Presentación de caso
Obstrucción intestinal por vólvulo de ciego en paciente con malrotación intestinal asociado a situs ambiguous
Intestinal obstruction due to volvulus of the cecum in a patient with intestinal malrotation associated with situs ambiguous
Obstrucción intestinal por vólvulo de ciego en paciente con malrotación intestinal asociado a situs ambiguous
Revista Colombiana de Cirugía, vol. 38, núm. 1, pp. 182-187, 2023
Asociación Colombiana de Cirugía
Recepción: 13 Octubre 2021
Aprobación: 16 Enero 2022
Publicación: 28 Septiembre 2022
Resumen
Introducción: La oclusión intestinal, completa o incompleta, es uno de los cuadros de abdomen agudo más frecuentes. Constituye entre 20 % y 35 % de los ingresos urgentes en las áreas quirúrgicas hospitalarias.
Caso clínico: Se presenta el caso de un paciente con antecedente de carcinoma de próstata, que consultó con un cuadro de obstrucción intestinal y abdomen agudo. Se le diagnosticó vólvulo de ciego, malrotación intestinal y situs ambiguous. El tratamiento quirúrgico del paciente fue exitoso.
Conclusión: El conocimiento de estas condiciones patológicas es imprescindible para poder brindarle un correcto tratamiento quirúrgico y disminuir la mortalidad que pueden acarrear.
Palabras clave: Abdomen agudo+ obstrucción intestinal+ vólvulo intestinal+ ciego+ anomalías congénitas+ situs inversus.
Abstract
Introduction: Complete or incomplete intestinal obstruction is one of the most frequent acute abdomen conditions. It constitutes between 20% and 35% of the urgent admissions of hospital surgical areas.
Clinical case: We present a case of a patient with a history of prostate carcinoma, who began with clinical symptoms of intestinal obstruction and acute abdomen. He was diagnosed with volvulus of the cecum, intestinal malrotation, and situs ambiguous. Surgical treatment of the patient was successful.
Conclusion: Knowledge of these pathological conditions is essential to be able to provide correct surgical treatment and reduce the mortality that these can lead to.
Keywords: Acute abdomen, intestinal obstruction, intestinal volvulus, cecum, congenital abnormalities, situs inversus.
Introducción
Se define la obstrucción intestinal como un bloqueo al paso de alimentos y líquidos a través del intestino delgado o del colon. Son múltiples las patologías que pueden debutar con clínica de oclusión intestinal, siendo entre ellas las más frecuentes las adherencias posquirúrgicas abdominales o pélvicas, las hernias y las eventraciones complicadas y los tumores del tracto gastrointestinal. Sin embargo, en el diagnóstico diferencial existen otras etiologías infrecuentes, entre las que se encuentran las constricciones intestinales producidas por afecciones como la enfermedad de Crohn, diverticulitis, vólvulo y malformaciones congénitas.
La obstrucción intestinal debe ser diferenciada de la pseudoobstrucción intestinal, o íleo paralítico, que puede causar signos y síntomas de obstrucción, pero no implica un bloqueo físico. En el íleo paralítico, la afectación se localiza en los músculos o nervios que interrumpen las contracciones musculares coordinadas normales del aparato digestivo, lo que disminuye o detiene el recorrido del contenido intestinal. El íleo paralítico puede afectar cualquier parte del intestino, y entre sus causas figuran la cirugía abdominal o pélvica en su período postquirúrgico temprano, infecciones, ciertos medicamentos como los antidepresivos y los opioides, y trastornos musculares y del sistema nervioso, como la enfermedad de Parkinson.
La falta de tratamiento quirúrgico oportuno en la obstrucción intestinal puede causar complicaciones serias, potencialmente fatales, incluidas la perforación intestinal y la peritonitis.
El caso clínico que se presenta a continuación posee tres elementos que pueden causar obstrucción intestinal, entre ellos, vólvulo de colon, situs ambiguous (situs inversus abdominal) y malrotación intestinal, lo que por su rareza motivó a los autores a su presentación.
