 Noviembre 2021
Publicación: 03 Febrero 2022
El trauma contuso es uno de los principales mecanismos de lesión a nivel mundial, debido a las altas tasas de accidentes de tránsito. La elevada mortalidad asociada a este mecanismo de trauma y la evolución en los dispositivos de diagnóstico han llevado a que se priorice la detección temprana de lesiones potencialmente mortales, especialmente de aquellas lesiones que se localizan en el tórax 1.
El neumomediastino es la presencia de aire en cualquiera de los compartimientos mediastinales y puede ser espontáneo o de origen traumático. La evidencia radiológica de neumomediastino secundario a un trauma contuso es relativamente frecuente y puede estar presente en aquellos pacientes que sufren trauma contuso en cuello, tórax y abdomen. En los últimos años la incidencia de neumomediastino ha aumentado debido a la mayor disponibilidad y utilización de la Tomografía Computarizada (TC) en los pacientes con trauma y a que esta tiene una mayor sensibilidad para detectar el neumomediastino, comparado con la radiografía convencional 2. Actualmente la incidencia de neumomediastino secundario a un trauma contuso en los estudios tomográficos es de hasta el 10 %.
Clásicamente se ha considerado que el hallazgo en los estudios de imagen de neumomediastino puede deberse a una lesión aerodigestiva subyacente, lo que genera preocupación en el cirujano de trauma, debido a las implicaciones clínicas que estas lesiones podrían acarrear 3. Esto ha llevado a que se recomiende la realización de procedimientos diagnósticos invasivos de forma sistemática, como la fibrobroncoscopia y la endoscopia digestiva superior (EDS), para descartar este tipo de lesiones, para evitar su morbimortalidad, cuando están presentes 4,5. Sin embargo, las lesiones de la vía aérea y del esófago secundarias a trauma contuso son excepcionalmente raras, lo que cuestiona el valor diagnóstico de estos estudios en este contexto clínico 4,6.
El aire visualizado en el mediastino en la mayoría de estos pacientes es de carácter benigno y se origina en una ruptura alveolar que provoca salida de aire, el cual viaja a través de las vainas peribronquiales y perivasculares hacia el hilio pulmonar, fenómeno que se conoce como el efecto Macklin 7,8; cuando estas vainas se rompen en la raíz pulmonar van a producir neumomediastino o neumopericardio. El origen del neumomediastino también puede ser secundario a la extensión de un neumotórax a través de un desgarro pleural o una microperforación que no sea clínicamente evidente 2,9. Debido a que el origen del neumomediastino y sus consecuencias van desde una causa benigna, sin consecuencias mayores para el paciente, hasta una causa potencialmente mortal, con consecuencias graves, como en el caso de las lesiones aerodigestivas, el estudio y manejo de este hallazgo continúa siendo controversial 4.
Clínicamente, el neumomediastino se puede identificar mediante la auscultación pulmonar al reconocer el signo de Hamman, originalmente descrito en pacientes con neumomediastino espontáneo, el cual consistente en un sonido de crujido o chasquido en sincronía con el ciclo cardiaco 10.
Actualmente, la Tomografía Computarizada Multidetector (TCMD) permite la obtención de imágenes de forma más rápida, con mejor resolución espacial y la posibilidad de lograr cortes más finos y realizar reconstrucciones multiplanares y tridimensionales, que permiten evaluar de forma más confiable las lesiones aerodigestivas.
El propósito de este estudio fue determinar la incidencia de neumomediastino secundario a trauma contuso y la incidencia de lesiones aerodigestivas asociadas, en pacientes atendidos en un Centro de Trauma Nivel I de la ciudad de Medellín, Colombia, y establecer la utilidad de la TCMD en el diagnóstico de las lesiones aerodigestivas.
Este estudio se realizó en el Hospital Pablo Tobón Uribe, centro de referencia nacional para el manejo de pacientes traumatizados, ubicado en la ciudad de Medellín, Colombia. Los pacientes mayores de 18 años con neumomediastino secundario a trauma contuso fueron identificados desde la base de registros médicos del hospital, en un periodo de 4 años, desde enero de 2016 hasta diciembre de 2019. Se excluyeron los pacientes que no contaban con estudios tomográficos al ingreso y los pacientes que fallecieron en las primeras 24 horas antes de que se les realizara un diagnóstico definitivo.
