Artículo original
Hernias traumáticas de la pared abdominal en pediatría: serie de tres casos
Traumatic hernias of the abdominal wall in pediatrics: Series of three cases
Hernias traumáticas de la pared abdominal en pediatría: serie de tres casos
Revista Colombiana de Cirugía, vol. 37, núm. 4, pp. 632-639, 2022
Asociación Colombiana de Cirugía
Recepción: 28 Febrero 2022
Aprobación: 24 Mayo 2022
Publicación: 20 Junio 2022
Resumen
Introducción: Las hernias traumáticas de la pared abdominal son una entidad de muy rara ocurrencia en niños, con pocos casos descritos. Son lesiones causadas por trauma cerrado cuando las fuerzas resultantes del trauma no tienen la suficiente energía para romper la piel, pero son suficientes para producir una disrupción de las fibras musculares y la fascia.
Métodos: Se presentan tres casos clínicos de niños con hernias traumáticas, el primero tipo I y los otros dos, tipo II, cuyo diagnóstico y tratamiento quirúrgico se llevaron a cabo por el servicio de cirugía pediátrica en un hospital de alto nivel de atención en Colombia.
Resultados: Los tres pacientes fueron llevados a manejo quirúrgico sin prótesis, el primero por abordaje abierto y los otros dos por cirugía videoasistida, con buena evolución y sin recidivas en el seguimiento.
Discusión: Las hernias traumáticas de la pared abdominal son más frecuentes en varones, como en nuestros casos, y del lado derecho. El diagnóstico de este tipo de hernias es clínico y se apoya en imágenes, teniendo en cuenta que no hay antecedente de hernia en la región afectada. El tratamiento es quirúrgico, pero es controversial el momento del mismo y el uso de materiales protésicos, puesto que existe la posibilidad de recidiva en los primeros meses en los casos de reparo primario.
Conclusión: A pesar de la rareza de esta entidad, presentamos tres pacientes pediátricos a quienes se les realizó diagnóstico y manejo quirúrgico tempranos, con buena evolución y seguimiento a más de tres años.
Palabras clave: Hernia+ hernia abdominal+ heridas y traumatismos+ heridas no penetrantes+ procedimientos quirúrgicos.
Abstract
Introduction: Traumatic hernias of the abdominal wall in children are a very rare entity, with few cases described. They are injuries caused by blunt trauma when the forces resulting from low-energy trauma to break the skin, but enough to produce a disruption of the muscle fibers and fascia.
Methods: Three clinical cases of traumatic hernias in children are presented, one type I and the other two type II, whose diagnosis and surgical treatment were carried out by the pediatric surgery service in a high-level hospital in Colombia.
Results: The three patients underwent surgical management without prosthesis, one by open approach and the other two by video-assisted surgery, with good evolution and no recurrence during follow-up.
Discussion: Traumatic hernias of the abdominal wall are more common in male patients as in our cases, and on the right side of the abdomen. The diagnosis of this type of hernia is clinical and based on images, taking into account that there is no history of hernia in the affected region. The treatment is surgical, but its timing and the use of prosthetic materials are controversial, since there is the possibility of recurrence in the first few months in cases of primary repair.
Conclusion: Despite the rarity of this entity, we present three pediatric patients who underwent early diagnosis and surgical management, with good evolution and follow-up for more than three years.
Keywords: Hernia, abdominal hernia, wounds and injuries, nonpenetrating injuries, surgical procedures.
Introducción
El trauma abdominal cerrado sigue siendo una de las principales causas de morbimortalidad en los niños. Sin embargo, las hernias traumáticas de la pared abdominal en esta población son muy poco frecuentes, representando en algunos reportes del 1 al 9 % de las lesiones en los pacientes pediátricos con trauma cerrado de abdomen 1,2, aunque en una revisión retrospectiva de alrededor de 10.000 pacientes pediátricos con trauma cerrado de abdomen, la real incidencia de las hernias traumáticas de la pared abdominal fue del 0,1 %, lo que indica la rareza de esta entidad 3.
Esta lesión es causada por el impacto de la pared abdominal sobre un objeto romo, con frecuencia el manubrio de la bicicleta. Fue por eso por lo que, en 1980, se acuñó el término de “hernia del manubrio” para describir las hernias traumáticas de la pared abdominal. No obstante, también pueden presentarse en otros mecanismos de trauma cerrado de alta energía. La lesión se produce porque las fuerzas resultantes del trauma no tienen la suficiente energía para causar disrupción de la piel, dada su capacidad elástica, pero son suficientes para producir una avulsión de las fibras musculares y de la fascia.
