Presentación de Caso
Síndrome de Rapunzel asociado a perforación intestinal. Caso clínico
Rapunzel syndrome associated with intestinal perforation. Clinical case
Síndrome de Rapunzel asociado a perforación intestinal. Caso clínico
Revista Colombiana de Cirugía, vol. 38, núm. 3, pp. 568-573, 2023
Asociación Colombiana de Cirugía
Recepción: 30 Enero 2022
Aprobación: 22 Mayo 2022
Publicación: 06 Mayo 2023
Resumen
Introducción.: Los tricobezoares ocurren de forma frecuente en niñas y adolescentes, y se asocian a trastornos psicológicos como depresión, tricotilomanía o tricofagia.
Caso clínico.: Se presenta una paciente adolescente con síndrome de Rapunzel, con hallazgo adicional de perforación yeyunal debido al tricobezoar.
Discusión.: Dentro de las complicaciones de los tricobezoares se reporta invaginación intestinal (principalmente de yeyuno), apendicitis, obstrucción biliar, neumonía, pancreatitis secundaria y perforación, esta última como ocurrió en nuestra paciente.
Conclusión.: En pacientes mujeres adolescentes con dolor abdominal o abdomen agudo, se debe tener en cuenta el diagnóstico de síndrome de Rapunzel, así como sus probables complicaciones.
Palabras clave: Bezoares+ tricotilomanía+ síndrome+ perforación intestinal+ abdomen agudo+ laparotomía.
Abstract
Introduction.: Trichobezoars occur frequently in young and adolescent girls, and are associated with psychological disorders such as depression, trichotillomania, or trichophagia.
Clinical case.: An adolescent patient with Rapunzel syndrome is presented, with an additional finding of jejunal perforation due to the trichobezoar.
Discussion.: Among the complications of trichobezoars, intussusception is reported (mainly of the jejunum), appendicitis, biliary obstruction, pneumonia, secondary pancreatitis, and perforation, the latter as occurred in our patient.
Conclusion.: In adolescent female patients with abdominal pain or acute abdomen, the diagnosis of Rapunzel syndrome should be taken into account, as well as its probable complications.
Keywords: Bezoars, trichotillomania, syndrome, intestinal perforation, acute abdomen, laparotomy.
Introducción
Los bezoares son colecciones de material no digerible, usualmente localizados en el estómago 1, que pueden ser clasificados en fitobezoares (vegetales), farmacobezoares (medicamentos), lactobezoares (leche), tricobezoares (de cabello) 2,3,4. Estos últimos son la forma de presentación más frecuente en niñas jóvenes y adolescentes, quienes además padecen de tricofagia o tricotilomanía. Se estima que el 10 % de los pacientes con tricotilomanía sufren concomitantemente de tricofagia 5.
El síndrome de Rapunzel, descrito por Vaughan en 1968, se define como la extensión del bezoar hasta el intestino delgado, donde se pinta de amarillo por la bilis, característica que le da su epónimo y, excepcionalmente al intestino grueso, lo que puede llevar a obstrucción intestinal 2,6,7. Se han descrito múltiples complicaciones asociadas al síndrome de Rapunzel, por lo que presentamos el caso de una paciente adolescente, con clínica de tricobezoar y hallazgo incidental de perforación yeyunal.
Caso clínico
Paciente femenina de 12 años sin antecedentes de importancia, ni alopecia, con dos meses de evolución de dolor abdominal epigástrico, que aumentaba con la ingesta de alimentos, asociado a episodios eméticos de contenido alimentario. Consultó inicialmente a médico particular recibiendo manejo sintomático con omeprazol y sucralfate. Diez días después presentó aumento en la frecuencia de los episodios de vomito y dolor abdominal por lo que fue remitida al Hospital Militar Central en Bogotá, D.C. Tras la valoración en el servicio de urgencias pediátricas, se solicitó una ecografía de abdomen que informó adenitis mesentérica como único hallazgo positivo; se inició manejo con omeprazol en infusión continua. Sin embargo, por la persistencia de síntomas y episodios de vómito de contenido alimentario, se realizó una tomografía computarizada (TC) de abdomen con doble contraste.
