Presentación de Caso
Tratamiento quirúrgico del carcinoma de Merkel facial avanzado. Presentación de un caso
Surgical treatment of advanced facial Merkel cell carcinoma. A case report
Tratamiento quirúrgico del carcinoma de Merkel facial avanzado. Presentación de un caso
Revista Colombiana de Cirugía, vol. 39, núm. 1, pp. 141-147, 2024
Asociación Colombiana de Cirugía
Recepción: 04 Febrero 2023
Aprobación: 15 Marzo 2023
Publicación: 12 Noviembre 2023
Resumen
Introducción.: El carcinoma de Merkel es un tumor maligno poco frecuente, que afecta principalmente a la población caucásica y cuya etiología guarda relación con el poliomavirus de las células de Merkel. Conlleva mal pronóstico, especialmente en estadios finales.
Caso clínico.: Se expone el caso de una paciente que presentaba un tumor primario facial de grandes dimensiones, con avanzado grado de extensión, afectación linfática cervical y metástasis parotídea derecha. Fue tratada mediante exéresis de la lesión primaria y cobertura con injerto de piel parcial, linfadenectomía cervical y parotidectomía ipsilateral.
Resultados.: Se logró mejoría importante en la calidad de vida de la paciente y sobrevida de al menos seis meses.
Conclusión.: Aunque no está claro el manejo óptimo del carcinoma de Merkel avanzado debido a su mal pronóstico, la cirugía favorece una mejoría en la calidad de vida del paciente y puede tener un papel clave en el manejo del carcinoma de Merkel en los estadios avanzados.
Palabras clave: Carcinoma de células de Merkel+ neoplasias de cabeza y cuello+ carcinoma neuroendocrino+ trasplante de piel+ cirugía plástica.
Abstract
Introduction.: Merkel carcinoma is a rare malignant tumor that mainly affects the Caucasian population and whose etiology is related to the Merkel cell polyomavirus. It has a poor prognosis, especially in the final stages.
Clinical case.: The case of a patient who presented a large primary facial tumor, with an advanced degree of extension, cervical lymphatic involvement and right parotid metastasis is described. She was treated surgically by excision of the primary lesion and coverage with partial skin graft, cervical lymphadenectomy, and ipsilateral parotidectomy.
Results.: A significant improvement was achieved in the patient’s quality of life and survival of at least six months.
Conclusion.: Although the optimal management of advanced Merkel carcinoma is unclear due to its poor prognosis, surgery improves the patient’s quality of life and it can play a key role in the management of Merkel carcinoma in advanced stages.
Keywords: Merkel cell carcinoma, head and neck neoplasms, neuroendocrine carcinoma, skin transplantation, plastic surgery.
Introducción
El tumor cutáneo neuroendocrino o carcinoma de Merkel, es un tumor maligno infrecuente, con una incidencia de 0,1 a 1,6 casos por 100.000 personas por año, que afecta mayoritariamente la raza caucásica 1. Los principales factores de riesgo identificados son la exposición solar, la edad avanzada y la inmunosupresión 2. En los últimos años se ha puesto de manifiesto la relación entre el poliomavirus de las células de Merkel (MCV, por sus siglas en inglés) y el desarrollo de la enfermedad tumoral 3. Aunque es un virus muy prevalente entre la población general, solo un número muy reducido de personas desarrollarán el tumor. La presencia o ausencia del virus permite distinguir dos patrones de presentación clínica, siendo más frecuentes los MCV-positivos, que afectan la población más joven, con perfil monofenotípico en su morfología, mientras que los MCV-negativos afectan a la población de mayor edad y son morfológicamente más heterogéneos 4.
Habitualmente, el carcinoma de Merkel se manifiesta como una tumoración cutánea o subcutánea única, de coloración violáceo-rojiza, con rápido crecimiento, localizada preferentemente en áreas de exposición solar 5. En muchos casos el tratamiento es potencialmente curativo, pero en general, tiene un mal pronóstico 4. El objetivo de este artículo fue presentar el caso de una paciente con un tumor cutáneo endocrino avanzado, tratada quirúrgicamente.
Caso clínico
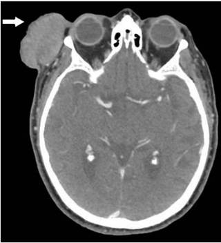
Mujer de 88 años enviada a la consulta de Cirugía plástica con diagnóstico de tumor neuroendocrino facial. Como antecedentes presentaba hipertensión arterial, diabetes mellitus tipo II, hipercolesterolemia y alergia a los aminoglucósidos; no se hallaron antecedentes familiares relevantes. A la exploración presentaba un tumor exofítico, ulcerado y de gran tamaño, localizado en la sien derecha, con extensión hasta el canto lateral del ojo derecho; no había compromiso aparente de planos profundos. Además, se palpaba un nódulo de dos cm en la parótida. No presentaba afectación neurológica facial (Figura 1).

