Presentación de caso
Edema pulmonar por reexpansión. Reporte de Caso
Pulmonary edema due to re-expansion. Case Report
Edema pulmonar por reexpansión. Reporte de Caso
Revista Colombiana de Cirugía, vol. 39, núm. 2, pp. 319-325, 2024
Asociación Colombiana de Cirugía
Recepción: 28 Diciembre 2022
Aprobación: 25 Abril 2023
Publicación: 09 Octubre 2023
Resumen
Introducción: El edema pulmonar por reexpansión es una complicación poco frecuente, secundaria a una rápida reexpansión pulmonar posterior al drenaje por toracentesis o toracostomía cerrada. Al día de hoy, se ha descrito una incidencia menor al 1 % tras toracostomía cerrada, con mayor prevalencia en la segunda y tercera década de la vida. Su mecanismo fisiopatológico exacto es desconocido; se ha planteado un proceso multifactorial de daño intersticial pulmonar asociado con un desequilibrio de las fuerzas hidrostáticas.
Caso clínico: Presentamos el caso de un paciente que desarrolló edema pulmonar por reexpansión posterior a toracostomía cerrada. Se hizo una revisión de la literatura sobre esta complicación.
Resultados: Aunque la clínica sugiere el diagnóstico, la secuencia de imágenes desempeña un papel fundamental. En la mayoría de los casos suele ser autolimitado, por lo que su manejo es principalmente de soporte; sin embargo, se han reportado tasas de mortalidad que alcanzan hasta el 20 %, por tanto, es importante conocer los factores de riesgo y las medidas preventivas.
Conclusión: El edema pulmonar de reexpansión posterior a toracostomía es una complicación rara en los casos con neumotórax, aunque es una complicación que se puede presentar en la práctica diaria, por lo cual debe tenerse en mente para poder hacer el diagnóstico y un manejo adecuado.
Palabras clave: Edema pulmonar+ neumotórax+ toracostomía+ lesión pulmonar aguda+ enfermedad iatrogénica+ complicaciones posoperatorias.
Abstract
Introduction: Re-expansion pulmonary edema is a rare complication secondary to rapid pulmonary re-expansion after drainage by thoracentesis and/or closed thoracostomy. As of today, an incidence of less than 1% has been described after closed thoracostomy, with a higher prevalence in the second and third decades of life. Its exact pathophysiological mechanism is unknown; a multifactorial process of lung interstitial damage associated with an imbalance of hydrostatic forces has been proposed.
Clinical case: We present the case of a patient who developed pulmonary edema due to re-expansion after closed thoracostomy, conducting a review of the literature on this complication.
Results: Although the clinic suggests the diagnosis, the sequence of images plays a fundamental role. In most cases, it tends to be a self-limited disease, so its management is mainly supportive. However, mortality rates of up to 20% have been recorded. Therefore, it is important to identify patients with major risk factors and initiate preventive measures in these patients.
Conclusions: Re-expansion pulmonary edema after thoracostomy is a rare complication in cases with pneumothorax; however, it is a complication that can occur in daily practice. Therefore, it must be kept in mind to be able to make the diagnosis and an adequate management.
Keywords: Pulmonary edema, pneumothorax, thoracostomy, acute lung injury, iatrogenic disease, postoperative complications.
Introducción
El edema pulmonar por reexpansión (EPR) se considera una situación iatrogénica, que ocurre después de la rápida reexpansión del pulmón colapsado tras el drenaje de aire, líquido o sangre de la cavidad pleural. La incidencia es baja, pero puede alcanzar cifras considerables de mortalidad, por lo que es de vital importancia la detección de factores de riesgo, la instauración de medidas preventivas, así como el diagnóstico temprano y un tratamiento oportuno. El objetivo de este artículo fue presentar el caso de un paciente que desarrolló EPR secundario a toracostomía cerrada y realizar una revisión de la literatura.
Caso clínico
Paciente de 44 años con hernia de disco lumbar, por lo que fue llevado a artrodesis de columna lumbar L3-L4 en otra institución en abril del 2021, con requerimiento de múltiples reintervenciones quirúrgicas secundarias a infección del sitio operatorio. En abril de 2022 ingresó al Hospital Universitario Mayor Méderi, Bogotá, D.C., Colombia, por exacerbación del dolor en columna, y se consideró el diagnóstico de espondilodiscitis multisegmentaria L3-S1.
