Presentación de Caso
Síndrome pilórico en un body packer
Pyloric syndrome in a body packer
Síndrome pilórico en un body packer
Revista Colombiana de Cirugía, vol. 38, núm. 2, pp. 374-379, 2023
Asociación Colombiana de Cirugía
Recepción: 03 Enero 2022
Aprobación: 26 Enero 2022
Publicación: 06 Diciembre 2022
Resumen
Introducción: El embalaje y transporte de estupefacientes dentro del organismo, o body packing, es una práctica frecuente en Centroamérica y el Caribe. Además del riesgo de muerte por la exposición a las sustancias tóxicas, existe el riesgo de complicaciones mecánicas con indicación de manejo quirúrgico. El Hospital de Engativá, por su cercanía al aeropuerto de Bogotá, D.C., Colombia, es el centro de referencia para el tratamiento de estos pacientes.
Caso clínico: Un hombre de 65 años traído al hospital por un episodio emético con expulsión de cuatro cápsulas para el transporte de estupefacientes. Al examen físico se encontraron masas palpables en el hemiabdomen superior, sin abdomen agudo. La tomografía de abdomen informó un síndrome pilórico secundario a retención gástrica de cuerpos extraños. Fue llevado a laparotomía y gastrotomía logrando la extracción de 97 objetos cilíndricos de látex que contenían sustancias ilícitas.
Discusión: En los body packer asintomáticos, la administración de soluciones laxantes es una estrategia terapéutica segura. Los casos reportados de obstrucción gastrointestinal son infrecuentes y se relacionan con la ingesta de un gran número de cápsulas, por lo que es necesario el tratamiento quirúrgico.
Conclusión: El síndrome pilórico es una presentación infrecuente en un body packer. Se debe tener un alto índice de sospecha para garantizar un manejo oportuno.
Palabras clave: Transporte intracorporal de contrabando+ obstrucción de la salida gástrica+ laparotomía+ body packing.
Abstract
Introduction: Packaging and transportation of narcotic drugs inside a human body, or body packing, is a frequent practice in Central America and the Caribbean. In addition to the risk of death due to exposure to toxic substances, there is a risk of mechanical complications with an indication for surgical management. The Engativá Hospital, due to its proximity to the airport in Bogotá, D.C., Colombia, is the reference center for the treatment of these patients.
Clinical case: A 65-year-old man brought to the hospital for an emetic episode with expulsion of four narcotic transport capsules. Physical examination revealed palpable masses in the upper abdomen, without an acute abdomen. Abdominal tomography revealed pyloric syndrome secondary to gastric retention of foreign bodies. He was taken to laparotomy and gastrotomy, achieving the extraction of 97 cylindrical latex objects that contained illicit substances.
Discussion: In asymptomatic body packers, the administration of laxative solutions is a safe therapeutic strategy. Reported cases of gastrointestinal obstruction are infrequent and are related to the ingestion of a large number of capsules, for which surgical treatment is necessary.
Conclusion: Pyloric syndrome is an uncommon presentation in body packers. A high index of suspicion is required to ensure timely management.
Keywords: Contraband intracorporeal transportation, gastric outlet obstruction, laparotomy, body packing.
Introducción
El narcotráfico y el uso de sustancias ilícitas es una problemática creciente y representa cerca del 1 % de la actividad económica global 1. América Latina y África son dos de las principales regiones de origen, con destino a Norteamérica y Europa occidental en la gran mayoría de los casos 2 y la prevalencia de consumo en la población adulta se estima en 7 % 1.
Cada año se transportan cerca de 650 toneladas de cocaína en el Caribe 3. Existen diferentes modalidades de transporte intracorporal de contrabando de sustancias ilícitas entre las cuáles se describe el “body packing”, que se refiere a ocultar drogas empaquetadas en cápsulas de diferentes presentaciones dentro del tracto gastrointestinal, y el “body pushing” que consiste en la introducción de estos paquetes dentro de orificios corporales incluyendo la vagina, el ano y el conducto auditivo externo 1,4.