Se identificaron todos los pacientes con diagnóstico CIE-10 de trauma contuso en cuello, tórax y región toracoabdominal y se evaluaron las imágenes de ingreso para identificar los pacientes con neumomediastino. Se llevó a cabo la revisión completa de la historia clínica de los pacientes con neumomediastino posterior a trauma contuso para registrar el mecanismo del trauma, las lesiones asociadas, duración de la estancia hospitalaria, mortalidad intrahospitalaria y la realización de procedimientos diagnósticos adicionales, con atención especial a la fibrobroncoscopia, la EDS y el esofagograma contrastado. Adicionalmente, se obtuvo de los registros médicos información demográfica incluyendo edad y género.
Se evaluaron las imágenes y los reportes de las tomografías de tórax y cuello de los pacientes con neumomediastino para identificar lesiones aerodigestivas. Todas las imágenes tomográficas fueron realizadas en un tomógrafo de 64 o de 32 multidetectores y no se administró contraste oral para la adquisición de estas.
Se hizo análisis descriptivo de los registros clínicos y se clasificaron las variables en cualitativas y cuantitativas, las cuales se expresaron en frecuencia absoluta (n) y porcentajes (%), y medidas de tendencia central y desviación estándar, respectivamente. Se determinó la sensibilidad, especificidad, valor predictivo positivo y negativo de la TC, con un intervalo de confianza del 95 %.
Se identificaron 6118 pacientes de la base de datos de trauma del hospital, quienes habían presentado trauma contuso entre enero de 2016 y diciembre de 2019. De esta cohorte se identificaron 41 (0,7 %) pacientes quienes cumplían con los criterios de inclusión.
Las características de los pacientes con neumomediastino en la TC inicial se muestran en la Tabla 1. El rango de edad fue de 18 - 82 años, con una media de 35,2 años y el 92,7 % de los pacientes fueron de género masculino. El mecanismo de trauma más frecuente fue la colisión en motocicleta (40,8 %). Las lesiones asociadas más comunes fueron las fracturas costales (27 pacientes, 65,9 %), las contusiones pulmonares (24 pacientes, 58,5 %) y el neumotórax unilateral (13 pacientes, 31,7 %).

El manejo y diagnóstico de los pacientes con neumomediastino se muestra en la Figura 1. Cuatro (9,7 %) pacientes fueron sometidos a fibrobroncoscopia, siete (17 %) a EDS, trece (31,7 %) a fibrobroncoscopia más EDS y solo un (2,4 %) paciente fue sometido a fibrobroncoscopia más EDS y esofagograma debido a la sospecha persistente de lesión esofágica a pesar de una EDS sin hallazgos relevantes. Dieciséis (39 %) pacientes fueron observados sin estudios diagnósticos, y no presentaron signos de lesiones aerodigestivas subyacentes. La estancia hospitalaria promedio fue de 16,8 días.

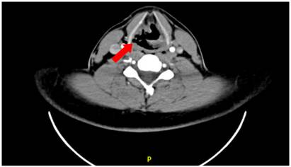
La sensibilidad, especificidad, valor predictivo positivo (VPP) y valor predictivo negativo (VPN) para el diagnóstico de lesiones aerodigestivas por TC se presentan en la Tabla 2. En un paciente se observó lesión de vía aérea en TC, confirmada mediante fibrobroncoscopia, la cual consistía en una lesión laríngea a nivel del hioides (Figura 2), como consecuencia de una colisión en motocicleta con trauma cervical directo, que fue manejada de manera conservadora. En otro paciente se identificó en TC una lesión esofágica, confirmada mediante EDS, consistente en dos desgarros lineales a nivel del esófago torácico, que requerían manejo quirúrgico; en este mismo paciente se evidenció una lesión de la tráquea durante la cirugía de reparación esofágica, no visualizada en TC ni en la fibrobroncoscopia, aun luego de revisar las imágenes de forma retrospectiva, por lo que se sospechó una lesión traqueal externa sin pérdida de la solución de continuidad. Ambas lesiones fueron consecuencia de una colisión de alta energía en motocicleta, para un total de tres lesiones aerodigestivas en dos pacientes. En ningún otro paciente se evidenció lesión de vía aérea que no hubiese sido visualizada o sospechada en TC. No se encontró lesión esofágica en el esofagograma contrastado por TC.