Previamente, a la paciente se le había realizado una biopsia de la lesión tumoral cutánea por parte del servicio de Dermatología, con diagnóstico anatomopatológico de carcinoma neuroendocrino. Como exámenes complementarios se le realizó una tomografía computarizada que mostró una tumoración exofítica en la piel de la sien derecha, sin compromiso del músculo temporal. La lesión llegaba a contactar con el párpado superior, sin demostrarse afectación de la glándula lacrimal (Figura 2). Se encontró además un ganglio de seis mm en el lóbulo superficial de la parótida derecha, un nódulo necrosado de siete mm en el espacio carotídeo derecho, así como ganglios cervicales laterales derechos de hasta 13 mm, de aspecto patológico.

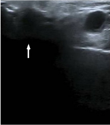
Se realizó punción-aspiración con aguja fina (PAAF) guiada con ecografía del lóbulo superficial de la parótida derecha (Figura 3), que fue positiva para malignidad, con informe anatomopatológico compatible con metástasis de carcinoma neuroendocrino de origen cutáneo.

Teniendo en cuenta la sintomatología de la paciente, con sangrado frecuente del tumor, así como la disfuncionalidad en la vida diaria debido al tamaño del mismo, se decidió llevar a tratamiento quirúrgico bajo anestesia general, realizando una exéresis tumoral en la sien derecha, con extensión hasta la rama ascendente del hueso malar, donde se incluyó el periostio, y la lamela anterior del párpado superior. En la región ósea malar expuesta, se realizó un colgajo fascial y posteriormente la cobertura de todo el defecto resultante mediante injerto de piel parcial, previamente obtenido de la cara anterolateral de muslo ipsilateral.
Se realizó además parotidectomía derecha, mediante incisión de Blair modificada, con preservación de la salida del tronco de nervio facial, sin poder preservar las ramas dada la afectación tumoral de las mismas. Posteriormente, se realizó linfadenectomía cervical funcional derecha tipo III, incluyendo los niveles II, III y IV, mediante incisión cutánea de Martin, con incorporación de músculo platisma en colgajo anterior y posterior. Se hizo ligadura de la vena yugular externa, localización de la vena yugular interna y del tronco tirolingual, que fue ligado, y posterior disección de la cadena ganglionar yugular, respetando el nervio espinal. Finalmente se hizo hemostasia, se dejó drenaje aspirativo y se procedió al cierre por planos con Vicryl® y sutura de piel con puntos simples de Prolene® y agrafes (Figura 4).

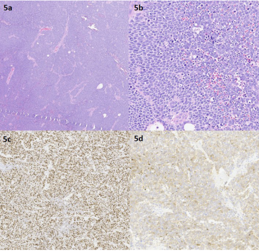
La paciente fue dada de alta a los seis días, previo retiro del drenaje. Como secuelas postquirúrgicas presentó parálisis facial de la hemicara derecha. El estudio anatomopatológico confirmó un tumor neuroendocrino de alto grado, sugestivo de carcinoma de Merkel (CK20 positivo y alto índice proliferativo, Ki67) (Figura 5). El tejido parotídeo presentaba extensa infiltración, identificándose lesión nodular de tumor neuroendocrino con periferia linfocitaria, sugestivo de metástasis de ganglio intraparotídeo. En el vaciamiento ganglionar cervical se apreció conglomerado adenopático metastásico.

