Imágenes en cirugía
Terapia de presión negativa para pacientes con enfisema subcutáneo y neumomediastino masivo
Negative pressure therapy for patients with subcutaneous emphysema and massive pneumomediastinum
Terapia de presión negativa para pacientes con enfisema subcutáneo y neumomediastino masivo
Revista Colombiana de Cirugía, vol. 37, núm. 2, pp. 305-307, 2022
Asociación Colombiana de Cirugía
Recepción: 26 Abril 2021
Aprobación: 26 Agosto 2021
Publicación: 04 Febrero 2022
Resumen: Se han descrito diversas técnicas para el tratamiento del enfisema subcutáneo y del neumomediastino. Algunos pacientes con pequeñas perforaciones traqueales pueden ser manejados de forma expectante, salvo que requieran ventilación mecánica. Se presentan las imágenes de un paciente con enfisema subcutáneo y neumomediastino no candidato a cirugía y quien fue tratado exitosamente con terapia de presión negativa.
Palabras clave: Terapia de presión negativa, enfisema subcutáneo, neumomediastino, perforación traqueal, COVID-19.
Abstract: Different techniques have been described for the treatment of subcutaneous emphysema and pneumomediatinum. Some patients with small tracheal perforations can be managed expectantly, unless they require mechanical ventilation. Images of a patient with subcutaneous emphysema and pneumomediastinum not a candidate for surgery and who was successfully treated with negative pressure therapy are presented.
Keywords: Negative pressure therapy, subcutaneous emphysema, pneumomediastinum, tracheal perforation, COVID-19.
Introducción
La terapia de presión negativa ha ganado su lugar en el manejo de las heridas por las ventajas que ofrece, ya que mejora la velocidad y calidad de la cicatrización, disminuye el tiempo de las curaciones, reduce los días de hospitalización y especialmente la mortalidad. En la patología del tórax, tiene sus indicaciones muy precisas, como ha sido reportado recientemente por Ramírez-Giraldo y cols. en un paciente con toracostomía abierta y empiema 1. Se presenta el caso de un paciente con enfisema subcutáneo y neumomediastino masivo tratados de forma exitosa con la terapia de presión negativa.
Presentación del caso
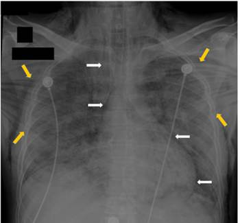
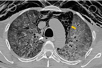
Paciente masculino de 44 años, referido de otra institución hospitalaria por deterioro de su condición respiratoria secundaria a COVID-19. Fue tratado inicialmente con ventilación mecánica no invasiva, pero desarrolló insuficiencia respiratoria severa por lo que requirió intubación orotraqueal de urgencia y ventilación mecánica invasiva. Al cabo de unas horas presentó un gran enfisema subcutáneo y neumomediastino confirmado mediante radiografía de tórax (Figura 1) y mediante tomografía computarizada de tórax, que informó además neumonía por COVID-19 severa, enfisema subcutáneo y neumomediastino masivo. Se identificó también una pequeña perforación traqueal distal de 5 mm localizada a la derecha de la parte membranosa (Figura 2). Presentó inestabilidad hemodinámica que requirió el inicio de vasopresores.


Discusión
Algunos pacientes con perforaciones iatrogénicas de la tráquea pueden ser tratados de forma conservadora, pero si el paciente requiere ventilación mecánica este abordaje terapéutico está contraindicado 2,3. Debido al estado crítico del paciente, la reparación quirúrgica no era una opción viable, por lo que se decidió manejar con terapia de presión negativa. El sistema de presión negativa se colocó en la región supraclavicular derecha (Figura 3A) logrando un resultado muy favorable, con lo cual al tercer día se pudo retirar el vasopresor, observando además la resolución completa del enfisema subcutáneo y una significativa disminución del neumomediastino (Figura 3B).

Conclusiones
Por presentar un menor riesgo de infecciones nosocomiales, ser de fácil manejo y lograr una aspiración efectiva del aire 4, consideramos que la terapia de presión negativa tiene ventajas sobre las técnicas tradicionales que se han utilizado para tratar el enfisema subcutáneo o neumomediastino severo, como son las incisiones en piel para drenaje de aire, la aspiración con aguja, la colocación de tubos fenestrados o el uso de drenajes de succión cerrada.
Referencias
Ramírez-Giraldo C, Vásquez F, Peláez-Arango M. Toracostomía abierta: en ocasiones la mejor opción. Rev Colomb Cir. 2021;36:60-5. https://doi.org/10.30944/20117582.638
Gómez-Caro Andrés A, Moradiellos Díez FJ, Ausín Herrero P, Díaz-Hellín Gude V, Larrú Cabrero E, de Miguel Porch E, et al. Successful conservative management in iatrogenic tracheobronchial injury. Ann Thorac Surg. 2005;79:1872-8. https://doi.org/10.1016/j.athoracsur.2004.10.006
Herrmann D, Volmerig J, Al-Turki J, Braun M, Herrmann A, Ewig S, Hecker E. Does less surgical trauma result in better outcome in management of iatrogenic tracheobronchial laceration? J Thorac Dis. 2019;11:4772-81. http://dx.doi.org/10.21037/jtd.2019.10.22
Son BS, Lee S, Cho WH, Hwaang JJ, Kim KD, Kim DH. Modified blowhole skin incision using negative pressure wound therapy in the treatment of ventilator-related severe subcutaneous emphysema. Interact Cardiovasc Thorac Surg. 2014;19:904-7. https://doi.org/10.1093/icvts/ivu287
Notas
Notas de autor
aAutor de correspondencia: Rafael Andrade-Alegre, Avenida Justo Arosemena Calle 37 este, ciudad de Panamá, Panamá. Teléfono: (507) 66767814. Dirección electrónica: randradealegre@gmail.com
Declaración de intereses