Presentación de Caso
Invaginación sigmoidea en un adulto. ¿Está indicada la reducción endoscópica preoperatoria?
Sigmoid invagination in an adult. Is preoperative endoscopic reduction indicated?
Invaginación sigmoidea en un adulto. ¿Está indicada la reducción endoscópica preoperatoria?
Revista Colombiana de Cirugía, vol. 37, núm. 4, pp. 701-707, 2022
Asociación Colombiana de Cirugía
Recepción: 01 Junio 2021
Aprobación: 17 Octubre 2021
Publicación: 28 Junio 2022
Resumen
Introducción: La invaginación intestinal o intususcepción es el deslizamiento de una parte del intestino dentro de otra adyacente. Es la causa más común de obstrucción intestinal en niños entre 3 meses y 6 años de edad, con una baja incidencia en adultos, correspondiente al 1 % del total de los cuadros obstructivos en el adulto. Su localización en colon es poco frecuente, pero conviene prestar especial atención por su asociación a lesiones malignas.
Caso clínico: Varón de 39 años que acude a Urgencias con cuadro de obstrucción intestinal secundario a una invaginación en sigmoide. Se intenta reducción endoscópica, sin éxito, por lo que se indicó cirugía urgente, realizando sigmoidectomía y anastomosis colorrectal. El resultado anatomopatológico informó un adenoma de gran tamaño como causante de la invaginación.
Conclusión: Existen controversias respecto al manejo endoscópico en invaginación intestinal en los adultos, especialmente en el colon, debido al elevado porcentaje de etiología tumoral maligna, recomendándose actualmente la resección en bloque sin reducción, para minimizar el riesgo de potencial siembra tumoral.
Palabras clave: Intususcepción+ obstrucción intestinal+ neoplasias del colon+ colectomía+ endoscopía del sistema digestivo.
Abstract
Introduction: Intestinal invagination or intussusception is the sliding of one part of the intestine into the adjacent one. It is the most common cause of intestinal obstruction in children between 3 months and 6 years of age, with a low incidence in adults, corresponding to 1% of all obstructive conditions in adults. Its location in the colon is rare, but special attention should be paid due to its association with malignant lesions.
Case report: A 39-year-old male admitted to the emergency department with symptoms of intestinal obstruction secondary to a sigmoid intussusception. Endoscopic reduction was attempted, without success, so urgent surgery was indicated, performing sigmoidectomy and colorectal anastomosis. The pathology result reported a large adenoma as the cause of invagination.
Conclusion: There are controversies regarding the endoscopic management of intussusception in adults, especially in the colon, due to the high percentage of malignant tumor etiology, currently recommending en bloc resection without reduction, to minimize the risk of potential tumor seeding.
Keywords: Intussusception, intestinal obstruction, colonic neoplasms, colectomy, digestive system endoscopy.
Introducción
En la invaginación intestinal o intususcepción un segmento proximal del tracto gastrointestinal (intussusceptum), se introduce en el lumen de un segmento distal adyacente (intussuscipiens). Es más frecuente en niños, mientras es rara en adultos, puesto que menos del 5 % de las invaginaciones se producen en edad adulta 1,2. En adultos, la media de edad es de 50 años, con relación hombre:mujer de 1:5 y en un 90 % de los casos es posible objetivar la causa 2,3, en contraste con la edad infantil en la que un 90 % de los casos son idiopáticos 4.
La mayoría de las invaginaciones son transitorias. Suelen detectarse de manera incidental durante la realización de un estudio, si bien algunos casos pueden cursar con dolor abdominal, sangrado o ser causa excepcional de obstrucción intestinal, originando el 1 % del total de cuadros obstructivos en los adultos 5. En cuanto a su localización, con mayor frecuencia son entéricas (49,5 %), seguidas de ileocólicas (29,1 %) y colónicas (19,9 %) 6, siendo raras en colon izquierdo y sigmoide. Son de especial atención las invaginaciones ubicadas en el colon, pues alrededor del 70 % se asocian con lesiones malignas 7.
La tomografía computarizada (TC) de abdomen ha demostrado ser el estudio imaginológico de elección para diagnosticar la invaginación intestinal 4,8-10, aunque con valor limitado para discriminar si el origen es maligno, benigno o idiopático 3,9.