Se identificaron 3 falsos positivos en los reportes de TC, dos para lesión de vía aérea y uno para lesión de esófago; ninguna de estas lesiones se confirmó por fibrobroncoscopia ni EDS, respectivamente.
De los dos pacientes con lesión aerodigestiva confirmada, uno de los pacientes (lesión laríngea a nivel del hioides) fue dado de alta sin complicaciones y el otro (lesión esofágica y traqueal) murió debido a un infarto cerebral masivo secundario a una disección carotídea. La mortalidad entre los 41 pacientes con neumomediastino fue de 4,9 %, ninguna como consecuencia directa de una lesión aerodigestiva; una muerte, previamente mencionada, debido a un infarto cerebral masivo y otra debido lesiones derivadas de un trauma craneoencefálico grave.
La evidencia de neumomediastino secundario a un trauma penetrante constituye un signo altamente sugestivo de lesión aerodigestiva, especialmente en aquellos traumas con trayectoria transmediastinal. En el contexto de trauma contuso, la presencia de neumomediastino parece ser un hallazgo que en la mayoría de los casos es benigno y rara vez constituye la evidencia de una lesión aerodigestiva subyacente. En esta cohorte de pacientes solo se presentaron tres lesiones aerodigestivas, en dos pacientes, con una incidencia de 4,8 % para lesión de vía aérea y de 2,4 % para lesión de esófago, que concuerda con lo reportado en estudios retrospectivos similares 2,5,9,11. La baja incidencia de este tipo de lesiones se debe probablemente al tamaño pequeño de las estructuras en comparación con los demás órganos intratorácicos, la posición relativamente protegida y a la alta tasa de mortalidad prehospitalaria cuando este tipo de lesiones están presentes o en asociación con lesiones de estructuras vasculares principales.
El temor a una lesión aerodigestiva subyacente y las consecuencias que trae un diagnóstico tardío han llevado a que se recomiende el uso sistemático de pruebas diagnósticas invasivas con el fin de evitar retrasos en el diagnóstico y manejo de estos pacientes. Sin embargo, el costo que estas pruebas pueden representar y el potencial riesgo de complicaciones asociadas a los procedimientos para el diagnóstico de lesiones que son muy infrecuentes, han llevado a que se cuestione la utilidad de los estudios, especialmente en países con sistemas de salud con recursos limitados, donde su utilización aumenta los costos asociados a la atención en salud y, posiblemente, los días de estancia hospitalaria mientras se está a la espera de su realización. A pesar de que en nuestro estudio no se evidenciaron efectos adversos ni complicaciones asociadas al uso de estudios endoscópicos, las complicaciones representan siempre un riesgo latente, más aún cuando se tiene en cuenta que el trauma iatrogénico es la principal causa de lesiones aerodigestivas torácicas 12.
Algunos estudios, como el realizado por Muckart y colaboradores 2, han cuestionado el uso rutinario de los estudios endoscópicos en pacientes con neumomediastino posterior a un trauma contuso. En su cohorte de pacientes con evidencia radiológica de neumomediastino y neumopericardio ninguno fue sometido a EDS ni fibrobroncoscopia para estudiar el neumomediastino y ninguna de las muertes estuvo relacionada con una lesión no detectada del tracto aerodigestivo.
En nuestro estudio se identificaron un total de 39 estudios endoscópicos entre fibrobroncoscopias y endoscopias digestivas superiores, de estos, el 94,8 % fueron negativos y solo dos (5,1 %) estudios fueron diagnósticos. De los 41 pacientes incluidos con neumomediastino, a 25 (60 %) se les realizó por lo menos un estudio endoscópico adicional, mientras que a 14 (34 %) pacientes se les realizaron ambos estudios.
