Artículo original
Malformaciones linfáticas abdominales en una población pediátrica: experiencia en un centro de referencia de Medellín, Colombia
Abdominal lymphatic malformations in a pediatric population: Experience in a referral center in Medellín, Colombia
Malformaciones linfáticas abdominales en una población pediátrica: experiencia en un centro de referencia de Medellín, Colombia
Revista Colombiana de Cirugía, vol. 37, núm. 2, pp. 245-250, 2022
Asociación Colombiana de Cirugía
Recepción: 17 Agosto 2021
Aprobación: 04 Noviembre 2021
Publicación: 03 Febrero 2022
Resumen
Introducción: Los linfangiomas son anormalidades benignas del sistema linfático, que corresponden a dilataciones quísticas de estos vasos y se localizan especialmente en el cuello. Solo el 10 % de todas estas malformaciones se encuentran en el abdomen y presentan síntomas variables de acuerdo al tamaño y su ubicación especifica, siendo el dolor abdominal el principal síntoma.
Métodos: Se presentan cinco pacientes pediátricos con malformaciones linfáticas abdominales. Se describen su cuadro clínico, localización, tratamiento y la experiencia en el manejo de dicha patología en un hospital de referencia.
Resultados: Los métodos más apropiados para hacer una aproximación diagnóstica son la ecografía, la tomografía computarizada y la resonancia nuclear magnética. Dentro de las opciones descritas para el tratamiento están la farmacológica, la escleroterapia y la resección quirúrgica, tanto por vía abierta como por laparoscopia.
Conclusión: Existe una variedad de métodos para realizar la resección de los linfangiomas abdominales, pero la cirugía sigue siendo la más efectiva, especialmente cuando se cuenta con la laparoscopia como una herramienta terapéutica.
Palabras clave: Linfangioma+ sistema linfático+ enfermedades linfáticas+ escleroterapia+ laparoscopia.
Abstract
Introduction: Lymphangiomas are benign abnormalities of the lymphatic system, which correspond to cystic dilations of these vessels and are located especially in the neck. Only 10% of all these malformations are found in the abdomen and present variable symptoms according to size and their specific location, with abdominal pain being the main symptom.
Methods: Five pediatric patients with abdominal lymphatic malformations are presented. Their clinical presentation, location, treatment and experience in the management of this pathology in a referral hospital are described.
Results: The most appropriate methods to make a diagnostic approach are ultrasound, computed tomography and magnetic resonance imaging. Among the options described for treatment are pharmacological, sclerotherapy and surgical resection, both open and laparoscopic.
Conclusion: There are a variety of methods for resecting abdominal lymphangiomas, but surgery remains the most effective, especially when laparoscopy is used as a therapeutic tool.
Keywords: Lymphangioma, lymphatic system, lymphatic diseases, sclerotherapy, laparoscopy.
Introducción
Los linfagiomas son malformaciones del sistema linfático de características benignas 1, que se clasifican de acuerdo al tamaño: los mayores de un centímetro se definen como macroquistes, los menores como microquistes, y si presentan lesiones mayores y menores de un cm, mixtos 2. Se localizan más frecuentemente en el cuello y las axilas, solo en el 10 % de los casos en el abdomen, de los cuales un 5 % se ubica en el mesenterio, y muy raramente en el retroperitoneo o comprometiendo algún órgano 2,3. La incidencia de los linfangiomas del mesenterio es de aproximadamente 1:20.000 ingresos de pacientes pediátricos, con una relación entre hombres y mujeres de 3:1 4.
Los casos de localización abdominal tienen una presentación clínica inespecífica, que depende de la localización y el tamaño. Se considera que se originan por un fallo en el desarrollo del tejido linfático, en donde no se establece la comunicación usual entre el tejido linfático y los conductos del sistema 3. El objetivo de este estudio fue presentar la experiencia en el manejo de las malformaciones linfáticas abdominales pediátricas en el Hospital Universitario San Vicente Fundación (HUSVF).
Resultados
En la tabla 1 se resumen las características de los pacientes tratados por malformaciones linfáticas abdominales.

