Presentación de Caso
Tumor inflamatorio miofibroblástico gastrointestinal. Reporte de caso
Gastrointestinal myofibroblastic inflammatory tumor. Case report
Tumor inflamatorio miofibroblástico gastrointestinal. Reporte de caso
Revista Colombiana de Cirugía, vol. 38, núm. 3, pp. 536-540, 2023
Asociación Colombiana de Cirugía
Recepción: 05 Marzo 2021
Aprobación: 22 Mayo 2021
Publicación: 26 Abril 2023
Resumen
Introducción.: El tumor miofibroblástico inflamatorio es una enfermedad proliferativa rara, de etiología incierta, caracterizada por la proliferación de miofibroblastos epitelioides o fusionados mezclados con células inflamatorias, predominantemente mononucleares. En general se considera una lesión benigna, aunque en algunos casos esta neoplasia ha mostrado un comportamiento agresivo en cuanto a recidiva local y metástasis. El tratamiento definitivo es la resección quirúrgica completa.
Caso clínico.: Paciente de 67 años con dos meses de evolución de fiebre y masa abdominal, en quien se realizó una tomografía computarizada de abdomen que identificó una lesión de aspecto infiltrativo tumoral, comprometiendo la grasa retroperitoneal en la transcavidad de los epiplones. Por vía percutánea se tomó una biopsia que informó un pseudotumor inflamatorio retroperitoneal. Fue llevado a cirugía radical abdominal, con patología quirúrgica final que describió un tumor miofibroblástico inflamatorio de compromiso multifocal, adherido a la serosa del estómago e intestino delgado, sin compromiso muscular.
Discusión.: El tumor inflamatorio miofibroblástico es una entidad rara, de etiología por esclarecer y difícil diagnóstico. Presentamos el caso clínico de un paciente con tumor inflamatorio miofibroblástico gastrointestinal.
Conclusión.: Se describe el caso clínico de un paciente con un tumor inflamatorio miofibroblástico gastrointestinal, de presentación rara en nuestro medio. Es importante la comparación con casos similares para poder hacer conclusiones útiles en la práctica clínica.
Palabras clave: Neoplasias gastrointestinales+ tracto gastrointestinal+ fibroblastos+ seudotumor+ reporte de caso.
Abstract
Introduction.: Inflammatory myofibroblastic tumor is a rare proliferative disease of uncertain etiology, characterized by the proliferation of epithelioid or fused myofibroblasts mixed with predominantly mononuclear inflammatory cells. In general, it is considered a benign lesion, although in some cases this neoplasm has shown aggressive behavior in terms of local recurrence and metastasis. The definitive treatment is complete surgical resection.
Clinical case.: A 67-year-old patient with a two-month history of fever and an abdominal mass underwent a computed tomography scan of the abdomen that identified an infiltrative tumor, compromising the retroperitoneum fat in the lesser cavity. A biopsy was taken percutaneously, which reported a retroperitoneal inflammatory pseudotumor. He was taken to radical abdominal surgery, with final surgical pathology describing an inflammatory myofibroblastic tumor with multifocal involvement attached to the serosa of the stomach and small intestine without muscle involvement.
Discussion.: Inflammatory myofibroblastic tumor is a rare entity, of unknown etiology and difficult to diagnose. We present a clinical case of gastrointestinal myofibroblastic inflammatory tumor to better understand this entity.
Conclusion.: The clinical case of a patient with a gastrointestinal myofibroblastic inflammatory tumor, a rare presentation in our environment, is described. Comparison with similar cases is important to draw useful conclusions in clinical practice.
Keywords: Gastrointestinal neoplasms, gastrointestinal tract, fibroblasts, pseudotumor, case report.
Introducción
Los tumores inflamatorios miofibroblásticos son tumores raros, de etiología desconocida. Abarcan un espectro de proliferación miofibroblástica con una cantidad variable de infiltrado inflamatorio. Se ha denominado de diferentes maneras como pseudotumor inflamatorio, xantoma fibroso, granuloma de células plasmáticas, pseudosarcoma, hamartoma linfoide y, actualmente, como tumor inflamatorio miofibroblástico. Esta amplia nomenclatura refleja la incertidumbre respecto a su naturaleza 1.
Se han propuesto varias teorías respecto a su etiología, como un proceso reactivo a infecciones, procesos autoinmunes o síndrome paraneoplásico, pero la etiología continúa siendo desconocida. Se ha relacionado también con procesos infecciosos, metástasis y alteraciones genéticas cromosómicas clonales adquiridas 1.
Su presentación clínica puede ser muy variable, dependiendo del lugar anatómico donde se origine, y puede incluir sensación de masa, diaforesis, fiebre, pérdida de peso y dolor 2. Afecta principalmente niños y adultos jóvenes, pero puede aparecer en cualquier edad y no tiene preferencia por género alguno 3.