Es así como se conoce una clasificación en tres tipos, basados en el mecanismo de trauma y el tamaño de la lesión. Las tipo I son hernias traumáticas de la pared abdominal causadas por trauma directo del manubrio que, como se indicó, son conocidas como hernias del manubrio; las tipo II, son de gran tamaño, causadas por mecanismos de alta energía como, colisiones de vehículos automotores o caídas de alturas, y las tipo III, son herniaciones intraabdominales causadas por lesiones por desaceleración 4. Su diagnóstico requiere alto índice de sospecha.
El objetivo de este artículo es presentar los casos de tres pacientes en edad pediátrica, que fueron atendidos en el Hospital Pablo Tobón Uribe, un centro de referencia en Medellín, Colombia, describir sus características clínicas e imagenológicas y se exponer una revisión de la literatura.
Casos clínicos
Paciente 1
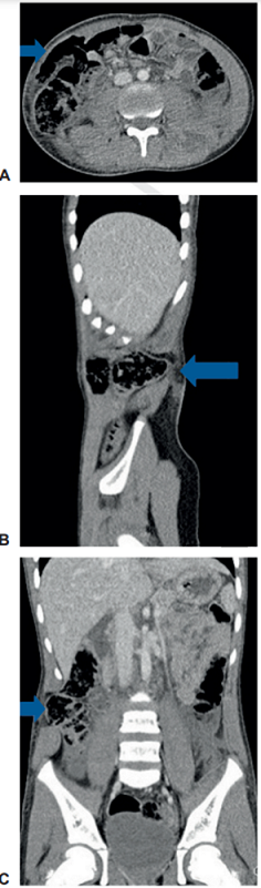
Masculino de 12 años quien sufre trauma cerrado de abdomen al caer y golpearse en el flanco derecho con el manubrio de la bicicleta. Presenta dolor intenso en la zona del trauma. Al ingreso, está taquicárdico y al examen abdominal se encuentra defensa voluntaria, abultamiento de los tejidos blandos en el flanco derecho y tatuaje del manubrio en la piel de esta zona (Figura 1).

Realizan tomografía computarizada (TC) de abdomen que muestra escaso líquido libre en el fondo de saco derecho y lo que consideraron una “hernia de Spiegel” (Figura 2).

Por la relación con el trauma y la ausencia de hernia previa, se hizo diagnóstico de hernia traumática y se llevó a cirugía donde se encontró un gran defecto de la pared abdominal, desde el flanco derecho hasta el hipogastrio, con avulsión y desgarro del recto anterior derecho, hematoma de los tejidos blandos adyacentes, del ciego, del mesocolon y del apéndice cecal, los cuales estaban involucrados en el defecto. Se corrigió el defecto con cierre primario sin material protésico, con buena evolución posquirúrgica. Fue dado de alta al día siguiente de la intervención y en el seguimiento a los 40 meses, continua sin síntomas ni signos de recidiva.
Paciente 2
Masculino de 9 años, quien presentó trauma de alta energía como ocupante de la cabina trasera de un automóvil al sufrir una colisión frontal contra un autobús a alta velocidad. Fue evaluado y manejado inicialmente en hospital local, de donde remiten. Al ingreso se encontró estable hemodinámicamente, con signo del cinturón de seguridad, con dolor y defensa a la palpación abdominal, de predominio en el hemiabdomen derecho. Dado el mecanismo del trauma, se llevó urgente a TC de abdomen, donde se apreciaron hernias traumáticas de la pared abdominal anterolateral y posterior, asociadas a laceración hepática adyacente al ligamento falciforme y escaso líquido libre en cavidad (Figura 3), además de una fractura corporal de T12 no desplazada y fractura de elementos posteriores de L3 desplazada, con canal medular conservado.

Se programó para cirugía y se realizó herniorrafía videoasistida con cierre primario y sin material protésico, sin complicaciones. En cirugía se identificaron las hernias traumáticas de la pared, una anterolateral derecha con un defecto de 5 cm con ruptura del músculo recto, del oblicuo mayor, del menor y del trasverso hasta la región lateral, y otra hernia del retroperitoneo ipsilateral, que contenía asa de intestino delgado y salida de grasa perirrenal. En la evolución posquirúrgica presentó dolor importante, en especial relacionado con el trauma vertebral, necesitando de múltiples analgésicos, por lo que cursó posteriormente con íleo prolongado y debió permanecer hospitalizado por 9 días. Posteriormente, tuvo adecuada recuperación, con seguimiento ambulatorio a 36 meses sin recidivas.
