Imágenes en Cirugía
Infarto del omento: tratamiento por laparoscopia
Infarction of the omentum: Laparoscopic treatment
Infarto del omento: tratamiento por laparoscopia
Revista Colombiana de Cirugía, vol. 38, núm. 2, pp. 354-356, 2023
Asociación Colombiana de Cirugía
Recepción: 26 Noviembre 2022
Aprobación: 13 Enero 2023
Publicación: 23 Enero 2023
Palabras clave: Epiplón, infarto, necrosis, dolor abdominal, cirugía, laparoscopía
Keywords: Omentum, infarction, necroasis, abdominal pain, surgery, laparoscopy
Presentación del caso
Hombre de 34 años, fumador, que consulta por cuadro de dolor en flanco derecho de 24 horas de evolución, sin síntomas acompañantes ni fiebre. Al examen se destaca un abdomen blando, depresible, con dolor a la palpación superficial y profunda del flanco derecho. Los exámenes de laboratorio sin alteraciones. La ecografía abdominal descartó elementos patológicos.
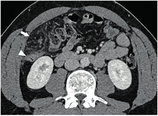
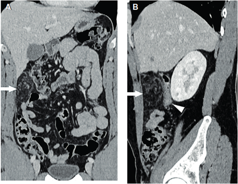
Ante la persistencia del dolor se decidió complementar los estudios con tomografía computarizada de abdomen con y sin contraste intravenoso (Figuras 1 y 2) donde se aprecia infarto del omento, para lo que se inicia tratamiento médico conservador. Luego de 24 horas aumenta el dolor abdominal, por lo que se realiza laparoscopia exploradora. En el intraoperatorio, se confirma necrosis del sector superior derecho del epiplón mayor; se realiza la resección con ligasure® (Figura 3). Tuvo buena evolución posoperatoria, dando de alta a las 48 horas. La anatomía patológica confirmó el diagnóstico de infarto omental.



Discusión
El infarto del omento es responsable pocas veces de dolor abdominal1. La porción más afectada es la derecha, debido a su mayor tamaño y movilidad2.
El infarto se produce por dos mecanismos, la trombosis en estados de hipercoagulabilidad o las anomalías vasculares3. La etiología puede ser primaria, sin patología subyacente, o secundaria a un proceso patológico que hace de punto de “anclaje” distal del omento (quistes, tumores, focos inflamatorios intrabdominales, heridas quirúrgicas o sacos herniarios con epiplón en su interior)2.
El diagnóstico clínico es difícil; se realiza en base a los estudios imagenológicos (como en nuestro paciente) o hallazgos intraoperatorios.
El tratamiento puede ser conservador (85 % de los casos)4, con excelentes resultados, o quirúrgico5, con una rápida resolución del cuadro doloroso, evitando complicaciones, como formación de colecciones y adherencias. La cirugía laparoscópica es de utilidad en el diagnóstico y la terapéutica5.
Referencias
Criado-Martin I, Andrino-Díaz NF, López-Dóriga Bonnardeaux P. Infarto de omento: una causa inusual de abdomen agudo. Rev Esp Geriatr Gerontol. 2018;53:114-8. https://doi.org/10.1016/j.regg.2017.06.003
Zuluaga-Santamaría A, Grand-Vallejo V, Llamas-Otero R, Uribe-Gonzalez R. Infarto del omento mayor: a propósito de un caso. Rev Colomb Radiol. 2018;29:4880-6.
Amo-Alonso R, De la Peña-Cadenato J, Loza-Vargas A, Santos-Santamarta F, Sánchez-Ocaña Hernández R, Arenal-Vera JJ. Infarto de epiplón mayor. Caso clínico. Rev Esp Enferm Dig. 2015;107:706-7. https://doi.org/10.17235/reed.2015.3754/2015
Medina-Gallardo NA, Curbelo-Peña Y, Gardenyes-Martinez J, Stickar T, De Castro-Gutiérrez J, Hermoso-Bosch J, Vallverdú-Cartie H. Infarto de omento mayor. Presentación de dos casos con un tratamiento conservador. Acta Gastroenterol Latinoam. 2020;50:355-9.
Diab J, Badiani S, Berney CR. Diagnosis and management of adult omental infarction: 10-year case series. World J Surg. 2021;45:1734-41. https://doi.org/10.1007/s00268-021-06043-1
Notas
Notas de autor
aCorrespondencia: Patricia López-Penza, Perseo, Maldonado, Uruguay. Teléfono: (+59) 899927826. Dirección electrónica: patricialopezpenza@hotmail.com
Declaración de intereses