Debido a un mayor control aeroportuario, cada vez es más frecuente detectar el contrabando por ocultamiento interno 5. Por su proximidad al aeropuerto internacional de Bogotá, D.C., Colombia, el Hospital de Engativá se ha convertido en centro de referencia para la atención de “body packers”. El porcentaje de casos que son descubiertos durante la atención médica de urgencia no es despreciable y puede atribuirse a complicaciones relacionadas con la ruptura intraluminal de los paquetes o con la cantidad de paquetes ingeridos 1.
El síndrome del “body packer” es una entidad clínica con una prevalencia cercana al 5 %, caracterizada por intoxicación aguda u obstrucción intestinal secundarias a la ingesta de paquetes con sustancias ilícitas 1,5. El riesgo de desarrollar estas complicaciones está directamente relacionado con el tipo de droga, el tamaño y la calidad de los paquetes y el tiempo que permanezcan dentro del tracto gastrointestinal 6. En viajes extensos es frecuente el uso de agentes antiperistálticos para prolongar el tiempo del tránsito intestinal, que en condiciones normales es de aproximadamente 30 horas 5,7.
La incidencia de obstrucción intestinal en “body packers” es aproximadamente el 5 % 3. La zona más frecuente de obstrucción es el intestino delgado, con muy pocos casos reportados a nivel gástrico 6,8. El objetivo de este artículo fue describir el caso de un hombre con síndrome pilórico secundario a la ingesta de 101 paquetes para el transporte de sustancias ilegales y presentar las principales consideraciones sobre el abordaje terapéutico del “body packing”.
Caso clínico
Hombre de 65 años, con antecedente de hipertensión arterial y diabetes mellitus tipo 2, que fue traído por la autoridad local al servicio de urgencias del Hospital de Engativá en Bogotá, D.C., Colombia, por la ingesta de 101 cápsulas para el transporte de narcóticos 15 horas atrás. Previo al ingreso, el paciente sufrió un episodio emético con la expulsión de cuatro cápsulas. Al examen físico no se encontraron alteraciones hemodinámicas ni signos de intoxicación aguda; sólo presentaba masas palpables en el hemiabdomen superior, sin signos de irritación peritoneal.
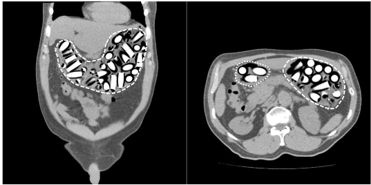
La radiografía de abdomen al ingreso mostró múltiples imágenes radiopacas en el marco cólico sugestivas de cuerpos extraños (Figura 1). Se solicitó una tomografía computarizada (TC) de abdomen con contraste en la cual se describieron hallazgos compatibles con síndrome pilórico secundario a retención gástrica de cuerpos extraños, sin evidencia de tránsito hacia distal (Figura 2). Fue llevado a laparotomía exploratoria identificando marcada distensión de la cámara gástrica; se realizó una gastrotomía y extracción sin complicaciones de 97 cuerpos extraños de látex en forma de dedo con pérdida del recubrimiento de parafina (Figura 3).



Al segundo día postoperatorio fue dado de alta, con reingreso temprano a las 48 horas por cambios inflamatorios locales a nivel de la herida quirúrgica, sin datos de respuesta inflamatoria sistémica. Se realizó estudio tomográfico de control en el que se descartaron colecciones intraabdominales. Se consideraron hallazgos compatibles con infección de sitio operatorio superficial por lo que se indicó manejo con curaciones, ciprofloxacina y metronidazol oral, con una adecuada respuesta.
Discusión
La mayoría de los “body packers” son asintomáticos. La probabilidad de presentar manifestaciones clínicas y de ser identificados en imágenes se incrementa con el número de cápsulas ingeridas 1. La ingesta promedio es de 70 paquetes entre 0,8 y 5 cm, pero existen algunos reportes de ingesta de hasta 200 paquetes 1,2,5.
