Presentación de Caso
Angiosarcoma primario de mama. Reporte de caso y revisión de la literatura
Primary breast angiosarcoma. A case report and literature review
Angiosarcoma primario de mama. Reporte de caso y revisión de la literatura
Revista Colombiana de Cirugía, vol. 38, núm. 1, pp. 176-181, 2023
Asociación Colombiana de Cirugía
Recepción: 10 Octubre 2021
Aprobación: 21 Enero 2022
Publicación: 04 Octubre 2022
Resumen
Introducción: El angiosarcoma primario de la mama es una neoplasia maligna derivada de las células endoteliales de los vasos sanguíneos, potencialmente agresiva independientemente de su grado histológico, por lo que su pronóstico es malo. Su diagnóstico prequirúrgico es difícil, ya que las características clínicas e imagenológicas son inespecíficas, y el diagnóstico definitivo únicamente se realiza por estudios de patología. Para su tratamiento generalmente se requiere de resección quirúrgica, radioterapia y, ocasionalmente, quimioterapia.
Caso clínico: Paciente de 49 años sin antecedentes, que consultó por cuadro clínico de 5 meses de evolución de aparición y rápido crecimiento de masa en mama izquierda. Se realizaron estudios imagenológicos que reportaron lesión BIRADS 4a y diagnóstico histológico de lesión vascular con atipía, por lo cual fue llevada a mastectomía simple, con informe final de patología de angiosarcoma primario de mama; tuvo que ser reintervenida por márgenes positivos. Completó 33 ciclos de radioterapia y dos años después de la cirugía presentó cambios inflamatorios en la cicatriz quirúrgica, de la cual se tomó biopsia con reporte de lesión vascular atípica, por lo que fue operada nuevamente, con reporte histológico negativo para angiosarcoma residual. Actualmente la paciente está en seguimiento imagenológico, sin evidencia de recaída tumoral.
Conclusión: Los angiosarcomas primarios de la mama son neoplasias raras y muy agresivas, independientemente de su grado histológico, por lo cual es importante hacer un diagnóstico histológico y tratamiento oncológico oportunos.
Palabras clave: Angiosarcoma+ neoplasias de la mama+ inmunohistoquímica+ mastectomía+ radioterapia.
Abstract
Introduction: Primary breast angiosarcoma is a malignant pathology derived from the endothelial cells of the blood vessels of the breast. They are potentially aggressive regardless of histological grade, reason why its prognosis is poor and treatment requires surgical resection plus radiation therapy and occasionally chemotherapy depending on the degree. Its pre-surgical diagnosis is difficult since the clinical and imaging characteristics are nonspecific, and the definitive diagnosis is only made by means of pathology studies.
Clinical case: A 49-year-old patient was admitted to the breast surgery outpatient clinic due to clinical symptoms of 5 months of evolution consisting of the appearance of a painful mass in the left breast. Imaging of the lesion with ultrasound report BIRADS 4a and a tricot biopsy was taken with histological diagnosis of vascular lesion with atypia. It was decided to take the patient to a simple mastectomy, with a final report of breast angiosarcoma but with a margin compromised by a tumor for which she was reoperated. She received 33 cycles of radiotherapy and continued in follow-up for two years. During this period, the patient presented inflammatory changes in the surgical scar for which a punch biopsy was done with histological report of vascular atypical lesion. Surgical resection was performed with final report of negative pathology for residual angiosarcoma. Nowadays the patient continues imaging follow-up without evidence of a tumour relapse
Conclusion: Primary breast angiosarcomas are a rare malignant pathology, very aggressive regardless of its histological grade, for which it is important to perform a timely histological diagnosis and oncological treatment.
Keywords: Angiosarcoma, breast neoplasms, immunohistochemistry, mastectomy, radiotherapy.
Introducción
Los angiosarcomas de mama son neoplasias malignas derivadas del tejido mesenquimatoso, especialmente de las células endoteliales de los vasos sanguíneos, que distorsionan la arquitectura vascular 1. Son extremadamente raros, con una incidencia anual de 4,6 casos por millón de habitantes y representan menos del 1 % de los tumores malignos de la mama 2.