Paciente 3
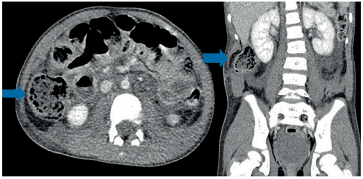
Masculino de 5 años quien sufre accidente de tránsito como ocupante de automóvil que colisionó frontalmente con un tractocamión. Ninguna víctima mortal en el accidente. Fue evaluado inicialmente en un hospital de primer nivel donde lo encuentran con estabilidad hemodinámica, pero con hematuria macroscópica, por lo que remiten. Se practicó TC abdominal (Figura 4) que diagnosticó hernia traumática de la pared abdominal, por lo que se programó para cirugía.

En el procedimiento quirúrgico se encontró ruptura de la fascia y de los músculos recto abdominal, oblicuos interno, transverso y oblicuo externo, conformando un defecto de 6 cm de longitud, con contenido herniario de colon ascendente y despulimiento de su serosa, sin perforación de asas ni otras lesiones asociadas. Se corrigió la hernia con cierre primario de forma videoasistida y presentó buena evolución posquirúrgica, dando de alta a los tres días de la cirugía. Seguimiento a 36 meses sin complicaciones ni recidiva de la hernia.
Discusión
Las hernias traumáticas de la pared abdominal se definen como una disrupción muscular o de la fascia luego de un evento traumático, a través de la cual se produce algún tipo de herniación. No involucran defectos en la piel subyacente y se presentan en una zona donde no existía una hernia previa 5,6.
En 1906, Selby fue el primero en describir estas lesiones traumáticas 4 y a partir de entonces, han sido varios los reportes de casos en la literatura, con diversas clasificaciones y criterios diagnósticos, como se documenta en la tabla 1.

En un estudio publicado por Yan J, et. al. 7 se revisaron 31 casos de hernias traumáticas de pared abdominal de pacientes con edades comprendidas entre los 5 a los 15 años y se encontró que el pico máximo estuvo alrededor de los 7 a 9 años, que la mayoría de los afectados fueron hombres (93 %) y la localización más frecuente fue el cuadrante inferior derecho. En nuestros casos, encontramos que los tres pacientes fueron de sexo masculino, las edades comprendidas fueron entre los 5 y 12 años y todas las lesiones se localizaron en el hemiabdomen derecho.
Es factible preguntarse ¿por qué a pesar de la alta frecuencia del trauma abdominal cerrado en niños, la incidencia de hernias traumáticas de pared abdominal es poca? Se ha planteado que la elasticidad de la pared del abdomen desempeña un papel importante, sin olvidar que la presentación clínica tan sutil de esta entidad puede ser responsable de un subregistro 4.
Así como en los adultos, en el paciente pediátrico politraumatizado es importante en el momento de la atención conocer los detalles sobre la cinemática del trauma y todos los factores relacionados. Específicamente con respecto a las hernias traumáticas de pared abdominal, se han descrito diversas etiologías (accidentes en calidad de peatón, como ocupantes de vehículos automotores, motocicletas, triciclos, bicicletas, etc.), donde el mecanismo común es un aumento local y exagerado de la presión intraabdominal, lo suficientemente fuerte para producir ruptura de las fibras musculares y la fascia, sin comprometer la piel 6,8.
Según la clasificación de las hernias traumáticas, nuestros pacientes representaron el tipo I en el primer caso y el tipo II en los casos 2 y 3, estos últimos asociados a trauma de alta energía por accidente en vehículo automotor y con lesiones de mayor compromiso en tejidos blandos 4.
En general, durante la atención de los pacientes traumatizados deben seguirse los lineamientos y recomendaciones propuestas por The committee on trauma del American College of Surgeons en su estrategia Advanced Trauma Life Support ® (ATLS) para la edad pediátrica 9. Los hallazgos clínicos de los pacientes con hernias postraumáticas de la pared abdominal son variables y es así como, en pacientes completamente asintomáticos, pueden observarse deformidades evidentes, masas fluctuantes, hematomas o lesiones traumáticas externas, como el signo del cinturón de seguridad o del manubrio. De igual manera, desde su ingreso a la institución hospitalaria el paciente puede presentarse con signos claros de irritación peritoneal o puede desarrollar complicaciones como incarceración y estrangulación 10.