Caso 1
Paciente masculino de dos años, con sensación de masa, anorexia y constipación de dos meses de evolución. Al examen físico se encontró una masa no dolosa en el hemiabdomen izquierdo. La ecografía abdominal informó una masa abdominal heterogénea única y bien delimitada, definida por la tomografía computarizada (TC) como una lesión quística con septos. El paciente fue llevado a laparoscopia encontrando un quiste retroperitoneal izquierdo de 12x15x10 cm, de contenido hemorrágico, localizado sobre el uréter izquierdo y los vasos ilíacos, adherido al mesocolon, diafragma y psoas, que se logró disecar exitosamente. Después de tres días de hospitalización el paciente fue dado de alta sin complicaciones. El seguimiento clínico y ecográfico fueron normales y el estudio histológico confirmo el diagnóstico de linfangioma quístico.
Caso 2
Paciente masculino de dos años con dolor abdominal crónico, tratado como gastroenteritis a repetición, con un examen físico dentro de lo normal. En la ecografía y TC abdominales se detectó una lesión quística septada, localizada en la fosa ilíaca derecha, posterior a la vejiga, de 63x54x52 mm, por lo que fue llevado a laparoscopia, con resección de tres lesiones quísticas de contenido quiloso, localizadas en el mesenterio del yeyuno a 15 cm del ángulo de Treitz (Figura 1). Además, se drenó un líquido peritoneal turbio encontrado en la pelvis y la gotera parietocólica. Después de tres días de tratamiento antibiótico fue dado de alta sin complicaciones. En el control postoperatorio se encontró un paciente asintomático, y el reporte de patología informó un quiste revestido de células planas, compatible con linfangioma.

Caso 3
Paciente masculino de tres años, con episodios eméticos y malestar general de un año de evolución, sin alteraciones en el examen físico. La ecografía y la TC abdominales encontraron una lesión quística multiseptada en continuidad con el bazo, riñón y psoas izquierdos, de 15x8,8x11,5 cm sin efecto de masa. Se resecó por vía laparoscópica la lesión ubicada entre las hojas del meso-íleon con extensión a la gotera parietocólica izquierda. La evolución clínica fue satisfactoria, y se dio de alta al primer día postoperatorio. En el control ambulatorio estaba asintomático y el estudio histológico informó linfangioma.
Caso 4
Paciente masculino de 15 meses, quien ingresó por un cuadro clínico de una semana de evolución consistente en dolor abdominal, hematoquecia y emesis. Al examen físico se encontró el abdomen distendido y con dolor generalizado. El hemograma fue normal y la ecografía abdominal reportó abundante líquido libre en la cavidad, de características complejas, desplazando las asas intestinales. Fue llevado a laparotomía exploratoria en la que se encontró y resecó un quiste de contenido hemático, sin coágulos ni pus, localizado en el omento. El paciente fue dado de alta a los cinco días. Evolucionó adecuadamente y la patología informó linfangioma.
Caso 5
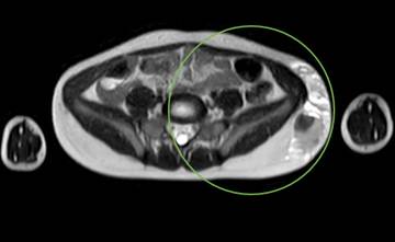
Infante de ocho años, llevado al servicio de urgencias por masa abdominal dolorosa de un año de evolución, localizada en el flanco izquierdo. Al examen físico se encontró una masa violácea, firme y dolorosa en el flanco izquierdo, sobre la cresta ilíaca, de aproximadamente 8x4 cm. La ecografía abdominal informó una lesión quística multiseptada versus estructuras cilíndricas vasculares dilatadas de 13x3,2x2,1 cm, sin flujo Doppler en su interior, sin componente sólido (Figura 2). En la resonancia nuclear magnética (RNM) se encontró una masa que deformaba la pared del flanco izquierdo y la pelvis izquierda, con septos intermedios, probablemente relacionado con hematomas (Figura 3). Se consideró malformación de bajo flujo, posiblemente linfática, y se le realizó manejo percutáneo con agentes esclerosantes (bleomicina 15 UI) (Figura 4), siendo dado de alta, con reingreso al mes por dolor abdominal y vómito. Una nueva ecografía abdominal informó hallazgos similares a los iniciales, además de cambios inflamatorios adyacentes. Se realizó manejo únicamente con antiinflamatorio no esteroideo con resolución de los síntomas. Posteriormente no se logró realizar seguimiento del paciente.