Caso clínico
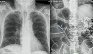
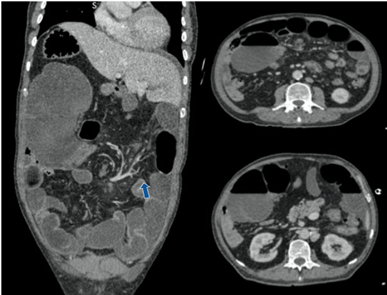
Se trata de un varón de 72 años, con antecedente de prostatectomía radical en 2019 por carcinoma de próstata, complicada con perforación iatrogénica de recto que requirió colostomía, con posterior reconstrucción del tránsito en un segundo tiempo quirúrgico. Se encontraba recibiendo radioterapia por recaída, cuando acude a urgencias por presentar dolor abdominal intenso, localizado en fosa iliaca derecha, asociado a cese de expulsión de heces y gases. Durante el examen físico al momento del ingreso el paciente se encontraba hemodinámicamente normal y estable, afebril, con abdomen distendido y timpánico, doloroso a la palpación profunda en hemiabdomen derecho. En el tacto rectal presentaba la ampolla rectal vacía. Se completó el estudio mediante analítica e imágenes diagnósticas, a saber: radiografía de tórax, que mostró ubicación cardíaca habitual con una discreta cardiomegalia, radiografía de abdomen, en la que se observaba marcada dilatación del marco cólico con ausencia de gas en ampolla rectal en relación con obstrucción intestinal (Figura 1), y tomografía (TC) abdominal, donde se informó situs inversus, marcada dilatación de ciego en hipocondrio derecho, con ingurgitación de vasos y signo del remolino, acompañado de hallazgos sugestivos de un patrón de oclusión a nivel de íleon distal, junto con líquido libre de localización perihepática, periesplénica y pélvica (Figura 2).


Tras dicha valoración se indicó intervención quirúrgica urgente a través de laparotomía mediana supra-infraumbilical, hallando líquido libre seroso, situs inversus abdominal junto con malrotación intestinal IIIB1 donde el colon estaba situado en el hemiabdomen izquierdo y el intestino delgado en el derecho, acompañado de obstrucción intestinal por vólvulo de ciego sobre el eje de la válvula ileocecal. Al constatarse la viabilidad tisular del ciego, se practicó apendicectomía y cecostomía aspirativa a través de la base apendicular. Se decidió realizar resección ileocecal, ya que el ciego presentaba áreas de deserosamiento, y reconstrucción del tránsito mediante anastomosis ileocólica laterolateral con sutura mecánica (Figura 3).

El paciente recuperó el tránsito intestinal al tercer día posoperatorio, pero posteriormente desarrolló un cuadro suboclusivo progresivo, que por su persistencia requirió reintervención quirúrgica con hallazgos de severa peritonitis plástica no infecciosa. Se practicó lisis de múltiples adherencias, con posterior evolución tórpida, pero sin complicaciones hasta el momento de su alta.
Discusión
Este caso clínico es de interés ya que el paciente acude con tres patologías poco frecuentes que suelen presentarse como un cuadro de abdomen agudo: vólvulo de colon, situs ambiguous (situs inversus abdominal) y malrotación intestinal.
El término vólvulo se deriva de la palabra latina volvere, que significa rodar o girar. El vólvulo de colon es poco frecuente, representando menos del 5 % de todas las obstrucciones en Estados Unidos, siendo más frecuente el vólvulo de sigma, seguido por el vólvulo de ciego (25-40 %). Es la tercera causa de obstrucción intestinal, luego del cáncer colorrectal y la diverticulitis complicada. En nuestro caso, la etiología del vólvulo se relacionó con predisposiciones anatómicas secundarias al fallo de la fijación parietal de la región ileocecal durante el desarrollo embriológico2. Aunque es común a todos los casos de vólvulo colónico, el estreñimiento crónico, la dieta rica en fibra, el uso frecuente de laxantes y los antecedentes de laparotomía pueden dar lugar a tasas ligeramente elevadas de vólvulo cecal3. Otros factores de riesgo incluyen embarazo, cirugía pélvica, colonoscopia y laparoscopia previa3,4.
Hay dos tipos anatómicos distintos de vólvulo cecal: rotación axial en sentido horario de la región ileocecal alrededor de su mesenterio, y plegamiento anterosuperior del ciego sin rotación axial, a menudo conocido como vólvulo cecal basculante3,5. El tipo de rotación axial de vólvulo cecal es más común (80 %), mientras que el ciego basculante solo ocurre entre el 5 % y el 20 % de los casos6,7. Aunque la báscula cecal es rara, es el tipo más favorable porque causa menos compromiso vascular ya que no existe una verdadera torsión mesentérica.
El tratamiento indicado para el vólvulo de ciego consiste en la resección ileocecal con anastomosis laterolateral, evitando realizar una detorsión y colopexia sin resección, al asociarse a una morbilidad y mortalidad significativas3,8.
El término situs hace referencia a la posición del corazón, vísceras y grandes vasos en relación con la línea media, de modo que situs solitus se refiere a la posición normal de los órganos mientras que situs inversus indica que existe una configuración en espejo respecto al situs solitus. Existen dos grandes categorías: situs inversus con dextrocardia, también llamada situs inversus totalis, o con levocardia, y situs ambiguous (SAMB), que se define como un cambio en la lateralidad visceral, que no implica a todas las vísceras y habitualmente consiste en un situs inversus abdominal acompañado de levocardia.