Por la edad de la paciente no se consideró tratamiento con quimioterapia adyuvante. Se decidió realizar radioterapia adyuvante debido a la afectación de los márgenes quirúrgicos, que no fue aceptado por la paciente. A los seis meses de seguimiento no se encontraron signos macroscópicos de recidiva y la paciente reportó una mejora significativa en su calidad de vida.
Discusión
El tumor cutáneo neuroendocrino fue descrito por primera vez en 1972 por Tocken, como un tumor trabecular de la piel 6, pero, posteriormente, su denominación fue cambiada a la actual debido a su similitud con las células de Merkel de la piel, localizadas en capa basal de la epidermis. Es un carcinoma poco frecuente, con un aumento progresivo en el número de casos informados en las últimas décadas 7.
El tratamiento del carcinoma de Merkel está determinado por el estadio 8 y existen múltiples opciones terapéuticas, que incluyen la cirugía, la radioterapia, la quimioterapia y la inmunoterapia 9, por lo que es preciso individualizar la elección terapéutica según el contexto particular de cada paciente, aunque generalmente la cirugía estaría indicada en los casos de oligometástasis y lesiones sintomáticas 8. En el caso presentado, se decidió el tratamiento quirúrgico como opción inicial.
Pese a lo agresivo de la intervención, la pésima calidad de vida que la paciente reportaba justificó más aún la cirugía, ya que refería sangrado continuo de la lesión tumoral y afectación funcional. Aunque idealmente se perseguía la curación de la paciente, el objetivo más realista fue la eliminación de la mayor cantidad de tejido tumoral posible, para así mejorar la calidad de vida de la paciente. Es por ello que se decidió la cobertura mediante injerto de piel, permitiendo una solución rápida y fiable para el defecto ocasionado, con una temprana recuperación de la paciente, causando mínimas secuelas en la zona donante, frente a otro tipo de reconstrucciones más complejas.
Esta neoplasia presenta un mal pronóstico en términos globales, con una supervivencia a los 5 años estimada entre un 30 y 64 % 10. Nuestra paciente presentaba un estadio IV, con un riesgo de mortalidad del 89 % y una mediana de supervivencia de seis meses 4, tiempo superado de acuerdo al seguimiento.
Conclusión
Aunque el carcinoma de Merkel avanzado presenta un pronóstico pésimo, la cirugía es una opción viable generalmente paliativa, pudiendo ser acompañada de otros tratamientos complementarios.
Agradecimientos
A Marta Pérez Gutiérrez por su apoyo logístico.
Referencias
Coggshall K, Tello TL, North JP, Yu SS. Merkel cell carcinoma: An update and review: Pathogenesis, diagnosis, and staging. J Am Acad Dermatol. 2018;78:433-42. https://doi.org/10.1016/j.jaad.2017.12.001
Boccara O, Girard C, Mortier L, Bens G, Saiag P., et al. Recommandations du groupe de cancérologie cutanée de la Société française de dermatologie pour la prise en charge diagnostique et thérapeutique du carcinome à cellules de Merkel. Annales de Dermatologie et de Vénéréologie. 2011;138:475-82. https://doi.org/10.1016/j.annder.2011.01.029
Feng H, Shuda M, Chang Y, Moore PS. Clonal integration of a polyomavirus in human Merkel cell carcinoma. Science. 2008;319:1096-100. https://www.science.org/doi/10.1126/science.1152586
Pulitzer M. Merkel cell carcinoma. Surg Pathol Clin. 2017;10:399-408. https://doi.org/10.1016/j.path.2017.01.013
Becker JC, Stang A, DeCaprio JA, Cerroni L, Lebbé C, Veness M, et al. Merkel cell carcinoma. Nat Rev Dis Primers. 2017;3:e17077. https://doi.org/10.1038/nrdp.2017.77
Toker C. Trabecular carcinoma of the skin. Arch Dermatol. 1972;105:107-10.
Agelli M, Clegg LX. Epidemiology of primary Merkel cell carcinoma in the United States. J Am Acad Dermatol. 2003;49:832-41. https://doi.org/10.1016/S0190-9622(03)02108-X
Bichakjian CK, Olencki T, Aasi SZ, Alam M., Andersen JS, Blitzblau R., et al. Merkel cell carcinoma, Version 1. 2018, NCCN Clinical Practice Guidelines in Oncology. J Natl Compr Canc Netw. 2018;16:742-74. https://doi.org/10.6004/jnccn.2018.0055
Rama AS, Neglia V, Abeldaño A. Carcinoma de células de Merkel. Dermatol Argent. 2020;26:140-52. https://doi.org/10.47196/da.v26i4.2152
Bichakjian CK, Lowe L, Lao CD, Sandler HM, Bradford CR, Johnson TM., et al. Merkel cell carcinoma: critical review with guidelines for multidisciplinary management. Cancer. 2007;110:1-12. https://doi.org/10.1002/cncr.22765
Cumplimiento de normas éticas
Notas de autor
aCorrespondencia: Juan Cámara-Pérez, c/Isaac Peral 23, Linares, Jaén, España. CP: 23700. Teléfono: +34 663364120 Dirección electrónica: juan.camara.perez@hotmail.com
Declaración de intereses