Usualmente se dividen en dos tipos, dependiendo de su origen: el angiosarcoma primario de mama, es una entidad que aparece de novo, sin antecedente de irradiación de la mama, que usualmente se presenta en edades tempranas (entre los 30 y 50 años), como una masa dentro del tejido parenquimatoso, sin cambios inflamatorios locales, mientras que el angiosarcoma secundario está relacionado a dos factores desencadenantes, haber recibido radiación en el tórax o en la mama (luego de 6 años) y linfedema crónico luego de un vaciamiento axilar, y es más frecuente entre los 60 y 70 años 2.
El diagnóstico clínico e imagenológico es poco conclusivo, por lo que se requiere realizar un estudio histopatológico completo de la lesión. Debido a esto, el manejo quirúrgico está indicado en todos los casos y, posteriormente, con el reporte histopatológico final se define el tratamiento adyuvante y el pronóstico.
El objetivo de este artículo fue describir el diagnóstico, tratamiento, evolución y seguimiento actual de una paciente con angiosarcoma primario de mama, ya que es una entidad con una incidencia muy baja, del 0,04 % 3. Se utilizó la metodología descrita en la guía CARE (Case REport) 4 para este reporte de caso.
Caso clínico
Paciente femenina de 49 años, sin antecedentes de importancia, quien consultó por cuadro clínico de 5 meses de evolución consistente en aparición de masa en el cuadrante supero externo de la mama izquierda, móvil, no dolorosa, sin cambios inflamatorios en la piel.
Se realizó ecografía de mama que informó lesión pseudonodular con componente quístico y ectasia ductal, con un área de 33x19x31 mm, en coordenadas 1,6 en mama izquierda, concluyendo una lesión BIRADS 4, por lo que se indicó una resonancia magnética con reporte de masa heterogénea, con contenido quístico y sólido, con marcado realce en región retro areolar. Ante la sospecha de angiosarcoma primario, se realizó biopsia trucut donde describieron lesión neoplásica de características vasculares con infiltración al tejido adiposo circundante, con marcadores de inmunohistoquímica positivos para CD31, CD34 e índice de proliferación KI 67 del 15 %, concluyendo lesión vascular atípica.
Los estudios de extensión, como gammagrafía ósea, tomografía de tórax y tomografía de abdomen, fueron negativos para lesiones compatibles con metástasis, entonces, se decidió llevar a cirugía y se le practicó mastectomía simple con preservación del complejo areola-pezón, con hallazgos intraoperatorios de masa de aproximadamente 1,5x1,5 cm móvil, sin retracción ni adherencias, localizada en el cuadrante superior externo de la mama izquierda, con coordenadas 2,4. Se logró resección macroscópica completa del tumor.
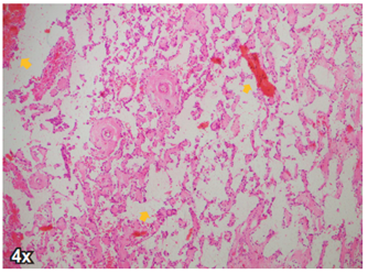
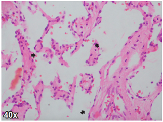
En el control a los 20 días del procedimiento quirúrgico, se entregó reporte de patología donde se confirmaba el diagnostico oncológico de angiosarcoma de mama de bajo grado, ya que en los cortes de hematoxilina y eosina se identificó una lesión tumoral constituida por canales vasculares anastomosados, extravasación de eritrocitos estromales y células endoteliales con hipercromasia nuclear leve (Figuras 1 y 2), con positividad para los marcadores de inmunohistoquimica CD34 y ERG (Figura 3). Adicionalmente, mencionaba que el margen anterior superficial de la pieza quirúrgica estaba en contacto con el tumor, por lo que se programó nuevamente a procedimiento quirúrgico para ampliación de márgenes, con reporte de patología libre de tumor.



Finalmente, se remitió a radioterapia para completar su manejo oncológico adyuvante, donde determinaron realizar radioterapia a nivel de reja costal izquierda con 5.000 cGy en fracciones de 200 cGy día y refuerzo a nivel de la cicatriz quirúrgica con 1.600 cGy con igual fraccionamiento. La paciente completó 33 sesiones de radioterapia y continuó seguimiento durante dos años, realizándose ecografía, mamografía y gammagrafía ósea, sin evidencia de recaída local o lesiones metastásicas.