Discusión
De acuerdo con la International Society for the Study of Vascular Anomalies, los linfangiomas abdominales son malformaciones vasculares congénitas simples 5, diagnosticadas en un 90 % de los casos antes de los dos años de edad, que se pueden identificar prenatalmente hasta en un 60 % de los casos, con tasas de regresión de hasta el 17 %. Cuando son de localización abdominal, la mayoría de los diagnósticos se hacen luego de los cinco años de edad, e incluso en la edad adulta 6,7. En esta serie cuatro pacientes tenían edad de tres o menos años y solo uno ocho años.
El dolor (34 %) y la distensión abdominal (72 %) son los síntomas más frecuentes; otros hallazgos son masa palpable, emesis, constipación y enteropatía perdedora de proteínas 1,2. Algunos pacientes se manifiestan con complicaciones como peritonitis, quiste hemorrágico o sobreinfección 4,8,9, como sucedió en el paciente número cuatro.
Mas del 80 % de los casos ocurren en el mesenterio y menos del 1 % se localizan en el retroperitoneo; la localización visceral ha sido descrita y es la menos común 2,4,10. Los linfagiomas mesentéricos se clasifican en cuatro grupos: 1, con compromiso de las paredes intestinales; 2, con un pedículo no relacionado con los vasos mesentéricos; 3, localizados cerca a los vasos mesentéricos; y 4, con infiltración difusa y metacéntrica. 4.
La ecografía tiene una buena sensibilidad, sin embargo, la TC proporciona una mejor caracterización de la lesión y su relación con las estructuras adyacentes, lo que permite mejor planeamiento del tratamiento. La RNM no aporta información adicional y se reserva para lesiones localizadas en el mediastino o la vía aérea 2. El diagnóstico se confirma mediante el hallazgo histológico de una lesión quística bien circunscrita, con marcadores positivos para receptor endotelial de vasos linfáticos 1, factor de crecimiento endotelial vascular 3, y anticuerpo monoclonal D2-40 y prox-1 11.
El tratamiento puede ser quirúrgico o conservador, mediante escleroterapia (aplicación intralesional de medicamentos), que queda relegada a pacientes asintomáticos con diagnóstico incidental. La escleroterapia es ampliamente usada en localizaciones extrabdominales, pero requiere varias sesiones para lograr un adecuado resultado y presenta un mayor número de recurrencias, por eso su uso intrabdominal es restringido 10,12.
Se han usado varios agentes y protocolos, siendo el más conocido el OK432 que es un esclerosante derivado del Streptococcus pyogenes. La bleomicina y la doxiciclina tienen mayor eficacia en el manejo de microquistes. No existen estudios que determinen cuál agente es mejor 10,12,13y se han observado recurrencias cercanas al 100 %, por lo que su uso se ha planteado en pacientes con un alto riesgo quirúrgico 7. En esta serie se presentó un paciente tratado con escleroterapia por su localización y fácil punción, pero hubo persistencia de la lesión y posteriormente no se logró realizar el seguimiento.
La resección completa es la estrategia de elección, ya que presenta un menor número de recurrencias, previene el rápido crecimiento, sobreinfección, ruptura, y sangrado 3. Se debe realizar una resección limitada, evitando pérdida de sangre, y dejando un sistema de drenaje en la cavidad 1. Aunque en algunos trabajos no se ha informado recurrencia, en otros se informa una recidiva del 17 al 40 % a pesar de una resección completa 7.
En este estudio el abordaje fue laparoscópico en tres pacientes, en uno de ellos por una lesión retroperitoneal. En otro paciente la resección se hizo por vía abierta debido a abdomen agudo, con hallazgo de un quiste hemorrágico. Ninguno de estos pacientes con seguimiento presentó complicaciones o recurrencia.