Caso clínico
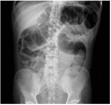
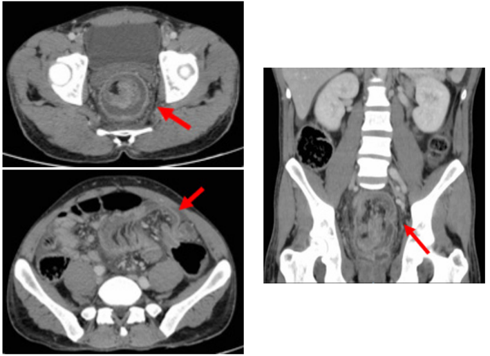
Varón de 39 años, natural de Marruecos, sin antecedentes de interés, que acude a urgencias por cuadro clínico de 15 días de dolor abdominal, asociado a vómitos intermitentes, deposiciones diarreicas y rectorragia, con empeoramiento progresivo hasta presentar obstrucción intestinal de 48 horas de evolución. La radiografía abdominal mostró dilatación marcada del colon (figura 1), que se corroboró con la TC abdominal (figura 2), donde además se visualizó una extensa invaginación a nivel del colon sigmoides, sin clara lesión subyacente, condicionando una oclusión mecánica con distensión retrógrada (ciego de 8 cm de diámetro con válvula competente). No se identificaron neumoperitoneo ni otros signos de perforación.


Se realizó colonoscopia observándose una lesión como cabeza de invaginación sugestiva de pólipo, que por su gran tamaño impidió la reducción endoscópica con éxito. Se indicó por tanto cirugía urgente, realizándose laparotomía media, hallando un segmento de unos 30 cm de invaginación a nivel del sigmoide, con inadecuada perfusión en este segmento de colon. Se practicó sigmoidectomía más anastomosis colorrectal termino-terminal con endograpadora circular de 29 mm.
El paciente presentó buena evolución postoperatoria, con íleo paralítico resuelto con manejo conservador, por lo que se dio de alta a los 6 días. En la anatomía patológica se confirmó la presencia en el intussusceptum de un adenoma tubular con displasia de bajo grado (figura 3). En consulta de control al mes, el paciente está asintomático. Actualmente en seguimiento ambulatorio, no ha presentado recidiva de la enfermedad.

Discusión
La invaginación intestinal es una patología poco común en adultos. A diferencia de los casos pediátricos, la invaginación en adultos involucra más comúnmente un punto guía, siendo hasta un 57 % atribuibles a un tumor maligno 5,11. Respecto al colon, las invaginaciones son menos frecuentes que en intestino delgado, pero al contrario de estas últimas, la causa principal de invaginación de colon son lesiones malignas, hasta en un 70 % 7. Dentro de la etiología maligna el adenocarcinoma ocupa la primera posición (80 % en algunas series), seguido de linfoma y carcinoma metastásico.
En referencia a las causas benignas de invaginación cólica, como lo presenta Wang Y 12, entre 35 casos identificados entre los años 1995 y 2016, los lipomas de colon fueron la causa más frecuente. Las otras causas conocidas no neoplásicas, generalmente asentadas en intestino delgado, incluyen adherencias intestinales, complicaciones postoperatorias, divertículo de Meckel, hiperplasia linfoide y adenitis, bandas congénitas, traumatismo, enfermedad celíaca, quiste de duplicación intestinal y púrpura de Schönlein-Henoch.
Para establecer el diagnóstico de invaginación intestinal, la TC es la herramienta más útil, permitiendo localizar un punto guía que la causa, así como discriminar si es maligno, benigno o idiopático, con una precisión diagnóstica del 77,8 % (IC95% 71,9-82,9 %) según los resultados del metaanálisis realizado por Hong et. al. en 2019 6. Aunque la TC no siempre puede distinguir una neoplasia de una pared intestinal engrosada, hallazgos como adenopatías mesentéricas de gran tamaño o con realce superior al resto de ganglios, una lesión de gran tamaño o signos de infiltración, pueden orientar el diagnóstico a un origen neoplásico y así planificar el tratamiento óptimo.
En un intento de correlacionar los hallazgos radiológicos con el diagnóstico clínico de invaginación intestinal en adultos, Warshauer DM 13 realizó una revisión retrospectiva de todas las invaginaciones demostradas por TC o resonancia magnética nuclear entre 1991 y 1998, comparando el grupo de pacientes con origen neoplásico y el grupo sin origen neoplásico. No se obtuvieron diferencias significativas en cuanto al sexo, sin embargo, los pacientes con una invaginación de origen neoplásico tenían una mediana de edad mayor (47,5 años vs 39 años; p=0,036). Así lo corrobora el estudio retrospectivo realizado en The Mount Sinai Medical Center14 en el que se obtuvo una mediana de edad de 60 años en pacientes con proceso de origen maligno frente a una mediana 44 años para aquellos con un origen benigno.