Con respecto al “signo del cinturón de seguridad”, se ha mencionado que su presencia puede sugerir lesiones intraabdominales significativas. De hecho, en 1996 McCarthy describió el “síndrome del cinturón de seguridad”, el cual comprende una fractura o subluxación de la primera vértebra lumbar asociada a perforación de yeyuno y laceración del mesenterio del intestino delgado 11. En los casos que se presentaron, ninguno tuvo signos de irritación peritoneal o inestabilidad hemodinámica al ingreso, dos de los pacientes presentaron el signo del cinturón de seguridad, uno con lesión vertebral asociada, mientras que el primer paciente tenía el signo del manubrio al momento de la atención.
Datos extrapolados de estudios en adultos señalan que el examen físico puede ser diagnóstico en el 80 % de las veces 6, e incluso se describe que pudiera llegar a definirse por palpación la extensión del defecto muscular en aquellos pacientes de contextura física delgada. Sin embargo, al tener en cuenta las características especiales de la población pediátrica en la cual puede ser difícil el examen físico, se recomienda tener un alto índice de sospecha y realizar estudios complementarios (ultrasonografía o tomografía computarizada) en pacientes que tengan el signo del cinturón de seguridad, el signo del manubrio de bicicleta, aquellos con alteraciones en el estado de conciencia que impidan una exploración física confiable y los pacientes con dolor abdominal persistente durante el tiempo de observación 12.
Es importante mencionar que la frecuencia de lesiones intraabdominales en conjunto con hernias traumáticas de pared abdominal se ha reportado entre 25 % y 70 %, 12,13 y en algunas oportunidades ambos diagnósticos se hacen evidentes al momento de intervenir a los pacientes por otras causas.
Dada la poca prevalencia de esta entidad, no existen guías ni consensos internacionales para el manejo de este tipo de hernias adquiridas en niños. En la actualidad, persiste la controversia sobre el manejo conservador 3,14, el mejor momento para la corrección del defecto herniario (inmediato versus diferido) 15, el acceso quirúrgico (abierto versus laparoscópico) y la técnica quirúrgica a utilizar (reparo primario versus utilización de mallas).
El manejo no operatorio se limita solamente a los pacientes estables, sin signos de irritación peritoneal, con hernias traumáticas de la pared abdominal completamente reducibles y que sean susceptibles a vigilancia clínica permanente 3. No se consideró este tipo de tratamiento en los pacientes presentados por su sintomatología, dada la presencia de dolor importante y las manifestaciones clínicas, tanto a la inspección como a la palpación abdominal.
En una revisión sistemática publicada recientemente 3, se describió que la mayoría de los pacientes evaluados recibieron manejo quirúrgico con laparotomía exploratoria (85 %) y reparo primario en el 81 % de los casos. De acuerdo con lo anterior, a pesar de la presencia concomitante de lesiones intraabdominales mayores y de encontrar defectos grandes de la pared abdominal anterior y posterior, el reparo sin material protésico en niños continúa siendo una opción con buenos resultados 16 y sin recidivas, como en nuestros pacientes, que en su seguimiento a más de 36 meses no han mostrado complicaciones.
El tiempo de la intervención se ha clasificado como urgente o electivo y temprano o diferido 3, siendo la situación clínica del paciente el aspecto más importante a considerar para elegir el mejor momento para reparar el defecto de la pared abdominal. Deben seguirse los principios básicos de la atención en trauma, teniendo en cuenta el sangrado, la contaminación de la cavidad abdominal, el tamaño del defecto herniario y el riesgo de complicaciones asociado a la presencia de hernias, que en algunos reportes de casos en adultos alcanza hasta el 25 % 3.
En la literatura, existen pocos reportes de casos con las diferentes opciones, con resultados variables, sin mostrar algún grado de superioridad por alguna de ellas. Por lo tanto, la recomendación principal para el manejo de los pacientes en edad pediátrica dependerá de la presentación clínica del paciente, del juicio clínico del cirujano y, al mismo tiempo, de su experiencia y sus preferencias.