Cada paquete puede contener entre 2 y 10 gr de sustancia 5, es decir que en promedio, una persona puede transportar entre 1 y 2 kg de narcóticos 7. La sustancia más frecuentemente encontrada es cocaína, seguida por heroína, cannabis y drogas sintéticas 1. Las características del embalaje son variables y los paquetes pueden ser de látex, goma o celofán 6; en Colombia, se lleva a cabo un proceso de manufactura de alta calidad que involucra envoltorios elaborados con condones o dedos de guantes de látex recubiertos con celofán y sumergidos en parafina 2,4,7. Cuanto mayor tiempo permanezcan los paquetes en la cavidad hay mayor probabilidad de degradación de la envoltura con síntomas sistémicos de intoxicación 5,6.
Mandava y cols. 2 evaluaron 1250 sujetos detenidos en la aduana de un aeropuerto internacional entre 1993 y 2005, entre quienes los síntomas más frecuentes fueron cambios en el estado mental, dolor abdominal, vómito, dolor torácico, hematoquecia y retención prolongada de los cuerpos extraños.
La radiografía simple es la herramienta más importante para la detección, con una sensibilidad entre 40-90 % dependiendo del tipo y pureza de la droga, material del paquete, tamaño, localización y número de paquetes 1,5,7; la especificidad puede ser tan alta como del 97 % 5. Los signos radiográficos que pueden identificarse incluyen: múltiples cuerpos extraños radiopacos y signos de “doble condón”, “tic tac”, paralelismo, envoltura hiperdensa o multiplicidad de cuerpos extraños con aire atrapado entre ellos 1,4,5.
En caso de diagnóstico inconcluso con alta sospecha clínica, la TC de abdomen puede ser de gran utilidad con una sensibilidad y especificidad superiores al 95 % 5. La TC simple puede brindar más información, teniendo en cuenta que el medio de contraste puede interferir con la visualización de los paquetes 5,7. Dependiendo de la pureza del narcótico existen diferentes patrones de atenuación; la cocaína que constituye la sustancia más frecuentemente transportada, por lo general es isodensa con la materia fecal, mientras que la marihuana suele ser hiperdensa y la heroína hipodensa 5.
En los pacientes sintomáticos deben evitarse las maniobras que aceleren el tránsito intestinal porque puede incrementar el riesgo de ruptura 7, teniendo en cuenta que hasta el 23 % cursan con una patología subyacente que explica la obstrucción 3. Un estudio observacional retrospectivo llevado a cabo en España entre 2000 y 2008 6 describió una serie de “body packers” sintomáticos que precisaron ingreso hospitalario; todos fueron manejados de forma expectante con reposo gastrointestinal, seguimiento radiográfico y de tóxicos en orina cada 24 horas, hasta la expulsión completa del material ingerido.
Los pacientes asintomáticos fueron excluidos del estudio, retornando a custodia de las autoridades después del diagnóstico; esta población recibió durante su estancia en el departamento de Urgencias enemas o laxantes únicamente 6.
El tratamiento conservador fue exitoso en 95 % de los pacientes con un tiempo promedio de estancia hospitalaria de siete días. En 5 % de los casos se describieron complicaciones graves atribuibles a intoxicación por cocaína (2 %) y obstrucción intestinal (3 %). El 4,1 % requirieron manejo quirúrgico con un tiempo promedio de estancia más prolongado (17 días). La tasa de mortalidad global fue de 0,4 %, que alcanzó el 7,4 % entre los pacientes que presentaron complicaciones 6.
En el estudio de Mandava 2, el 45 % de los pacientes requirieron manejo quirúrgico, siendo la presencia de paquetes en el tracto digestivo proximal uno de los principales predictores de falla terapéutica del tratamiento conservador.