El diagnóstico histológico consiste en la proliferación de miofibroblastos mezclados con células inflamatorias, predominantemente mononucleares. Se requiere estudio de inmunohistoquímica, que muestra que las células tumorales son característicamente positivas para la actina del músculo liso, con o sin expresión de desmina; focalmente positivo para vimentina y negativo para CD117 y CD34 3,4. La quinasa del linfoma anaplásico, también conocida como receptor de tirosina quinasa ALK o CD246 ayuda a establecer el diagnóstico, que no se puede realizar mediante estudios de imágenes. El diagnóstico definitivo es histopatológico 4.
Inicialmente se consideraba que el pulmón era el órgano más comúnmente comprometido, sin embargo, publicaciones recientes muestran mayor incidencia en focos extrapulmonares como la cavidad abdominopélvica, siendo el hígado uno de los más comprometidos 5. Se han informado sitios atípicos como intestino, páncreas, aparato genitourinario y sistema óseo 6.
El tratamiento definitivo es la resección quirúrgica completa, aunque en algunos casos esta entidad tiene regresión espontánea, por lo que los autores han planteado la posibilidad del manejo conservador 5,7. Hasta la fecha, hay poca evidencia del papel de la quimioterapia en los tumores inflamatorios miofibroblásticos y la mayoría de los reportes corresponden a la población pediátrica 8. La radioterapia ha mostrado algunos beneficios en los tumores inflamatorios miofibroblásticos pulmonares, pero no parece tener beneficio en las localizaciones extrapulmonares 1.
La tasa de recurrencia varía según el sitio anatómico, desde 2 % en el pulmón hasta un 25 % en lesiones extrapulmonares 9.
Caso clínico
Paciente masculino de 67 años, con único antecedente de hipertensión arterial, que consultó por un cuadro clínico de dos meses de evolución de fiebre intermitente de predominio nocturno, con sensación de masa abdominal dolorosa en epigastrio; al interrogatorio negaba cambios en el hábito intestinal, náuseas, vómito o algún otro síntoma gastrointestinal. Como estudio inicial se realizó una tomografía computarizada contrastada de abdomen y pelvis en donde se describió una lesión de aspecto infiltrante tumoral primario, con compromiso de la grasa a nivel retroperitoneal en la transcavidad de los epiplones, y enfermedad diverticular (Figura 1).

Se tomó biopsia percutánea de la lesión con hallazgos patológicos de pseudotumor inflamatorio. Por su compromiso en la cara posterior del estómago y mesocolon transverso se realizó una gastrectomía subtotal radical con reconstrucción en Y de Roux y colectomía parcial del transverso con anastomosis mecánica colo-colónica por laparotomía (Figura 2).
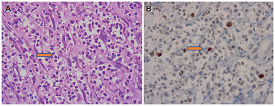
El resultado de la patología quirúrgica final informó tumor miofibroblástico inflamatorio, de compromiso multifocal, adherido a la serosa de estómago e intestino, sin compromiso muscular, bordes de resección libres de tumor, con 20 ganglios negativos para malignidad y epiplón normal (Figura 3). Los marcadores de inmunohistoquímica fueron positivos para CD68 en abundantes histiocitos y Desmina positiva en fibras musculares y fueron negativos para AML, CK, CD10, H Cladesmon, CD35, CD68, CD21, MDM2 ALK, S100, ki67 del 30 %.
Discusión
El tumor miofibroblástico es una entidad que se agrupa dentro de los pseudotumores inflamatorios. Puede aparecer en cualquier grupo de edad, pero es más frecuente en las primeras dos décadas de la vida, con un promedio de edad al diagnóstico de 10 años, sin diferencia significativa entre los dos sexos 8.


La teoría de origen más aceptada es una respuesta inflamatoria exagerada posterior a un trauma localizado. En segundo lugar, se propone la infección como antecedente, la cual es producida con mayor frecuencia por micobacterias, virus de Epstein-Barr, Actinomyces y Mycoplasma. Se han demostrado otras asociaciones con Mycobacterium avium-complejo intracelular, Corynebacterium equi, Escherichia coli, Klebsiella, Bacillus sphaericus, Pseudomonas, Helicobacter pylori, Coxiella burnetii, e incluso virus de inmunodeficiencia humana. La etiología infecciosa es soportada por el papel de las citocinas, principalmente la interleucina 6 (IL-6), de la que se ha descrito una posible aproximación terapéutica específica 5.