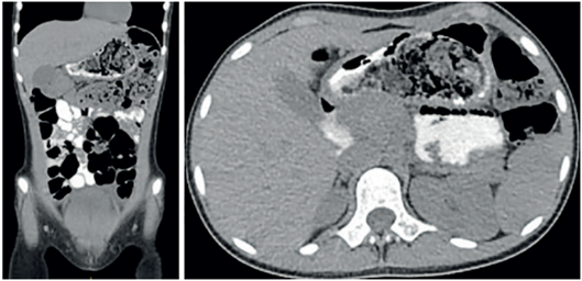
En las imágenes de la tomografía, se observó una lesión endoluminal gástrica de características heterogéneas, con diferencia de densidades (Figura 1), por lo que se realizó una endoscopia digestiva alta (EVDA) encontrando un cuerpo extraño, localizado en el cuerpo y antro gástrico (Figura 2), lo que confirmó el diagnóstico de tricobezoar.
Se realizó una laparotomía supraumbilical con gastrotomía longitudinal, encontrando el tricobezoar impactado en el antro el gástrico con extensión al duodeno (Figura 3), mediante movimientos circulares se logró la exéresis completa del tricobezoar y su cola extendida al duodeno, donde se observaba una leve resistencia. Al realizar la revisión de las asas intestinales, se identificó una perforación del yeyuno a 5 cm de ángulo de Treitz relacionada con la cola del tricobezoar (Figura 4), la cual se cerró con dos puntos simples de vicryl®; la gastrotomía se suturó de forma continua en dos planos. Durante la cirugía no se presentaron complicaciones, y en el posoperatorio la paciente fue tratada con nutrición parenteral y manejo multidisciplinario con Psiquiatría y Pediatría.
En el estudio patológico se encontraron fragmentos de múltiples materiales no digeribles como cabello, bolsas plásticas, papel, cuerdas. La paciente fue dada de alta al décimo día con seguimiento ambulatorio por cirugía pediátrica y psiquiatría infantil.




Discusión
Los bezoares o cuerpos extraños gástricos, pueden ocurrir en niñas jóvenes y adolescentes con alteraciones psiquiátrica como: depresión, trastorno corporal dismórfico, tricotilomanía o necesidad persistente y compulsiva de halarse el cabello y tricofagia o ingesta del cabello; dentro de ellos, los más frecuentes son los tricobezoares 1,7.
El primer caso descrito de tricobezoar se remonta al siglo XVIII, cuando Baudamant presentó el caso de un niño de 16 años con esta patología 5. Posteriormente, en 1998, Nirsawa et al., realizaron la primera extracción de un tricobezoar por laparoscopia 8.
Los tricobezoares usualmente causan síntomas como dolor abdominal, epigastralgia, vómito, anemia ferropénica, imposibilidad para ganar peso y obstrucción intestinal; se pueden asociar a alopecia y a masa abdominal asintomática 2,4,9. El diagnóstico se realiza clínicamente ante la presencia de tricotilomanía y tricofagia, y se confirma mediante estudios de vías digestivas altas, radiografía de abdomen o tomografía computarizada, que permiten diferenciar entre un tricobezoar y un cuerpo extraño 2.
Dentro de las complicaciones de los tricobezoars se reporta invaginación intestinal, principalmente de yeyuno, apendicitis, obstrucción biliar, neumonía, infección del sitio operatorio, pancreatitis secundaria y perforación 2,5,10. Gorter et al. publicaron una revisión de la literatura de 108 casos de tricobezoares donde la perforación gástrica o intestinal fue la complicación más frecuente 10, como ocurrió en nuestra paciente. Esto se ha explicado por la reducción de la irrigación sanguínea en la mucosa del estómago o intestino, secundario al tamaño del bezoar, que produce la ulceración y eventualmente perforación, especialmente en la curvatura menor del estómago 10,11.
A pesar del manejo con fragmentación enzimática o con láser, litotripsia o extracción endoscópica, el manejo quirúrgico sigue siendo el patrón de oro en el tratamiento de los tricobezoares 1,2,5,11. Se han descrito varios abordajes quirúrgicos con el fin de obtener mejores desenlaces; la laparoscopia ha permitido mejores resultados estéticos y menos complicaciones postoperatorias. Para evitar la contaminación abdominal por el contenido gástrico, Shanbhogue et al., describieron la extracción laparoscópica de un tricobezoar mediante el uso de una bolsa o “endobag” 2.