Warshauer DM15 tampoco encontró diferencias significativas entre ambos grupos en cuanto a los síntomas abdominales. Aunque la mediana del valor de hematocrito fue significativamente más baja en el grupo de pacientes con origen neoplásico (27,6 % vs 39 %; p=0,04), no se encontraron diferencias significativas en la frecuencia de resultados positivos en la prueba de sangre oculta en heces (SOH).
A propósito del manejo terapéutico de las invaginaciones intestinales, mientras que en niños esta patología es típicamente idiopática y, por lo tanto, la reducción neumática o hidrostática vía endoscópica es suficiente para resolverla en el 80 % de los casos 15, en los adultos la cirugía permanece como pilar fundamental del tratamiento, indicándose de urgencias cuando hay signos de necrosis o tras intentos fallidos de reducción endoscópica.
La reducción preoperatoria, realizada con éxito en un 30 % aproximadamente 4,7, es hoy en día motivo de controversia. En la literatura se encuentran cinco estudios 1,6,9,16,17 en los que se recomienda que todas las invaginaciones en adultos deben resecarse sin previa reducción, asumiendo una posible etiología maligna, para así minimizar el riesgo de potencial siembra tumoral peritoneal o diseminación venosa durante la manipulación, así como el riesgo de contaminación en caso de isquemia. Por el contrario, seis estudios 11,18-22 indican el intento de reducción previo a la resección, independientemente de la ubicación, si no hay cambios isquémicos o en ausencia de alta sospecha de lesión maligna.
Tomando la ubicación de la invaginación como variable fundamental, 21 estudios 3,5,8,10,14,23-38 plantearon como recomendación general la resección en bloque sin reducción del segmento invaginado, considerando sólo la reducción prequirúrgica en algunas lesiones entéricas para evitar una resección excesiva. El metaanálisis de Hong et al 6 recoge la combinación de datos en la literatura para los siguientes procedimientos quirúrgicos: 1) resección primaria sin reducción, 2) reducción inicial seguida de resección, 3) sólo reducción, 4) enterotomía y escisión masiva y 5) exploración negativa. Las tasas agrupadas de cada procedimiento realizado fueron las siguientes: 50,1% (IC95% 39,4 a 60,7), 31,1% (IC95% 22,2 a 41,7), 8,8% (IC95% 6,4 a 12,0), 5,2% (IC95% 3,4 a 7,7) y 3,8% (IC95% 2,2 a 6,2), respectivamente.
En el caso que presentamos se optó por intentar la reducción endoscópica previa a la intervención pues, al tratarse de un extenso tramo de colon afectado por la invaginación y al no objetivarse signos de isquemia en la TC, se pretendía limitar el segmento de resección con una consecuente y aparente menor morbilidad. Actualmente esta decisión no nos parece la más adecuada porque en ese momento no se conocía con exactitud la naturaleza de la lesión punto guía y, si bien se trataba de un paciente joven, dada su ubicación y la longitud de intestino invaginado, se debió asumir un origen tumoral maligno como primera opción. Esto fue precisamente el principal motivo que nos impulsó a realizar esta revisión de la literatura, de cara a cómo enfocar terapéuticamente los futuros casos de invaginación colónica en nuestro centro asistencial.
Conclusión
La invaginación intestinal en el adulto es, a diferencia de la población pediátrica, una entidad poco frecuente. Es de especial interés cuando se ubica en colon, pues un gran porcentaje de casos se debe a patología tumoral maligna subyacente. Las pruebas de imagen nos permitirán identificar la localización del punto guía de invaginación, así como orientar hacia una etiología benigna o maligna. La cirugía permanece como pilar fundamental del tratamiento, existiendo hoy en día controversia en cuanto a su asociación o no con la reducción endoscópica preoperatoria. La mayoría de los estudios recomiendan la resección en bloque sin reducción en invaginaciones cólicas dada su mayor asociación con tumores malignos. Se valoraría la reducción endoscópica en el caso de invaginaciones entéricas, para evitar así la cirugía de urgencias y reducir la extensión de la resección del intestino afectado. Independientemente de su localización, tampoco se recomienda la reducción preoperatoria en los casos en que se sospeche isquemia intestinal, donde está indicada la resección en bloque para limitar la contaminación.