De acuerdo con lo anterior, el manejo quirúrgico debe reservarse únicamente para casos de obstrucción intestinal, sospecha de perforación, hemorragia digestiva o intoxicación aguda grave con probabilidad de ruptura de los paquetes 2,5,6,8. Existe controversia respecto a la indicación de cirugía en pacientes con falla en la expulsión de los paquetes después de un periodo determinado de observación, pero algunas publicaciones consideran que después de cuatro o cinco días sin obtener resultados, se debe realizar cirugía teniendo en cuenta que, el contacto prolongado con la mucosa intestinal favorece la absorción de la droga a través de la membrana semipermeable e incrementa el riesgo de ruptura 2-5.
La evacuación quirúrgica se puede realizar mediante una gastrotomía, enterotomía o incisión en el colon; en muy pocos casos se requieren resecciones o derivaciones intestinales 3. Los paquetes alojados en el tracto digestivo distal se pueden recuperar por vía transrectal, evitando la incisión en el colon 2.
La principal causa de morbilidad es la infección del sitio operatorio que, en casos de enterotomías distales y dependiendo de su número, puede ser tan alta como del 40 %. 3,8.
Conclusión
El “body packing” es una causa infrecuente de obstrucción intestinal. Son escasos los reportes que describen la ingesta de más de 90 cápsulas o el síndrome pilórico como causa de obstrucción intestinal. El manejo conservador con soluciones laxantes en pacientes asintomáticos y la observación en sintomáticos es una estrategia terapéutica segura, sin embargo, el transporte masivo incrementa el riesgo de complicaciones relacionadas con intoxicación aguda u obstrucción mecánica con alta probabilidad de requerir extracción quirúrgica.
Referencias
Berger FH, Nieboer KH, Goh GS, Pinto A, Scaglione M. Body packing: a review of general background, clinical and imaging aspects. Radiol Med. 2015;120:118-32. https://doi.org/10.1007/s11547-014-0458-0
Mandava N, Chang RS, Wang JH, Bertocchi M, Yrad J, Allamaneni S, et al. Establishment of a definitive protocol for the diagnosis and management of body packers (drug mules). Emerg Med J. 2011;28:98-101. https://doi.org/10.1136/emj.2008.059717
De Beer SA, Spiessens G, Mol W, Fa-Si-Oen PR. Surgery for body packing in the Caribbean: a retrospective study of 70 patients. World J Surg. 2008;32:281-5. https://doi.org/10.1007/s00268-007-9316-8
Mercado MF, Ensuncho CR, Posada JC. Tratamiento médico del “body packer” entre los años 2014 y 2016 en un hospital universitario del caribe colombiano. Rev Colomb Cirug. 2018;33:265-71. https://doi.org/10.30944/20117582.71
Reginelli A, Russo A, Urraro F, Maresca D, Martiniello C, D’Andrea A, et al. Imaging of body packing: errors and medico-legal issues. Abdom Imaging. 2015;40:2127-42. https://doi.org/10.1007/s00261-015-0469-x
Álvarez-Llano L, Rey-Valcárcel C, Mohamed-Al-Lal Y, Sánchez-Rodríguez T, García-Marín A, Pérez-Díaz MD, et al. Complicaciones quirúrgicas en los body-packers: una urgencia infrecuente pero potencialmente letal. Cir Esp. 2012;90:595-600. https://doi.org/10.1016/j.ciresp.2012.02.005
Hassanian-Moghaddam H, Amraei F, Zamani N. Management recommendations for body stuffers at emergency units. Arch Hig Rada Toksikol. 2019;70:90-6. https://doi.org/10.2478/aiht-2019-70-3199
Álvarez-Llano L, Rey-Valcalcel C, Al-Lal YM, Pérez-Díaz MD, Stafford A, Turégano-Fuentes F. The role of surgery in the management of “body packers”. Eur J Trauma Emerg Surg. 2014;40:351-5. https://doi.org/10.1007/s00068-014-0388-5
Notas
Notas de autor
aCorrespondencia: Laura Camila González-Villarreal, Carrera 78 # 128 - 90 Bogotá, D.C., Colombia, Teléfono: +57 3134301098, Dirección electrónica: lgonzalezvi@unal.edu.co