Al finalizar este periodo de seguimiento, se identificó a nivel medial de la cicatriz del hemitórax izquierdo un área irregular de coloración violácea asociada a nódulo inframamario, por lo que se decidió realizar biopsia punch, con reporte patológico de proliferación de vasos sanguíneos, con células endoteliales con hipercromasia, sin atipia ni mitosis, marcadores de inmunohistoquímica positivos para CD31 y CD34, con KI 67 del 2 %, concluyendo lesión vascular atípica. En vista de este reporte asociado al antecedente de angiosarcoma de mama, se decidió resección quirúrgica del área comprometida, el cual se envió a patología donde no identificaron angiosarcoma residual.
Actualmente la paciente se encuentra en seguimiento clínico con exámenes físicos seriados e imágenes de rutina.
Discusión
El angiosarcoma primario de la mama es una neoplasia maligna que se origina del tejido conectivo, específicamente de las células endoteliales de los vasos sanguíneos, y ocasiona una masa multinodular difusa con contenido hemorrágico. Este crecimiento se ha visto relacionado con mutaciones en las proteínas PLCG1 y KDR, las cuales están relacionadas con la vía de señalización del VEGF R2 5, condicionando a que su localización sea profunda en el parénquima de la mama y no en el tejido celular subcutáneo.
Usualmente se presenta en mujeres jóvenes, entre los 40 y 60 años, y las características clínicas al examen físico son inespecíficas, identificándose zonas con hematomas, las cuales están asociadas a una masa de rápido crecimiento, bien definida, no dolorosa, de aproximadamente 5 cm en el momento del diagnóstico 5,6.
Las imágenes diagnósticas no son de gran utilidad. Por ejemplo, con la mamografía los resultados son difíciles de interpretar, condicionando falsos negativos, y en el caso de la ecografía, no hay hallazgos específicos que sugieran el diagnostico 7. Aunque estos dos estudios imagenológicos no muestran características que permitan confirmar la sospecha diagnóstica, se ha descrito que se puede realizar una resonancia magnética con medio de contraste, que en los angiosarcomas de bajo grado permite identificar un realce progresivo y en los de alto grado muestra un rápido realce, con una rápida eliminación del medio de contraste, lográndose identificar algunos vasos de drenaje, hallazgos que son más específicos para angiosarcoma 7,8.
A pesar de tener equipos que permiten determinar las características de la masa por imágenes, el diagnóstico definitivo no se puede realizar hasta tener un estudio histopatológico con tinción de hematoxilina-eosina y marcadores de inmunohistoquímica.
Entre las características morfológicas, usualmente se identifican anastomosis vasculares que disecan el tejido fibroadiposo y forman canales, los cuales pueden estar dilatados, comprimidos o angulados, dependiendo del componente sólido asociado. En cuanto a las características celulares, se observan células endoteliales, que pueden estar generando proyecciones asociadas a atipia, con núcleos hipercromáticos planos o redondos 5, lo que permite la estratificación del grado histológico; por ejemplo, los tumores de bajo grado están compuestos por anastomosis vasculares que únicamente disecan el tejido mamario, sin presentar múltiples capas de endotelio ni atipias, mientras que en los de grado intermedio se identifica múltiples capas de endotelio, las cuales pueden generar proyecciones dando imágenes de papilas, y, por último, en los de alto grado se evidencian las anastomosis vasculares, las cuales se encuentran mezcladas con componente sólido, con numerosas mitosis que se asocian a focos de hemorragia y necrosis 9. Aunque se pueda diferenciar en estos tres grados histológicos, su comportamiento es agresivo independientemente de cuál grado se identifique en el momento del diagnóstico.
En cuanto a los hallazgos de inmunohistoquímica, este tipo de tumor expresa marcadores endoteliales, como el marcador de membrana vascular endotelial CD31, CD34 y expresión nuclear de ERG 5.