Referencias
Azar T, Berger DL. Adult intussusception. Ann Surg. 1997;226:134-8. https://doi.org/10.1097/00000658-199708000-00003
Beltrán MA. Intususcepción ileocólica en adulto secundaria a enterocolitis por Salmonella enteritidis. Gastroenterol Latinoam. 2012;23:197-200.
Cakir M, Tekin A, Kucukkartallar T, Belviranli M, Gundes E, Paksov Y. Intussusception: as the cause of mechanical bowel obstruction in adults. Korean J Gastroenterol. 2013;61:17-21. https://doi.org/10.4166/kjg.2013.61.1.17
Huang WS, Changchien CS, Lu SN. Adult intussusception: a 12-year experience, with emphasis on etiology and analysis of risk factors. Chang Gung Med J. 2000;23:284-90.
Hanan B, Diniz TR, da Luz MMP, da Conceiçao SA, da Silva RG, Lacerda-Filho A. Intussusception in adults: a retrospective study. Colorectal Dis. 2010;12:574-8. https://doi.org/10.1111/j.1463-1318.2009.01865.x
Hong KD, Kim J, Ji W, Wexner SD. Adult intussusception: a systematic review and meta-analysis. Tech Coloproctol. 2019;23:315-24. https://doi.org/10.1007/s10151-019-01980-5
Onkendi EO, Grotz TE, Murray JA, Harrington Donohue J. Adult intussusception in the last 25 years of modern imaging: is surgery still indicated? J Gastrointest Surg. 2011;15:1699-1705. https://doi.org/10.1007/s11605-011-1609-4
Wang LT, Wu CC, Yu JC, Hsiao CW, Hsu CC, Jao SW. Clinical entity and treatment strategies for adult intussusceptions: 20 years’ experience. Dis Colon Rectum. 2007;50:1941-9. https://doi.org/10.1007/s10350-007-9048-8
Gomes A, Sousa M, Pignatelli N, Nunes V. Adult intussusception: a single-center 10-year experience. Eur Surg. 2013;45:239-44 https://doi.org/10.1007/s10353-012-0188-2
Mostafa HA, Saad J, Hassan A, Zafar N. Adult intussusception. An overlooked diagnosis in the emergency department. Saudi Med J. 2014;35:285-91.
Honjo H, Mike M, Kusanagi H, Kano N. Adult intussusception: a retrospective review. World J Surg. 2015;39:134-8. https://doi.org/10.1007/s00268-014-2759-9
Wang Y, Gowing S, Arena G. Adult colocolonic intussusception caused by congenital bands: A case report and literature review. Int J Surg Case Rep. 2016;26:88-92. https://doi.org/10.1016/j.ijscr.2016.07.019
Warshauer DM, Lee JK. Adult intussusception detected at CT or MR imaging: clinical-imaging correlation. Radiology. 1999;212:853-60. https://doi.org/10.1148/radiology.212.3.r99au43853
Eisen LK, Cunningham JD, Aufses AF. Intussusception in adults: institutional review. J Am Coll Surg. 1999;188:390-5. https://doi.org/10.1016/s1072-7515(98)00331-7
Marinis A, Yiallourou A, Samanides L, Dafnios N, Anastasopoulos G, Vassiliou I, Theodosopoulos T. Intussusception of the bowel in adults: a review. World J Gastroenterol. 2009;15:407-11. https://doi.org/10.3748/wjg.15.407
Matter I, Assaf Y, Nash E, Kunin J, Cohen O, Eldar S. Intussusception in adults. S Afr J Surg. 1997;35:194-7.
Guillén-Paredes MP, Campillo-Soto A, Martín-Lorenzo JG, Torralba-Martínez JA, Mengual-Ballester M, Cases-Baldó MJ, Aguayo-Albasini JL. Adult intussusception - 14 case reports and their outcomes. Rev Esp Enferm Dig. 2010;102:32-40. https://doi.org/10.4321/s1130-01082010000100005
Omori H, Asahi H, Inoue Y, Irinoda T, Takahashi M, Saito K. Intussusception in adults: a 21-year experience in the university-affiliated emergency center and indication for nonoperative reduction. Dig Surg. 2003;20:433-9. https://doi.org/10.1159/000072712
Rehman ZU, Alvi AR, Khan S. Intussusceptions in adults: Clinical features and operative procedures. J Coll Physicians Surg Pak. 2010;20:790-3.
