Imágenes en Cirugía
Teratoma maduro que simula quiste mesotelial de origen retroperitoneal
Mature teratoma mimicking a mesothelial cyst of retroperitoneal origin
Teratoma maduro que simula quiste mesotelial de origen retroperitoneal
Revista Colombiana de Cirugía, vol. 38, núm. 1, pp. 174-175, 2023
Asociación Colombiana de Cirugía
Recepción: 01 Julio 2022
Aprobación: 26 Septiembre 2022
Publicación: 14 Octubre 2022
Palabras clave: Teratoma, teratoma maduro, tomografía computarizada, imagen por resonancia magnética nuclear, laparoscopía, patología
Keywords: Teratoma, mature teratoma, computed tomography, magnetic resonance imaging, laparoscopy, pathology
Paciente femenina de 48 años que acude a valoración por dolor y sensación de masa de crecimiento progresivo en cuadrante inferior derecho del abdomen, con historia de un año de molestias con determinados ejercicios que involucran el uso del músculo psoas derecho. Al examen físico se encuentra masa palpable en flanco derecho, con dolor a la palpación profunda, sin signos de irritación peritoneal.
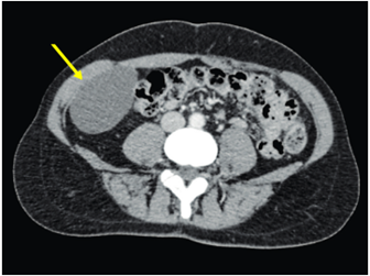
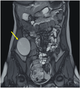
Se realizó ecografía abdominal visualizándose masa hipoecogénica en fosa ilíaca derecha, de contornos bien definidos, inmediatamente anterior al músculo psoas derecho. En la tomografía computarizada (Figura 1) y en la resonancia magnética (Figura 2) de abdomen se observó una lesión de densidad quística, de localización aparentemente extracompartimental en íntima relación con músculo transverso del abdomen derecho, que desplazaba el colon ascendente.


Se llevó a intervención quirúrgica con abordaje laparoscópico. Se visualizó tumoración a tensión (Figura 3), con contenido gelatinoso y apariencia mucoide, espeso de color amarillo, de las dimensiones referenciadas en las imágenes diagnósticas, ubicada en la pared abdominal de fosa ilíaca y flanco derechos, entre el músculo transverso y el peritoneo parietal anterior. Se realizó exéresis de la pieza (Figura 4) y el reporte de anatomía patológica informó hallazgos patológicos compatibles con teratoma maduro. La paciente tuvo una evolución favorable y fue dada de alta médica a las 24 horas de la intervención, sin complicaciones.


Notas
Notas de autor
aCorrespondencia: Patrizio Petrone, MD, PhD, FACS. 222 Station Plaza N., Suite 300, Mineola, New York 11501 - USA. Teléfono: +1 (516) 663-9571. Dirección electrónica: patrizio.petrone@gmail.com; patrizio.petrone@nyulangone.org
Declaración de intereses