Las actuales imágenes tomográficas de alta resolución y el uso rutinario de reconstrucciones multiplanares de alta calidad han permitido una detección confiable de las lesiones aerodigestivas, llevando a que se reconozca la presencia de neumomediastino en los estudios tomográficos de los pacientes con trauma contuso como un mal predictor de lesión aerodigestiva 13, confirmando la baja incidencia de estas lesiones y la precisión diagnóstica de las imágenes avanzadas de la TCMD al compararla con la fibrobroncoscopia y la EDS, por lo que resulta innecesario seguir utilizando los estudios endoscópicos de forma rutinaria en la evaluación del neumomediastino secundario a un trauma contuso cuando la TCMD es negativa y sin hallazgos sospechosos 5,9,11.
En los pacientes con evidencia de neumomediastino secundario a un trauma contuso se debería realizar un abordaje diagnóstico altamente selectivo, basado en el mecanismo del trauma, la clínica del paciente y los hallazgos imagenológicos iniciales. Los traumas cervicales directos tienen una mayor incidencia de lesiones de vía aérea comparado con los traumas que se consideran “difusos”, por lo que este tipo de pacientes merecen una evaluación más rigurosa y un umbral de sospecha de lesión aerodigestiva menor. La presencia de hemoptisis, odinofagia, estridor marcado, o disnea inexplicable con necesidad de asegurar la vía aérea de forma emergente, son hallazgos clínicos que deben alertar al cirujano de trauma en los pacientes con evidencia de neumomediastino, ya que la disnea y el estridor pueden tener una especificidad cercana al 90 % para lesión de la vía aérea, justificando la realización de estudios adicionales 9.
Algunos signos radiológicos específicos pueden hacer sospechar la presencia de una lesión aerodigestiva 14. Las disrupciones focales o irregularidades de la pared traqueal o bronquial son altamente sugestivas de lesión de vía aérea, al igual que los patrones específicos de distribución del aire mediastinal, el cual suele estar distribuido de forma asimétrica, con mayor cantidad de aire del lado de la lesión y rodeándola. Los hallazgos tomográficos sugestivos de lesión esofágica son la presencia de aire extraluminal periesofágico, el derrame pleural izquierdo, el colapso del lóbulo pulmonar inferior izquierdo, la presencia de aire en el espacio prevertebral y la presencia de líquido en el compartimiento mediastinal visceral 2,5,15.
Lee et al. 4 identificaron cuáles características en la distribución del aire mediastinal estaban relacionadas con mayor mortalidad en los pacientes con trauma contuso, encontrando que la presencia de neumomediastino posterior o la de aire en todos los compartimientos mediastinales y un hemotórax concurrente estaban asociados a un mayor riesgo de mortalidad intrahospitalaria, concluyendo que estos hallazgos deberían alertar al cirujano de trauma sobre la posibilidad de una lesión potencialmente mortal.
Existen algunas limitaciones de este estudio que son relevantes, como el hecho de que se realizó en un solo centro, el número limitado de pacientes debido a la baja incidencia de neumomediastino reportada y su naturaleza retrospectiva, la cual le resta poder estadístico, teniendo en cuenta los obstáculos que existen para realizar estudios de mayor peso epidemiológico en los pacientes con trauma debido a las posibles implicaciones éticas, y en este contexto, a la baja incidencia de las lesiones aerodigestivas.
El uso de estudios tomográficos de rutina en los pacientes con trauma ha dado lugar a un aumento en el diagnóstico de neumomediastino. Aunque las lesiones del tracto aerodigestivo son la causa más grave de neumomediastino secundario a un trauma contuso, estas son excepcionalmente raras y el uso rutinario de estudios endoscópicos para descartarlas es innecesario cuando la TC no presenta hallazgos que las sugieran. La decisión de solicitar estudios invasivos adicionales debe estar basada en el mecanismo de trauma, las condiciones clínicas del paciente y los hallazgos específicos de la TC inicial, cuando esta está disponible.
aAutor de correspondencia: Santiago Salazar-Ochoa, Circular 2 # 73-60, Interior 202, Medellín, Colombia. Teléfono: +57 300 220 5588. Correo electrónico: santiago.salazar.ochoa1190@gmail.com