Reijnen HA, Joosten HJ, de Boer HH. Diagnosis and treatment of adult intussusception. Am J Surg. 1989;158:25-8. https://doi.org/10.1016/0002-9610(89)90309-7
Nmadu PT. Adult intussusception in northern Nigeria: a changing disease? Cent Afr J Med. 1992;38:203-5.
Kotisso B, Bekele A. Intussusception in adolescents and adults: a report on cases from Addis Ababa, Ethiopia, during a three-year period. Ethiop Med J. 2007;45:187-94.
Wang N, Cui XY, Liu Y, Long J, Xu YH, Guo RX, Guo KJ. Adult intussusception: a retrospective review of 41 cases. World J Gastroenterol. 2009;15:3303-8. https://doi.org/10.3748/wjg.15.3303
Nagorney DM, Sarr MG, McIlrath DC. Surgical management of intussusception in the adult. Ann Surg. 1981;193:230-6. https://doi.org/10.1097/00000658-198102000-00019
Hamaloglu E, Yavuz B. Intussusception in adults. Panminerva Med. 1990;32:118-21.
Begos DG, Sandor A, Modlin IM. The diagnosis and management of adult intussusception. Am J Surg. 1997;173:88-94. https://doi.org/10.1016/S0002-9610(96)00419-9
Erkan N, Haciyanli M, Yildirim M, Sayhan H, Vardar E, Polat AF. Intussusception in adults: an unusual and challenging condition for surgeons. Int J Colorectal Dis. 2005;220:452-6. https://doi.org/10.1007/s00384-004-0713-2
Balik AA, Ozturk G, Aydinli B, Alper F, Gumus H, Yildirgan MI, Basoglu M. Intussusception in adults. Acta Chir Belg. 2006;106:409-12. https://doi.org/10.1080/00015458.2006.11679917
Barussaud M, Regenet N, Briennon X, de Kerviler B, Pessaux P, Kohneh-Sharhi N, et al. Clinical spectrum and sur-gical approach of adult intussusceptions: a multicentric study. Int J Colorectal Dis. 2006;21:834-9. https://doi.org/10.1007/s00384-005-0789-3
Goh BKP, Quah HM, Chow PKH, Tan KY, Tay KH, Eu KW, et al. Predictive factors of malignancy in adults with intussusception. World J Surg. 2006;30:1300-4. https://doi.org/10.1007/s00268-005-0491-1
Zubaidi A, Al-Saif F, Silverman R. Adult intussusception: a retrospective review. Dis Colon Rectum. 2006;49:1546-51. https://doi.org/10.1007/s10350-006-0664-5
Chang CC, Chen YY, Chen YF, Lin CN, Yen HH, Lou HY. Adult intussusception in Asians: clinical presentations, diagnosis, and treatment. J Gastroenterol Hepatol. 2007;22:1767-71. https://doi.org/10.1111/j.1440-1746.2007.04907.x
Yakan S, Caliskan C, Makay O, Denecli AG, Korkut MA. Intussusception in adults: clinical characteristics, diagnosis and operative strategies. World J Gastroenterol. 2009;15:1985-9. https://doi.org/10.3748/wjg.15.1985
Gupta V, Doley RP, Bharathy KGS, Yadav TD, Joshi K, Kalra N, et al. Adult intussusception in Northern India. Int J Surg. 2011;9:297-301. https://doi.org/10.1016/j.ijsu.2011.01.004
Siow SL, Chea CH, Hashimah AR, Ting SC. Adult intussusception: 5-year experience in Sarawak. Med J Malaysia. 2011;66:199-201.
Sarma D, Prabhu R, Rodrigues G. Adult intussusception: a six-year experience at a single center. Ann Gastroenterol. 2012;25:128-32.
Kim KH, Namgung H, Park DG. Adult intussusceptions: preoperative predictive factors for malignant lead point. Ann Surg Treat Res. 2014;86:244-8. https://doi.org/10.4174/astr.2014.86.5.244
de Clerck F, Vanderstraeten E, De Vos M, Van Steenkiste C. Adult intussusception: 10-year experience in two Belgian centres. Acta Gastroenterol Belg. 2016;79:301-8.
Notas
Notas de autor
aAutor de correspondencia: Pablo Rodríguez-González, Avenida Campos de Montiel 4, CP 21007, Huelva, España. Teléfono: +34 696 93 39 68. Correo electrónico: pabelrg@hotmail.com
Declaración de intereses