Ante la sospecha de angiosarcoma primario o secundario de la mama, los pacientes deben ser sometidos a un procedimiento quirúrgico. En la literatura aún no se reporta cual es el abordaje quirúrgico más apropiado entre una terapia conservadora o mastectomía total. Sin embargo, sí se ha identificado que el objetivo del manejo quirúrgico es lograr la resección completa del tumor, con márgenes negativos, los cuales se definen como una distancia de más de 2 cm del tumor al margen periférico (resección R0) 10.
En relación con el vaciamiento axilar, aún no se ha planteado una recomendación para realizar resección de ganglios linfáticos axilares ya que la diseminación del tumor es por vía hematógena y las metástasis ganglionares son poco comunes 2,11.
Para los factores pronósticos de la enfermedad se ha concluido que, si bien el grado histológico no es importante para definir el pronóstico, algunos autores han mencionado que un alto grado histológico sumado al tamaño del tumor mayor a 5 cm y márgenes positivos al momento de la resección quirúrgica se asocian con mayores tasas de recaída y menos años de supervivencia libre de tumor 10. De aquí parte la importancia de realizar radioterapia para así garantizar el control local de la enfermedad, por lo que se ha propuesto usar dosis mayores de 4.800 cGy 3.
El riesgo de metástasis para sarcomas es de aproximadamente el 50 %, pero en la literatura no se ha descrito el beneficio o no de la quimioterapia en el angiosarcoma de mama, por lo que no se puede dar una recomendación apropiada en cuanto a esta alternativa terapéutica. Sin embargo, se ha demostrado que la quimioterapia con doxorrubicina e isofosfamida en paciente con tumores mayores de 5 cm y con reporte histopatológico de alto grado, logra reducir las tasas de recurrencia local y de diseminación sistémica 12.
Una vez se ha alcanzado el control tumoral completo con la resección quirúrgica y se ha decidido iniciar radioterapia y/o quimioterapia como tratamiento adyuvante, se recomienda que los pacientes se sometan a un seguimiento estricto durante los primeros dos años después de la cirugía, con examen físico e imágenes como resonancia magnética o tomografía del tórax en caso de haber realizado mastectomía total, debido a que el 80 % de las recurrencias tumorales o metástasis de la misma se identifican en este periodo. Las recomendaciones en cuanto a la frecuencia de esta vigilancia están dadas según el estadio tumoral, entonces, para los tumores estadio I, se recomienda historia y examen físico cada 3 a 6 meses en los primeros 2 años y luego cada año, de igual forma se indica toma de tomografía de tórax cada 6 a 12 meses, mientras que las recomendaciones para los estadios tumorales II y III, son realizar examen físico e historia clínica junto con tomografía de tórax cada 3 a 6 meses en los primeros 3 años, cada 6 meses por los siguientes 2 años y luego anualmente 11.
En el caso clínico mencionado se evidenciaron las dificultades diagnósticas que se tuvieron al inicio del proceso salud enfermedad de la paciente, en donde debido a los cambios al examen físico y los hallazgos imagenológicos inespecíficos se identificó la necesidad de realizar biopsia de la lesión para poder orientar el diagnóstico, obteniéndose reporte de angiosarcoma de mama. De acuerdo con lo encontrado en la literatura, la paciente fue llevada a resección quirúrgica e inicio de radioterapia adyuvante, con adecuada vigilancia postoperatoria con imágenes, donde se logró detectar una posible recaída, manejada quirúrgicamente con reporte de patología negativo para recurrencia de angiosarcoma.
Así, podemos evidenciar la complejidad de llegar al diagnóstico de esta enfermedad y que, independientemente de que su prevalencia sea muy baja, son estados patológicos a los cuales los cirujanos generales pueden estar expuestos. Este reporte de caso enfatiza la importancia de tener la sospecha diagnóstica, garantizando así que a pesar de que los hallazgos al examen físico y en las imágenes diagnósticas (como la ecografía y la mamografía) sean poco concluyentes, se deben utilizar los recursos histopatológicos a través de la realización de biopsias para poder definir la presencia de angiosarcoma de mama, principalmente en mujeres que no tienen antecedentes de exposición a radiación o vaciamiento ganglionar axilar, logrando así impactar en la calidad de vida y en el pronóstico a corto y mediano plazo en caso de presentarse esta patología.