Las anomalías del situs son muy raras en la población adulta. Se ha reportado una prevalencia de situs inversus de 0,01 % en Estados Unidos, y solo series de casos clínicos de situs ambiguous9. Esta variación anatómica puede ir acompañada de asplenia o de poliesplenia, también llamados esplénulos, característica importante a la hora de plantear tanto un tratamiento médico como quirúrgico en los pacientes que presenten dicha variante anatómica2. En nuestro caso, el paciente presentaba un único bazo situado en el hipocondrio derecho, por lo que basado en la clasificación de Fulcher10 debe ser considerado como SAMB con poliesplenia, cuya presentación es poco frecuente.
Por su parte, la malrotación intestinal se trata de una malformación congénita que afecta hasta el 1 % de la población. Aproximadamente el 90 % de los casos se diagnostican en edad pediátrica. Se produce debido a un fallo en la rotación intestinal y su fijación retroperitoneal durante el desarrollo embrionario. El examen de elección para diagnosticar la malrotación intestinal continúa siendo el tránsito intestinal, con una sensibilidad del 93 al 100 % y una especificidad cercana al 85 %, aunque la sensibilidad para el diagnóstico de vólvulo es solo del 53 %.
Durante la intervención quirúrgica de estos pacientes, se indica realizar la cirugía de Ladd, que consta de resolución del cuadro abdominal agudo, generalmente un vólvulo, acompañado o no de isquemia intestinal, sección de las bandas de Ladd y apendicectomía, si el apéndice tiene una ubicación no habitual2.
Conclusión
Las variantes anatómicas descritas son sumamente infrecuentes en la población. El vólvulo intestinal, independientemente de su ubicación, es un proceso patológico poco frecuente, que requiere de una alta sospecha y un diagnóstico oportuno dada la frecuencia de necrosis intestinal y mortalidad. Una vez realizado el diagnóstico de vólvulo intestinal, se debe hacer una reanimación adecuada, ya que la mayoría de los pacientes con vólvulo requieren intervención quirúrgica. La isquemia mesentérica causada por malrotación intestinal también es infrecuente. Sin embargo, es de suma importancia conocer y sospechar la malrotación intestinal como otra posible causa. Por otro lado, la mayor disponibilidad de los métodos de imágenes nos ha demostrado que los SAMB no son exclusivos de la edad pediátrica. Sin embargo, el conocimiento de estas y del tratamiento quirúrgico adecuado reducirán la morbimortalidad que pueden acarrear en los pacientes.
Referencias
Gil-Romea I, Moreno-Mirallas MJ, Deus-Fombellida J, Mozota-Duarte J, Garrido-Calvo A, Rivas-Jiménez M. Obstrucción intestinal. Med Integ. 2001;38:52-6.
Velaz-Pardo L, Pastor-Bonel T, Lizarazu-Pérez A, Arteaga-Martín X, Petrone P. Malrotación intestinal en adultos: causa infrecuente de obstrucción intestinal. Rev Colomb Cir. 2019;34:287-91. https://doi.org/10.30944/20117582.444
Perrot L, Fohlen A, Alves A, Lubrano J. Management of the colonic volvulus in 2016. J Visc Surg. 2016;153:183-92. https://doi.org/10.1016/j.jviscsurg.2016.03.006
Chung YF, Eu KW, Nyam DC, Leong AF, Ho YH, Seow-Choen F. Minimizing recurrence after sigmoid volvulus. Br J Surg. 1999;86:231-3. https://doi.org/10.1046/j.1365-2168.1999.01034.x
Gingold D, Murrell Z. Management of colonic volvulus. Clin Colon Rectal Surg. 2012;25:236-44. https://doi.org/10.1055/s-0032-1329535
Lung BE, Yelika SB, Murthy AS, Gachabayov M, Denoya P. Cecal bascule: A systemic review of the literature. Tech Coloproctol. 2018;22:75-80. https://doi.org/10.1007/s10151-017-1725-6
Haskin PH, Teplick SK, Teplick JG, Haskin ME. Volvulus of the cecum and right colon. JAMA. 1981;245:2433-5.
Bauman ZM, Evans CH. Volvulus. Surg Clin N Am. 2018;98:973-93. https://doi.org/10.1016/j.suc.2018.06.005
Corral G, Labra A, Schiappacasse G. Manifestaciones abdominales de las anomalías del Situs Ambiguous en el adulto. A propósito de 4 casos. Rev Chil Radiol. 2013;19:38-43. http://dx.doi.org/10.4067/S0717-93082013000100007
Fulcher AS, Turner MA. Abdominal manifestations of situs anomalies in adults. Radiographics. 2002;22:1439-56. https://doi.org/10.1148/rg.226025016
Notas
Notas de autor
aCorrespondencia: Patrizio Petrone, MD, PhD, MPH, MHSA, MAAC, FACS, Associate Professor of Surgery, NYU Long Island School of Medicine, Director of Surgical Research, Department of Surgery, NYU Langone Hospital-Long Island, 222 Station Plaza N., Suite 300, Mineola, New York 11501 - USA. Teléfono: +1 (516) 663-9571. Dirección electrónica: patrizio.petrone@gmail.com; patrizio.petrone@nyulangone.org
Declaración de intereses