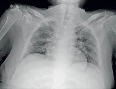
Se realizó PET-CT que reportó neumotórax derecho como hallazgo incidental, confirmado por radiografía de tórax (Figura 1), por lo que se indicó toracostomía cerrada. Durante el procedimiento se evidenció salida de aire a presión y producción de 150 cc de líquido de aspecto seroso; se colocó un tubo de tórax 32 Fr, que se conectó a sistema Pleur-Evac® y succión a -10 cm de agua.

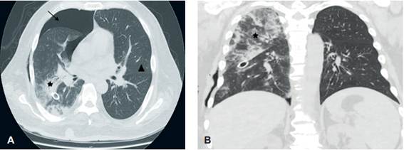
En la radiografía de tórax de control, aproximadamente una hora posterior al procedimiento, se documentaron áreas de consolidación multilobar unilateral derechas y neumotórax residual (Figura 2), por lo que se continuó con succión a -30 cm de agua y se solicitó tomografía computarizada (TC) de tórax, confirmando los hallazgos (Figura 3). Teniendo en cuenta el procedimiento realizado y secuencia de imágenes, se consideró que el paciente cursaba con edema pulmonar por reexpansión. Se inició terapia respiratoria e incentivo respiratorio, y se logró el retiro del tubo de tórax cuatro días después, sin complicaciones. En el seguimiento radiológico al sexto día se apreciaba resolución de los hallazgos imagenológicos (Figura 4).



Discusión
El EPR es una situación iatrogénica poco común, que ocurre después de la reexpansión de un pulmón colapsado, tras el drenaje o evacuación de aire o líquido de la cavidad pleural 1. Las primeras observaciones que describen esta entidad datan de hace más de dos siglos, cuando en 1875, Foucart lo documentó posterior a la realización de una toracocentesis 2. Ortner (1899), Riesmann (1902) y Hartley (1906) también contribuyeron a la caracterización de dicha complicación, hasta que, en 1958, Carlson mencionó por primera vez su relación con el drenaje de neumotórax 3.
Se ha descrito una incidencia entre 0,9 y 20 % por todas las causas de edema pulmonar y menor al 1 % tras una toracostomía cerrada 4, con una relación de hombres a mujeres de 38:9 y una mayor prevalencia en la segunda y tercera décadas de la vida, pues las personas de mayor edad presentan cambios en la mecánica pulmonar y características de la barrera alveolo-capilar secundarios al envejecimiento que funcionan como un factor protector para el EPR 4-6.
Aunque su mecanismo fisiopatológico exacto es desconocido, parece ser un proceso multifactorial de daño al intersticio pulmonar combinado con un desequilibrio de las fuerzas hidrostáticas. La restauración abrupta del flujo sanguíneo pulmonar en áreas de vasoconstricción hipóxica genera un aumento de la presión hidrostática arterial pulmonar llevando a un incremento de la permeabilidad de los vasos sanguíneos pulmonares y extravasación del líquido. La aplicación de succión intratorácica genera un aumento adicional del gradiente de las presiones alveolo-capilar que condiciona una disminución del flujo linfático o una constricción venosa y destrucción del surfactante pulmonar, relacionado con daño alveolar difuso.
Adicionalmente, los vasos sanguíneos se adaptan al colapso pulmonar crónico y la hipoxia prolongada y, debido a sus cambios histológicos, son vulnerables a la tracción. La reexpansión y la reperfusión del pulmón isquémico aumenta los radicales libres de oxígeno, que conduce a daño endotelial vascular directo 4-7. Si bien, por lo general, el EPR ocurre en el mismo pulmón inicialmente colapsado, se han descrito casos en los que ocurre bilateral o incluso contralateral 7-9, por lo que en la patogénesis del EPR también se ha descrito el rol de sustancias vasoactivas como histamina, prostaglandina o factores neurogénicos 6,7.