Por su presentación clínica e imagenológica y por sus componentes histológicos variables, su diagnóstico es difícil. Se han identificado asociaciones con anormalidades cromosómicas, como translocaciones en el brazo largo del cromosoma 2 y en el brazo corto del cromosoma 9, y aberraciones citogenéticas, tales como el gen ALK (anaplastic lymphoma kinase) mutación p53 y expresión MDM2, lo cual podría, posteriormente, reconocerse como una lesión neoplásica específica o un verdadero tumor 6.
Las lesiones tumorales son únicas, pero pueden ser múltiples hasta en el 5 % de los casos. Se manifiesta clínicamente con signos y síntomas constitucionales dependiendo del sitio de origen y del efecto de masa sobre los órganos vecinos 9.
Conclusiones
El tumor miofibroblástico está catalogado como un tumor de comportamiento intermedio. Sus manifestaciones clínicas son variadas y están determinadas por el sitio anatómico afectado. El manejo depende de su localización, expresión de ALK, comportamiento y factibilidad de resección quirúrgica.
En este reporte se presentó el caso de un hombre adulto mayor con un tumor inflamatorio gastrointestinal, de compromiso multifocal, adherido a la serosa del estómago e intestino, sin compromiso muscular, manejado con cirugía radical, sin identificar malignidad, pocas veces descrito en la literatura.
Referencias
Palaskar S, Koshti S, Maralingannavar M, Bartake A. Inflammatory myofibroblastic tumor. Contemp Clin Dent. 2011;2:e274 . https://doi.org/10.4103/0976-237X.91787
Raffaeli E, Cardinali L, Fianchini M, Brancorsini D, Mosca P, Marmorale C. Inflammatory myofibroblastic tumor of the transverse colon with synchronous gastrointestinal stromal tumor in a patient with ulcerative colitis: a case report. Int J Surg Case Rep. 2019;60:141-4. https://doi.org/10.1016/j.ijscr.2019.06.012
Kim EY, Lee IK, Lee YS, Yang N, Chung DJ, Yim K, et al. Inflammatory myofibroblastic tumor in colon. J Korean Surg Soc. 2012;82:45. https://doi.org/10.4174/jkss.2012.82.1.45
Miettinen M, Sobin LH, Sarlomo-Rikala M. Immunohistochemical spectrum of GISTs at different sites and their differential diagnosis with a reference to CD117 (KIT). Mod Pathol. 2000;13:1134-42. https://doi.org/10.1038/modpathol.3880210
Osnaya MH, Zaragoza STA, Escoto GJA, Mondragón ChMA, Sánchez R RD. Tumor miofibroblástico inflamatorio (pseudotumor inflamatorio) ocasionando abdomen agudo. Rev Chil Cir. 2014;66:264-8. https://doi.org/10.4067/S0718-40262014000300014
Oeconomopoulou A, de Verney Y, Kanavaki K, Stefanaki K, Pavlakis K, Salakos C. Inflammatory myofibroblastic tumor of the small intestine mimicking acute appendicitis: a case report and review of the literature. J Med Case Reports. 2016;10:e100. https://doi.org/10.1186/s13256-016-0880-0
Zhao J-J. Intra-abdominal inflammatory myofibroblastic tumor: Spontaneous regression. World J Gastroenterol. 2014;20:13625-31. https://doi.org/10.3748/wjg.v20.i37.13625
Gleason BC, Hornick JL. Inflammatory myofibroblastic tumours: where are we now? J Clin Pathol. 2008;61:428-37. https://doi.org/10.1136/jcp.2007.049387
Lawrence B, Perez-Atayde A, Hibbard MK, Rubin BP, Dal Cin P, Pinkus JL, et al. TPM3-ALK and TPM4-ALK Oncogenes in inflammatory myofibroblastic tumors. Am J Pathol. 2000;157:377-84. https://doi.org/10.1016/S0002-9440(10)64550-6
Notas
Notas de autor
- Adquisición de datos: Marcela Cadavid-Navas, Karen Lorena Franco-Arias, Juan Camilo Correa-Cote, Alejandro Múnera-Duque, Javier Canedo.
- Análisis e interpretación de datos: Marcela Cadavid-Navas, Karen Lorena Franco-Arias, Juan Camilo Correa-Cote, Alejandro Múnera-Duque.
- Redacción del manuscrito: Marcela Cadavid-Navas, Karen Lorena Franco-Arias, Juan Camilo Correa-Cote, Alejandro Múnera-Duque.
- Revisión crítica: Marcela Cadavid-Navas, Karen Lorena Franco-Arias, Juan Camilo Correa-Cote, Alejandro Múnera-Duque.
aCorrespondencia: Marcela Cadavid-Navas, Calle 23 sur # 44-118, Medellín, Colombia. Teléfono: +57 3017846480, Dirección electrónica: marcela.cadavid63@gmail.com
Declaración de intereses