Conclusión
El angiosarcoma primario de la mama es una enfermedad neoplásica rara, que ocurre en mujeres jóvenes quienes no han sido expuestas a manejo por radioterapia para cáncer de mama. A pesar de que el diagnóstico clínico es complejo, se debe tener una alta sospecha de la enfermedad para así lograr un diagnóstico oportuno y un tratamiento oncológico completo, que mejore la sobrevida global de la enfermedad y supervivencia libre de enfermedad.
Referencias
Argüelles-Perez O, Pérez-Martínez M, Pena-Cedeño A. Angiosarcoma primario de la mama. Rev Cubana Obstet Ginecol. 2013;39:53-62.
Abdou Y, Elkhanany A, Attwood K, Ji W, Takabe K, Opyrchal M. Primary and secondary breast angiosarcoma: single center report and a meta-analysis. Breast Cancer Res Treat. 2019;178:523-33. https://doi.org/10.1007/s10549-019-05432-4
Singh R, Chufal KS, Pahuja AK, Suresh T, Chowdhary RL, Ahmad I. Primary angiosarcoma of the breast: a radiation oncologist’s perspective with a concise review of the literature. BMJ Case Rep. 2019;12:e227036. https://doi.org/10.1136/bcr-2018-227036
Gagnier JJ, Kienle G, Altman DG, Moher D, Sox H, Riley D, et al. The CARE guidelines: Consensus-based clinical case report guideline development. J Clin Epidemiol. 2014;67:46-51. https://doi.org/10.1016/j.jclinepi.2013.08.003
Allison K, Brogi E, Ellis I, Fox S. WHO Classification of Tumours Editorial Board. Breast Tumours. 5th ed. Lyon France: World Health Organization; 2019.
Chugh R, Sabel MS, Feng M. Breast Sarcoma: epidemiology, risk factors, clinical presentation, diagnosis and staging. En: UpTodate, Post TW (Ed), Uptodate, Waltham, Ma. Fecha de consulta: 14 de junio del 2021. Disponible en: https://www.uptodate.com/contents/breast-sarcoma-epidemiology-risk-factors-clinical-presentation-diagnosis-and-staging/print
Varghese B, Deshpande P, Dixit S, Koppiker CB, Jalnapurkar N. Primary angiosarcoma of the breast: A case report. J Radiol Case Rep. 2019;13:15-25. https://doi.org/10.3941/jrcr.v13i2.3449
Yang OO, Lan T, He JL, Xu HB, Hao L, Shu C, et al. Magnetic resonance imaging and contrast-enhanced ultrasound findings of a recurrent primary breast angiosarcoma: A case report. Medicine (Baltimore). 2021;100:e24625. https://doi.org/10.1097/md.0000000000024625
Russo D, Campanino MR, Cepurnaite R, Gencarelli A, De Rosa F, Corvino A, et al. Primary high-grade angiosarcoma of the breast in a young woman with breast implants: A rare case and a review of literature. Int J Surg Pathol. 2020;28:906-12. https://doi.org/10.1177/1066896920924087
Arora TK, Terracina KP, Soong J, Idowu MO, Takabe K. Primary and secondary angiosarcoma of the breast. Gland Surg. 2014;3:28-34. https://doi.org/10.3978/j.issn.2227-684X.2013.12.03
Chugh R, Sabel M, Feng M. Breast sarcoma: treatment. En: UpTodate, Post TW (Ed), Uptodate, Waltham, Ma. Fecha de consulta: 14 de junio del 2021. Disponible en: https://www.uptodate.com/contents/breast-sarcoma-treatment
Gutkin PM, Ganjoo KN, Lohman M, von Eyben R, Charville GW, Nazerali RS, et al. Angiosarcoma of the breast: Management and Outcomes. Am J Clin Oncol. 2020;43:820-5. https://doi.org/10.1097/coc.0000000000000753
Notas
Notas de autor
aCorrespondencia: Jairo Esteban González-Apraez, Carrera 10 # 113-75 Apartamento 403, edificio Apolo I, Bogotá, D.C., Colombia. Teléfono: 3132840103. Dirección electrónica: gonzalez-je@javeriana.edu.co
Declaración de intereses