Matssura et al. 6, en una revisión de 146 pacientes, identificaron ciertos factores de riesgo para presentar EPR, siendo los de mayor asociación el neumotórax mayor del 30 % y la duración del colapso mayor a 72 horas. Si bien se han descrito, la rápida reexpansión y la cantidad de drenaje (más de 1,5 L en menos de 10 minutos), hasta el momento permanecen como precipitantes controversiales 4,6.
La presentación clínica es variable y de amplio espectro, desde pacientes asintomáticos hasta gravemente enfermos con insuficiencia respiratoria aguda. Típicamente se caracteriza por disnea y taquipnea de rápida instauración, especialmente en la primera hora posterior al procedimiento, con aumento de la gravedad de los síntomas durante las primeras 24 a 48 horas. Otros síntomas menos frecuentes que también pueden asociarse son tos productiva, taquicardia, fiebre, dolor torácico, náuseas, vómitos, hipotensión y cianosis 5,10.
Aunque la clínica de deterioro respiratorio puede sugerir el diagnóstico, la secuencia de imágenes es la base fundamental. Como primera imagen, la radiografía de tórax posterior al procedimiento usualmente no revela alteraciones parenquimatosas; 2 a 4 horas después se suele evidenciar en más del 90 % de los pacientes un patrón de ocupación alveolar unilateral, que resuelve entre 5 y 7 días, sin secuelas radiológicas. En la TC se demuestran opacidades en vidrio esmerilado, engrosamiento septal, focos de consolidación y áreas de atelectasia usualmente ipsilateral al procedimiento, aunque puede ser bilateral 1.
El tratamiento principalmente es de soporte y consiste en oxigenoterapia y medidas de presión positiva en la vía aérea, como presión positiva continua de las vías respiratorias (CPAP, por sus siglas en inglés); en los casos severos, la ventilación mecánica invasiva con presión positiva al final de la espiración (PEEP) es necesaria. En ocasiones se requiere la administración de líquidos, expansores de plasma o inotrópicos. La posición en decúbito lateral del lado afectado puede reducir la derivación y mejorar la oxigenación 5,11. Los diuréticos por lo general están contraindicados ya que pueden empeorar la hipovolemia y el uso de esteroides, que se ha descrito en casos refractarios, no se recomienda de rutina 11-13. Otras medidas se han propuesto, como la administración de antioxidantes durante los procedimientos de reexpansión, aunque hace falta evidencia para respaldar su uso rutinario 14,15.
En la mayoría de los casos el EPR suele ser autolimitado, sin embargo, Mahfood, et. al. 5, reportaron una mortalidad cercana al 20 %, por lo tanto, es importante realizar un diagnóstico y manejo oportunos.
La resolución de esta patología es lenta y se produce sin secuelas clínicas ni radiológicas. Las recomendaciones actuales para evitar esta complicación se basan en el volumen a drenar (de no más de 200 cc/hora, teniendo en cuenta la limitación técnica para controlar el drenaje de aire) y las técnicas adicionales, como el uso de válvulas en lugar de succión 4,16,17.
Conclusión
El edema pulmonar por reexpansión (EPR) posterior a toracostomía es una complicación rara en los casos con neumotórax, sin embargo, debe sospecharse en pacientes con factores de riesgo, signos y síntomas compatibles y una secuencia de imágenes sugestiva, con el fin de brindar un tratamiento oportuno y adecuado.
Referencias
Gluecker T, Capasso P, Schnyder P, Gudinchet F, Schaller MD, Revelly JP, et al. Clinical and radiologic features of pulmonary edema. Radiographics. 1999;19:1507-32. https://doi.org/10.1148/radiographics.19.6.g99no211507
Foucart EJ. De la Mort subite ou rapide après la thoracocentèse, par le Dr Eugène Foucart. Bibliothèque Nationale De France. Paris: P. Asselin, 1875. Fecha de consulta: 22 de junio de 2022. Disponible en: Disponible en: http://catalogue.bnf.fr/ark:/12148/cb30452174d
Waqaruddin M, Bernstein A. Re-expansion pulmonary oedema. Thorax. 1975;30:54-60. http://dx.doi.org/10.1136/thx.30.1.54
Song IH. Severe re-expansion pulmonary edema after chest tube insertion for the treatment of spontaneous pneumothorax. A case report. Medicine. 2021;100:e28259. https://doi.org/10.1097/MD.0000000000028259
Mahfood S, Hix WR, Aaron BL, Blaes P, Watson DC. Reexpansion pulmonary edema. Ann Thorac Surg. 1988;45:340-5.