Conclusiones
En niñas y adolescentes con sintomatología gastrointestinal y alteraciones psicológicas como depresión, tricotilomanía o tricofagia, se debe sospechar la presencia de tricobezoar y, en caso de síndrome de Rapunzel, se debe descartar la perforación intestinal.
Agradecimientos
En nombre de los autores y del servicio de Cirugía Pediátrica del Hospital Militar Central, rendimos un homenaje al Doctor Jesús “Chucho” Niño, cirujano pediatra de nuestra institución y profesor del servicio, quien conoció de cerca el caso y falleció pocos días después de haberse llevado a cabo este procedimiento quirúrgico.
Referencias
Lund T, Wexels F, Helander R. Surgical considerations of the gastric trichobezoar - A case report. J Pediatr Surg Case Reports. 2014;2:403-5. http://dx.doi.org/10.1016/j.epsc.2014.08.006
Shanbhogue LKR, Kamel SM, Al Mohaidly M, Syed HA, Al Dosari S, Batniji K, et al. Laparoscopic removal of large trichobezoar. J Pediatr Surg Case Reports. 2019;44:e101193. https://doi.org/10.1016/j.epsc.2019.101193
Vega-Mata N, Fernández-García L, Lara-Cardenas C, Raposo-Rodríguez L, Montes-Granda M. Paediatric pharmacobezoar in vitamin overdose. Cir Cir. 2017;85:30-3. http://dx.doi.org/10.1016/j.circir.2016.11.012
Zeidan S, Akkary R, Jawad N, Al Hamod D, Haidar Z, Diab N. Lactobezoar causing neonatal gastric perforation. J Pediatr Surg Case Reports. 2019;44:e101192. https://doi.org/10.1016/j.epsc.2019.101192
Fallon SC, Slater BJ, Larimer EL, Brandt ML, Lopez ME. The surgical management of Rapunzel syndrome: A case series and literature review. J Pediatr Surg. 2013;48:830-4. http://dx.doi.org/10.1016/j.jpedsurg.2012.07.046
Hamilton EC, Kramer RE, Roach JP. Rapunzel syndrome presenting as biliary obstruction. J Pediatr Surg Case Reports. 2018;35:32-4. https://doi.org/10.1016/j.epsc.2018.05.015
Kajal P, Bhutani N. Rapunzel syndrome in an adolescent girl. J Pediatr Surg Case Reports. 2020;60:e101559. https://doi.org/10.1016/j.epsc.2020.101559
Nirasawa Y, Mori T, Ito Y, Tanaka H, Seki N, Atomi Y. Laparoscopic removal of a large gastric trichobezoar. J Pediatr Surg. 1998;33:663-5. https://doi.org/10.1016/S0022-3468(98)90342-6
Valenciano JS, Nonose R, Cruz RB, Sato DT, Fernandes FCM, Nascimento EF, et al. Tricholithobezoar causing gastric perforation. Case Rep Gastroenterol. 2012;6:26-32. https://doi.org/10.1159/000336203
Gorter RR, Kneepkens CMF, Mattens ECJL, Aronson DC, Heij HA. Management of trichobezoar: Case report and literature review. Pediatr Surg Int. 2010;26:457-63. https://doi.org/10.1007/s00383-010-2570-0
Notas
Notas de autor
- Adquisición de datos: Ivette Jiménez-Lafourie, Óscar Rincón-Barbosa,
- Análisis e interpretación de datos: Laura Valentina Herrera-Quiroz, María Camila Pinzón-Molina.
- Redacción del manuscrito: Ivette Jiménez-Lafourie, Sebastián Ruiz-Gutiérrez, Laura Valentina Herrera-Quiroz, María Camila Pinzón-Molina.
- Revisión crítica: Sebastián Ruiz-Gutiérrez, John Peralta, Óscar Rincón-Barbosa.
aCorrespondencia: Ivette Jiménez, Carrera 12 # 90-42, apartamento 402, Bogotá, D.C., Colombia. Teléfono: +57 3106168056, Dirección electrónica: ivettejl97@gmail.com
Declaración de intereses