Conclusiones
Aunque poco frecuentes, las malformaciones linfáticas abdominales hacen parte de los diagnósticos a tener en cuenta en pacientes con masa y dolor abdominal. Su manejo mediante resección laparoscópica es seguro y con una baja tasa de complicaciones y recurrencia. La escleroterapia se convierte una alternativa en la terapia para el manejo de linfangiomas que por su localización son de difícil acceso quirúrgico o que presentan mayor riesgo quirúrgico.
Referencias
Kulungowski AM, Fishman SJ. Vascular Anomalies - Chapter 125. In: Coran AG, editor. Pediatric Surgery (Seventh Edition). Philadelphia: Mosby; 2012. p. 1613-30. https://doi.org/10.1016/B978-0-323-07255-7.00125-2
Minocha PK, Roop L, Persad R, Descriptions C. Case report cases of atypical lymphangiomas in children. Case Reports in Pediatrics. 2014;4:2-6. https://doi.org/10.1155/2014/626198
Patil AR, Nandikoor S, Marco J De, Bhat R, Shivakumar S, Mallrajapatna G. Disorders of the lymphatic system of the abdomen. Clin Radiol. 2016;71:941-52. https://doi.org/10.1016/j.crad.2016.06.116
Kim S, Kim H, Lee C, Sook H, Jung S. Clinical features of mesenteric lymphatic malformation in children. J Pediatr Surg. 2016;51:582-7. https://doi.org/10.1016/j.jpedsurg.2015.11.021
Workshop I, Locally B, Capillary M, Lvm CLM, Cavm C. ISSVA classification for vascular anomalies. 2018;2014. (05-08-2021) https://www.issva.org/UserFiles/file/ISSVA-Classification-2018.pdf
Jiao-ling L, Hai-ying W, Wei Z, Jin-rong L, Kun-shan C, Qian F. Treatment and prognosis of fetal lymphangioma. Eur J Obstet Gynecol. 2018;231:274-9. https://doi.org/10.1016/j.ejogrb.2018.10.031
Shaw K. 25 years’ experience with lymphangiomas. J Pediatr Surg. 1999;34:1164-8. https://doi.org/10.1016/S0022-3468(99)90590-0
Lee S, Park J. Abdominal lymphatic malformation in children. Adv Pediatr Surg. 2018;24:60-7. https://doi.org/10.13029/aps.2018.24.2.60
Karim T, Topno M, Kate M. Simple mesenteric cyst in a child: Presentation and management. Arab J Gastroenterol. 2011;12:90-1. https://doi.org/10.1016/j.ajg.2010.10.007
Olivieri C, Nanni L, Maria A, Gaetano D, Manganaro L, Pintus C. Complete resolution of retroperitoneal lymphangioma with a single trial of OK-432 in an Infant. Pediatr Neonatol. 2013;57:240-3. https://doi.org/10.1016/j.pedneo.2013.06.011
Poroes F, Petermann D, Andrejevic-blant S, Labgaa I, Mare L Di. Pediatric cystic lymphangioma of the retroperitoneum. Medicine (Baltimore). 2020;99:e20827. https://doi.org/10.1097/MD.0000000000020827
Herrero CG, Navarro V. Tratamiento percutáneo de las malformaciones linfáticas en edad pediátrica: experiencia y resultados según el esclerosante empleado. Radiología. 2017;59:401-13. https://doi.org/10.1016/j.rx.2017.04.010
Okazaki T, Iwatani S, Yanai T, Kobayashi H, Kato Y, Marusasa T, et al. Treatment of lymphangioma in children: our experience of 128 cases. J Pediatr Surg. 2007;42:386-9. https://doi.org/10.1016/j.jpedsurg.2006.10.012
Notas
Notas
Notas de autor
aAutor de correspondencia: Nicolas Dayam Rosales-Parra, Calle 65 # 56 - 84 Apartamento 102, Bogotá, D.C., Colombia. Teléfono: +57 3133367556. Dirección electrónica: nicolasrosalesp@outlook.com
Declaración de intereses