Matsuura Y, Nomimura T, Murakami H, Matsushima T, Kakehashi M, Kajihara H. Clinical analysis of reexpansion pulmonary edema. Chest. 1991;100:1562-6. https://doi.org/10.1378/chest.100.6.1562
Torreblanca-Marín MA, Sánchez-Pérez MA, Genovés-Gómez H. Lesión pulmonar unilateral aguda secundaria a reexpansión pulmonar. Reporte de caso. Med Crit. 2007;21:223-6.
Dumanli A, Günay E, Öz G, Aydin S, Çilekar Ş, Gencer A, et al. A very rare fatal complication: bilateral reexpansion pulmonary edema after treatment of single side total pneumothothorax. Tuberk Toraks. 2020;68:188-91. https://doi.org/10.5578/tt.69524
Benhamed A, Tazarourte K. Bilateral re-expansion pulmonary edema: an uncommon complication of the pneumothorax drainage. Arch Clin Cases. 2020;07:10-4. http://dx.doi.org/10.22551/2020.26.0701.10166
Verhagen M, van Buijtenen JM, Geeraedts LMG. Reexpansion pulmonary edema after chest drainage for pneumothorax: A case report and literature overview. Respir Med Case Rep. 2015;14:10-2. https://doi.org/10.1016/j.rmcr.2014.10.002
Barril-Merino C, Solovera ME, Bannura F, Salas P. Edema pulmonar agudo grave secundario a tratamiento de neumotórax espontáneo primario. Caso clínico. Rev Med Chil. 2018;146:1343-6. http://dx.doi.org/10.4067/S0034-98872018001101343
Yoshikawa K, Miyata M, Sueoka N, Yamamoto D. Effective steroid therapy for reexpansion pulmonary edema. JMA J. 2019;2:97-8. https://doi.org/10.31662/jmaj.2018-0038
Weldetsadik AY, Demisse AG. Re-expansion pulmonary edema in children - A rare complication after pneumothorax drainage: A case report. Int Med Case Rep J. 2022;15:239-43. https://doi.org/10.2147/IMCRJ.S364881
Gumus S, Yucel O, Gamsizkan M, Eken A, Deniz O, Tozkoparan E, et al. The role of oxidative stress and effect of alpha-lipoic acid in reexpansion pulmonary edema - an experimental study. Arch Med Sci. 2010;6:848-53. https://doi.org/10.5114/aoms.2010.19290
Yucel O, Ucar E, Tozkoparan E, Gunal A, Akay C, Sahin MA, et al. Proanthocyanidin to prevent formation of the reexpansion pulmonary edema . J Cardiothorac Surg. 2009;4:40. https://doi.org/10.1186/1749-8090-4-40
Kaneda H, Nakano T, Taniguchi Y, Saito T, Konobu T, Saito Y. Three-step management of pneumothorax: time for a re-think on initial management. Interact Cardiovasc Thorac Surg. 2013;16:186-92. https://doi.org/10.1093/icvts/ivs445
Notas
Cumplimiento de normas éticas
Notas de autor
- Recopilación de datos de caso clínico: Antonia Pino Marín, María del Mar Meza-Cabrera.
- Revisión bibliográfica: Antonia Pino-Marín, María del Mar Meza-Cabrera.
- Lectura de imágenes diagnósticas: Milena Rey-Ayala, Jorge Alberto Carrillo-Bayona.
- Redacción del manuscrito: Antonia Pino-Marín, Milena Rey-Ayala.
- Revisión crítica del manuscrito y aprobación final: Milena Rey-Ayala, María del Mar Meza-Cabrera, Jorge Alberto Carrillo-Bayona.
aCorrespondencia: Antonia Pino-Marín, Calle 24 # 29-45, Bogotá, D.C. Colombia. Código postal: 110131. Teléfono: +57 601 5600520 Dirección electrónica: antonia.pino@urosario.edu.co
Declaración de intereses