Imágenes en Cirugía
Obstrucción intestinal del adulto por intususcepción ileocólica
Intestinal obstruction in adults due to ileocolic intussusception
Obstrucción intestinal del adulto por intususcepción ileocólica
Revista Colombiana de Cirugía, vol. 39, núm. 1, pp. 138-140, 2024
Asociación Colombiana de Cirugía
Recepción: 27 Agosto 2023
Aprobación: 15 Septiembre Octubre 2023
Palabras clave: Obstrucción intestinal, intususcepción, adulto, tomografía computarizada, laparotomía
Keywords: Intestinal obstruction, intussusception, adult, computed tomography, laparotomy
La intususcepción intestinal es la invaginación intraluminal de un segmento proximal de intestino y su mesenterio dentro de otro adyacente o distal. Su presentación en la edad adulta es infrecuente 1. Representa el 5 % de todos los casos de invaginación, que corresponde de dos a tres casos por 1.000.000 personas al año, con un pico de incidencia entre los 30 y 50 años, sin predominio de sexo 2.
Rara vez en el adulto se encuentra la triada clásica de dolor abdominal, masa palpable y heces sanguinolentas en “jalea de grosella”. Su diagnóstico representa un desafío gracias al espectro de manifestaciones clínicas inespecíficas 3. La tomografía es el estudio de imágenes de elección y las maniobras quirúrgicas son el pilar fundamental para el tratamiento definitivo 4.
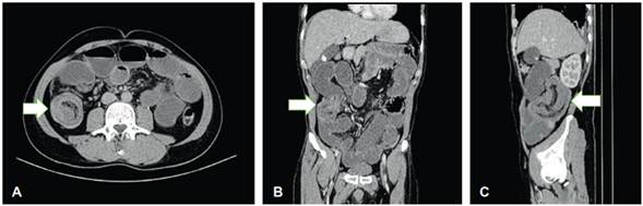
Presentamos el caso de un paciente de 47 años de edad, sin antecedentes quirúrgicos abdominales, con cuadro clínico de 72 horas de evolución de obstrucción intestinal parcial. Al examen físico no se detectaron masas palpables ni defectos de pared, y eran dudosos los signos de irritación peritoneal. La tomografía computarizada de abdomen y pelvis informó una imagen sugestiva de intususcepción ileocecal y signos de obstrucción intestinal mecánica (Figura 1).

Fue llevado a laparotomía exploratoria, donde se observó intususcepción ileocecal con asas del intestino delgado al interior del ciego (Figura 2). Se redujo el segmento invaginado, se resecaron 70 cm de íleon terminal y se configuró una anastomosis termino-terminal a 20 cm de la válvula ileocecal. El estudio anatomopatológico reportó un lipoma submucoso de íleon distal (Figura 3).


Referencias
Padilla BE, Moses W. Lower gastrointestinal bleeding & intussusception. Surg Clin N Am. 2017;97:173-88. https://doi.org/10.1016/j.suc.2016.08.015
Eisen LK, Cunningham JD, Aufses AH. Intussusception in adults: Institutional review. J Am Coll Surg. 1999;188:390-5. https://doi.org/10.1016/s1072-7515(98)00331-7
Marsicovetere P, Ivatury SJ, White B, Holubar SD. Intestinal intussusception: Etiology, diagnosis, and treatment. Clin Colon Rectal Surg. 2017;30:30-9. https://doi.org/10.1055/s-0036-1593429
Aguirre F, Silva A, Parra P, Salcedo D, López P, Acevedo Y. Intususcepción como causa de obstrucción intestinal en el adulto: un desafío para los cirujanos. Rev Colomb Cir. 2019;34:79-86. https://doi.org/10.30944/20117582.102
Cumplimiento de normas éticas
Notas de autor
aCorrespondencia: César Ensuncho-Hoyos, Calle 57 # 11-17, Montería, Colombia. Teléfono: (57) (300) 817 0499. Dirección electrónica: censunch@gmail.com
Declaración de intereses