Conclusión
A pesar de la muy baja incidencia de las hernias traumáticas de la pared abdominal en la población pediátrica, presentamos tres pacientes a quienes se les hizo diagnóstico y manejo quirúrgico tempranos, con buena evolución postoperatoria y sin complicaciones o recidivas en el seguimiento a más de tres años.
Referencias
Dennis RW, Marshall A, Deshmukh H, Bender JS, Kulvatunyou N, Lees J, Albrecht RM. Abdominal wall injuries occurring after blunt trauma: incidence and grading system. Am J Surg. 2009;197:413-7. https://doi.org/10.1016/j.amjsurg.2008.11.015
Talutis SD, Muensterer OJ, Pandya S, McBride W, Stringel G. Laparoscopic-assisted management of traumatic abdominal wall hernias in children: case series and a review of the literature. J Pediatr Surg. 2015;50:456-61. https://doi.org/10.1016/j.jpedsurg.2014.10.020
Theodoru CM, Stokes SC, Beres AL. Traumatic abdominal wall hernia in children: a systematic review. J Surg Res. 2021;262:181-9. https://doi.org/10.1016/j.jss.2020.12.068
Hafezi N, Raymond JL, Mayo ED, Rouse TM, Billmire DF, Gray BW. Traumatic abdominal wall hernias in children: A case for early exploration. J Pediatr Surg. 2021;56:1004-8. https://doi.org/10.1016/j.jpedsurg.2020.06.046
Rathore A, Simpson BJ, Diefenbach KA. Traumatic abdominal wall hernias: an emerging trend in handlebar injuries. J Pediatr Surg. 2012;47:1410-3. https://doi.org/10.1016/j.jpedsurg.2012.02.003
Morales CH, Montoya JA, Henao O. Hernia abdominal traumática. Rev Colomb Cir. 2011;26:308-12.
Yan J, Wood J, Bevan C, Cheng W, Wilson G. Traumatic abdominal wall hernia -- a case report and literature review. J Pediatr Surg. 2011;46:1642-1645. https://doi.org/10.1016/j.jpedsurg.2011.04.004
van Bemmel AJM, van Marle AGJ, Shclejen PM, Schmitz RF. Handlebar hernia: a case report and literatura review on traumatic abdominal wall hernia in children. Hernia. 2011;15:439-42. https://doi.org/10.1007/s10029-010-0665-0
American College of Surgeons. The committee on trauma. ATLS® Advanced Trauma Life Support. 10th ed. Chicago. 2018. Chapter 10. p. 186-212.
Vincent K, Cheah SD. Traumatic abdominal wall hernia - a case of handlebar hernia. Med J Malaysia. 2018;73:425-6.
Moreno A, Campillo A, Flores B. Importancia del signo del cinturón de seguridad en las hernias traumáticas de pared abdominal. Rev Hispanoam Hernia. 2014;2:127- 30. https://doi.org/10.1016/j.rehah.2014.01.004
Rinaldi VE, Bertozzi M, Magrini E, Riccioni S, Di Cara G, Appignani A. Traumatic abdominal wall hernia in children by handlebar injury: when to suspect, scan and call the surgeon. Pediatr Emerg Care. 2020;36:534-7. https://doi.org/10.1097/PEC.0000000000001153
Moreno-Egea A, Girela E, Parlorio E, Aguayo-Albasini JL. Controversias en el manejo actual de las hernias traumáticas de pared abdominal. Cir Esp. 2007;82:260- 7. https://doi.org/10.1016/S0009-739X(07)71723-2
Jahromi AH, Skrweres J, Sangster G, Johnson L, Samra N. What we know about management of traumatic abdominal wall hernia: review of the literature and case report. Int Surg. 2015;100:233-9. https://doi.org/10.9738/INTSURG-D-13-00239.1
Akbaba S, Gündogdu RH, Temel H, Oduncu M. Traumatic abdominal wall hernia: Early or delayed repair?. Indian J Surg. 2015;77(Suppl 3):S963-6. https://doi.org/10.1007/s12262-014-1083-9
Theodorou CM, Galganski LA, Stark RA. Traumatic posterolateral abdominal wall hernia in a pediatric patient. J Pediat Surg Case Reports. 2019;43:23-5. https://doi.org/10.1016/j.epsc.2019.01.013
Notas
Notas de autor
aCorrespondencia: Natalia Herrera-Toro, Calle 78B # 69-240, Medellín, Colombia. Teléfono: 3007944643. Correo electrónico: nataherrerat@gmail.com
Declaración de intereses